















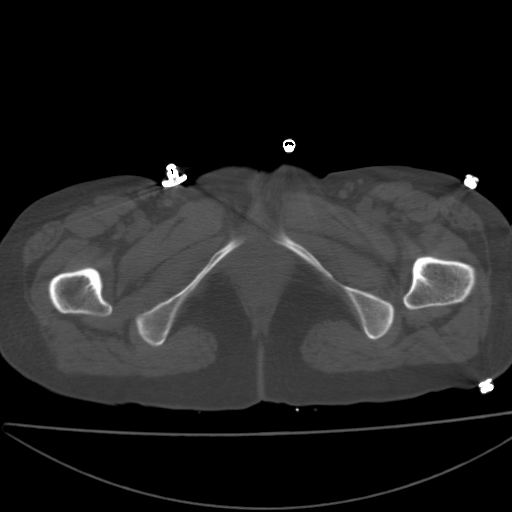
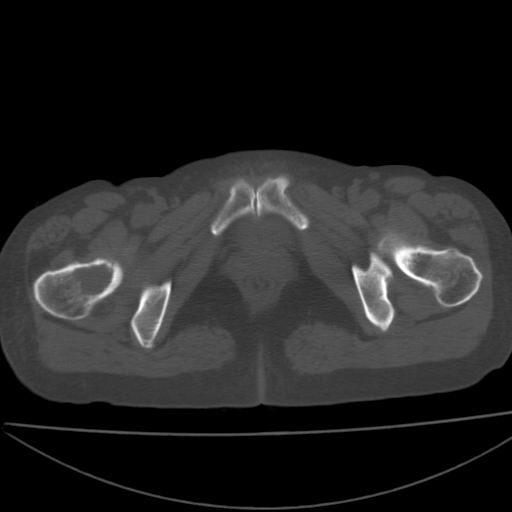
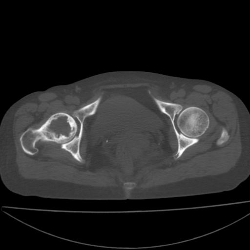
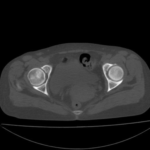
以下是引用xiaoniu在2008-9-6 8:22:00的发言:[br]右侧股骨颈囊性低密度,囊壁边缘硬化,中年妇女,首先考虑:骨囊肿。其次考虑动脉瘤样骨囊肿。[br][br][br][本贴已被 xiaoniu 于 2008-9-6 9:04:54 修改过]
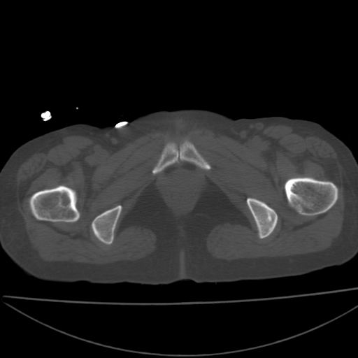
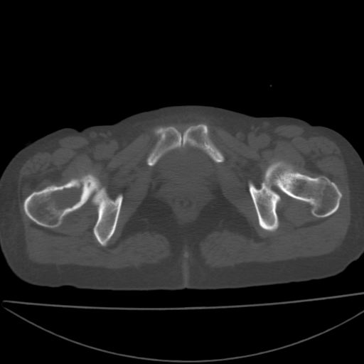
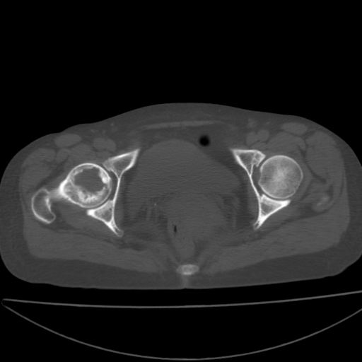
以下是引用xiaoniu在2008-9-6 8:22:00的发言:[br]右侧股骨颈囊性低密度,囊壁边缘硬化,中年妇女,首先考虑:骨囊肿。其次考虑动脉瘤样骨囊肿。[br][br][br][本贴已被 xiaoniu 于 2008-9-6 9:04:54 修改过]
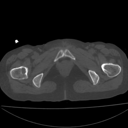
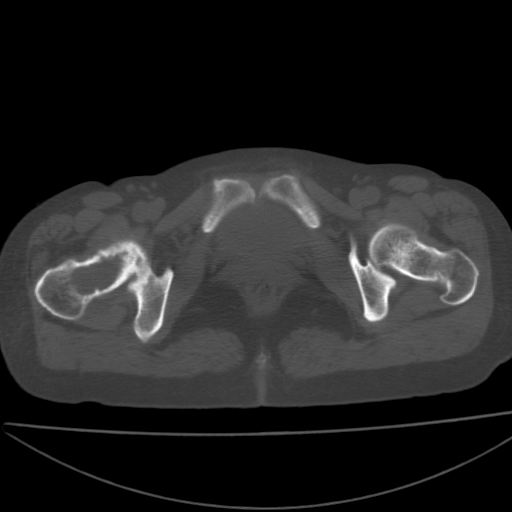
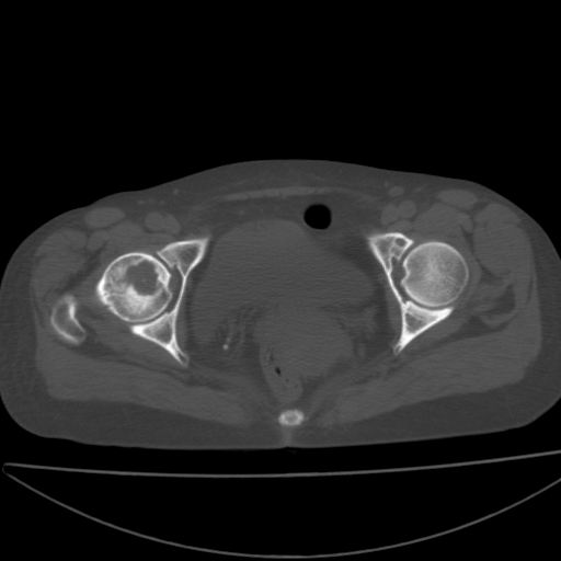
以下是引用xiaoniu在2008-9-6 8:22:00的发言:[br]右侧股骨颈囊性低密度,囊壁边缘硬化,中年妇女,首先考虑:骨囊肿。其次考虑动脉瘤样骨囊肿。[br][br][br][本贴已被 xiaoniu 于 2008-9-6 9:04:54 修改过]
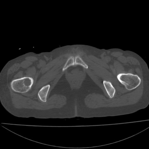
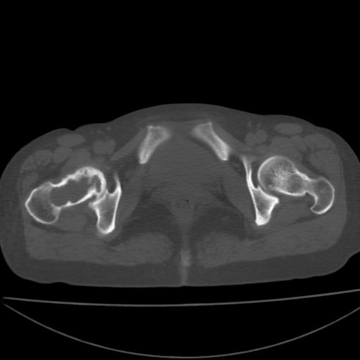
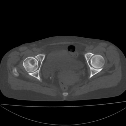
以下是引用xiaoniu在2008-9-6 8:22:00的发言:[br]右侧股骨颈囊性低密度,囊壁边缘硬化,中年妇女,首先考虑:骨囊肿。其次考虑动脉瘤样骨囊肿。[br][br][br][本贴已被 xiaoniu 于 2008-9-6 9:04:54 修改过]
| 欢迎光临 医影在线 (http://bbs.radida.com/bbs/) | Powered by Discuz! X3.2 |