医影在线

标题: CT15786:腰痛,腿麻三个月 [打印本页]

作者: 风雨彩虹    时间: 2008-9-20 07:09
标题: CT15786:腰痛,腿麻三个月
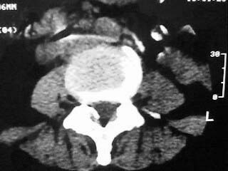
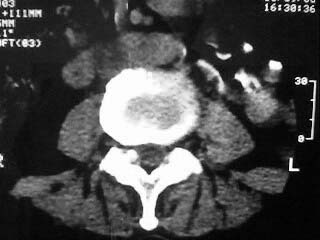
f,64。腰痛,腿麻三个月






是黄韧带钙化吗

[本贴已被 翁志蓬 于 2008-9-19 23:39:21 修改过]

作者: liyf    时间: 2008-9-20 07:31
腰椎退行性变;黄韧带钙化。
作者: 深泽交通    时间: 2008-9-20 17:24
标题: 回复:ct15786:腰痛,腿麻三个月
以下是引用liyf在2008-9-19 23:31:00的发言:[br]腰椎退行性变;黄韧带钙化。

作者: mzh123    时间: 2008-9-21 05:19
黄韧带增厚钙化
作者: 南乔峰    时间: 2008-9-21 05:30
腰椎退行性变;黄韧带钙化。
作者: arven    时间: 2008-9-21 05:34
标题: 回复:ct15786:腰痛,腿麻三个月
以下是引用南乔峰在2008-9-20 21:30:00的发言:[br]腰椎退行性变;黄韧带钙化。

作者: xulianj    时间: 2008-9-21 05:54
腰椎退行性变;黄韧带钙化。
作者: 流浪星    时间: 2008-9-21 06:17
腰椎退行性变;黄韧带钙化。
作者: 358450m    时间: 2008-9-21 06:57
标题: 回复:ct15786:腰痛,腿麻三个月
以下是引用liyf在2008-9-19 23:31:00的发言:[br]腰椎退行性变;黄韧带钙化。

作者: yangyudong333    时间: 2008-9-21 14:16
腰椎退行性变;黄韧带钙化。
作者: duguo    时间: 2008-9-21 14:54
也可以是小关节增生所致.
作者: DXM    时间: 2008-9-21 16:57
黄韧带增厚钙化
作者: lb20088    时间: 2008-9-21 17:59
黄韧带增厚钙化
作者: zjzjr    时间: 2008-9-21 20:40
腰椎退行性变;黄韧带钙化。
作者: 黑白光影    时间: 2008-9-21 23:47
支持大家。
作者: 初学者LANMEI    时间: 2009-10-2 01:29
腰椎退行性变;黄韧带钙化。
作者: 叶盟    时间: 2010-3-6 05:49
是!黄韧带钙化的诊断没问题!!




欢迎光临 医影在线 (http://bbs.radida.com/bbs/) Powered by Discuz! X3.2