


























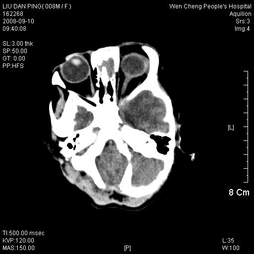
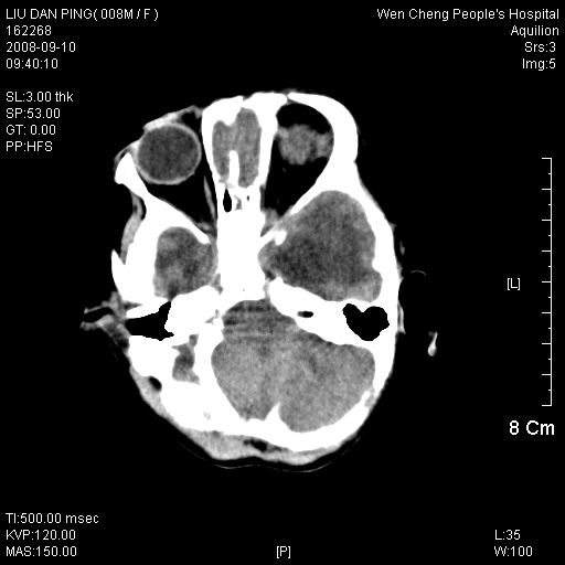
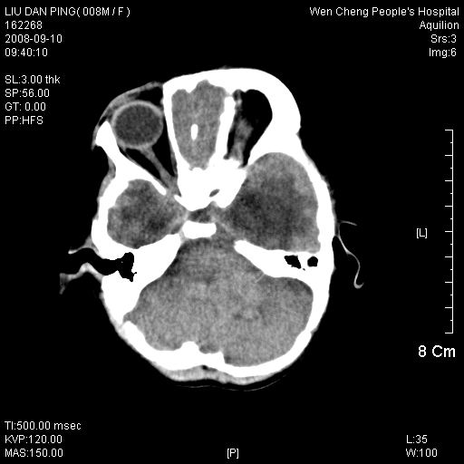
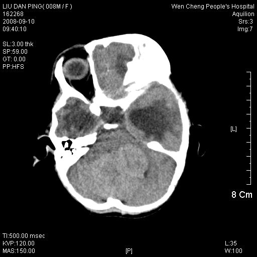
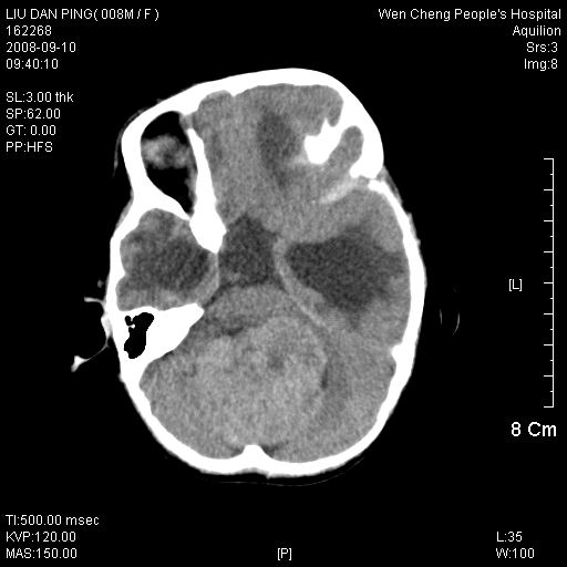
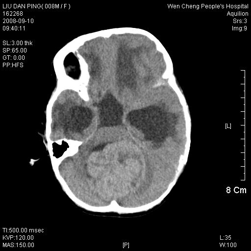
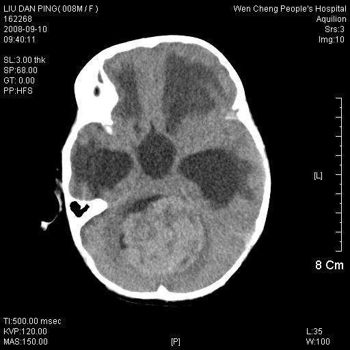
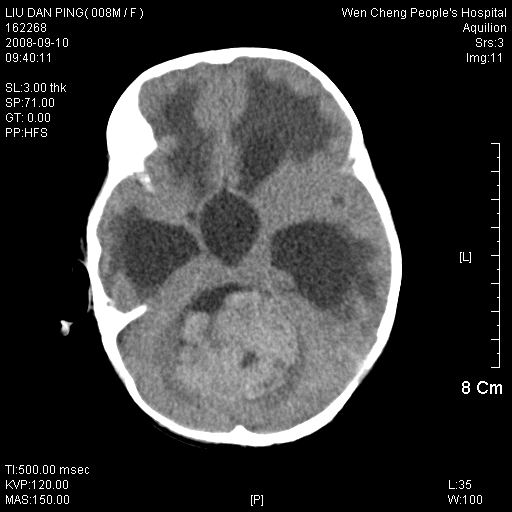
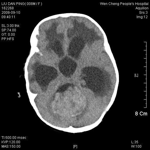
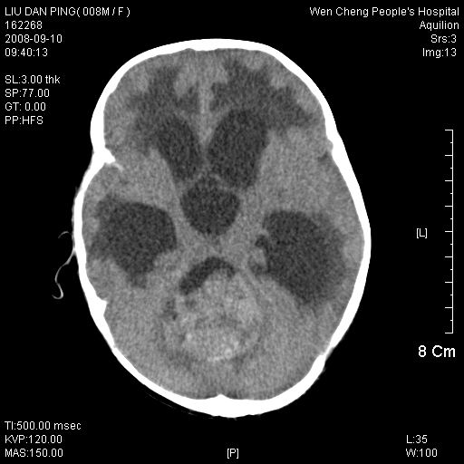
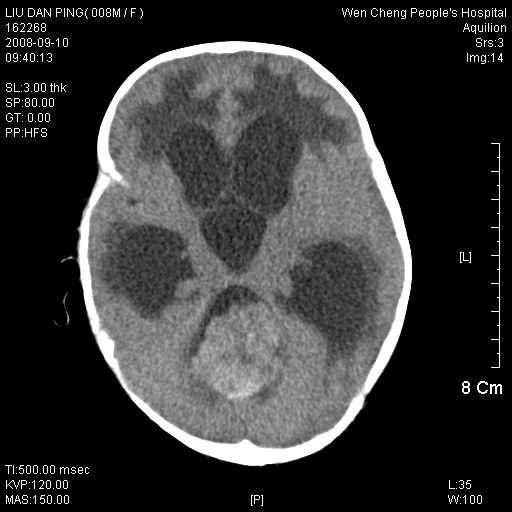
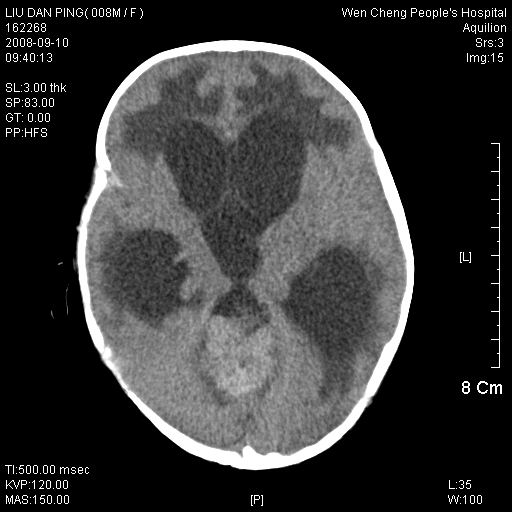
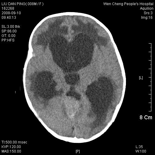
