医影在线

标题: CT15740B:(续)增强片。 [打印本页]

作者: liuzheng_9326    时间: 2008-9-24 00:51
标题: CT15740B:(续)增强片。
病人无症状,不应考虑肿瘤吧?
ct15740:http://www.radida.com/bbs/forum.php?mod=viewthread&tid=44425







[本贴已被 jiajie 于 2008-9-23 18:38:15 修改过]

作者: liuzheng_9326    时间: 2008-9-24 00:56
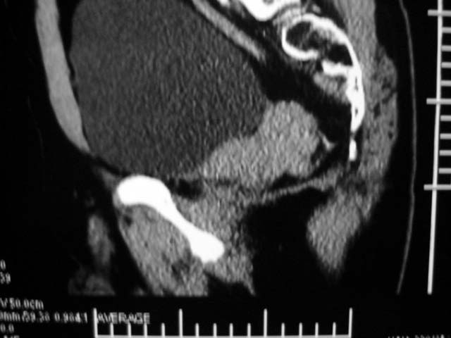
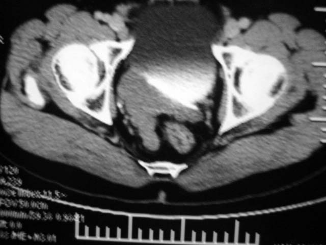
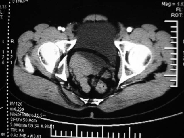
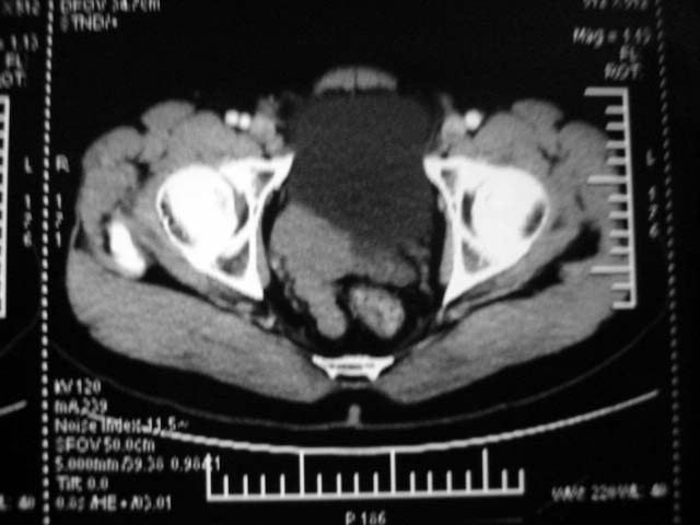
ct15740:m45y,膀胱右后方占位?
http://www.radida.com/radinet/read.php?tid=44425
作者: 深泽交通    时间: 2008-9-24 02:35
考虑精囊腺占位
作者: 同    时间: 2008-9-24 04:16
考虑精囊腺占位.
作者: 358450m    时间: 2008-9-24 04:32
标题: 回复:ct15740b:(续)增强片。
以下是引用深泽交通医院在2008-9-23 18:35:00的发言:[br]考虑精囊腺占位

作者: 拾荒者    时间: 2008-9-24 05:22
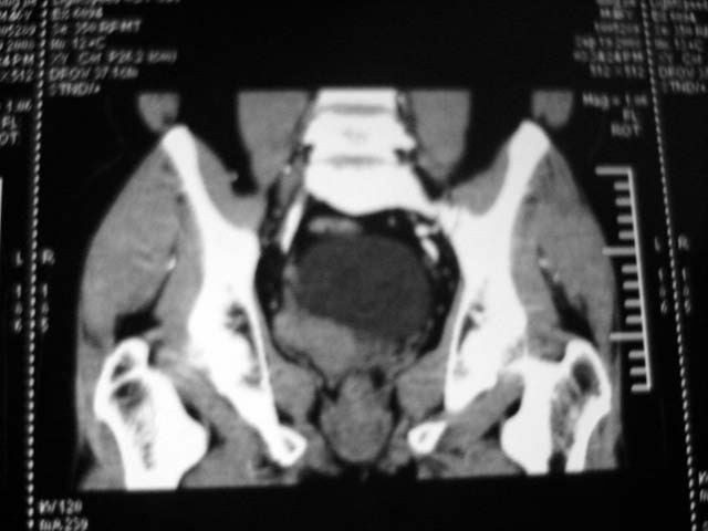
增强看右侧精囊腺不规则增大,均匀强化,膀胱精囊三角消失,还是考虑精囊腺占位。
作者: xulianj    时间: 2008-9-24 05:22
考虑精囊腺占位
作者: 光影★小胖    时间: 2008-9-24 05:25
考虑精囊腺占位
作者: wjqq    时间: 2008-9-24 05:32
最好俯卧位也扫描一下,这年头诊断要小心啊
作者: zhangyang66    时间: 2008-9-24 05:52
肿块与膀胱成锐角.不是膀胱占位
作者: zsl6918    时间: 2008-9-24 05:55
强化后也不好说。
作者: dsl555    时间: 2008-9-24 06:00
标题: 回复:ct15740b:(续)增强片。
以下是引用wjqq在2008-9-23 21:32:00的发言:[br]最好俯卧位也扫描一下,这年头诊断要小心啊

作者: liuzheng_9326    时间: 2008-9-24 10:14
病人在焦急等待,某省级医院专家建议转泌尿外科手术,但病人无任何不适,不接受建议?!
作者: liuzheng_9326    时间: 2008-9-24 10:17
强化以前大家都说是异位肾,建议强化,现在怎么又不说话了?
作者: liuzheng_9326    时间: 2008-9-24 10:18
使我一朋友的,我不是搞影像的.
作者: jiajie    时间: 2008-9-24 15:01
标题: 回复:ct15740b:(续)增强片。
以下是引用liuzheng_9326在2008-9-24 2:17:00的发言:[br]强化以前大家都说是异位肾,建议强化,现在怎么又不说话了?

强化程度不符合肾脏的特点,不考虑异位肾。
小肠肠管可能性大。
喝碘水或排空尿后俯卧位也许会有帮助。
作者: huqi8888    时间: 2008-9-24 16:30
以下是引用wjqq在2008-9-23 21:32:00的发言:
最好俯卧位也扫描一下,这年头诊断要小心啊
作者: ZHANGZHONGSHOU    时间: 2008-9-26 03:42
膀胱右后侧占位性病变,建议手术。




欢迎光临 医影在线 (http://bbs.radida.com/bbs/) Powered by Discuz! X3.2