医影在线

标题: CT15861:女 60 外伤后1小时 胸疼 [打印本页]

作者: 正峰    时间: 2008-9-25 05:30
标题: CT15861:女 60 外伤后1小时 胸疼
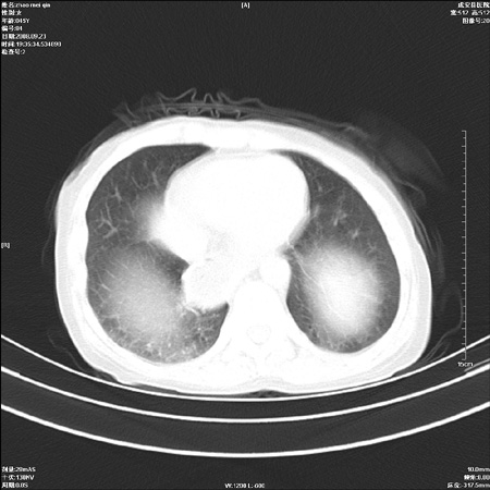
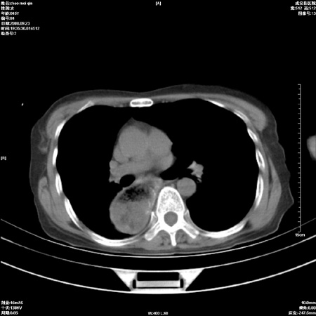
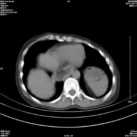
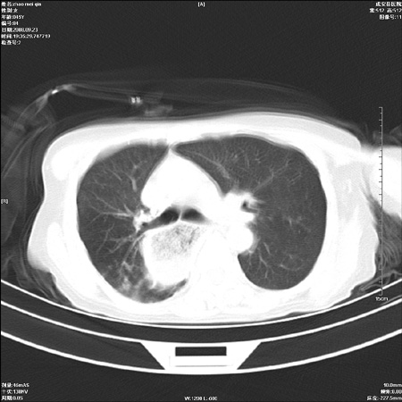
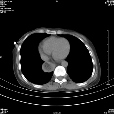
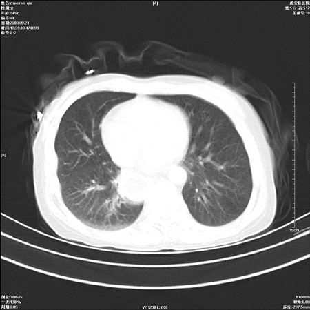
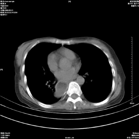
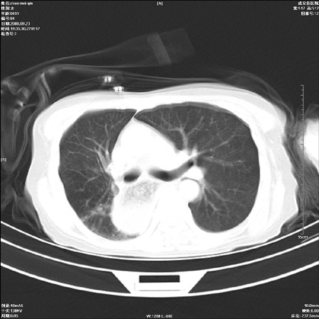
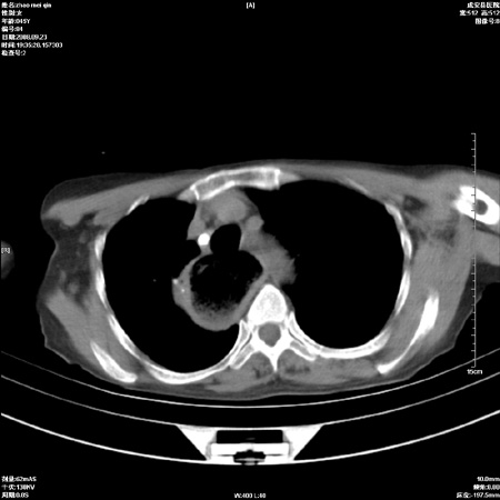
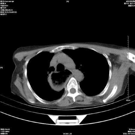
外伤后1小时 胸疼 是外伤后引起的吗?










































[本贴已被 jiajie 于 2008-9-24 22:25:03 修改过]