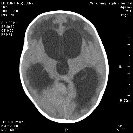
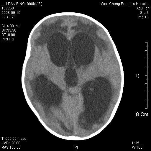
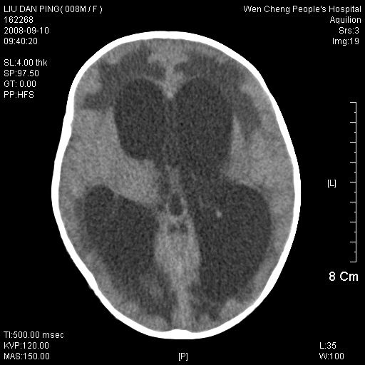
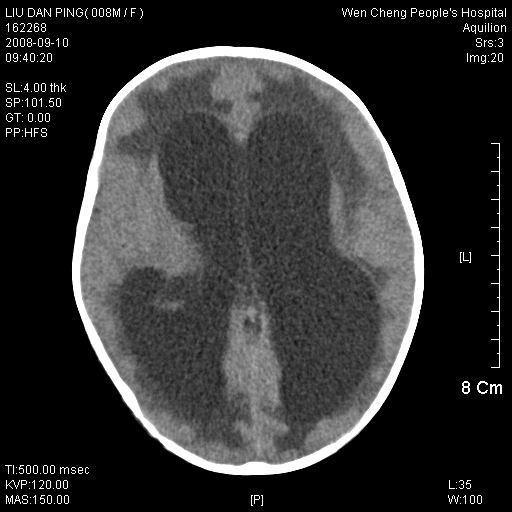
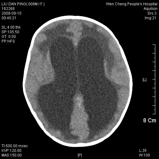
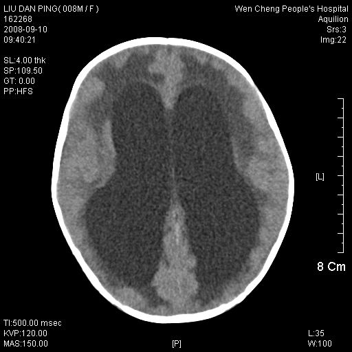
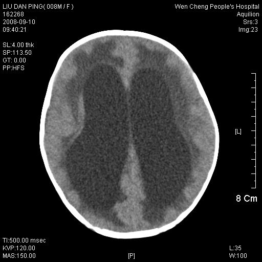
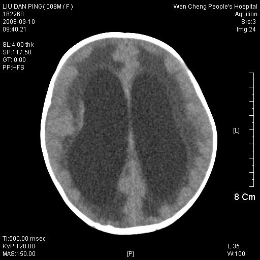
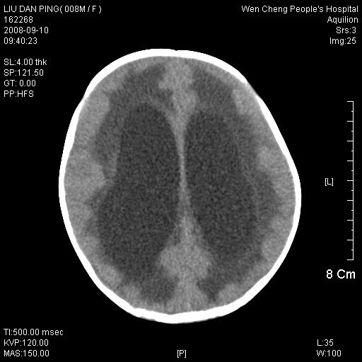
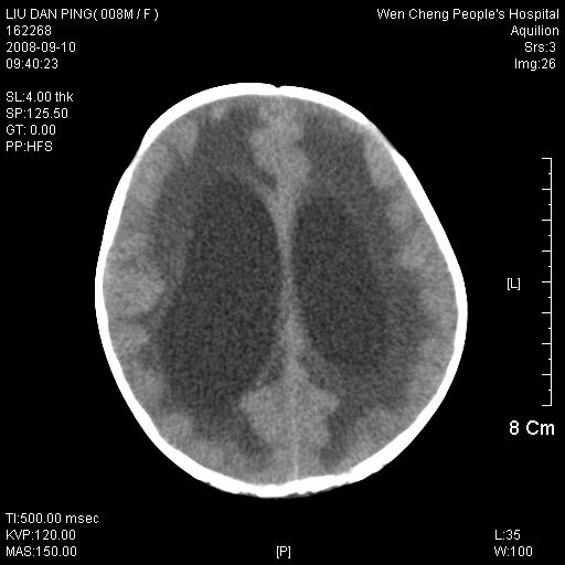
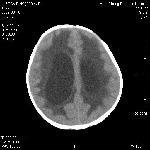
以下是引用深泽交通医院在2008-9-10 15:08:00的发言:[br]髓母瘤并脑积水
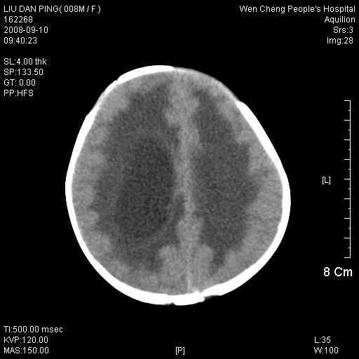
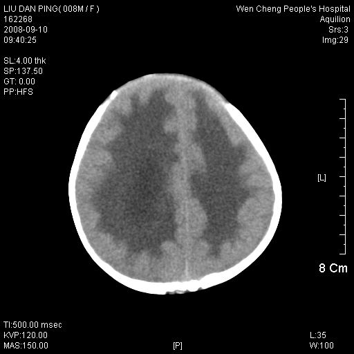
