医影在线

标题: PED1032:男,7岁。两周前发烧,平片检查提示肺炎。 [打印本页]

作者: fanshl    时间: 2008-9-21 11:32
标题: PED1032:男,7岁。两周前发烧,平片检查提示肺炎。
男,7岁。两周前发烧,平片检查提示肺炎。用抗生素治疗烧退,但病变仍没有消退。到防疫站进行结核的ppd试验检查为阴性。
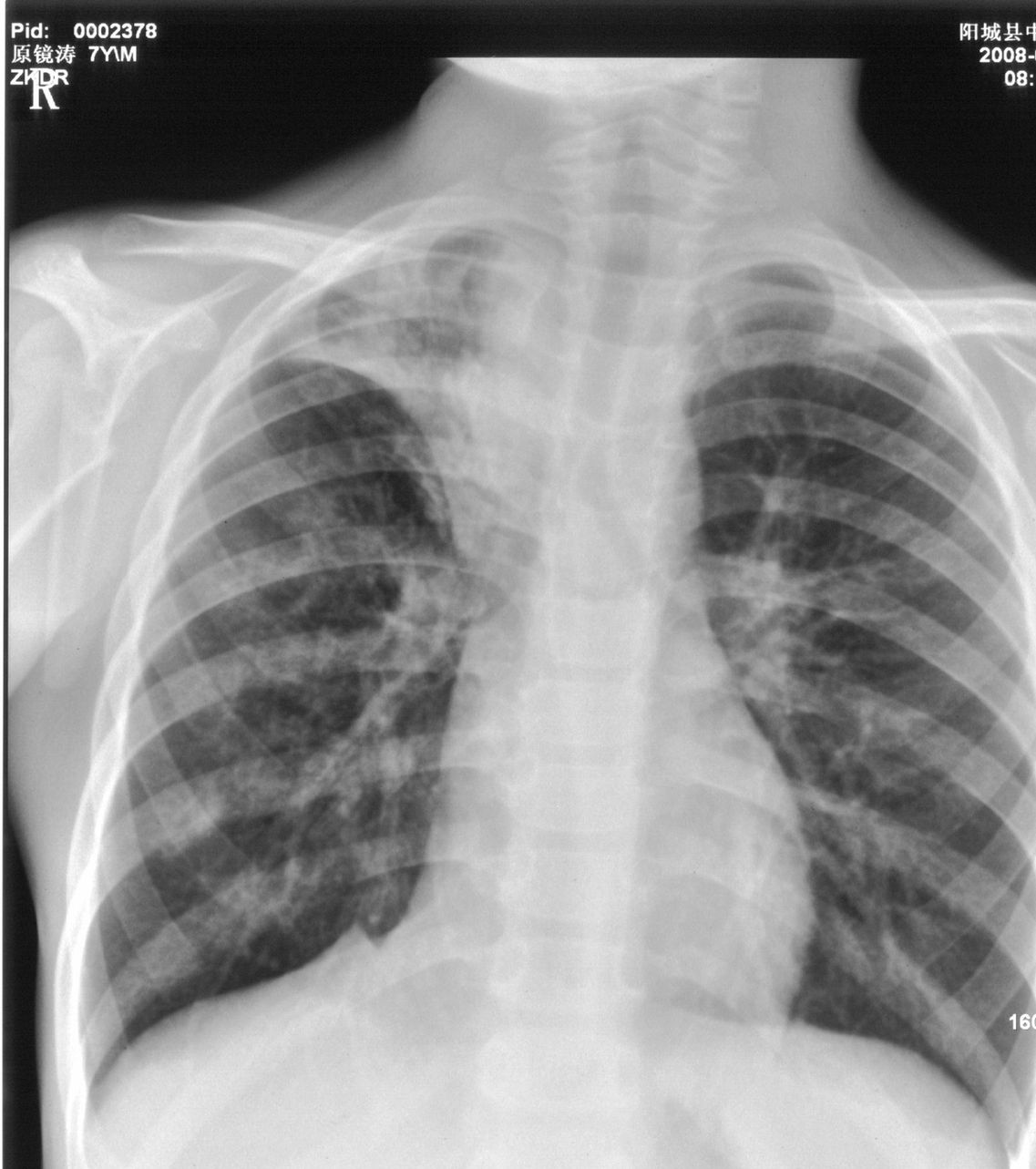
9月8号平片检查情况:

9月15号平片检查情况:

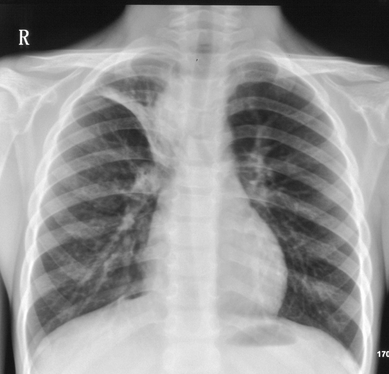
9月20号平片检查情况:

