医影在线
标题: CT15804:F57Y,上腹痛.2月,近来胸闷。上腹部CT平扫; [打印本页]
作者: 王仕学 时间: 2008-9-22 00:59
标题: CT15804:F57Y,上腹痛.2月,近来胸闷。上腹部CT平扫;
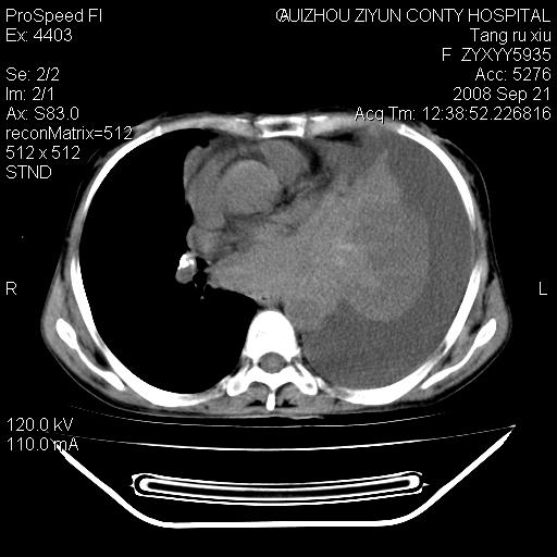
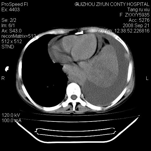
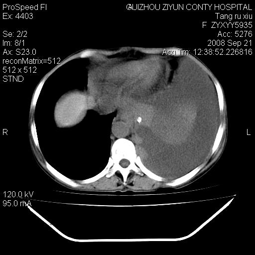
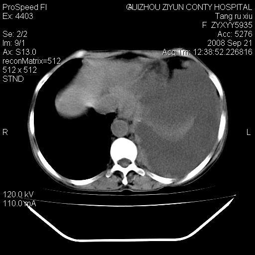
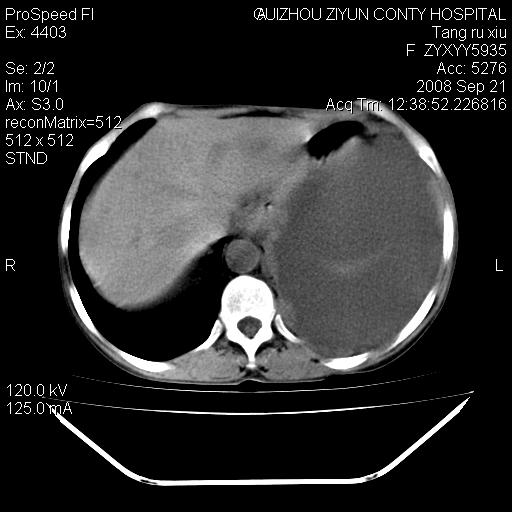
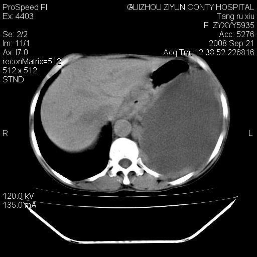
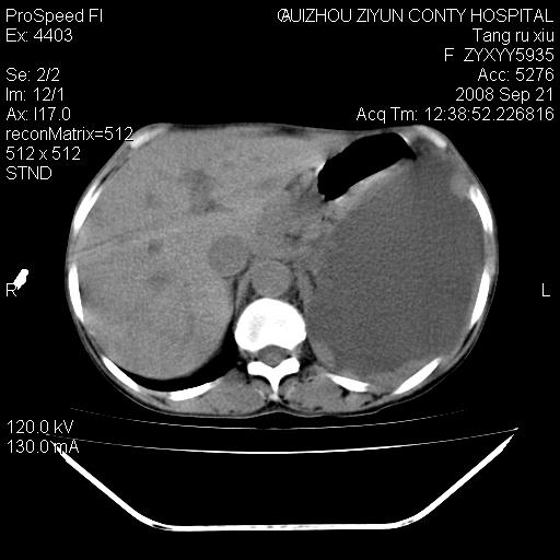
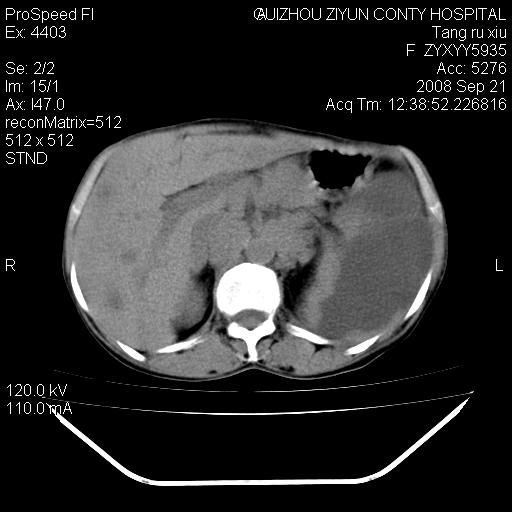
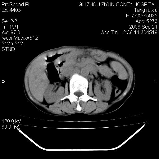
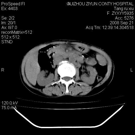
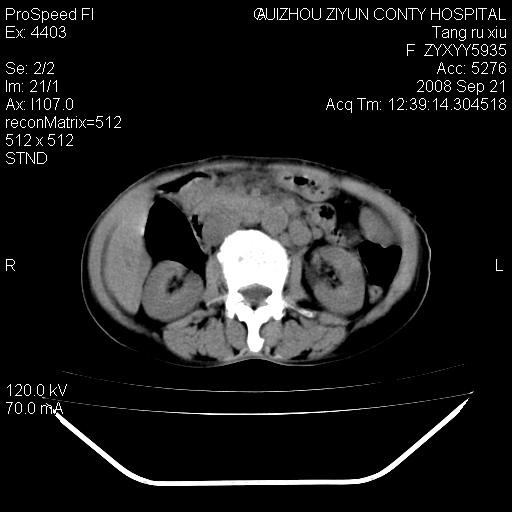
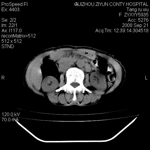
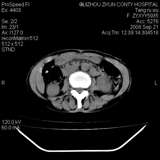
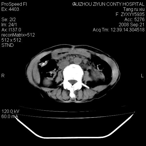
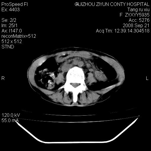