作者: hhcckk    时间: 2008-9-25 05:45
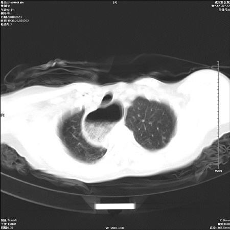
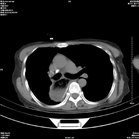
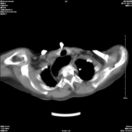
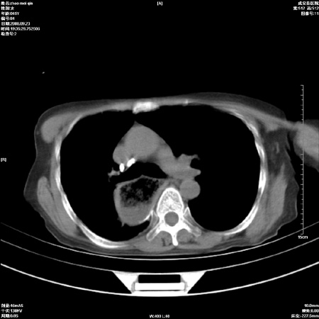
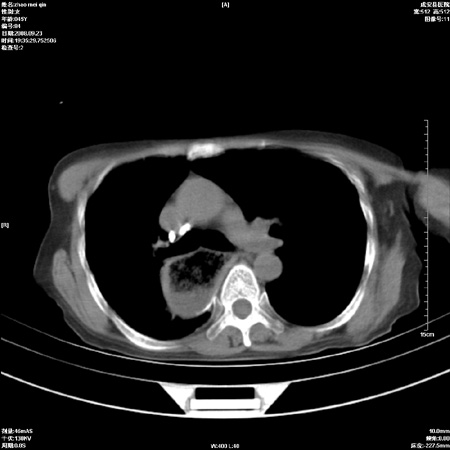
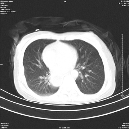
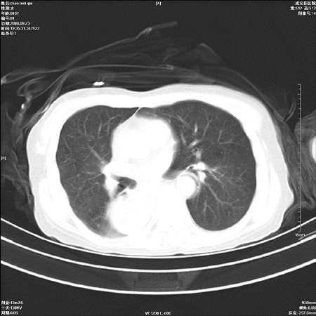
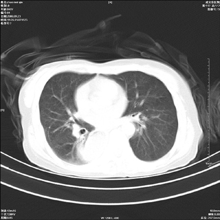
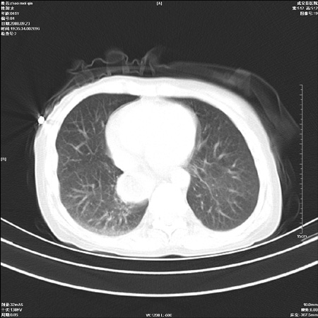
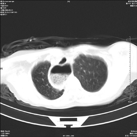
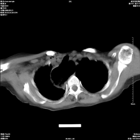
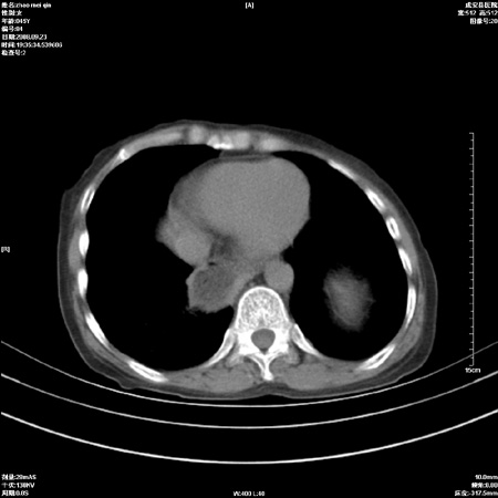
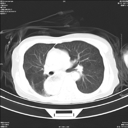
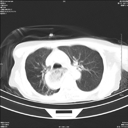
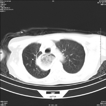
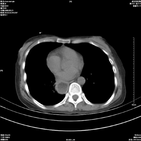
食道扩张明显下端逐渐变窄,倒像贲门失迟缓
作者: 龚文峰    时间: 2008-9-25 05:51
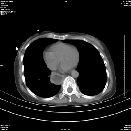
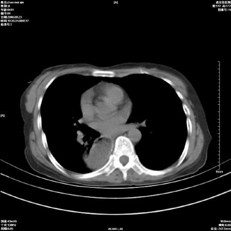
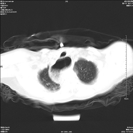
食道ca术后胸腔胃,右肺挫伤?
作者: dsl555    时间: 2008-9-25 05:59
做过手术吗?
考虑贲门失驰缓 。
作者: hl001    时间: 2008-9-25 06:47
食道扩张,有无手术史?
作者: 流浪星    时间: 2008-9-25 07:26
食道扩张,有无手术史?
作者: scdlc2008    时间: 2008-9-25 07:43
做过手术吗?考虑贲门失驰缓
作者: 曼一拍    时间: 2008-9-25 15:01
食道失弛缓。
未除外食道异物。如食道石长时间受阻。
作者: zjzjr    时间: 2008-9-25 17:36
考虑术后改变(胸腔胃),建议询问病史.
作者: 深泽交通    时间: 2008-9-25 17:51
标题: 回复:ct15861:女 60 外伤后1小时 胸疼
以下是引用hhcckk在2008-9-24 21:45:00的发言:[br]食道扩张明显下端逐渐变窄,倒像贲门失迟缓

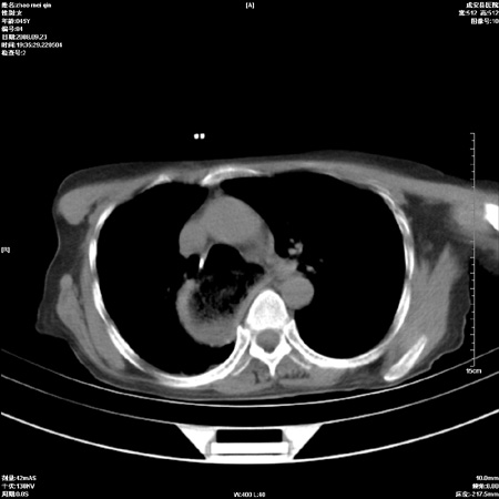
不除外贲门占位梗阻
作者: zsl6918    时间: 2008-9-25 23:13
非外伤性改变,典型的贲门失迟缓症
作者: 黑白光影    时间: 2008-9-26 00:11
食道扩张明显下端逐渐变窄,大量食物存留,象贲门失迟缓症。
作者: xulianj    时间: 2008-9-26 04:47
贲门失迟缓症。支持
作者: 随光逐影    时间: 2008-9-26 05:32
支持 贲门失迟缓症。
作者: jinguoji    时间: 2008-9-26 06:35
支持贲门失弛缓症。




欢迎光临 医影在线 (http://bbs.radida.com/bbs/) Powered by Discuz! X3.2