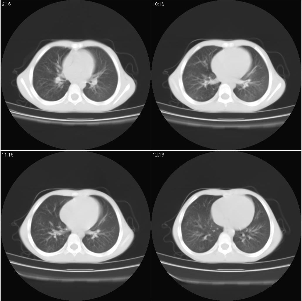
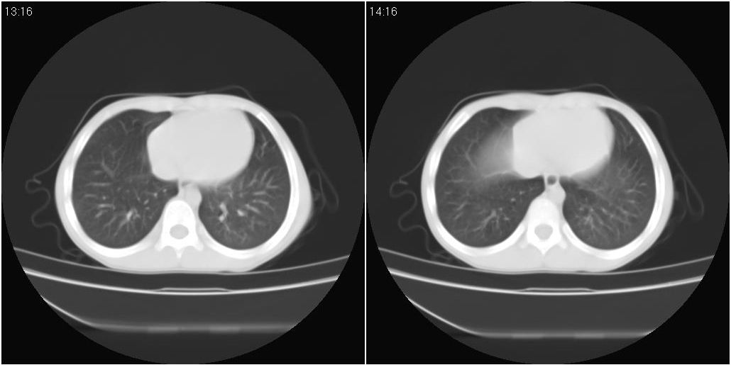
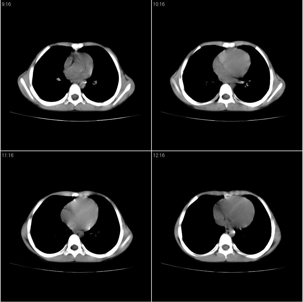
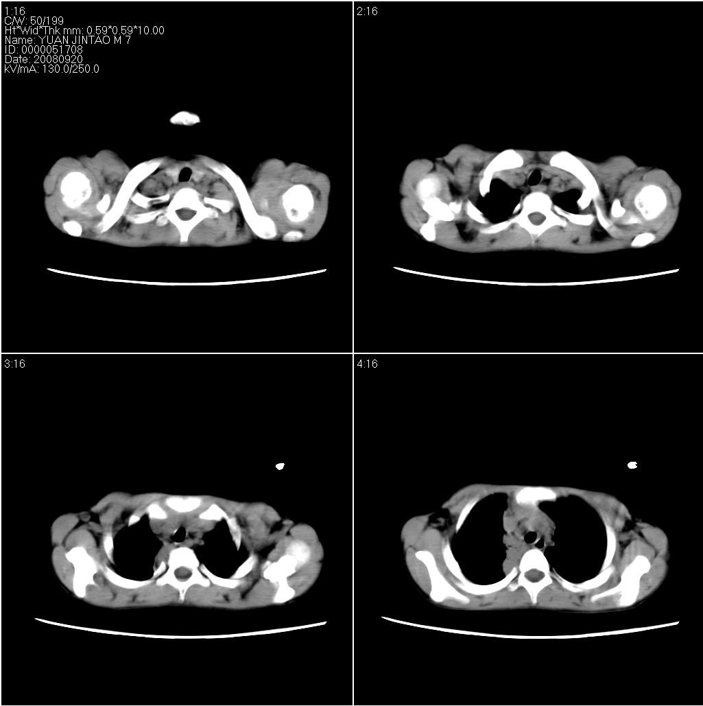
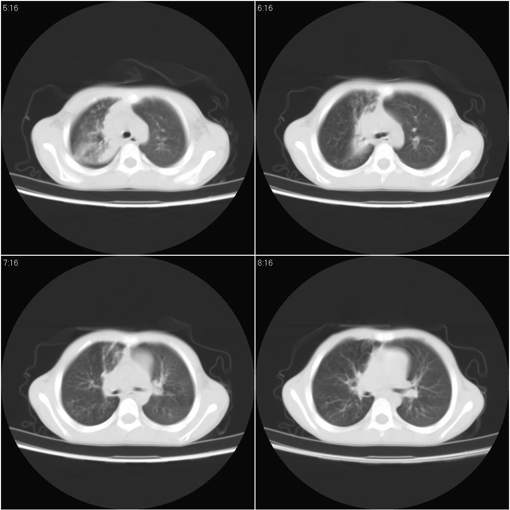
9月20号ct检查情况:











[本贴已被 jiajie 于 2008-9-21 6:13:00 修改过]

作者: duguo    时间: 2008-9-21 15:06
建议查一下支原体抗体.
作者: liaizhi    时间: 2008-9-21 23:48
右上肺有班片状条索状高密度影。右肺上叶支气管稍变窄。右前上纵隔有结节状软组织密度影。上腔静脉旁淋巴结肿大。病灶抗炎后扩大。考虑结核可能性大。
作者: yangyudong333    时间: 2008-9-22 14:13
考虑胸内淋巴结核
作者: 杀毒软件    时间: 2008-9-23 01:44
先考虑-----支气管淋巴结结核----查痰
作者: 代课学生    时间: 2008-9-23 18:52
右上肺不均匀密度增高,体积变小,水平裂弧状上移,纵隔内有肿大的淋巴结。考虑:
   1、右上肺炎(吸收期),纵隔淋巴结肿大压迫右上叶肺膨张不全
   2、纵隔淋巴结结核不能排除
      建议继续抗炎治疗短期复查
作者: jiangjing    时间: 2008-9-23 20:31
右上肺不均匀密度增高,体积变小,水平裂弧状上移,纵隔内有肿大的淋巴结。考虑:
   1、右上肺炎(吸收期),纵隔淋巴结肿大压迫右上叶肺膨张不全
   2、纵隔淋巴结结核不能排除
      建议继续抗炎治疗短期复查
作者: dyqct    时间: 2008-9-24 03:18
标题: 回复:ped1032:男,7岁。两周前发烧,平片检查提示肺炎。
以下是引用代课学生在2008-9-23 10:52:00的发言:[br]右上肺不均匀密度增高,体积变小,水平裂弧状上移,纵隔内有肿大的淋巴结。考虑:[br]   1、右上肺炎(吸收期),纵隔淋巴结肿大压迫右上叶肺膨张不全[br]   2、纵隔淋巴结结核不能排除[br]      建议继续抗炎治疗短期复查

支持!




欢迎光临 医影在线 (http://bbs.radida.com/bbs/) Powered by Discuz! X3.2