










以下是引用zsl6918在2008-9-6 6:26:00的发言:[br]建议强化,考虑转移可能性大。
以下是引用zxd95在2008-9-6 7:20:00的发言:[br]考虑转移瘤,查肺。
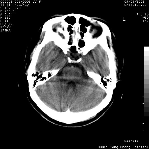
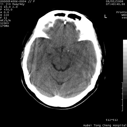
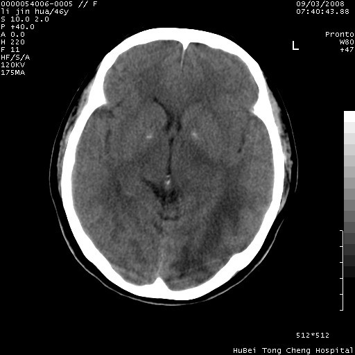
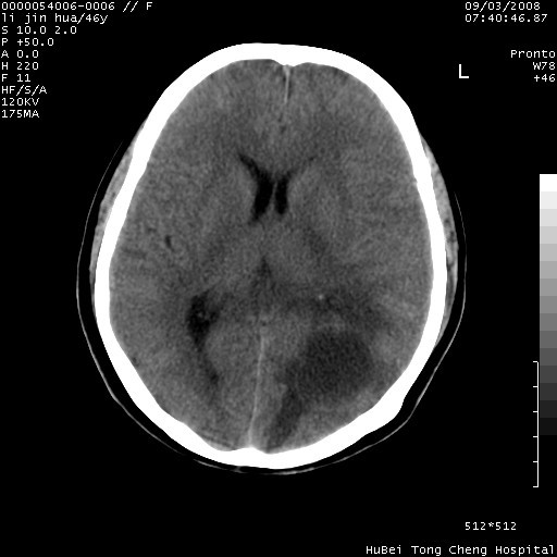
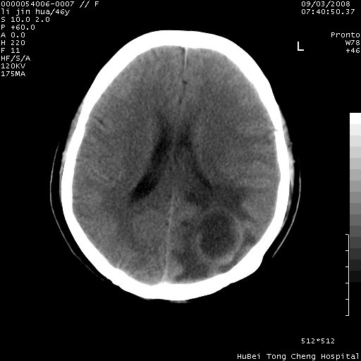
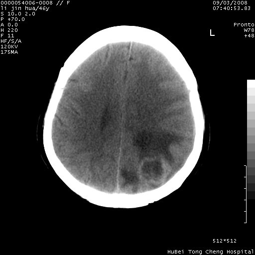
以下是引用panyishengct在2008-9-6 1:47:00的发言:[br]病史?[br]左侧枕/顶叶见一等/低混杂密度占位,壁完整,厚薄较均匀,其前方似有一类似小病灶,周围有水肿带,请结合病史考虑,脓肿可能,不排外转移瘤或胶质瘤,建议增强扫描。
以下是引用qingjing在2008-9-6 9:20:00的发言:[br]你下回一定要把病史提供完全,要不没有考虑方向,左枕部占位,建议mr;[br]这有什么意义呢?是吧
以下是引用代课学生在2008-9-6 9:39:00的发言:[br]在无病史资料的情况下,脑脓肿、脑转移瘤、胶质瘤都有可能。还是先了解一下病史吧。
以下是引用panyishengct在2008-9-6 1:47:00的发言:[br]病史?[br]左侧枕/顶叶见一等/低混杂密度占位,壁完整,厚薄较均匀,其前方似有一类似小病灶,周围有水肿带,请结合病史考虑,脓肿可能,不排外转移瘤或胶质瘤,建议增强扫描。
| 欢迎光临 医影在线 (http://bbs.radida.com/bbs/) | Powered by Discuz! X3.2 |