医影在线

标题: CT15582:M,72Y。请老师帮分析胸部病变。 [打印本页]

作者: 光影★笑子    时间: 2008-9-6 07:04
标题: CT15582:M,72Y。请老师帮分析胸部病变。













































[本贴已被 jiajie 于 2008-9-5 23:18:13 修改过]

作者: zhengfaming    时间: 2008-9-6 07:09
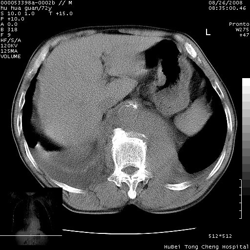
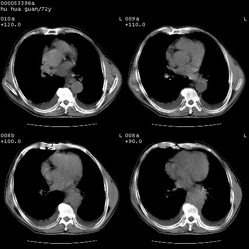
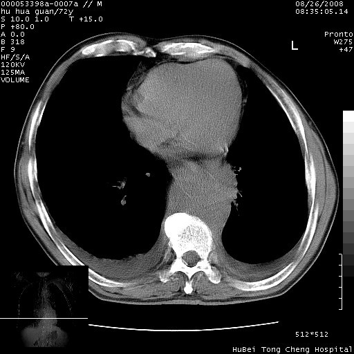
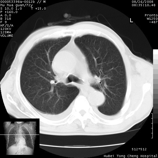
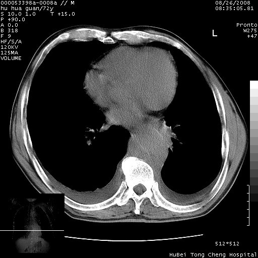
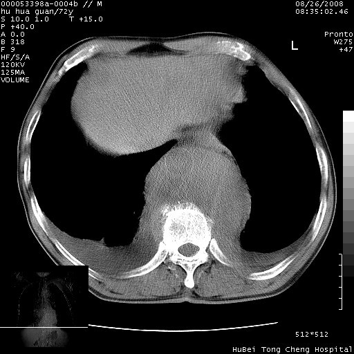
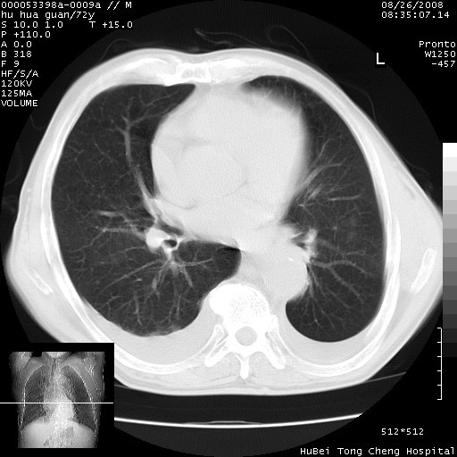
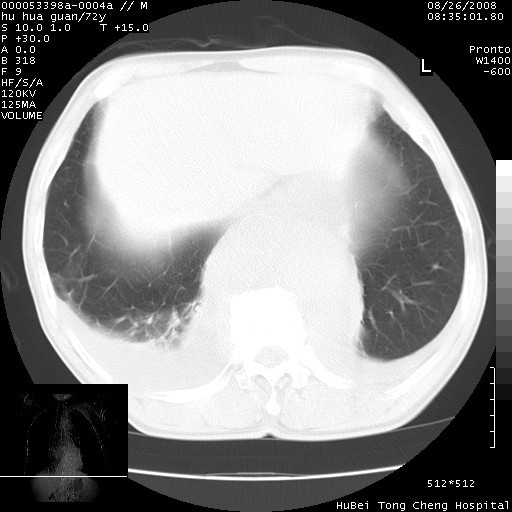
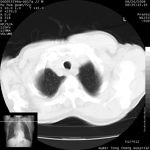
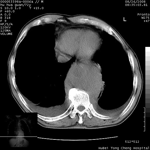
主动脉瘤?
