医影在线
标题: CT15789:男性,72岁。食管癌术后14年。 [打印本页]
作者: fanshl 时间: 2008-9-21 11:48
标题: CT15789:男性,72岁。食管癌术后14年。















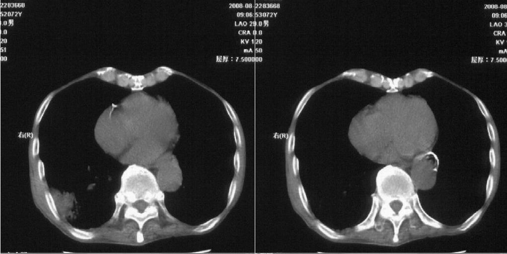
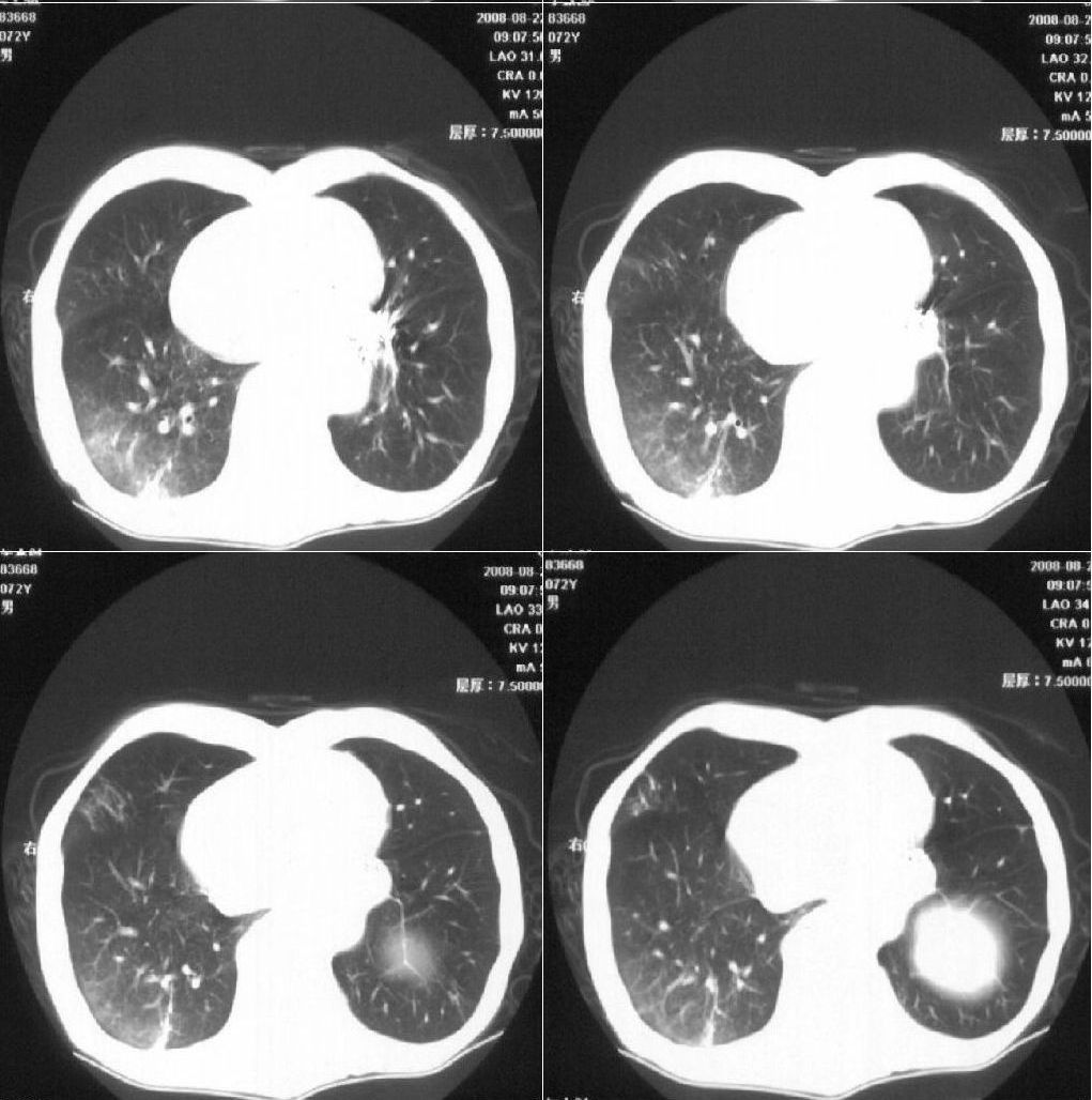
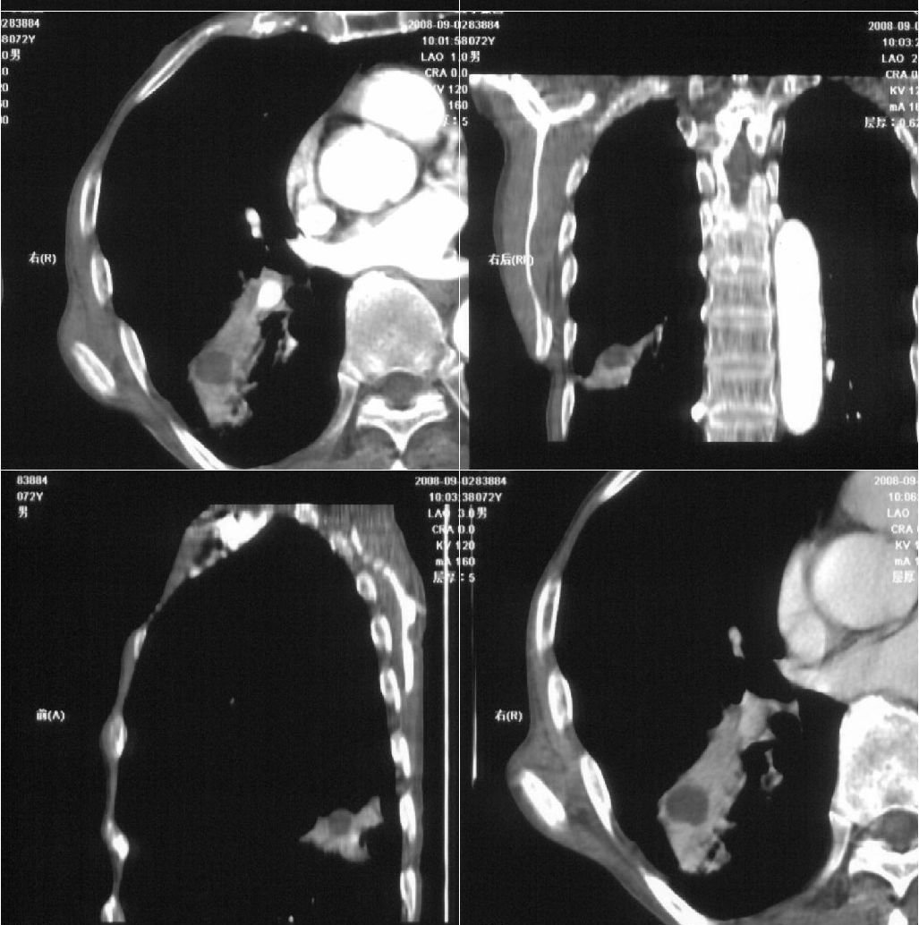
痰培养:见葡萄球菌,霉菌少量生长。(此片系外院所作,仅提供了增强后的ct值为100hu,中心的坏死部分无强化,患者现在身体状况欠佳,为恶液质状态)
[本贴已被 jiajie 于 2008-9-21 6:03:02 修改过]
作者: yangyudong333 时间: 2008-9-21 14:10
考虑炎症,建议抗炎治疗后复查
作者: duguo 时间: 2008-9-21 14:47
支持2楼.
