医影在线

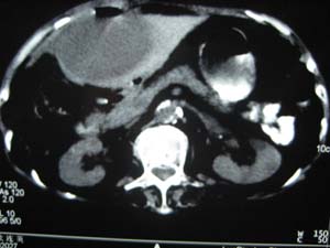
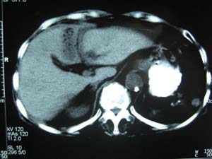
标题: CT15625:女性78Y,十天前胃镜示胃穿孔,现低热 [打印本页]

作者: gdxiaozhe    时间: 2008-9-9 20:04
标题: CT15625:女性78Y,十天前胃镜示胃穿孔,现低热














[本贴已被 jiajie 于 2008-9-9 13:11:38 修改过]

作者: 前行    时间: 2008-9-9 20:53
肝脓肿/膈下脓肿?
作者: huangyinshan    时间: 2008-9-9 22:17
肝脓肿/膈下脓肿?
作者: 影象小辈    时间: 2008-9-9 22:35
肝脓肿/膈下脓肿?
作者: 深泽交通    时间: 2008-9-9 23:47
标题: 回复:ct15625:女性78y,十天前胃镜示胃穿孔,现低热
以下是引用huangyinshan在2008-9-9 14:17:00的发言:[br]肝脓肿/膈下脓肿?

作者: jian690325    时间: 2008-9-10 00:07
膈下脓肿
作者: 卜一    时间: 2008-9-10 00:19
肝脓肿/膈下脓肿?
作者: Yuejun2001    时间: 2008-9-10 00:25
隔下肿脓.
作者: 杀毒软件    时间: 2008-9-10 02:12
支持--膈下脓肿
作者: 谨言慎行    时间: 2008-9-10 02:21
标题: 回复:ct15625:女性78y,十天前胃镜示胃穿孔,现低热
以下是引用jian690325在2008-9-9 16:07:00的发言:[br]膈下脓肿

作者: qiuleiyu    时间: 2008-9-10 02:29
膈下及肝脓肿。
作者: xulianj    时间: 2008-9-10 04:26
支持--膈下脓肿
作者: 光影★小胖    时间: 2008-9-10 06:05
支持--膈下脓肿
作者: zsl6918    时间: 2008-9-10 06:16
考虑多发性肝脓肿。
作者: tao772    时间: 2008-9-10 17:28
肝脓肿/膈下脓肿?




欢迎光临 医影在线 (http://bbs.radida.com/bbs/) Powered by Discuz! X3.2