医影在线
标题: X4863:M26Y,右小腿肿物数年,近期疼痛加重,大家讨论下 [打印本页]
作者: xixi123987 时间: 2008-9-25 08:10
标题: X4863:M26Y,右小腿肿物数年,近期疼痛加重,大家讨论下
男 26岁
右小腿肿物数年,近期疼痛加重。


[本贴已被 jiajie 于 2008-9-25 6:45:48 修改过]
作者: zsl6918 时间: 2008-9-25 14:12
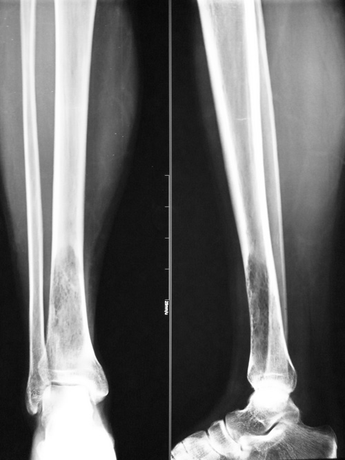
胫骨下端骨髓腔内局限性骨密度减低改变,边界模糊,骨皮质未见明显中断,结合病人多年的病史,考虑软组织良性肿瘤压迫吸收临近骨组织。建议mr或ct检查。
作者: yanliu123654 时间: 2008-9-25 20:10
骨纤?
作者: 358450m 时间: 2008-9-25 20:28
骨髓炎
作者: 谨言慎行 时间: 2008-9-25 23:48
融骨性破坏,见密度增高点状影--死骨?考虑骨髓炎
作者: dyqct 时间: 2008-9-26 00:11
.建议做mri后再诊断吧!
作者: clj20 时间: 2008-9-26 01:15
个人意见:
1、病史资料:男,26岁.右小腿肿物数年,近期疼痛加重。平片软组织未见明显肿物。
2、拟诊:
(1)低毒力感染,骨干结核可能;
(2)转移瘤待待排。
3、建议胸片检查,ppd。
作者: yang356 时间: 2008-9-26 01:15
骨纤?进一步检查。
作者: 杀毒软件 时间: 2008-9-26 01:30
考虑------血管瘤---内生性软骨瘤----骨纤-----都有可能----进一步检查
作者: 王2008 时间: 2008-9-26 02:04
期待结果。
作者: shiqingfa 时间: 2008-9-26 02:47
低毒力感染可能性大
作者: zhangkening 时间: 2008-9-26 04:24
我认为是纤维肉瘤.
作者: 87204141 时间: 2008-9-26 06:19
骨纤我不支持。。。。
因为病灶单发 范围太局限,
作者: lqx1986423 时间: 2008-9-26 06:25
有骨质破坏啊
作者: 随光逐影 时间: 2008-9-26 06:27
不排除骨纤可能。
作者: 子期 时间: 2008-9-26 06:56
考虑良性纤维类肿瘤可能性大。
作者: lf7303235 时间: 2008-9-26 20:56
单纯依照这个不好说
作者: 沉默是金 时间: 2008-9-26 23:34
非骨化性纤维瘤???
作者: yuhongjun 时间: 2008-9-27 00:38
标题: 回复:x4863:m26y,右小腿肿物数年,近期疼痛加重,大家讨论下
以下是引用zsl6918在2008-9-25 6:12:00的发言:[br]胫骨下端骨髓腔内局限性骨密度减低改变,边界模糊,骨皮质未见明显中断,结合病人多年的病史,考虑软组织良性肿瘤压迫吸收临近骨组织。建议mr或ct检查。
作者: jiangjing 时间: 2008-9-27 00:58
考虑------血管瘤-----骨纤-----都有可能----进一步检查
作者: zy_zj 时间: 2008-9-27 04:38
胫骨下段密度减低,呈丝瓜瓤样改变,髓腔稍扩大,皮质略变薄,骨膨胀不明显,无骨变形,考虑骨纤可能
鉴别:内生软骨瘤,钙化不明显,不太支持
作者: 影像之路 时间: 2008-9-27 05:13
考虑:低毒力感染——骨纤——建议mri检查
作者: 一捅阴影 时间: 2008-9-27 06:27
骨纤维瘤可能大。
作者: PANPAN 时间: 2008-9-27 07:22
标题: 回复:x4863:m26y,右小腿肿物数年,近期疼痛加重,大家讨论下
以下是引用沉默是金在2008-9-26 15:34:00的发言:[br]非骨化性纤维瘤???
作者: yangyudong333 时间: 2008-9-27 15:01
考虑慢性骨髓炎
作者: qsbaomingcheng 时间: 2008-9-27 21:36
网状细胞瘤?建议进一步检查,期待结果
作者: qyfsk 时间: 2008-9-28 00:47
病变边缘清晰,似有硬化环。邻近骨皮质连续,未见中断。周围未见软组织肿块。考虑为良性病变。纤维性骨皮质缺损或非骨化性纤维瘤。
作者: zhanggenliang 时间: 2008-9-28 04:17
考虑骨髓炎
作者: xixi123987 时间: 2008-9-28 09:51
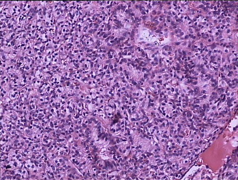
病理结果,腺泡样软组织肉瘤!
作者: yuhongjun 时间: 2008-9-28 17:11
结果收到,很好。
作者: 爱克斯光 时间: 2008-9-29 03:55
.建议做mri后再诊断吧!
作者: xixi123987 时间: 2008-9-29 09:29
标题: 回复:x4863:m26y,右小腿肿物数年,近期疼痛加重,大家讨论下
腺泡样软组织肉瘤







