医影在线

标题: CT15860:男,21岁,腹部外伤2小时伴胸疼。 [打印本页]

作者: wymnet    时间: 2008-9-25 05:23
标题: CT15860:男,21岁,腹部外伤2小时伴胸疼。







































[本贴已被 jiajie 于 2008-9-24 22:22:04 修改过]

作者: wymnet    时间: 2008-9-25 05:26
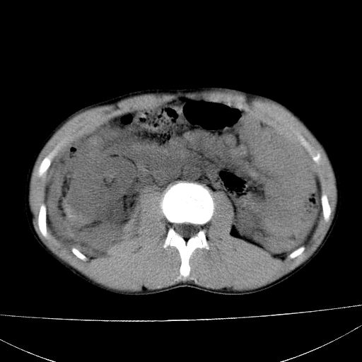
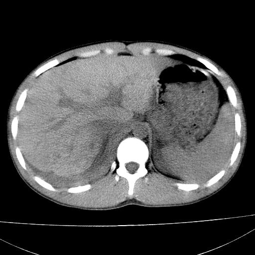
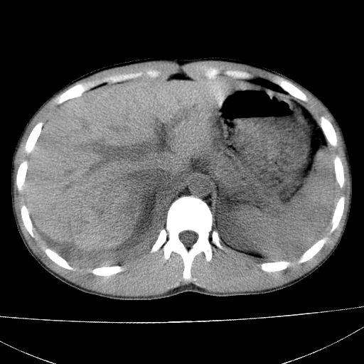
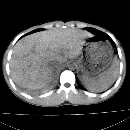
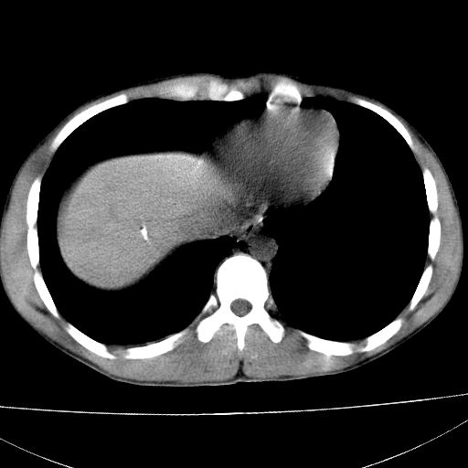
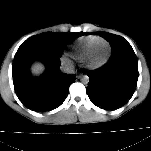
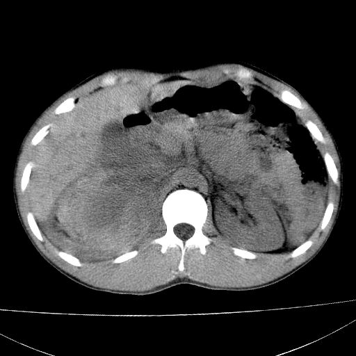
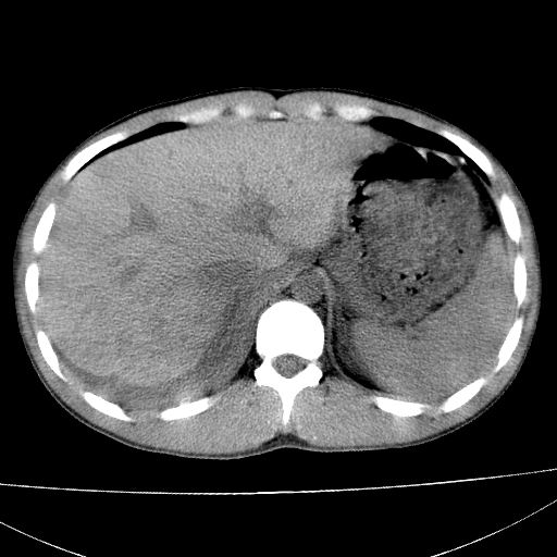
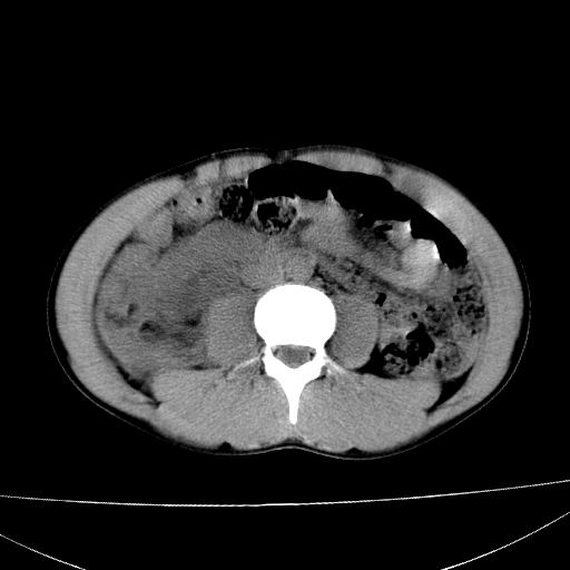
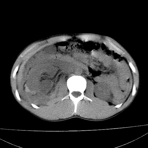
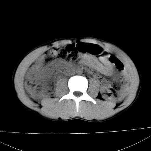
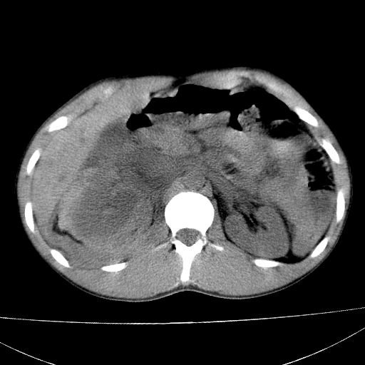
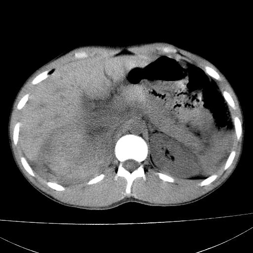
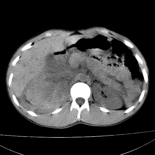
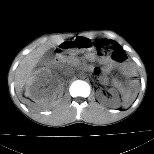