作者: jiajie    时间: 2008-9-6 07:23
请补充点病史,
考虑胸主动脉下段夹层破裂。
作者: panyishengct    时间: 2008-9-6 07:29
考慮夾層動脈瘤破裂可能,建議增強掃描。
作者: 光影★笑子    时间: 2008-9-6 07:48
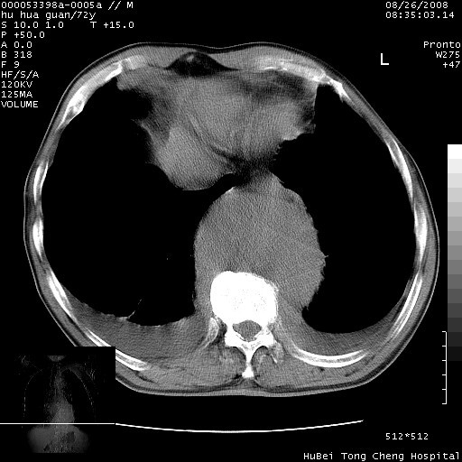
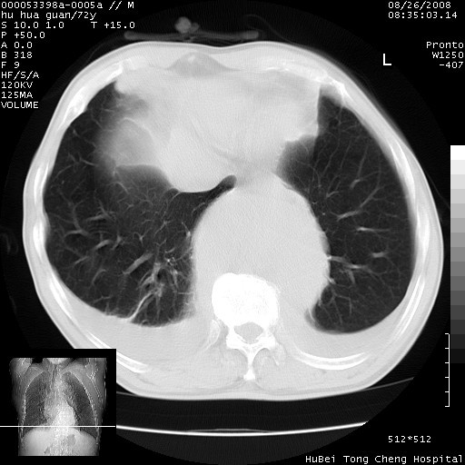
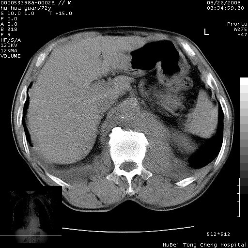
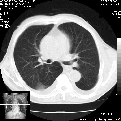
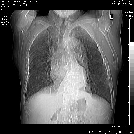
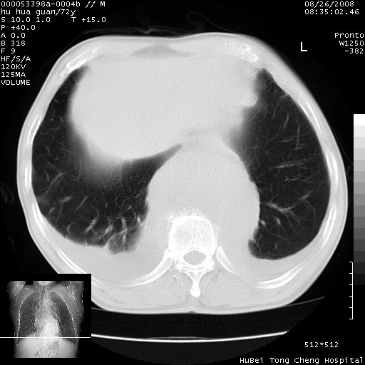
胸腔b超:胸腔积液。胸膜腔抽水化检:l 81%。
作者: zsl6918    时间: 2008-9-6 14:50
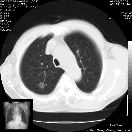
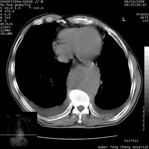
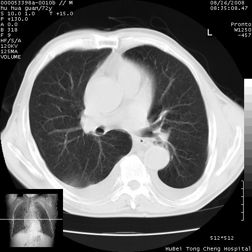
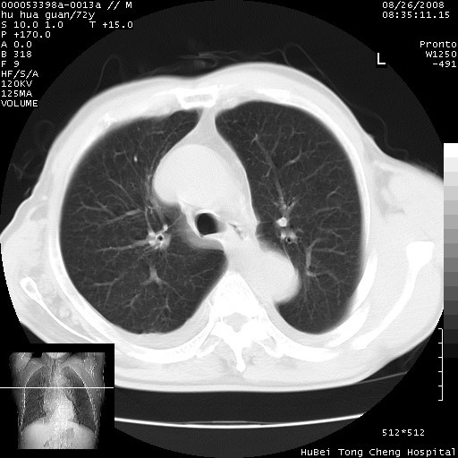
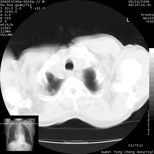
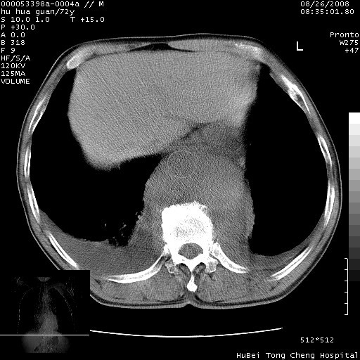
