医影在线

标题: CT15583:M,53Y。请老师指教分析骨盆及其他病变。 [打印本页]

作者: 光影★笑子    时间: 2008-9-6 07:13
标题: CT15583:M,53Y。请老师指教分析骨盆及其他病变。


































[本贴已被 jiajie 于 2008-9-5 23:27:33 修改过]

作者: qc80012345    时间: 2008-9-6 08:34
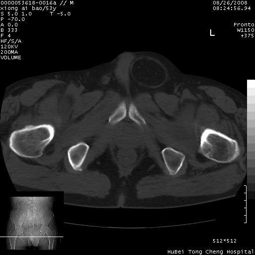
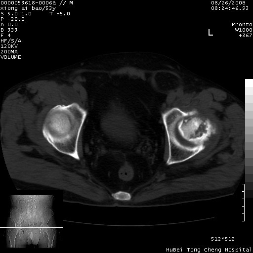
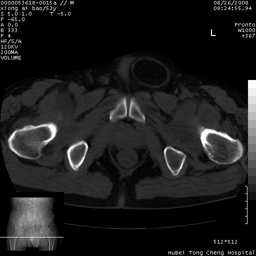
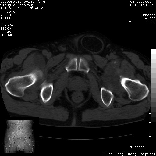
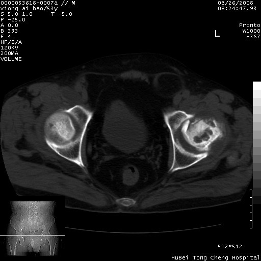
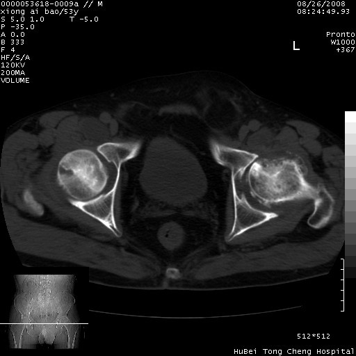
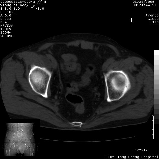
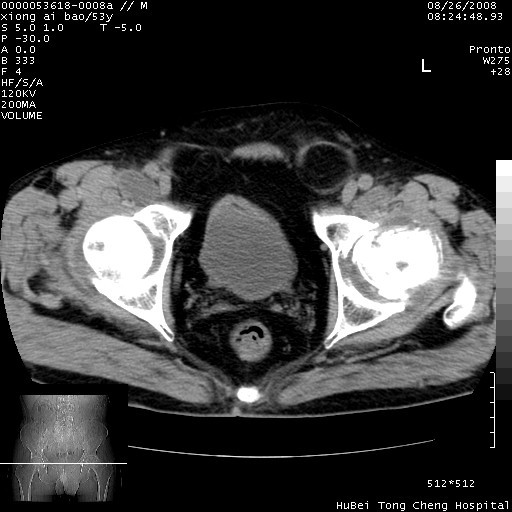
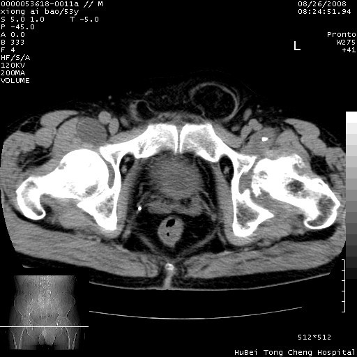
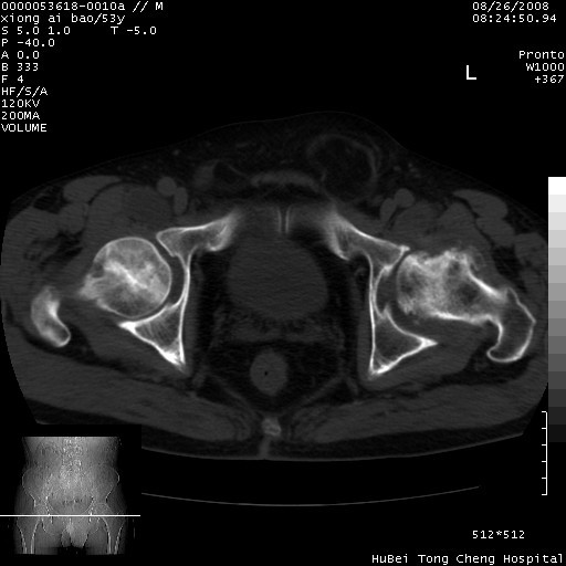
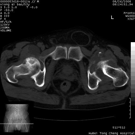
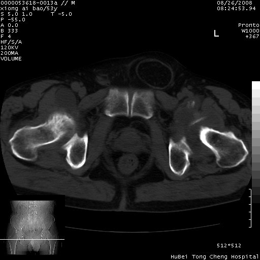
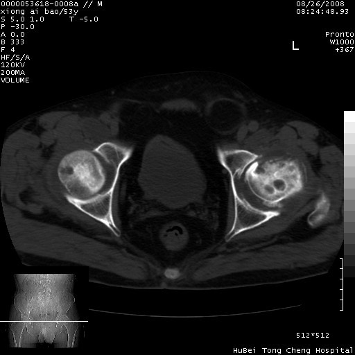
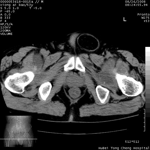
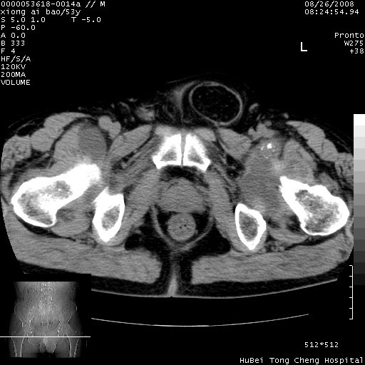
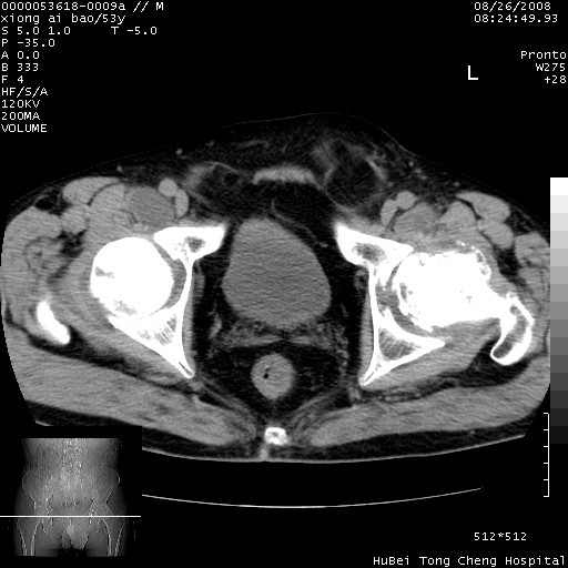
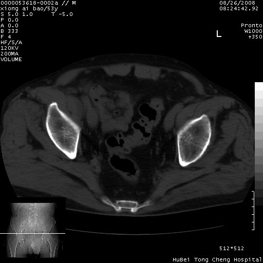