[emb14]
[本贴已被 xixi123987 于 2008-9-29 1:37:37 修改过]
作者: taky 时间: 2008-9-29 20:49
学习了
作者: 江广1996 时间: 2008-9-29 22:24
骨纤?临床不符合骨髓炎.
作者: xixi123987 时间: 2008-9-30 01:06
标题: 回复:x4863:m26y,右小腿肿物数年,近期疼痛加重,大家讨论下
腺泡样软组织肉瘤
极为罕见,其组织来源不明。
起源于肢体软组织者称腺泡状软组织肉瘤,原发于骨内者,称骨腺泡状肉瘤。
本病大多发生于股部、臀部及小腿深侧肌群,上肢和其他部位少见。
作者: xixi123987 时间: 2008-9-30 01:11
标题: 回复:x4863:m26y,右小腿肿物数年,近期疼痛加重,大家讨论下
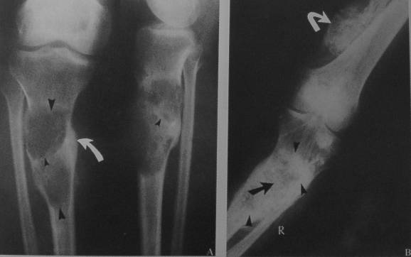
x线平片:圆形或卵圆形软组织肿块影,基底部与病骨相连。
肿瘤内可见斑点状或细小结节状钙化。
骨质破坏大多表现为溶骨性地图状或虫噬性破坏,并常伴有层状骨膜反应。
mr检查:t1和t2加权像均显示肿瘤组织呈分叶状高信号强度,并见肿瘤内有低信号间隔。


长需与下列病鉴别:
转移性骨肿瘤(溶骨性)
溶骨型骨肉瘤
骨纤维肉瘤
作者: xixi123987 时间: 2008-9-30 01:12
骨纤维肉瘤较常见,好发部位与骨髓的造血功能有密切关系。
发生顺序:脊柱、骨盆、股骨近端、颅骨、肋骨、肱骨近端。
75%为多发性。
实验室检查以血清钙、磷和碱性磷酸酶的改变较有意义。
溶骨性病灶首先开始于髓质,然后逐渐向各个方向扩展。
虫噬状、穿凿状骨质缺损,边缘不规则,周围无硬化边现象。
晚期可破坏骨皮质,无明显骨膜反应。
单发性转移灶范围较大,骨破坏广泛。
骨纤维肉瘤溶骨性肿瘤,很少由新骨形成。
骨质破坏呈透亮缺损区。
明显软组织肿块,有时可见散在的钙化点。
发生于扁平骨及异形骨的纤维肉瘤的溶骨性变化多种多样,
尚难找出其一般规律,确诊由赖于活体组织检查。
作者: xixi123987 时间: 2008-9-30 01:15
溶骨型骨肉瘤 下肢长骨为好发部位,初发部位为干骺端髓质。
溶骨性破坏以大片海绵质及皮质破坏为主。
瘤骨形成:针状、絮状、均匀象牙状。
骨膜反应:层状骨膜反应、codman三角。
局部软组织肿块:可为半圆形或卵圆形,界限清楚;也有的呈界限不清的弥漫性肿胀。于软组织中可能出现壳状瘤骨或环行钙化。
髓腔扩张:皮质变薄、扩张、骨质疏松
病理骨折
作者: shibing 时间: 2014-3-19 15:03
个人意见:
1、病史资料:男,26岁.右小腿肿物数年,近期疼痛加重。平片软组织未见明显肿物。
2、拟诊:
(1)低毒力感染,骨干结核可能;
(2)转移瘤待待排。
3、建议胸片检查,ppd。
| 欢迎光临 医影在线 (http://bbs.radida.com/bbs/) |
Powered by Discuz! X3.2 |