作者: DXM 时间: 2008-9-21 16:48
考虑肺癌可能性大伴阻塞性炎症
作者: 深泽交通 时间: 2008-9-21 17:45
标题: 回复:ct15789:男性,72岁。食管癌术后14年。
以下是引用yangyudong333在2008-9-21 6:10:00的发言:[br]考虑炎症,建议抗炎治疗后复查
作者: qc80012345 时间: 2008-9-21 18:10
抗炎治疗后复查/可作菌培养。
作者: lb20088 时间: 2008-9-21 18:19
考虑感染
作者: zhangjixiang 时间: 2008-9-21 18:33
注意排外食管支气管瘘引起的肺部感染
作者: zjzjr 时间: 2008-9-21 22:00
周围型肺癌可能性大.
作者: 随光逐影 时间: 2008-9-21 22:32
考虑右肺下叶感染性病变(肺脓肿?);建议抗炎治疗后复查。
作者: arven 时间: 2008-9-21 23:49
病人无发热,消瘦,考虑ca
作者: 黑白光影 时间: 2008-9-22 01:15
标题: 回复:ct15789:男性,72岁。食管癌术后14年。
以下是引用zhangjixiang在2008-9-21 10:33:00的发言:[br]注意排外食管支气管瘘引起的肺部感染
作者: 杀毒软件 时间: 2008-9-22 01:45
标题: 回复:ct15789:男性,72岁。食管癌术后14年。
