医影在线

标题: CT15834B:(续)增强图片 [打印本页]

作者: xysheng    时间: 2008-9-25 06:34
标题: CT15834B:(续)增强图片
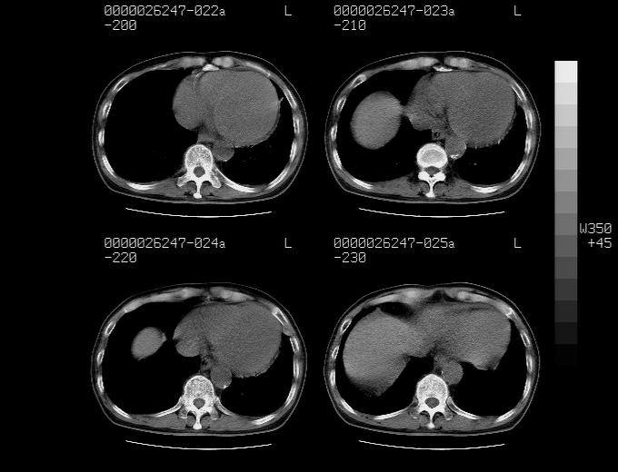
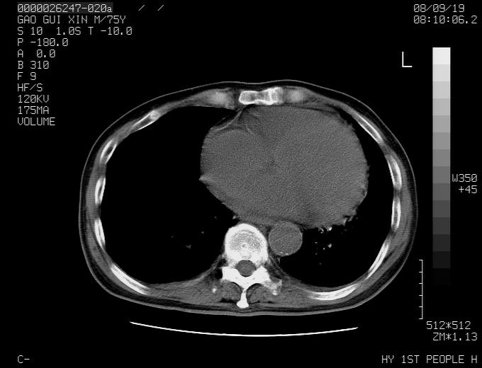
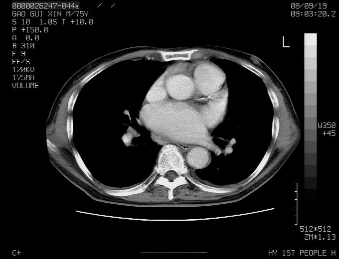
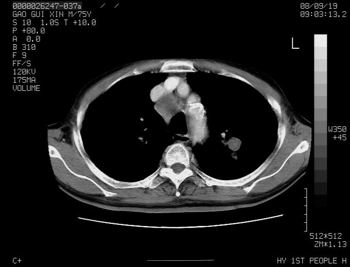
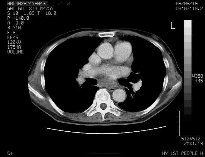
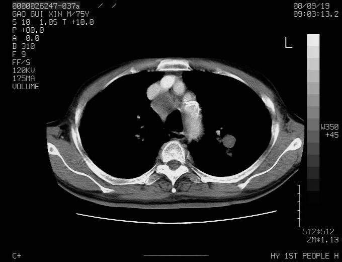
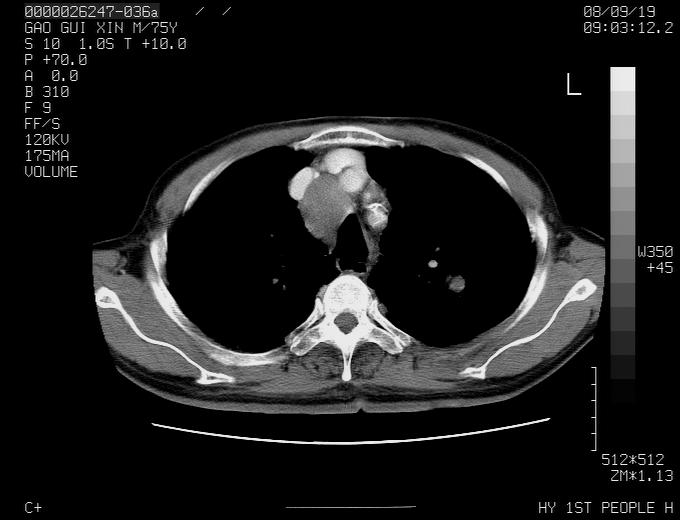
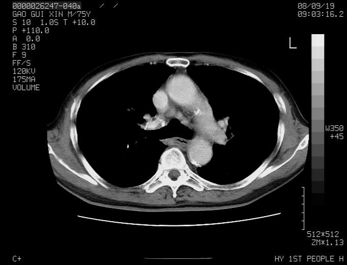
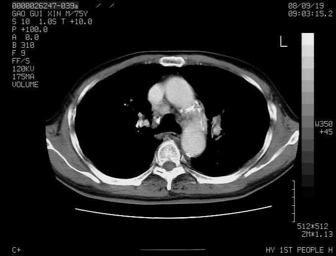
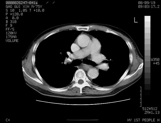
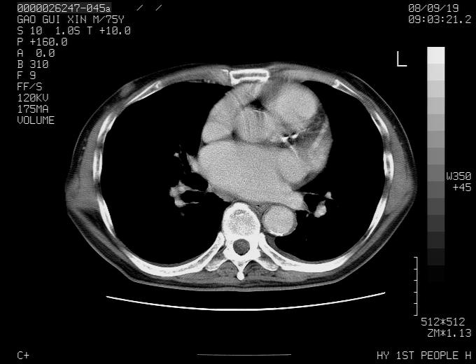
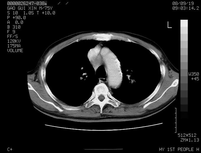
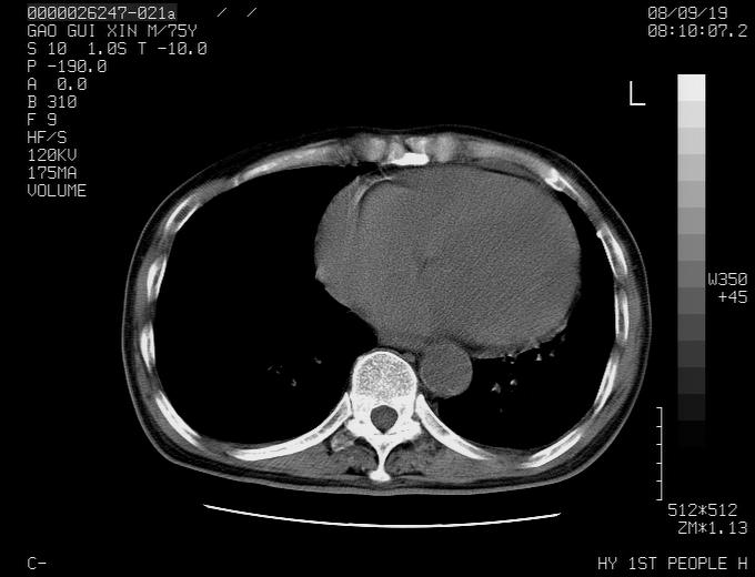
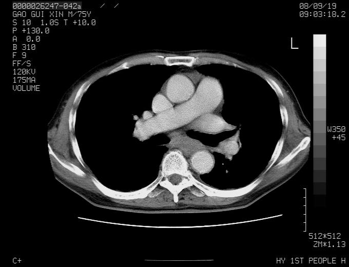
感谢各位老师的意见,左上肺病灶,我本人趋向结核,原因:左上肺见两个类圆形结节,仔细回顾4月份ct似乎原片在该处有条片状密度增高影,强化不明显。
现上传增强片,请各位老师仔细帮我看一下。
ct15834:http://www.radida.com/bbs/forum.php?mod=viewthread&tid=44612
























