医影在线

标题: X0288:右下叶背段肺脓疡 [打印本页]

作者: 向医生    时间: 2005-7-3 08:31
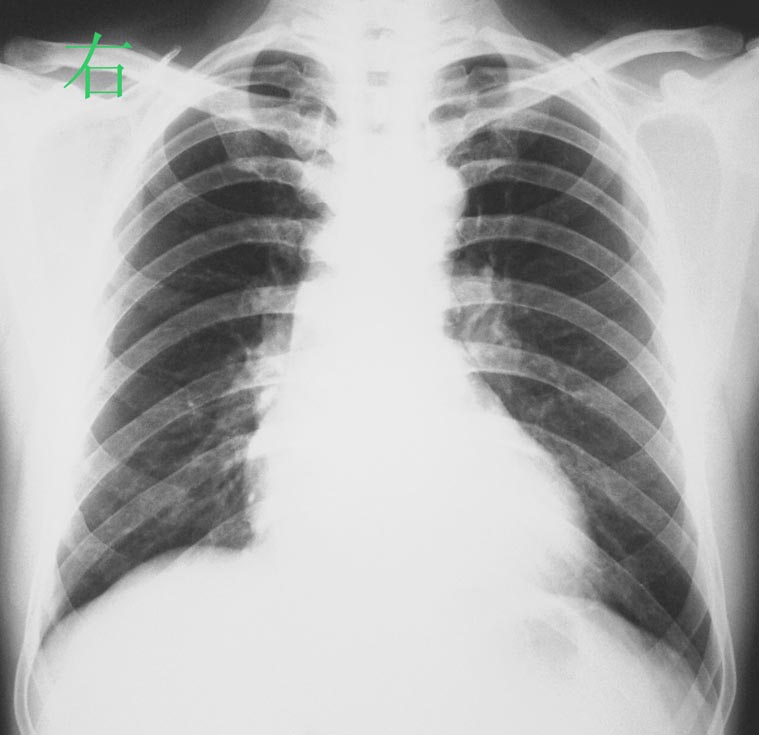
标题: X0288:右下叶背段肺脓疡
患者经抗炎治疗1个月病灶完全吸收。
最后诊断:右下叶背段肺脓疡。
图片请看:http://www.radida.com/bbs/forum.php?mod=viewthread&tid=4404&page=1
作者: wskgmmyvtkd    时间: 2005-7-3 13:48
?????????????????????????????????????????????????????????
[emb12]
作者: 向医生    时间: 2005-7-4 16:35
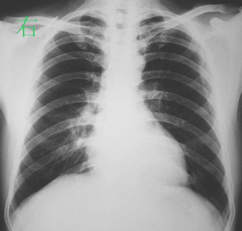
标题: 回复:x0288:随访图片
患者经抗炎治疗后一周+图片,病灶明显吸收.


患者抗炎治疗后三周图片,病灶已基本吸收.



[本贴已被 向医生 于 2005-7-4 8:36:08 修改过]

作者: 林建春    时间: 2005-8-28 06:25
[emb7][emb26]好的,向老师有始有终.我们要向您好好学习!




欢迎光临 医影在线 (http://bbs.radida.com/bbs/) Powered by Discuz! X3.2