医影在线

标题: CT15857:男性 58岁 咳痰带血 无发热 请各位大侠发表一下意见 [打印本页]

作者: 02707626    时间: 2008-9-25 02:33
标题: CT15857:男性 58岁 咳痰带血 无发热 请各位大侠发表一下意见


























[本贴已被 jiajie 于 2008-9-24 18:41:18 修改过]

作者: HKL1971    时间: 2008-9-25 03:27
肺组织纤维化。
作者: shiqingfa    时间: 2008-9-25 04:05
支扩
作者: 泪洒红尘    时间: 2008-9-25 04:14
胡说话道
作者: mzh123    时间: 2008-9-25 04:33
两下肺轻度间质纤维化伴支扩
作者: 迎河医院    时间: 2008-9-25 04:40
标题: 回复:ct15857:男性 58岁 咳痰带血 无发热 请各位大侠发表一
囊状支扩伴感染
作者: huangyinshan    时间: 2008-9-25 04:42
两下肺轻度间质纤维化伴支扩
作者: 同    时间: 2008-9-25 04:52
间质纤维化伴支扩.
作者: xulianj    时间: 2008-9-25 05:00
两下肺轻度间质纤维化
作者: smjin    时间: 2008-9-25 05:16
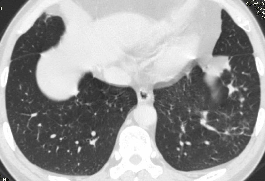
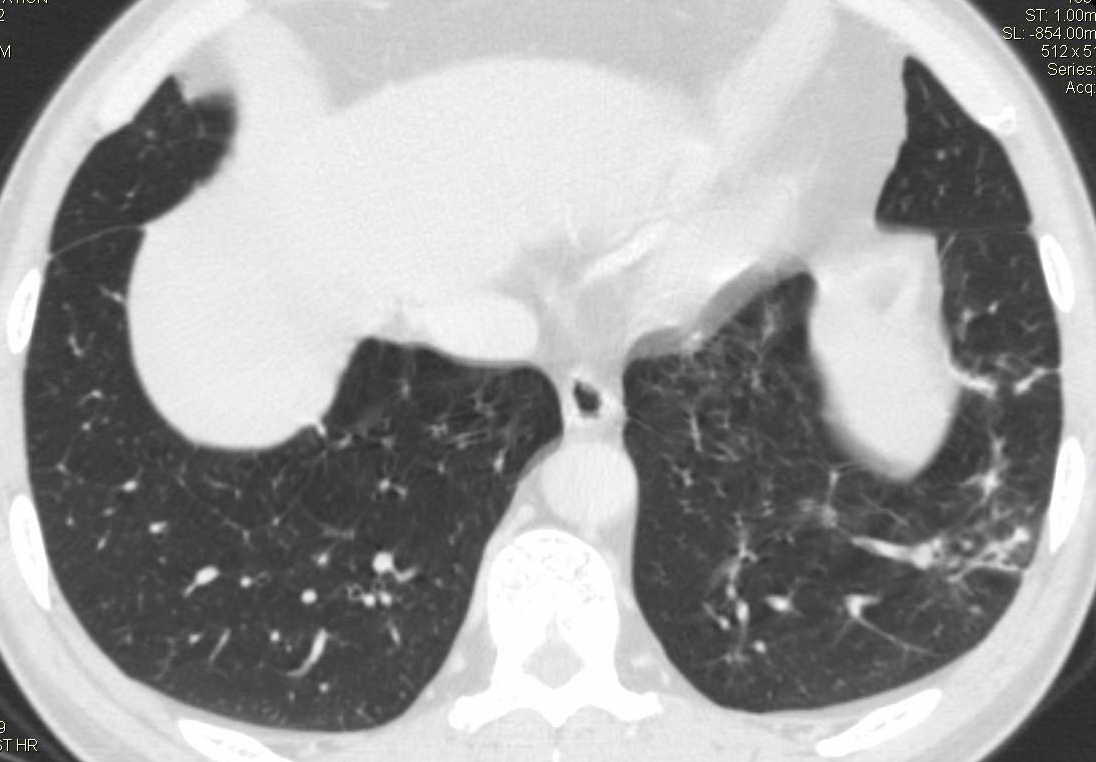
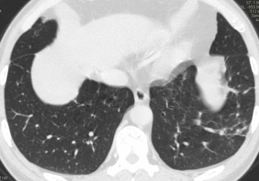
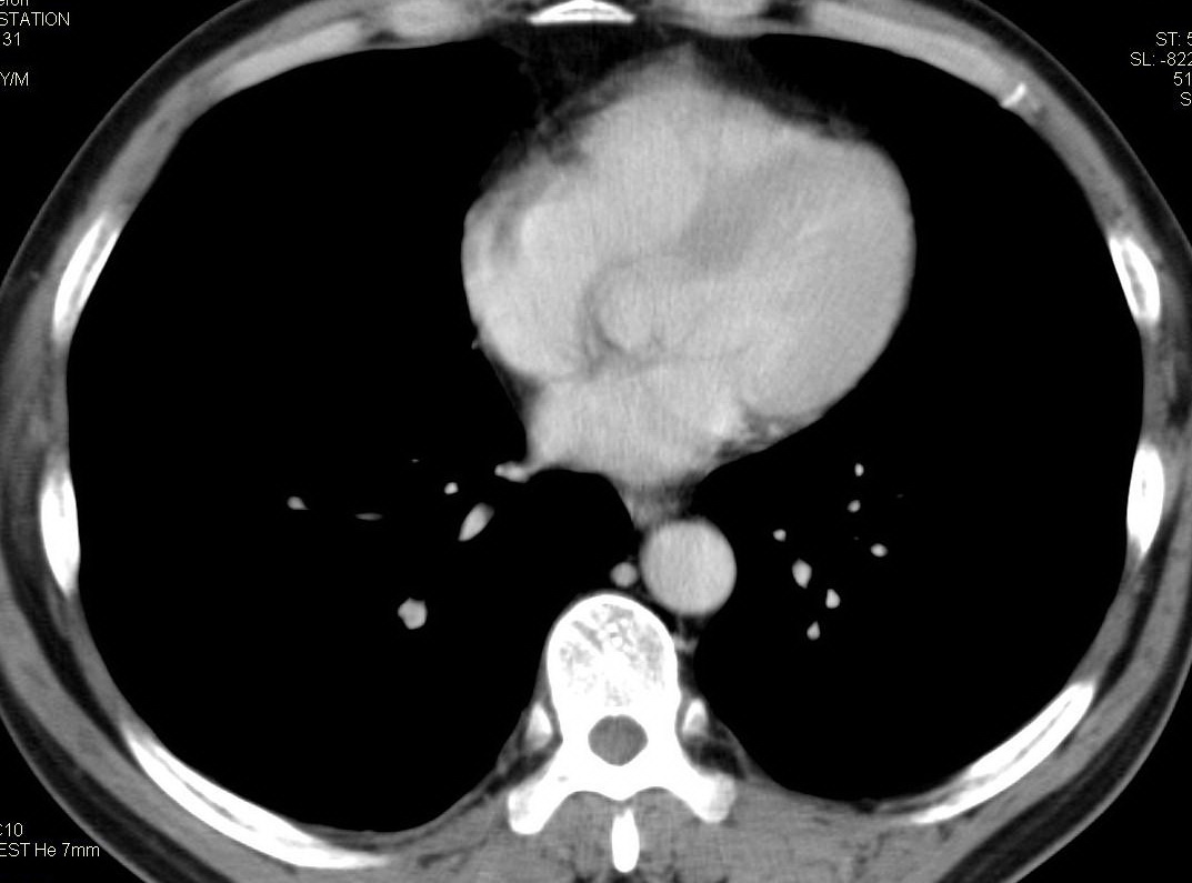