f、57岁,上腹痛.2月,近来胸闷。2月前在外院摄胸片示左侧胸腔少量积液。
(患者腹痛入院,欲吐,临床医生说禁饮,所以没有口服对比剂)




























[本贴已被 jiajie 于 2008-9-21 19:39:41 修改过]
作者: 杀毒软件 时间: 2008-9-22 01:13
标题: 1
考虑----左侧胸腹腔积液----压迫性肺不张----心包积液---肝脏多发低密度影-----穿刺抽液后复查
[本贴已被 杀毒软件 于 2008-9-21 17:27:52 修改过]
作者: gjj6818 时间: 2008-9-22 01:18
左侧胸壁见一结节影,肝脏多发低密度影,左侧胸腔大量积液。建议增强
作者: lxt1219 时间: 2008-9-22 01:23
左肺癌并多发转移
作者: 随光逐影 时间: 2008-9-22 01:33
1)考虑左侧肺癌侵犯纵隔,左侧胸膜、肝脏及腹膜后淋巴结转移。2)左侧胸腔积液。3)心包积液。
作者: dsl555 时间: 2008-9-22 02:12
标题: 回复:上腹部ct平扫;
以下是引用随光逐影在2008-9-21 17:33:00的发言:[br]1)考虑左侧肺癌侵犯纵隔,左侧胸膜、肝脏及腹膜后淋巴结转移。2)左侧胸腔积液。3)心包积液。
作者: 一捅阴影 时间: 2008-9-22 02:46
支持左侧肺癌伴多发转移。左胸腔积液及左肺不张。
作者: 光影★小胖 时间: 2008-9-22 03:00
标题: 回复:上腹部ct平扫;
以下是引用随光逐影在2008-9-21 17:33:00的发言:[br]1)考虑左侧肺癌侵犯纵隔,左侧胸膜、肝脏及腹膜后淋巴结转移。2)左侧胸腔积液。3)心包积液。
支持!
