










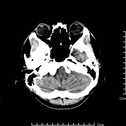
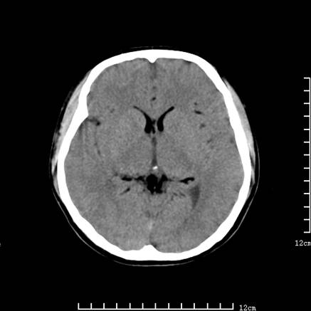
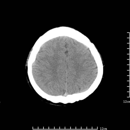
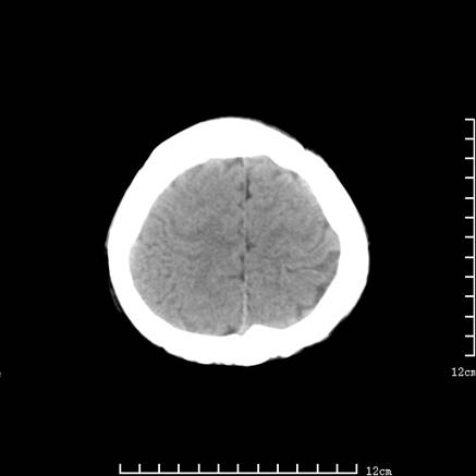
以下是引用jiajie在2008-9-5 22:25:00的发言:[br]男,22岁,头痛1月余。脑室、脑池内病变ct值约-120hu。[br][br]双侧侧脑室内低密度影充填,出现脑脊液脂肪平面,脑池内亦可见弥散分布的斑点状低密度影,脑室脑池未见明显扩大。[br]考虑胆脂瘤破裂后内容物进入脑脊液。
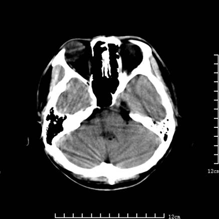
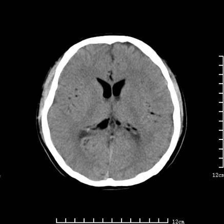
以下是引用jiajie在2008-9-5 22:25:00的发言:[br]男,22岁,头痛1月余。脑室、脑池内病变ct值约-120hu。[br][br]双侧侧脑室内低密度影充填,出现脑脊液脂肪平面,脑池内亦可见弥散分布的斑点状低密度影,脑室脑池未见明显扩大。[br]考虑胆脂瘤破裂后内容物进入脑脊液。
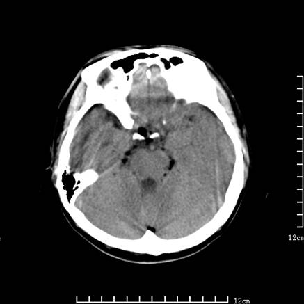
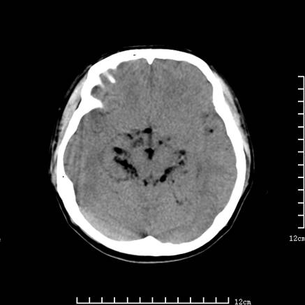
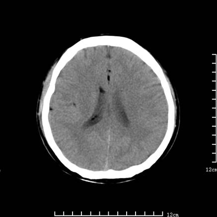
以下是引用jiajie在2008-9-5 22:25:00的发言:[br]男,22岁,头痛1月余。脑室、脑池内病变ct值约-120hu。[br][br]双侧侧脑室内低密度影充填,出现脑脊液脂肪平面,脑池内亦可见弥散分布的斑点状低密度影,脑室脑池未见明显扩大。[br]考虑胆脂瘤破裂后内容物进入脑脊液。
| 欢迎光临 医影在线 (http://bbs.radida.com/bbs/) | Powered by Discuz! X3.2 |