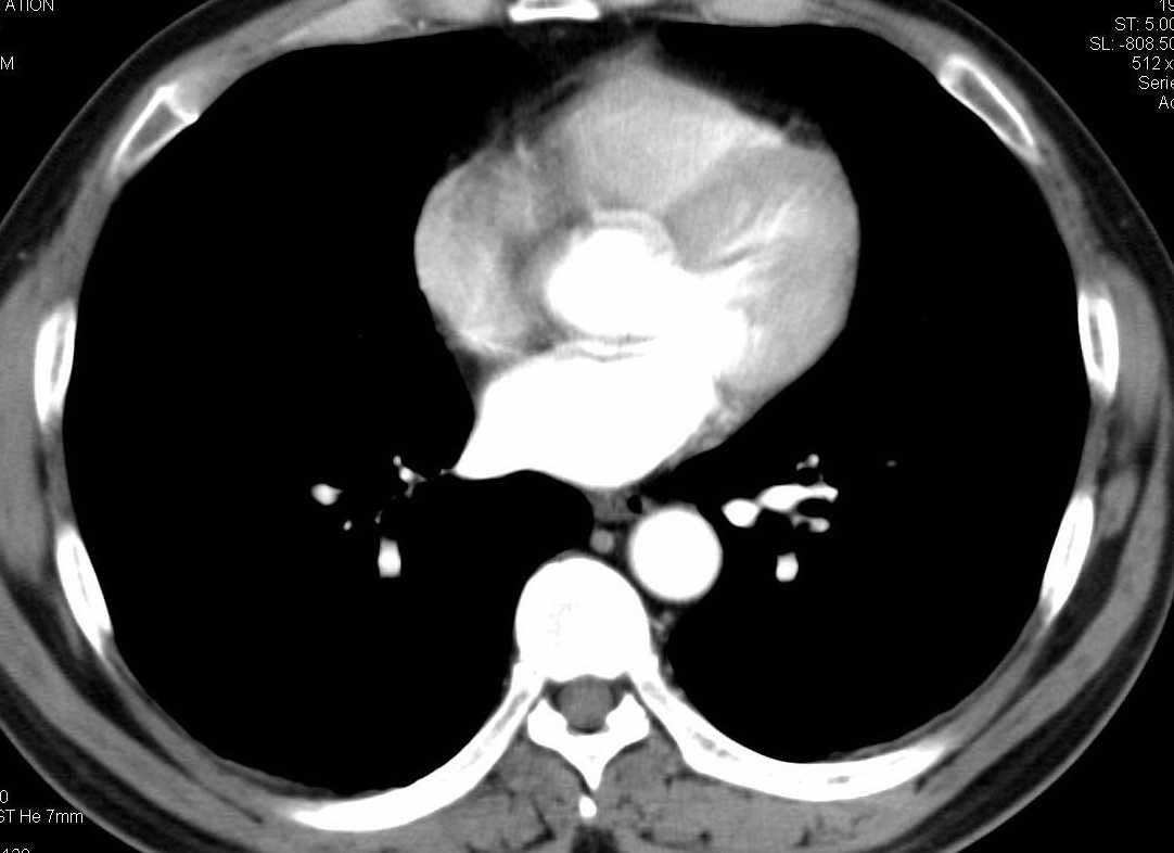
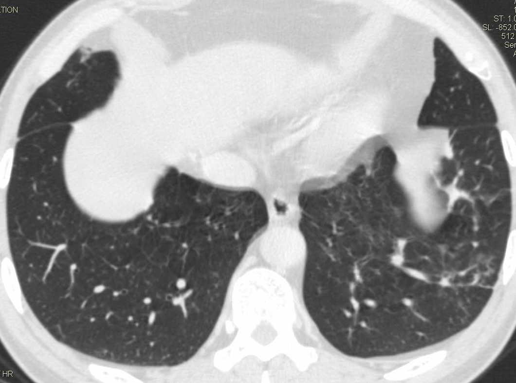
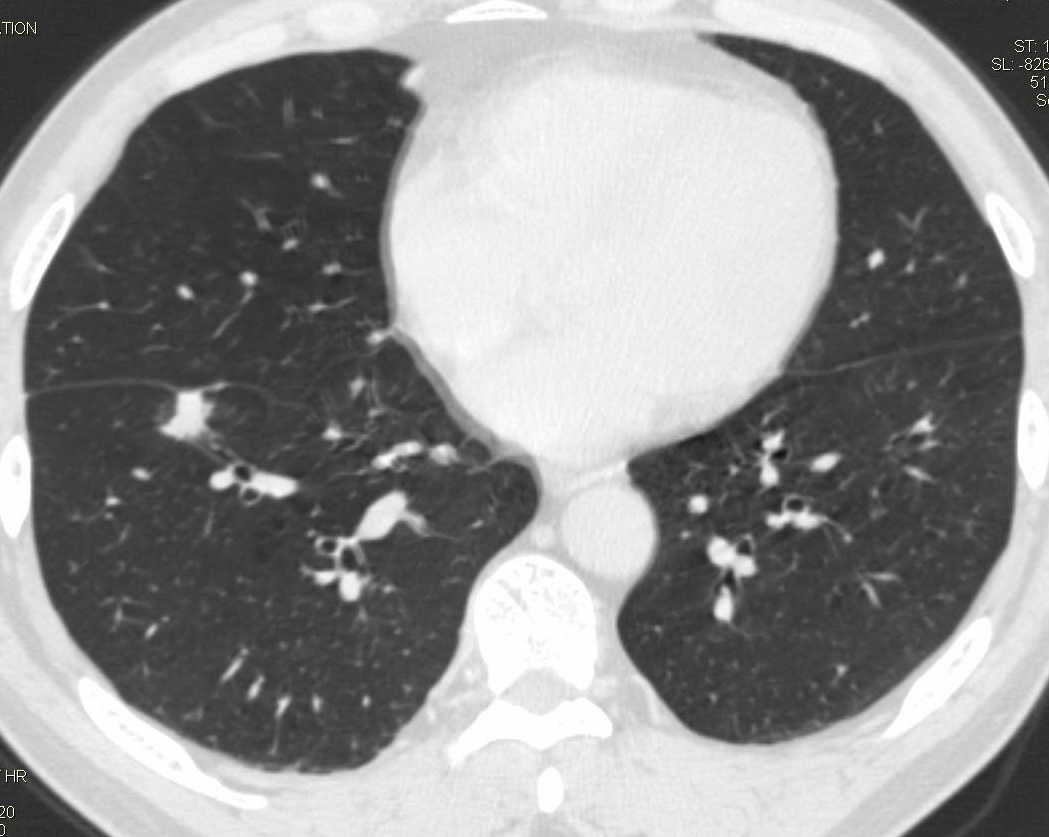
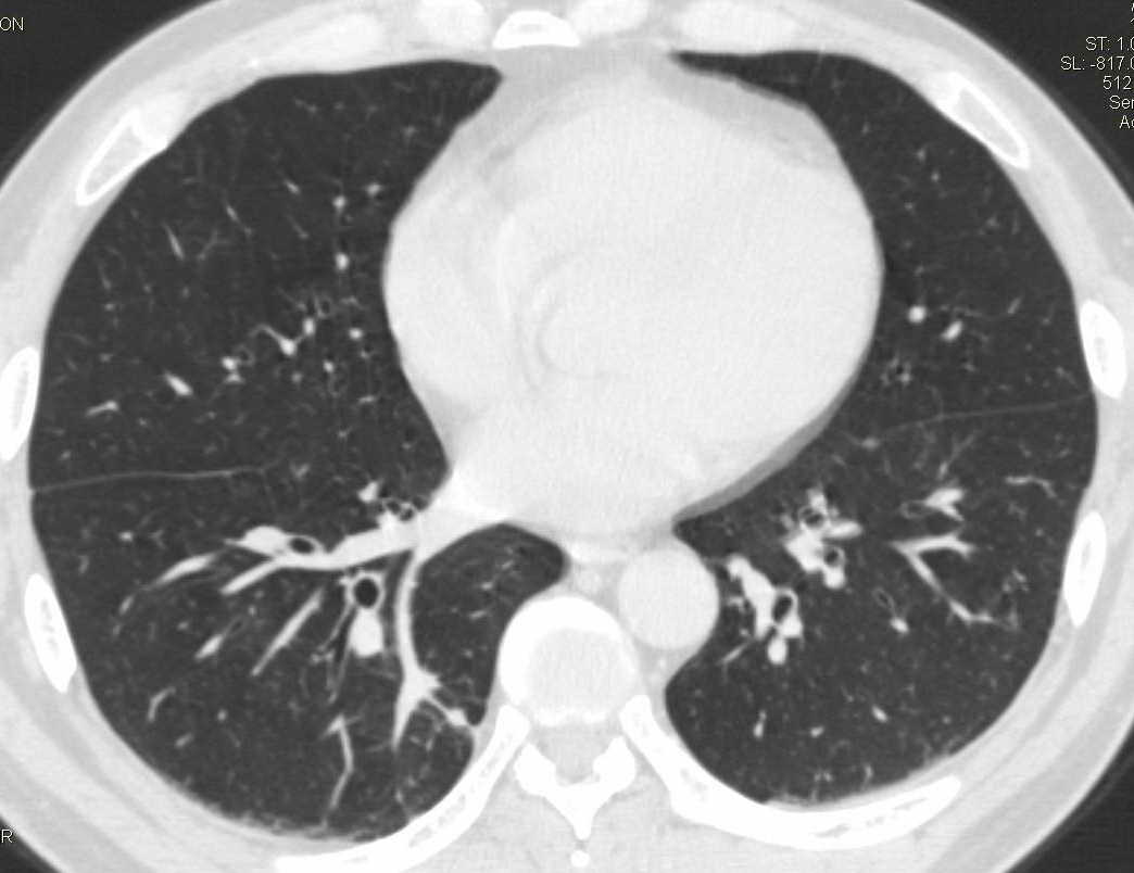
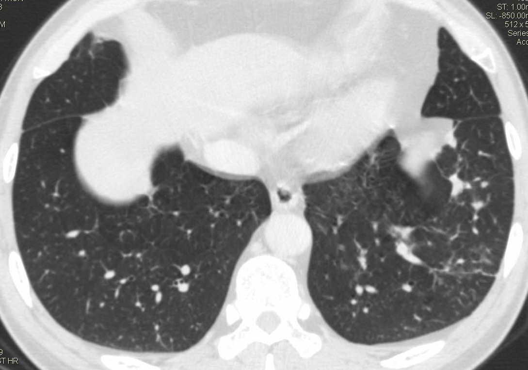
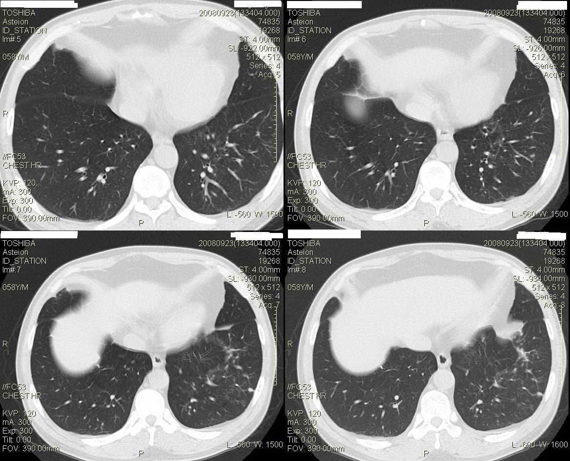
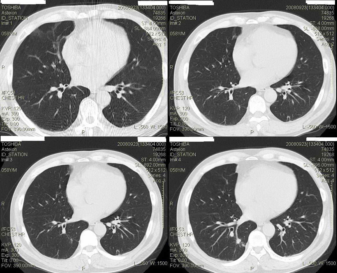
