








以下是引用lirenxiong在2008-9-18 10:45:00的发言:[br]本人多考虑脑囊虫,请指教!谢谢!
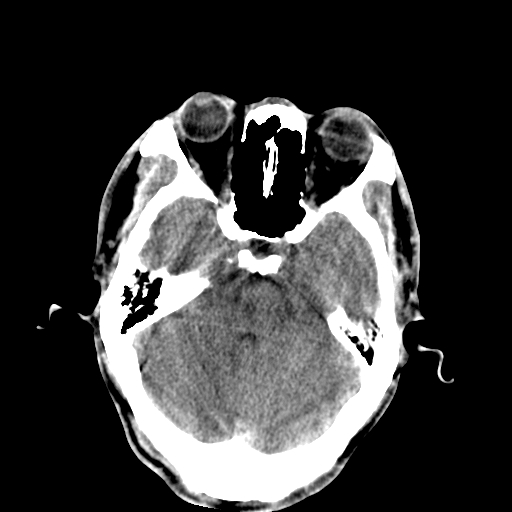
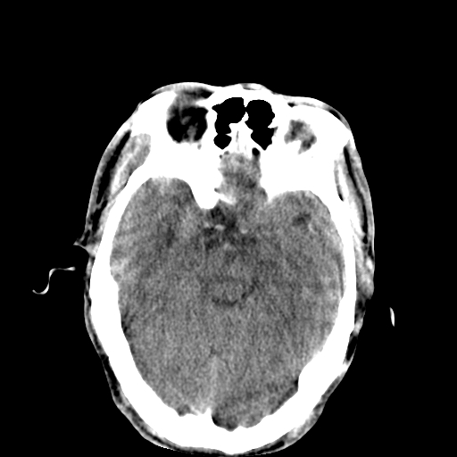
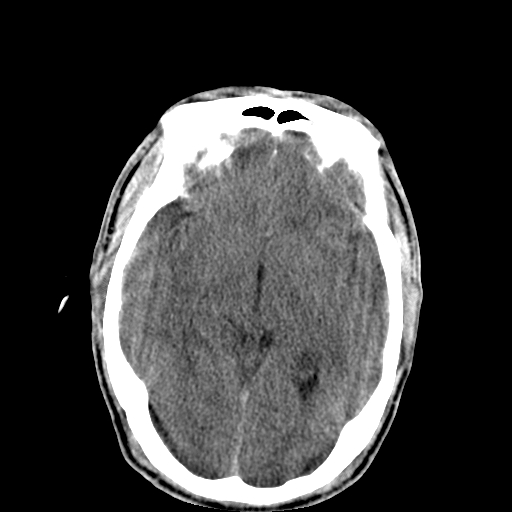
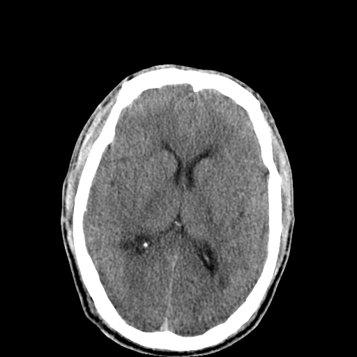
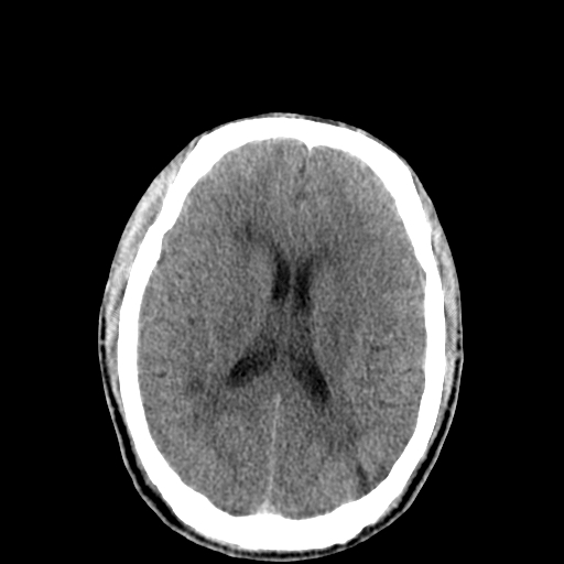
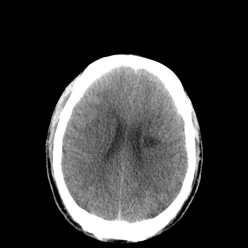
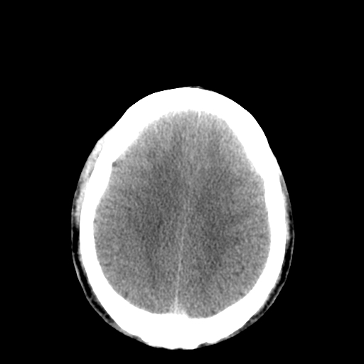
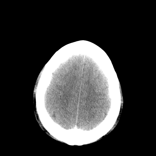
以下是引用李衡钧在2008-9-18 17:37:00的发言:[br]脑质内见两个低密度灶,其内见点状高密度。[br]考虑脑囊虫。建议增强或进一步检查确诊。
以下是引用李衡钧在2008-9-18 17:37:00的发言:[br]脑质内见两个低密度灶,其内见点状高密度。[br]考虑脑囊虫。建议增强或进一步检查确诊。
以下是引用谨言慎行在2008-9-18 17:22:00的发言:[br]建议增强
以下是引用chmh在2008-9-18 18:45:00的发言:[br]考虑脑囊虫病可能性大,建议行ct增强检查及血清和脑脊液囊虫补体结合试验.
| 欢迎光临 医影在线 (http://bbs.radida.com/bbs/) | Powered by Discuz! X3.2 |