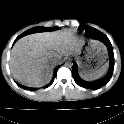
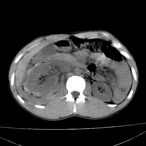
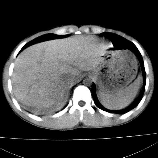
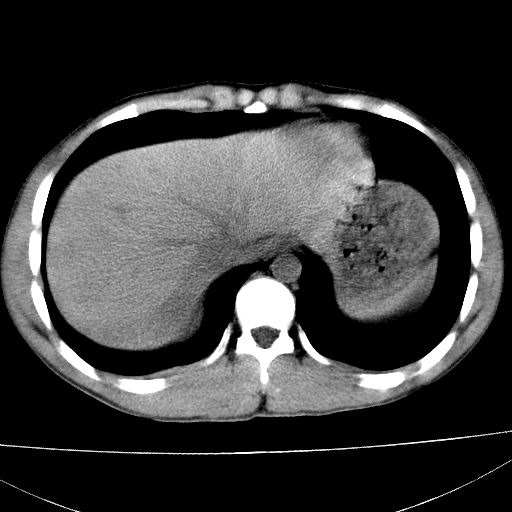
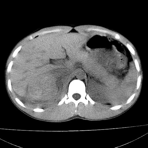
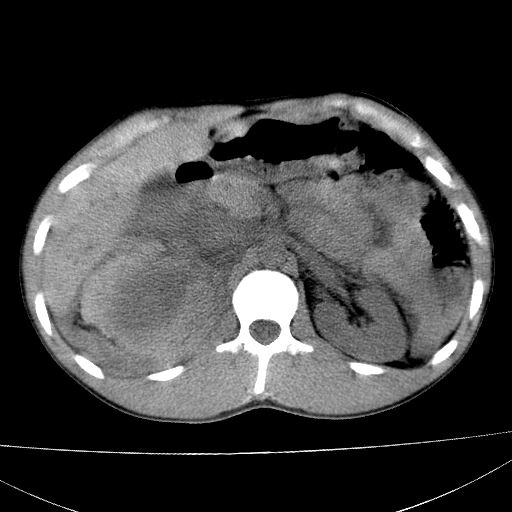
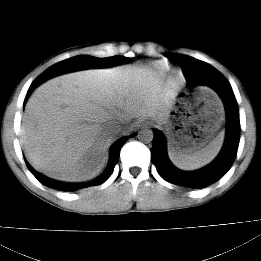
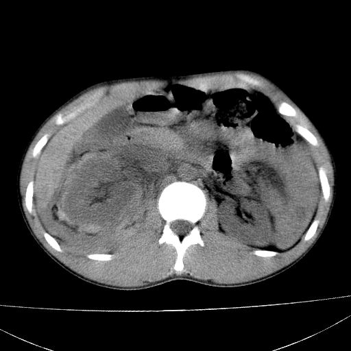
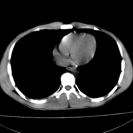
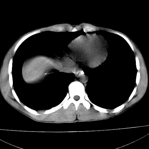
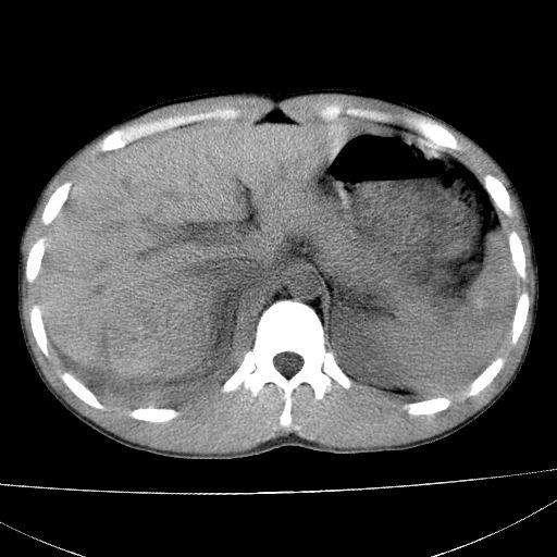
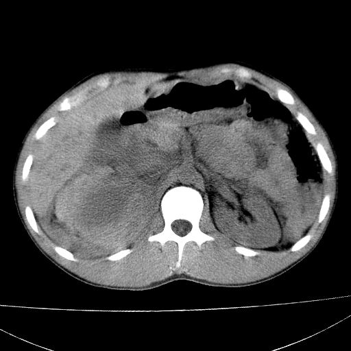
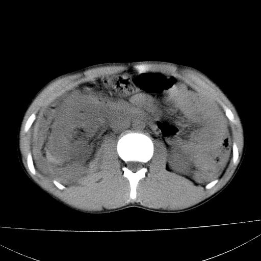
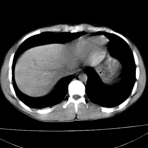
b超示:肝破裂。
作者: 龚文峰    时间: 2008-9-25 05:44
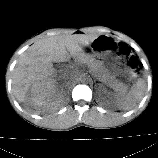
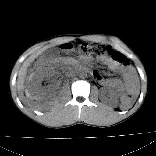
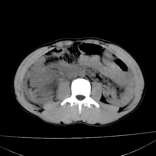
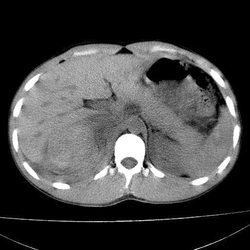
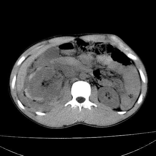
肝脏及肾脏明显有损伤性改变并激发腹腔内积液(血),以肝脏撕裂及肾周积血显著。