股骨头坏死/腹股沟疝。
作者: zsl6918    时间: 2008-9-6 14:32
标题: 回复:ct15583:m,53y。请老师指教分析骨盆及其他病变。
双侧股骨头无菌坏死,左侧腹股沟斜疝。
作者: QINGJING    时间: 2008-9-6 17:24
非常典型病例,双侧股骨头坏死伴双髋关节周围软组织肿胀,左腹股沟疝。
作者: 代课学生    时间: 2008-9-6 17:34
支持以上意见。
作者: 黑白光影    时间: 2008-9-6 18:12
支持双侧股骨头无菌坏死,左侧腹股沟斜疝。
作者: sdzyy    时间: 2008-9-6 18:25
双侧股骨头坏死伴双髋关节周围软组织肿胀,左腹股沟疝。
作者: 钝刀    时间: 2008-9-6 18:35
标题: 回复:ct15583:m,53y。请老师指教分析骨盆及其他病变。
以下是引用zsl6918在2008-9-6 6:32:00的发言:[br]双侧股骨头无菌坏死,左侧腹股沟斜疝。[br]

作者: 边生丽    时间: 2008-9-6 18:47
双侧骨股头无菌性坏死,左侧腹股沟疝
作者: a5    时间: 2008-9-6 19:02
双侧骨股头无菌性坏死,左侧腹股沟疝
作者: 子期    时间: 2008-9-6 20:19
双侧髋关节肿胀明显,感觉还不能排除结核。
作者: arven    时间: 2008-9-6 20:44
标题: 回复:ct15583:m,53y。请老师指教分析骨盆及其他病变。
以下是引用zsl6918在2008-9-6 6:32:00的发言:[br]双侧股骨头无菌坏死,左侧腹股沟斜疝。[br]

作者: jsgdoctor    时间: 2008-9-6 21:48
考虑双侧髋关节结核,左侧腹股沟疝
作者: jinguoji    时间: 2008-9-7 04:34
双侧股骨头无菌坏死,左侧腹股沟斜疝。




欢迎光临 医影在线 (http://bbs.radida.com/bbs/) Powered by Discuz! X3.2