作者: lxq2000 时间: 2008-9-22 03:01
1)考虑左侧肺癌侵犯纵隔,左侧胸膜、肝脏及腹膜后淋巴结转移。2)左侧胸腔积液。3)心包积液。
作者: 晓杰 时间: 2008-9-22 03:21
以下是引用随光逐影在2008-9-21 17:33:00的发言:
1)考虑左侧肺癌侵犯纵隔,左侧胸膜、肝脏及腹膜后淋巴结转移。2)左侧胸腔积液。3)心包积液。
作者: 358450m 时间: 2008-9-22 03:22
标题: 回复:上腹部ct平扫;
以下是引用lxq2000在2008-9-21 19:01:00的发言:[br]1)考虑左侧肺癌侵犯纵隔,左侧胸膜、肝脏及腹膜后淋巴结转移。2)左侧胸腔积液。3)心包积液。 [br] [br]
作者: smjin 时间: 2008-9-22 03:43
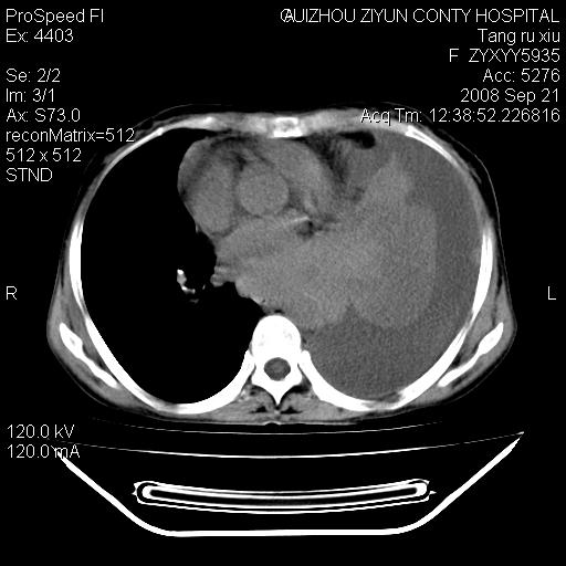
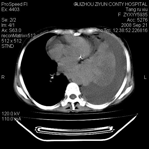
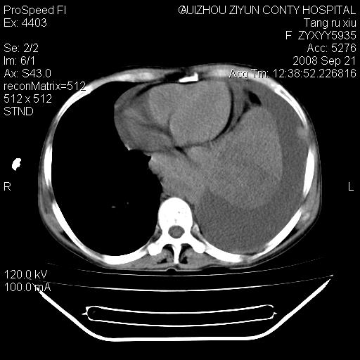
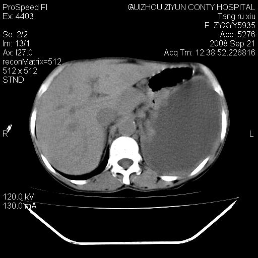
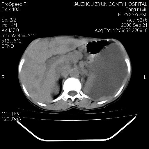
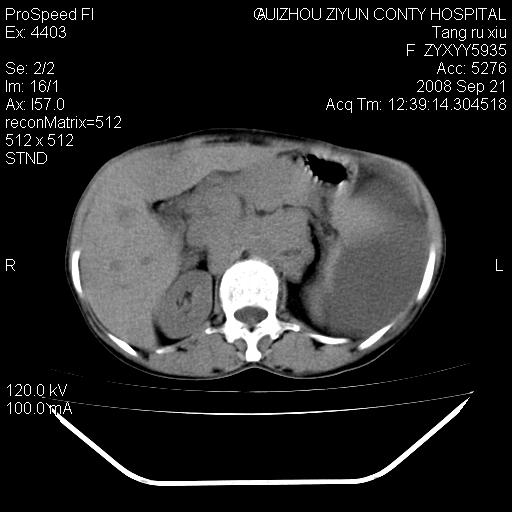
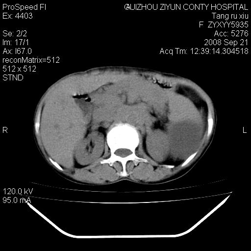
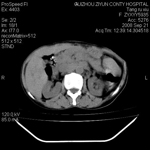
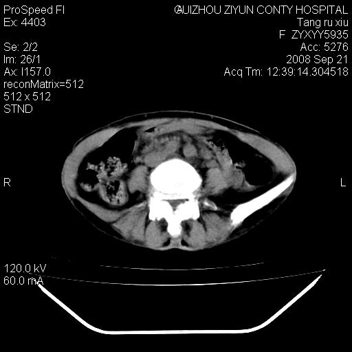
肝脏大小形态尚可,其实质内可见多发大小不等的低密度影,边缘模糊。肝门区结构紊乱,腔静脉腹主动脉旁可见多发软组织密度影,部分融合成团块状,并向下延伸。胰腺及十二指肠结构显示不清。腹腔内脐后肠管走形僵硬,管壁可见增厚。盆腔内可见多个淋巴结影。所扫层面左侧胸腔可见大量弧形水样密度影,其内侧可见被压缩的肺组织影。左侧胸壁可见一小结节样软组织密度影,边缘模糊。心脏纵隔向右侧移位。心脏包膜内可见囊样低密度影,其内侧心房室周围可见一圈气体样密度影。纵隔内大血管旁可见多发软组织团块影,部分融合。
1.腹膜后淋巴瘤侵及肝脏,肺内及纵隔内多发转移。2.左侧大量胸腔积液并压缩性肺不张。3.心包脓肿可能,转移不除外。4.脐后局部肠管管壁增厚,考虑炎症可能,肿瘤不除外。
作者: huqi8888 时间: 2008-9-22 04:05
1)考虑左侧肺癌侵犯纵隔,左侧胸膜、肝脏及腹膜后淋巴结转移。2)左侧胸腔积液。3)心包积液。
作者: arven 时间: 2008-9-22 04:21
标题: 回复:ct15804:f57y,上腹痛.2月,近来胸闷。上腹部ct平扫;