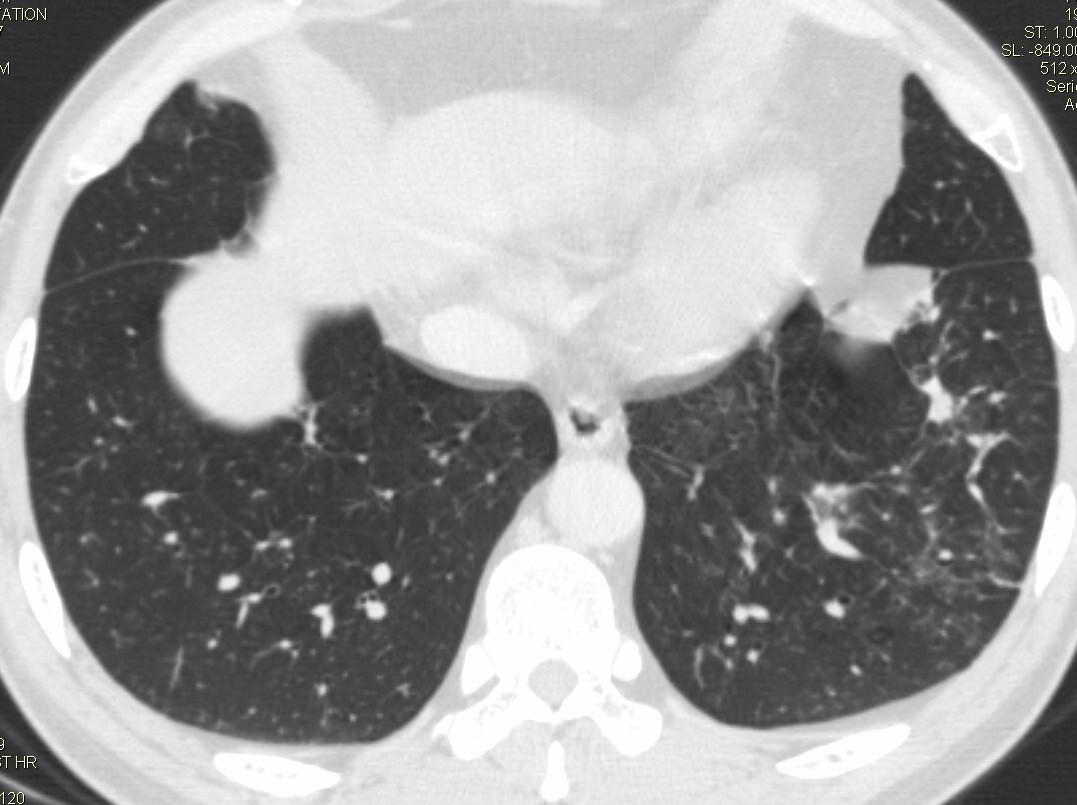
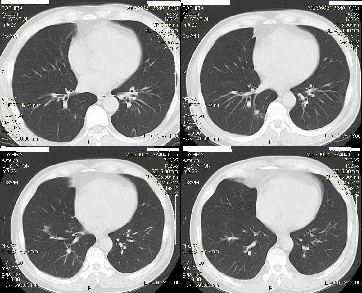
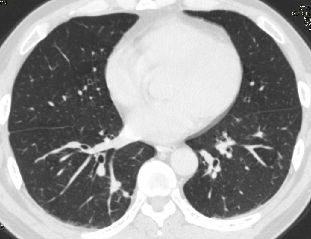
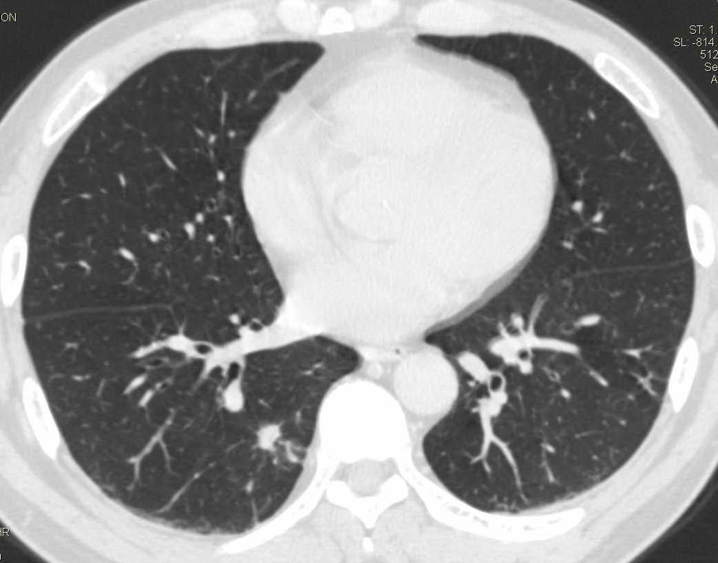
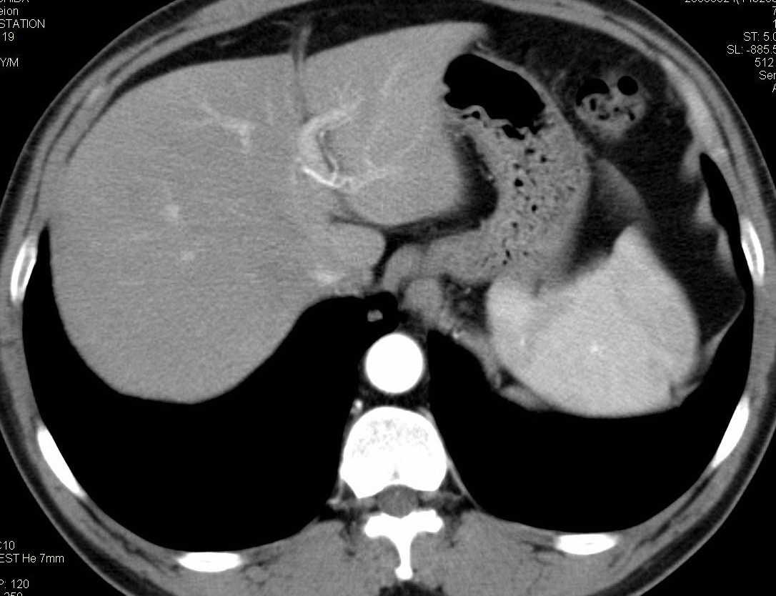
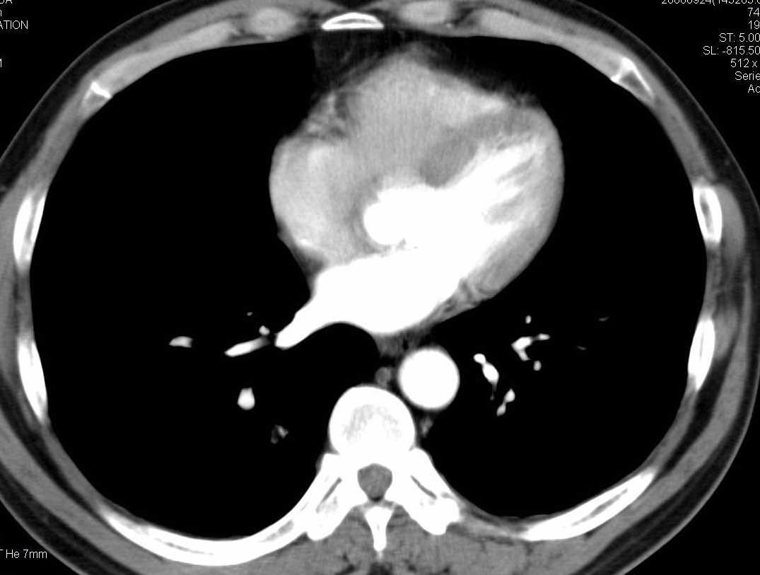