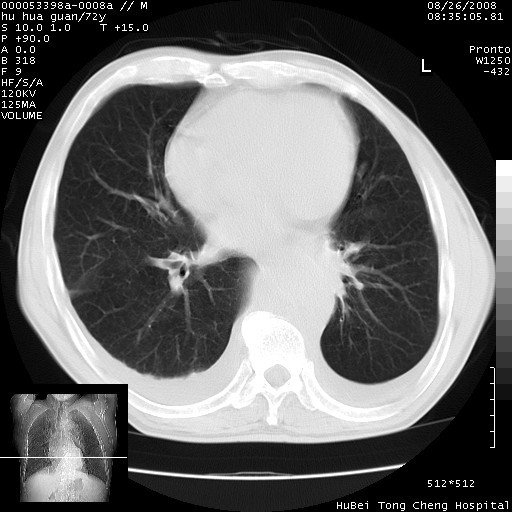
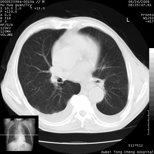
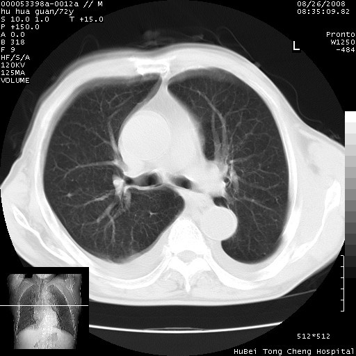
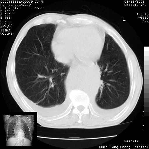
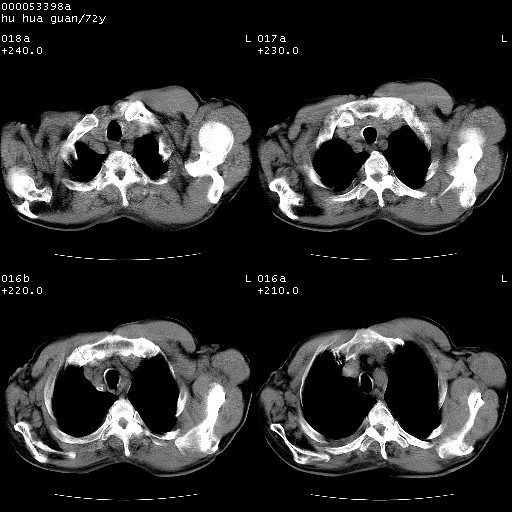
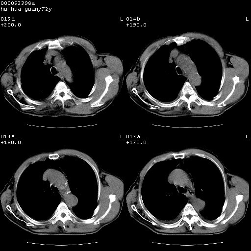
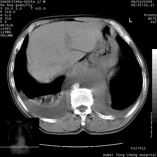
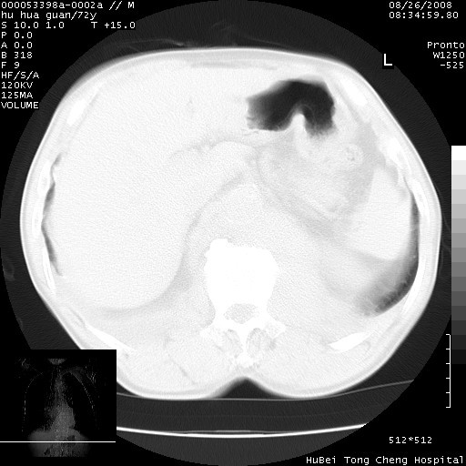
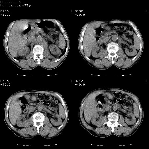
可以明确的说。肯定不是主动脉夹层破裂出血!考虑为淋巴瘤或间叶组织来源的恶性肿瘤可能性大。右肺小结节建议薄层观察,如能发现恶性征象,那椎前改变就考虑为转移所致。至于双侧少量胸水乃静脉血回流受阻所致。
作者: qc80012345    时间: 2008-9-6 17:16
图像及窗宽窗位均不理想。周围性肺癌/胸腔积液/纵隔积液。
作者: 代课学生    时间: 2008-9-6 17:30
1、右肺周围性肺癌、胸腔积液(双)
2、建议食道吞钡和增强检查排除食道和主动脉病变
3、后纵隔淋巴类肿瘤
作者: QINGJING    时间: 2008-9-6 17:39
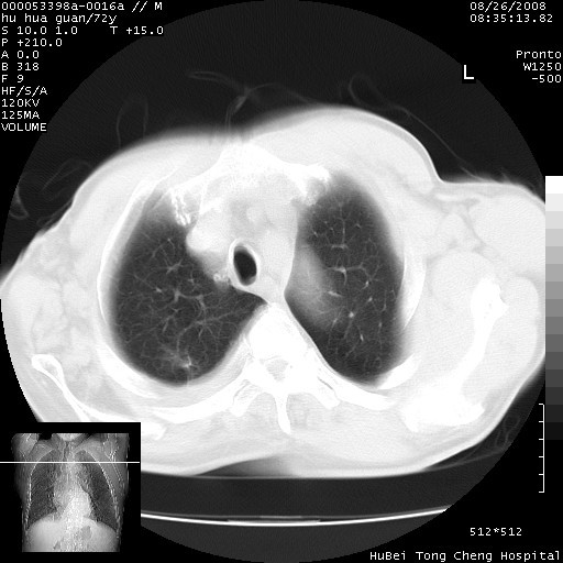
