医影在线

标题: CT15859:女,78岁,声嘶月余,帮忙看看! [打印本页]

作者: wangxiaoyu    时间: 2008-9-25 04:27
标题: CT15859:女,78岁,声嘶月余,帮忙看看!
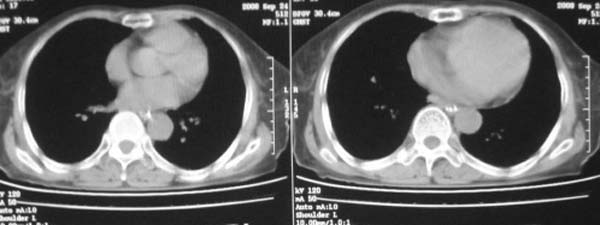
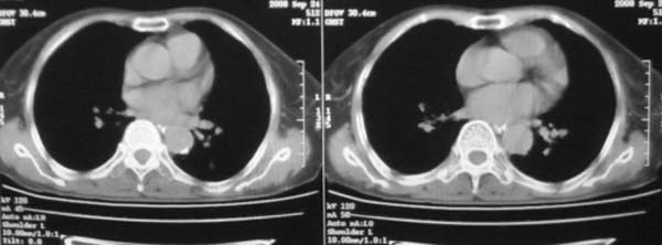
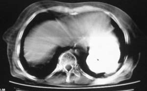
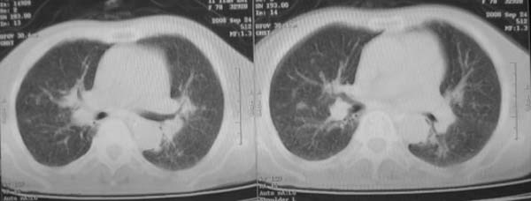
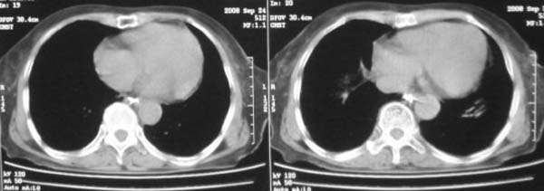
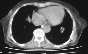
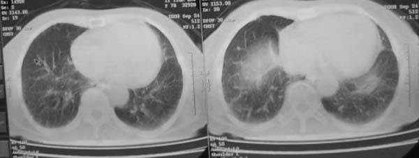
女,78岁,声嘶月余,否认有既往病史,有粉尘接触史10年。























[本贴已被 jiajie 于 2008-9-24 20:43:06 修改过]

作者: huangyinshan    时间: 2008-9-25 04:34
矽肺
作者: 余辉    时间: 2008-9-25 04:41
颈部见多枚淋巴结肿大,考虑尘肺继发结核,喉部淋巴结钙化,不除外喉部慢性淋巴结炎、喉淀粉样变及类癌等
作者: 龚文峰    时间: 2008-9-25 04:55
多考虑尘肺,肿瘤性病变不除外
作者: 同    时间: 2008-9-25 04:57
首先考虑尘肺.
作者: zhw974247    时间: 2008-9-25 05:03
尘肺合并肺癌。
作者: xulianj    时间: 2008-9-25 05:14
肺癌伴纵膈、双颈部淋巴结转移;尘肺。
作者: 迎河医院    时间: 2008-9-25 05:14
右上肺癌伴肺内转移及纵隔淋巴转移 左上肺结核 图像有点模糊
作者: dsl555    时间: 2008-9-25 06:10
首先考虑尘肺.
作者: jsgdoctor    时间: 2008-9-25 06:52
考虑肺癌伴纵膈、双颈部淋巴结转移;
作者: hl001    时间: 2008-9-25 06:53
颈部多个肿大淋巴结,考虑矽肺并结核
作者: scdlc2008    时间: 2008-9-25 07:33
尘肺合并肺癌。
作者: zsl6918    时间: 2008-9-25 23:18
符合矽肺,另外甲状腺可见病变,需强化明确.
作者: 黑白光影    时间: 2008-9-25 23:59
考虑尘肺继发结核,喉部淋巴结钙化,不除外喉部慢性淋巴结炎。
作者: LIAOQIANG    时间: 2008-9-26 01:06
矽肺。
作者: 拾荒者    时间: 2008-9-26 03:34
双上肺结节融合影,周围有纤维条索影,结合粉尘接触史,首先考虑尘肺。双侧颈部有增大淋巴结,有声嘶表现,肺癌淋巴结转移不能排除。可结合颈部淋巴结活检。
作者: 随光逐影    时间: 2008-9-26 05:01
标题: 回复:ct15859:女,78岁,声嘶月余,帮忙看看!
以下是引用拾荒者在2008-9-25 19:34:00的发言:[br]双上肺结节融合影,周围有纤维条索影,结合粉尘接触史,首先考虑尘肺。双侧颈部有增大淋巴结,有声嘶表现,肺癌淋巴结转移不能排除。可结合颈部淋巴结活检。

作者: wx9050    时间: 2008-9-26 05:05
考虑肺癌伴纵膈、双颈部淋巴结转移;




欢迎光临 医影在线 (http://bbs.radida.com/bbs/) Powered by Discuz! X3.2