以下是引用huqi8888在2008-9-21 20:05:00的发言:[br]1)考虑左侧肺癌侵犯纵隔,左侧胸膜、肝脏及腹膜后淋巴结转移。2)左侧胸腔积液。3)心包积液。 [br] [br]
作者: mzh123 时间: 2008-9-22 04:23
标题: 回复:ct15804:f57y,上腹痛.2月,近来胸闷。上腹部ct平扫;
以下是引用随光逐影在2008-9-21 17:33:00的发言:[br]1)考虑左侧肺癌侵犯纵隔,左侧胸膜、肝脏及腹膜后淋巴结转移。2)左侧胸腔积液。3)心包积液。
腹膜也有转移
作者: 同 时间: 2008-9-22 04:24
标题: 回复:ct15804:f57y,上腹痛.2月,近来胸闷。上腹部ct平扫;
以下是引用随光逐影在2008-9-21 17:33:00的发言:[br]1)考虑左侧肺癌侵犯纵隔,左侧胸膜、肝脏及腹膜后淋巴结转移。2)左侧胸腔积液。3)心包积液。
作者: 云中雪 时间: 2008-9-22 04:47
支持5楼
作者: zjzjr 时间: 2008-9-22 06:28
1)考虑左侧肺癌侵犯纵隔,左侧胸膜、肝脏及腹膜后淋巴结转移。2)左侧胸腔积液。3)心包积液。
作者: smjin 时间: 2008-9-22 06:39
为什么没有人注意到腹腔脐后的那段肠管呢?那段看着很不好的样子。
还望哪位前辈能详细分析一下这个病例,热切期待前辈的教导~~~!!!
作者: 拾荒者 时间: 2008-9-22 06:52
以下是引用随光逐影在2008-9-21 17:33:00的发言:
1)考虑左侧肺癌侵犯纵隔,左侧胸膜、肝脏及腹膜后淋巴结转移。2)左侧胸腔积液。3)心包积液。
支持!当然原发灶在哪要结合增强或穿刺抽液后检查及脱落细胞学检查。
作者: yangyudong333 时间: 2008-9-22 13:55
1)考虑左侧肺癌侵犯纵隔,左侧胸膜、肝脏及腹膜后淋巴结转移。2)左侧胸腔积液。3)心包积液。
作者: yuhongjun 时间: 2008-9-22 14:01
1)考虑左侧肺癌侵犯纵隔,左侧胸膜、肝脏及腹膜后淋巴结转移。2)左侧胸腔积液。3)心包积液。
作者: zsl6918 时间: 2008-9-22 17:37
左侧中心型肺癌并胸膜及心包转移。肝内转移,腹膜后淋巴结转移。
作者: 黑白光影 时间: 2008-9-22 19:14
考虑左侧肺癌侵犯纵隔,左侧胸膜、肝脏及腹膜后淋巴结转移。心包积液及左侧胸腔积液。
作者: 学生{晓明} 时间: 2008-9-22 20:31
左侧胸腹腔积液----压迫性肺不张 建议隔期复查除外肺癌
心包积液,肝脏多发低密度影-,腹腔淋巴结增大,考虑:多发转移
建议穿刺进步定性
作者: huqi8888 时间: 2008-9-22 22:28
考虑左侧肺癌侵犯纵隔,左侧胸膜、肝脏及腹膜后淋巴结转移。心包积液及左侧胸腔积液。
| 欢迎光临 医影在线 (http://bbs.radida.com/bbs/) |
Powered by Discuz! X3.2 |