学习中.................
作者: hhcckk    时间: 2008-9-25 05:48
肝肾都破了,建议增强
作者: 随光逐影    时间: 2008-9-25 05:58
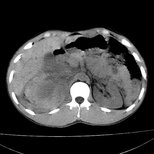
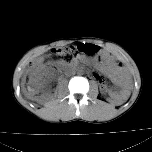
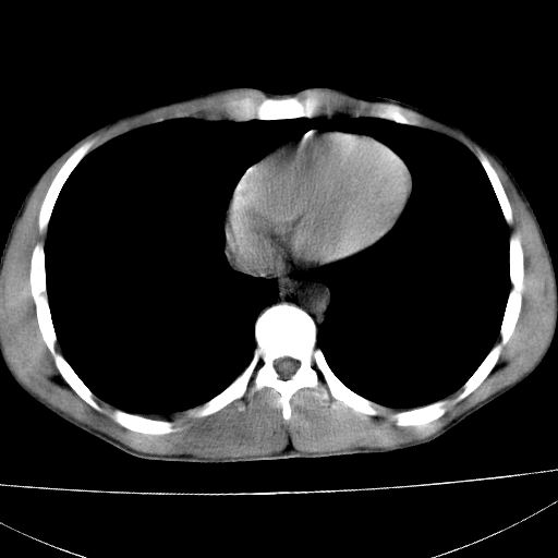
1)肝破裂伴腹腔积液(血)。2)右肾破裂伴右肾包膜下及肾周血肿。3)腹部空腔脏器穿孔可能。4)右侧少量胸腔积液(血)。
作者: wymnet    时间: 2008-9-25 06:34
这个部位怎么描述啊????
请教各位老师描述下,
作者: jsgdoctor    时间: 2008-9-25 07:00
1)肝破裂伴腹腔积液(血)。2)右肾破裂伴右肾包膜下及肾周血肿。3)右侧少量胸腔积液(血)。
作者: hl001    时间: 2008-9-25 07:05
肝肾挫裂伤,右肾周及包膜下血肿,腹腔积液,不排除空腔脏器穿孔,建议行增强检查
作者: 流浪星    时间: 2008-9-25 07:28
肝肾挫裂伤,右肾周及包膜下血肿,腹腔积液,不排除空腔脏器穿孔,建议行增强检查  .
作者: scdlc2008    时间: 2008-9-25 07:38
肝肾挫裂伤,右肾周及包膜下血肿,腹腔积液
作者: xqd576295    时间: 2008-9-25 08:28
肝、右肾包膜下血肿,右侧腰大肌及腹膜后血肿;腹腔少量积血;腹腔疑有少量游离气体伴肠破裂。
作者: zsl6918    时间: 2008-9-25 14:18
肝右叶及右肾均见挫伤破裂出血。
作者: zjzjr    时间: 2008-9-25 17:41
1)肝破裂伴腹腔积液(血)。2)右肾破裂伴右肾包膜下及肾周血肿。3右侧少量胸腔积液(血)。
作者: 深泽交通    时间: 2008-9-25 17:54
标题: 回复:ct15860:男,21岁,腹部外伤2小时伴胸疼。
以下是引用jsgdoctor在2008-9-24 23:00:00的发言:[br]1)肝破裂伴腹腔积液(血)。2)右肾破裂伴右肾包膜下及肾周血肿。3)右侧少量胸腔积液(血)。

