医影在线

标题: PED1027:女,5岁,平素活动后气短,左侧面瘫.肺发育不全 [打印本页]

作者: zhangyang66    时间: 2008-9-19 03:34
标题: PED1027:女,5岁,平素活动后气短,左侧面瘫.肺发育不全
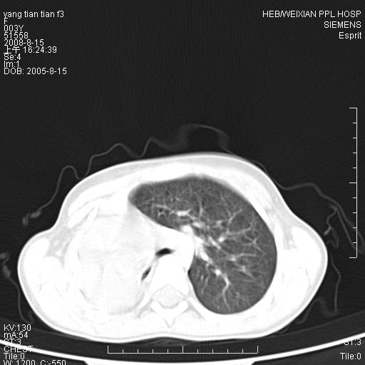
患儿,女,5岁,平素活动后气短,左侧面瘫.右侧胸廓较左侧塌陷.














[本贴已被 jiajie 于 2008-9-18 22:16:53 修改过]

作者: zhangyang66    时间: 2008-9-19 03:38
肺发育异常,包括肺不发育和发育不全。多合并其他畸形。可分为两侧、一侧肺或一叶发育异常。
一侧肺发育异常通常分三种1。肺不发育:患侧支气管、肺和血管完全缺如。2,肺发育不全;患侧仅有一小段支气管盲管,而无肺组织和血管系统。或患侧主支气管形成,但小于正常。,肺组织发育不完全,或有支气管囊肿。3,肺叶发育不全:肺叶支气管末端有许多相互交通德囊腔构成的无正常结构的肺组织。

两侧胸廓不甚对称,左侧稍膨隆,右肺体积明显变小,密度增高,未见正常通气肺组织,纵隔结构明显右移,心脏边缘欠清,外形似增大。纵隔血管间隙不清晰,左肺外形增大,部分肺组织突向右侧胸腔,左肺内未见异常密度影,右侧支气管逐渐变细,其内未见异常密度影。右侧未见叶及段支气管。右侧膈肌升高。
1。右肺体积小(考虑右肺发育不全)
2。左肺代偿性增大
3。心影增大?
作者: xulianj    时间: 2008-9-19 04:26
右侧一侧性肺发育不全
作者: 同    时间: 2008-9-19 04:52
右侧肺发育不全.
作者: LIAIZHI    时间: 2008-9-19 05:36
考虑右肺发育不全。
作者: ZHANGZHONGSHOU    时间: 2008-9-19 06:34
右肺发育不良。
作者: yangyudong333    时间: 2008-9-19 14:52
右侧肺发育不全.
作者: haha215315    时间: 2008-9-19 17:45
最好做一个支气管镜确诊一下。
作者: haha215315    时间: 2008-9-19 17:46
最好做一个支气管镜确诊一下。
作者: fgp198    时间: 2008-9-19 19:28
右侧肺发育不全.
作者: 随光逐影    时间: 2008-9-20 00:16
1)考虑右肺发育不全。2)右侧肺不张?
作者: scdlc2008    时间: 2008-9-21 06:23
右肺发育不全
作者: liuyue    时间: 2008-9-21 08:38
右侧肺发育不全.
支持.
作者: 杀毒软件    时间: 2008-9-22 00:54
支持
作者: cefcmj    时间: 2008-9-22 05:49
支持右侧肺发育不全。
作者: dyqct    时间: 2008-9-24 16:50
支持右肺发育不全。
作者: jinguoji    时间: 2008-10-2 05:20
考虑右肺发育不全。




欢迎光临 医影在线 (http://bbs.radida.com/bbs/) Powered by Discuz! X3.2