[本贴已被 jiajie 于 2008-9-24 22:40:14 修改过]

作者: 后来人    时间: 2008-9-25 07:33
右上肺可见条索状影,并可见钙化,左上肺结节可以考虑为结核球,但气管前腔静脉后有肿大淋巴结,本人觉得左上肺结节不能排除转移瘤的可能,右上肺为陈旧性结核灶。
作者: SOS.LA    时间: 2008-9-25 15:19
左肺上叶周围性肺癌并纵隔多组lnm.不可能是tb.
作者: duguo    时间: 2008-9-25 17:06
左肺上叶尖段瘢痕癌并纵隔淋巴结转移解释更好一些.
作者: zjzjr    时间: 2008-9-25 17:20
双上肺继发型肺结核,纵隔淋巴结结核可能性大,建议定期复查.
作者: 深泽交通    时间: 2008-9-25 17:31
左肺周围癌并纵隔淋巴结转移,另一小结节是血管影
作者: muzi888    时间: 2008-9-25 18:19
双上肺继发型肺结核,纵隔淋巴结结核可能性大,建议定期复查.  
  
支持!
作者: zsl6918    时间: 2008-9-25 23:11
别再ct讨论了,一个纤支镜检查马上明确.肺癌不会错的!应该是低分化鳞癌.
作者: xulianj    时间: 2008-9-26 04:45
左上肺周围型肺癌并纵隔淋巴结转移
作者: 随光逐影    时间: 2008-9-26 05:29
1)左肺上叶尖段周围型肺癌并纵隔淋巴结转移。2)冠状动脉及主动脉钙化。
作者: dsl555    时间: 2008-9-26 06:39
左上肺周围型肺癌并纵隔淋巴结转移。纤支镜检查




欢迎光临 医影在线 (http://bbs.radida.com/bbs/) Powered by Discuz! X3.2