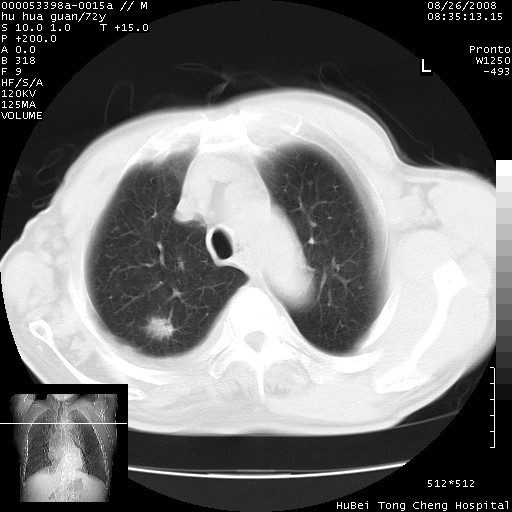
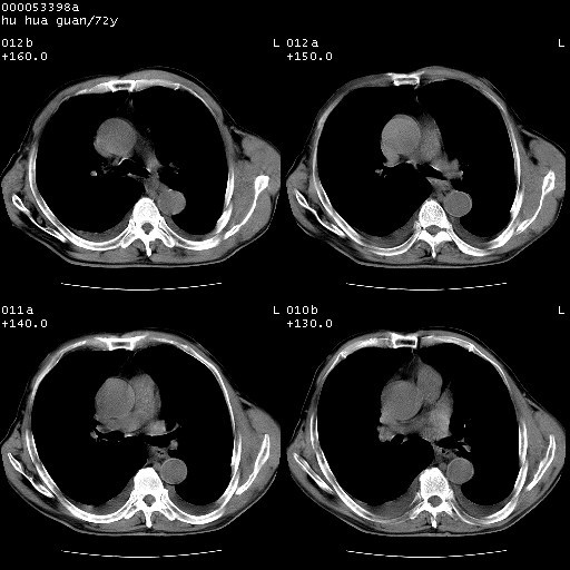
1、右上肺结节病变,肺泡癌不除外,请随诊;左下肺近后纵隔病变,考虑纵隔型肺癌侵犯大血管可能;
2、右下肺背段少许炎症,双侧胸腔积液,右下肺纤维索条。
各位战友看看有什么意见,说说征象理由
我想如果要是血管病变破了话早就死人了
作者: 深泽交通    时间: 2008-9-6 17:43
降主动脉前移位,后纵隔占位
作者: sdzyy    时间: 2008-9-6 18:40
后纵隔占位,降主动脉前移位;双侧胸腔积液;应排外食管病变侵犯血管可能;
作者: 边生丽    时间: 2008-9-6 18:52
病史呢?
作者: 边生丽    时间: 2008-9-6 18:55
请补充点病史,
作者: jsgdoctor    时间: 2008-9-6 19:23
主动脉瘤破裂
作者: arven    时间: 2008-9-6 21:08
标题: 回复:ct15582:m,72y。请老师帮分析胸部病变。
以下是引用代课学生在2008-9-6 9:30:00的发言:[br]1、右肺周围性肺癌、胸腔积液(双)[br]2、建议食道吞钡和增强检查排除食道和主动脉病变[br]3、后纵隔淋巴类肿瘤

没说有主动脉瘤的临床表现
作者: klw    时间: 2008-9-7 00:59
建议排除结核引起的冷脓肿。




欢迎光临 医影在线 (http://bbs.radida.com/bbs/) Powered by Discuz! X3.2