以下是引用随光逐影在2008-9-21 14:32:00的发言:[br]考虑右肺下叶感染性病变(肺脓肿?);建议抗炎治疗后复查。
作者: 谨言慎行 时间: 2008-9-22 01:56
考虑右下肺慢性感染性病变
作者: dsl555 时间: 2008-9-22 02:01
标题: 回复:ct15789:男性,72岁。食管癌术后14年。
以下是引用随光逐影在2008-9-21 14:32:00的发言:[br]考虑右肺下叶感染性病变(肺脓肿?);建议抗炎治疗后复查。
作者: jinguoji 时间: 2008-9-22 05:31
考虑右肺下叶感染性病变(肺脓肿?);建议抗炎治疗后复查。
作者: zsl6918 时间: 2008-9-22 06:17
符合机遇性感染,真菌可能性大。
作者: fanshl 时间: 2008-9-26 18:46
标题: 病例追踪
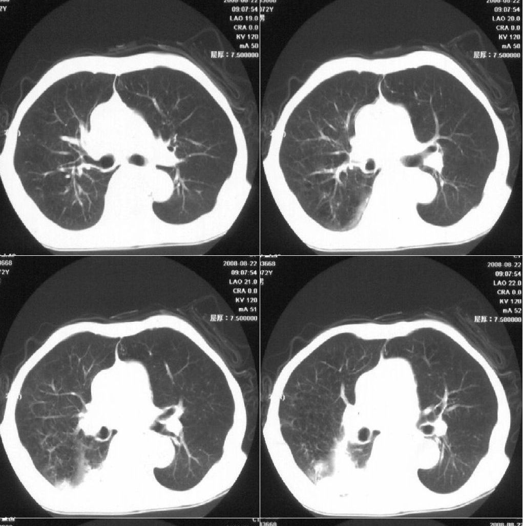
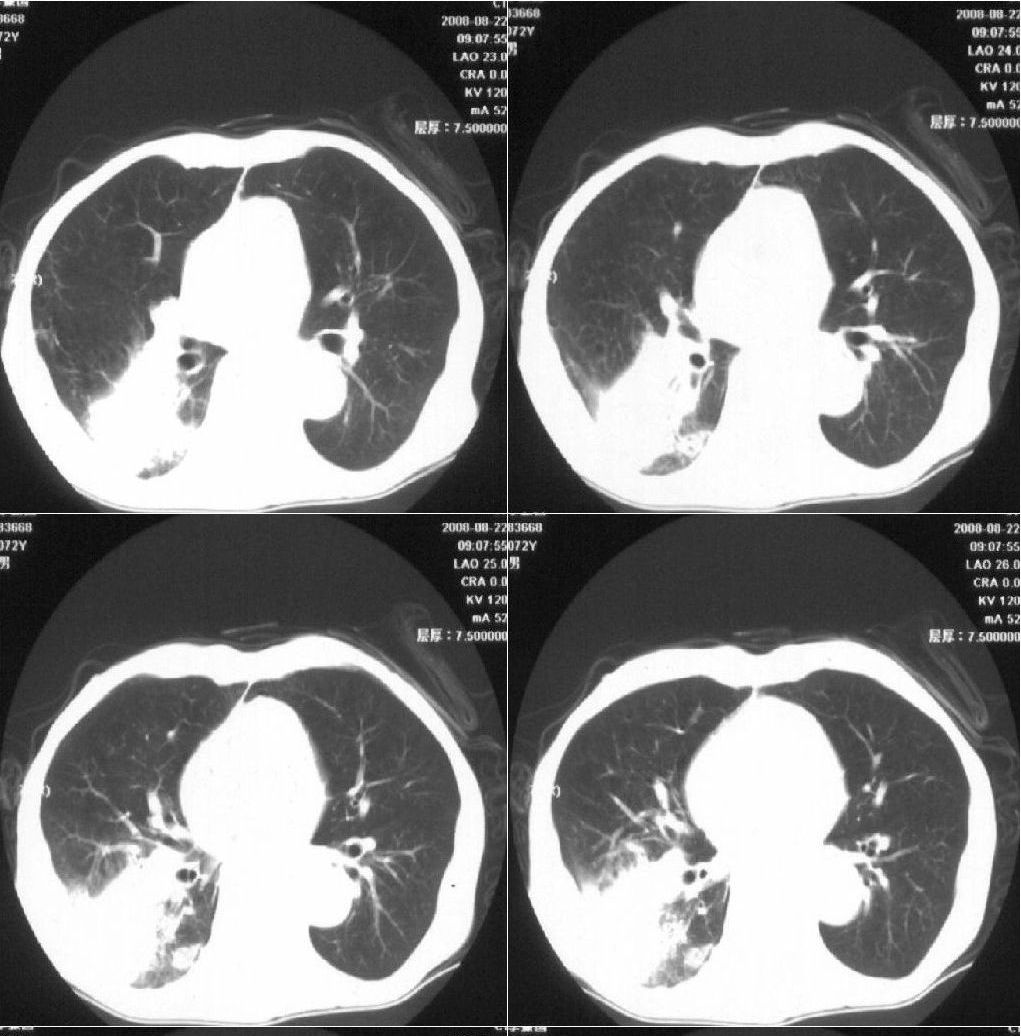
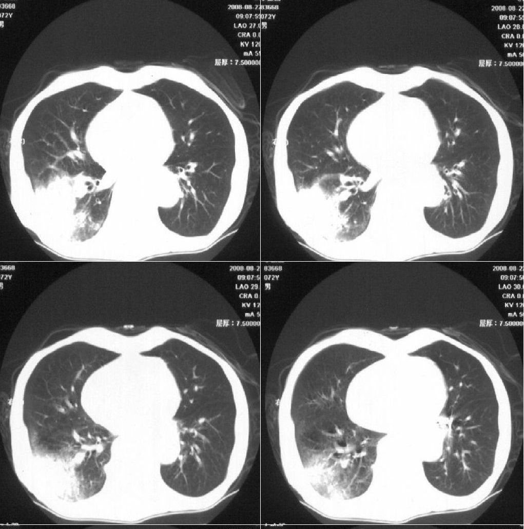
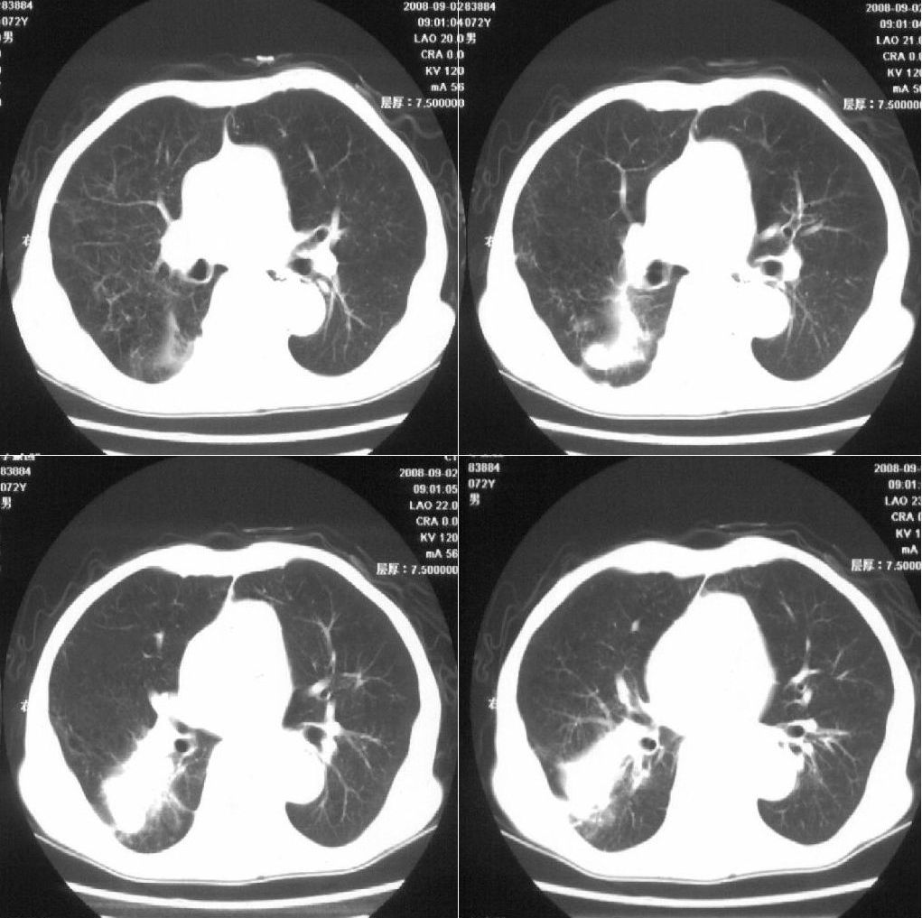
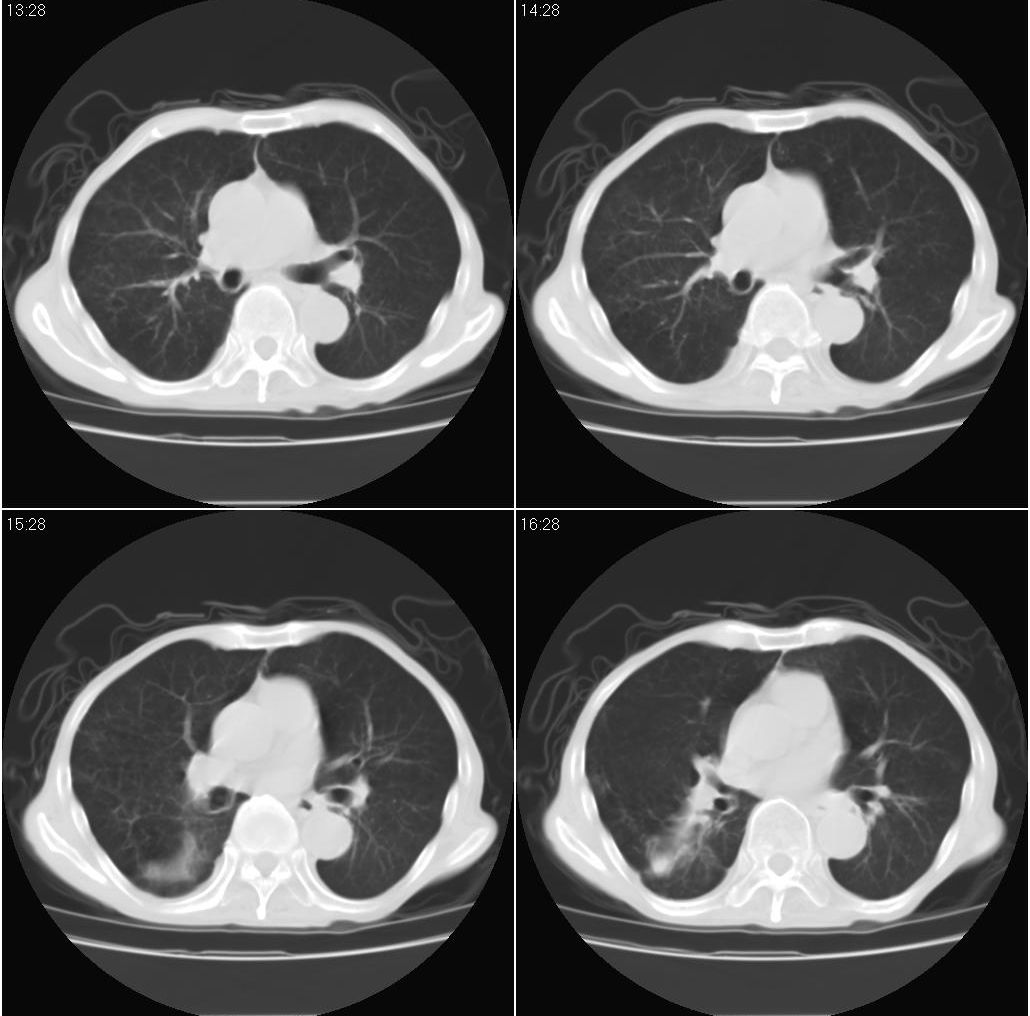
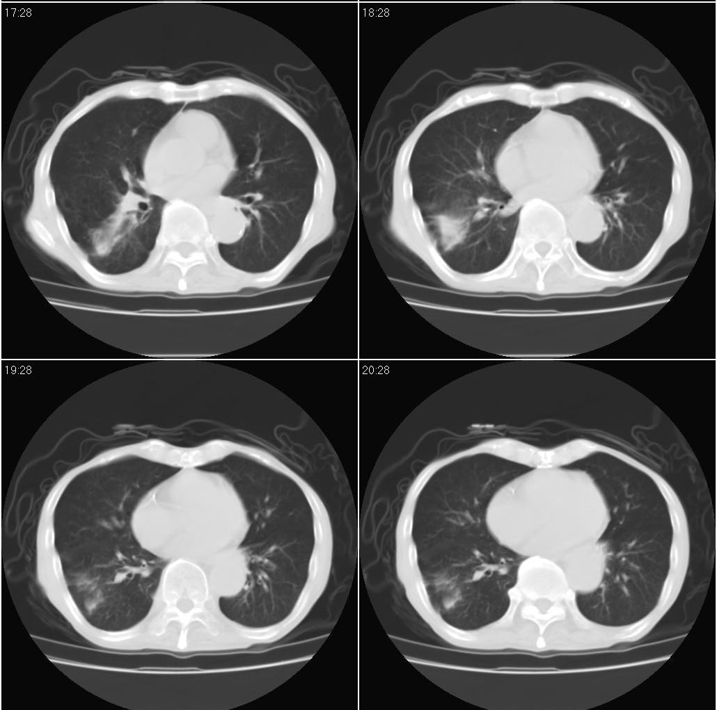
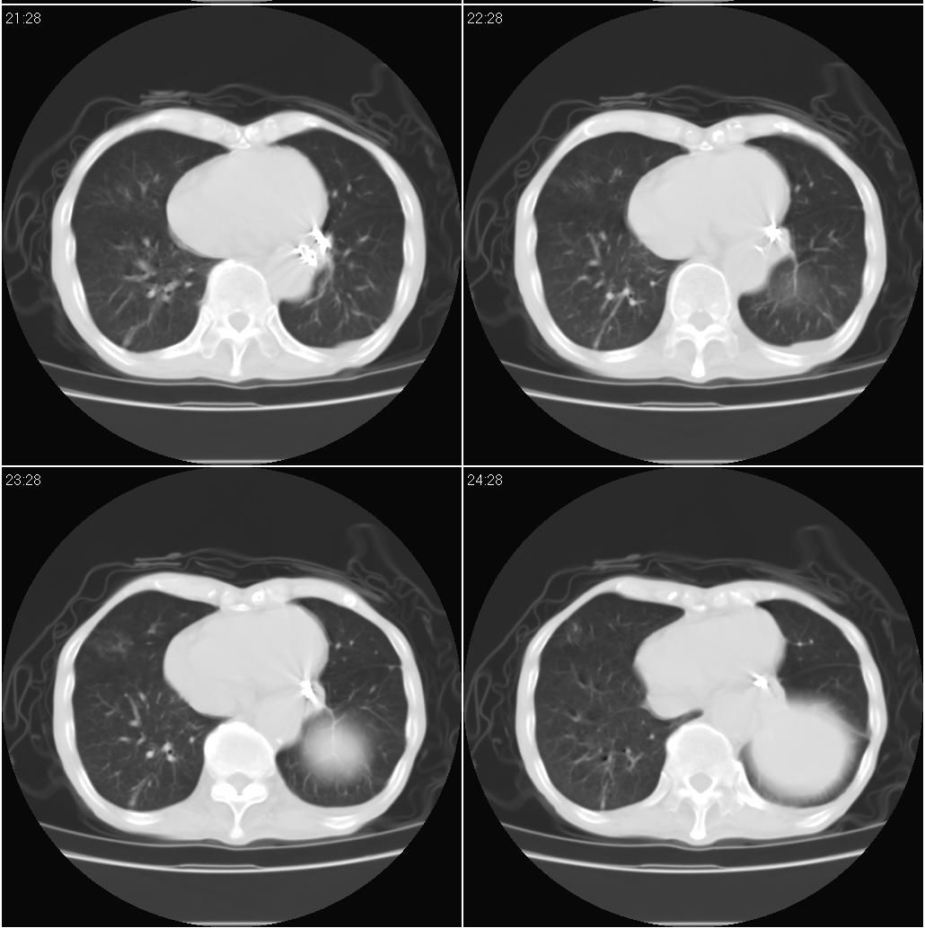
该患者通过抗炎治疗明显好转:当时患者消瘦,实是因为患者进食量不多。患者有食道癌,因发生原发肺癌的机率并不高,当时的ct片除了增强感觉有强化外(其实这信息也并不确定,因为是外院ct),其实并没有发现支气管腔改变等直接征象。经过治疗,患者现在一般情况良好。以下是9月22日的复查片,发现病灶吸收明显。纵隔窗就不上传了。


[本贴已被 fanshl 于 2008-9-26 10:52:11 修改过]
作者: arven 时间: 2008-9-27 04:19
学习了
| 欢迎光临 医影在线 (http://bbs.radida.com/bbs/) |
Powered by Discuz! X3.2 |