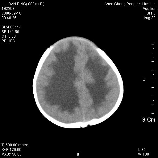
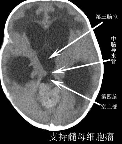
以下是引用卜一在2008-9-10 16:21:00的发言:[br]髓母细胞瘤伴梗阻性脑积水!支持![br]髓母细胞瘤特点:—般直径大于3.5cm,位于后颅凹中线之小脑蚓部。累及上蚓部的肿瘤延伸到小脑幕切迹之上,ct平扫肿瘤多呈均匀一致的高或等密度病灶,增强检查呈均匀一致的强化。病灶中有小坏死时,平扫亦可呈不均匀之混杂密度,注药后有增强。[br]
以下是引用yuhongjun在2008-9-10 16:57:00的发言:[br]髓母细胞瘤伴梗阻性脑积水.
以下是引用lirenxiong在2008-9-10 18:47:00的发言:[br]教科书般经典!谢谢!
以下是引用yuhongjun在2008-9-10 16:57:00的发言:[br]髓母细胞瘤伴梗阻性脑积水.

以下是引用zjzjr在2008-9-10 15:09:00的发言:[br]髓母细胞瘤伴梗阻性脑积水.
| 欢迎光临 医影在线 (http://bbs.radida.com/bbs/) | Powered by Discuz! X3.2 |