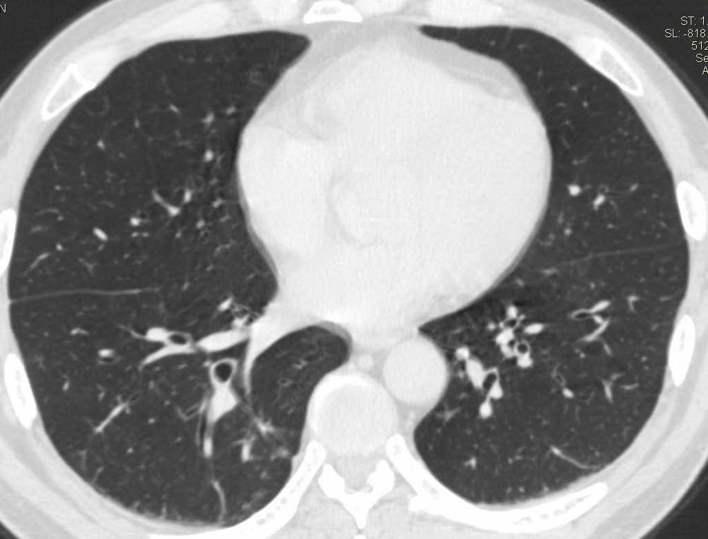
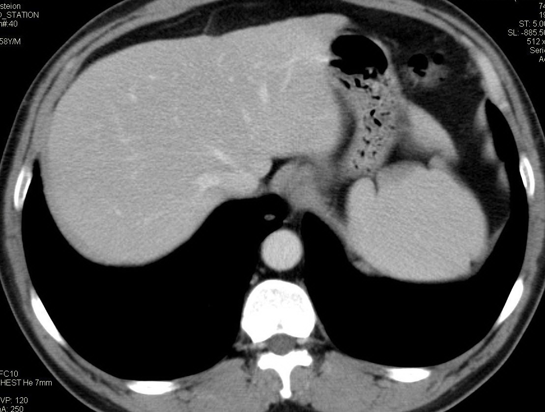
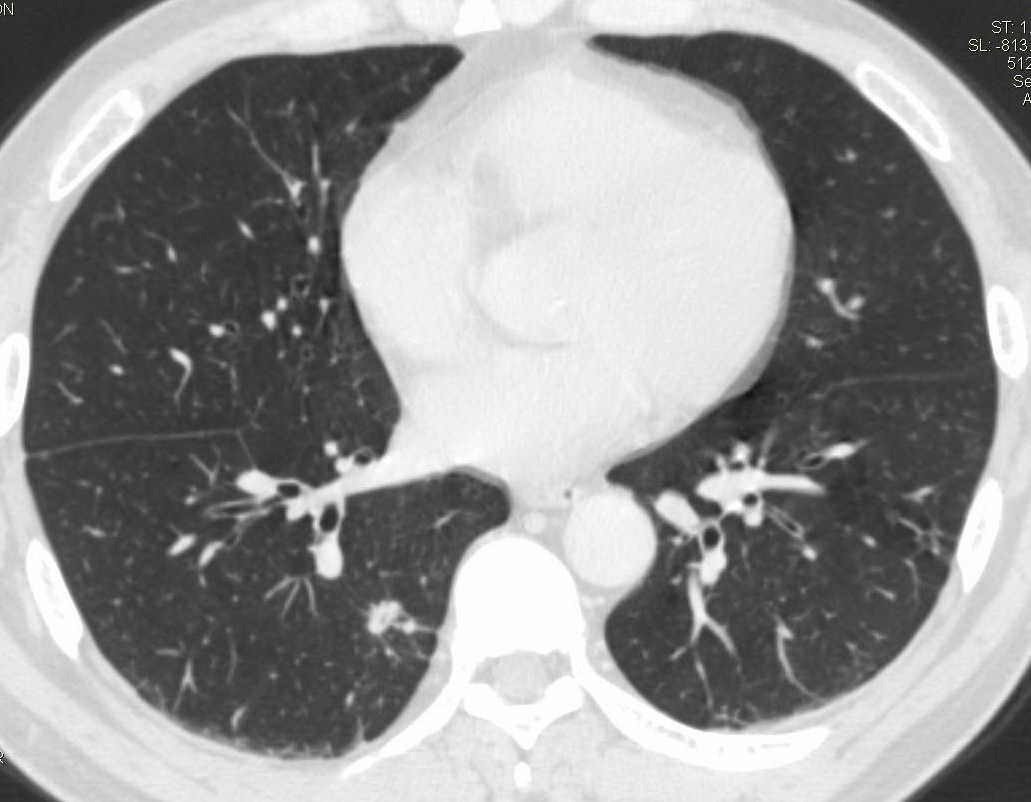
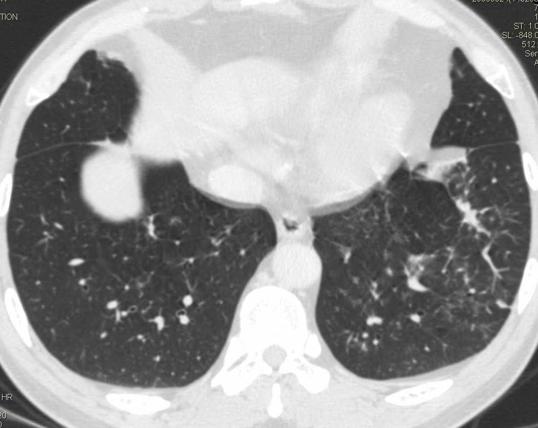
两肺下叶肺纹理增多、增粗并呈“树芽状”改变。支气管扩张呈囊状,部分呈柱状改变。其周围可见散在的斑片样及条索样密度增高影,右肺下叶近叶间胸膜可见一形态不规则的高密度结节影,并与胸膜粘连。

考虑:支扩并发感染。
作者: dsl555    时间: 2008-9-25 06:08
标题: 回复:ct15857:男性 58岁 咳痰带血 无发热 请各位大侠发表一
以下是引用同在2008-9-24 20:52:00的发言:[br]间质纤维化伴支扩.

作者: jsgdoctor    时间: 2008-9-25 06:38
慢性炎症
作者: scdlc2008    时间: 2008-9-25 07:21
支扩
作者: hl001    时间: 2008-9-25 07:22
支扩并发感染
作者: zsl6918    时间: 2008-9-25 23:31
双肺多发炎性病灶,结核可能性大,建议抗炎治疗复查.右肺下叶前基底段结节灶,高度警惕肺癌可能
作者: 黑白光影    时间: 2008-9-25 23:51
支持楼上。
作者: LIAOQIANG    时间: 2008-9-26 00:55
双肺间质性改变(间质纤维化?)伴支扩。右肺下叶有毛刺的小结节,考虑周围型肺癌可能性。
作者: jian690325    时间: 2008-9-26 01:10
av漏




欢迎光临 医影在线 (http://bbs.radida.com/bbs/) Powered by Discuz! X3.2