作者: WYD2008    时间: 2008-9-25 18:23
肝右肾挫裂伤,右肾包膜下及肾周血肿.胸腹腔少量积液.脾脏下部密度稍不均,必要时,增强.
作者: 黑白光影    时间: 2008-9-26 00:05
肝肾挫裂伤,右肾周及包膜下血肿,腹腔积液,不排除空腔脏器穿孔,建议行增强检查。
作者: LIAOQIANG    时间: 2008-9-26 01:19
1肝挫伤伴腹腔积液。2右肾挫裂伤伴右肾包膜及肾后间隙肿血肿。3右肾脏周围的积气,十二指肠显示结构不清,考虑十二指肠降部破裂可能性大。
作者: 拾荒者    时间: 2008-9-26 03:43
肝肾挫裂伤,右肾周及包膜下血肿,腹腔积液,不排除空腔脏器穿孔,建议行增强检查  .
作者: 光影相伴    时间: 2008-9-26 04:02
1)肝破裂伴腹腔积液(血)。2)右肾破裂伴右肾包膜下及肾周血肿。3)右侧少量胸腔积液(血)。
作者: xulianj    时间: 2008-9-26 05:25
1)肝破裂伴腹腔积液(血)。2)右肾破裂伴右肾包膜下及肾周血肿。3)腹部空腔脏器穿孔可能。4)右侧少量胸腔积液(血)。
作者: jinguoji    时间: 2008-9-26 06:30
肝肾挫裂伤,右肾周及包膜下血肿,腹腔积液(血)。




欢迎光临 医影在线 (http://bbs.radida.com/bbs/) Powered by Discuz! X3.2