医影在线

标题: CT15869:男性,71岁,因咳嗽而就诊,请讨论右上肺病变性质 [打印本页]

作者: xysheng    时间: 2008-9-25 19:45
标题: CT15869:男性,71岁,因咳嗽而就诊,请讨论右上肺病变性质
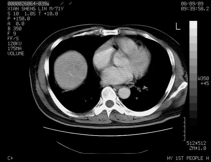
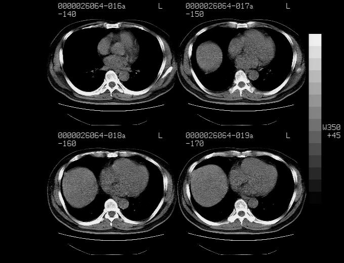
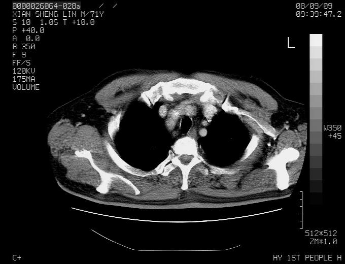
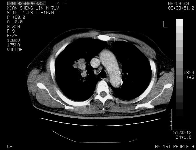
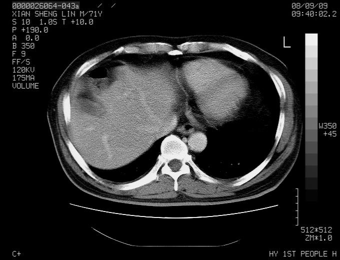
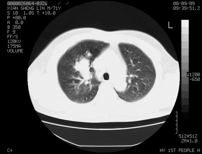
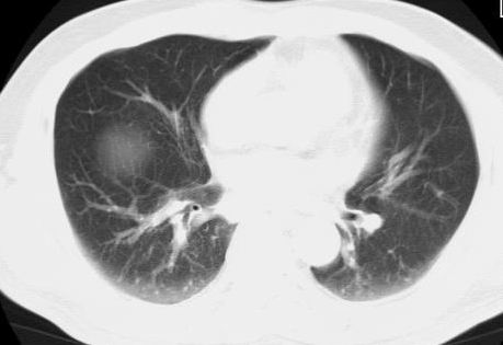
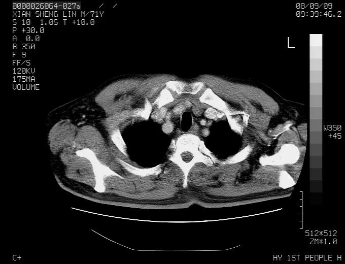
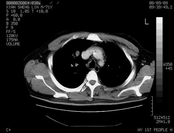
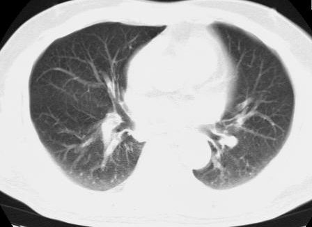
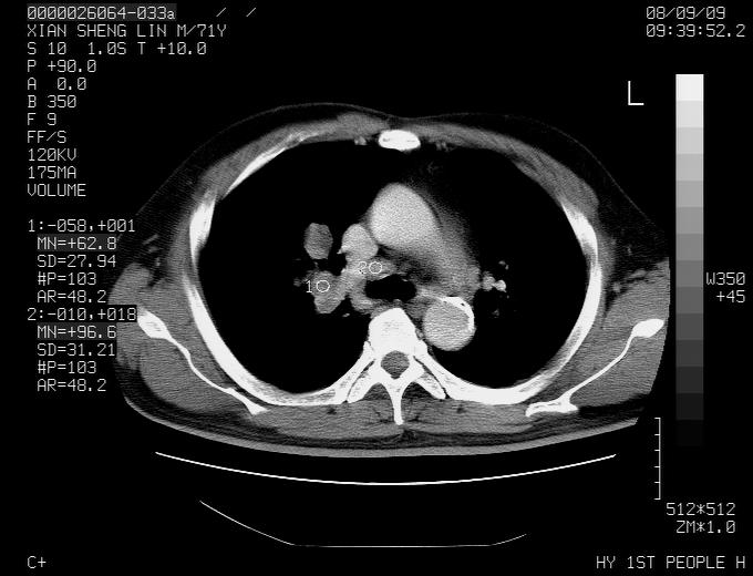
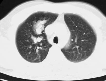
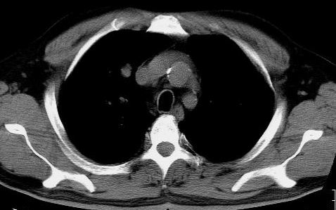
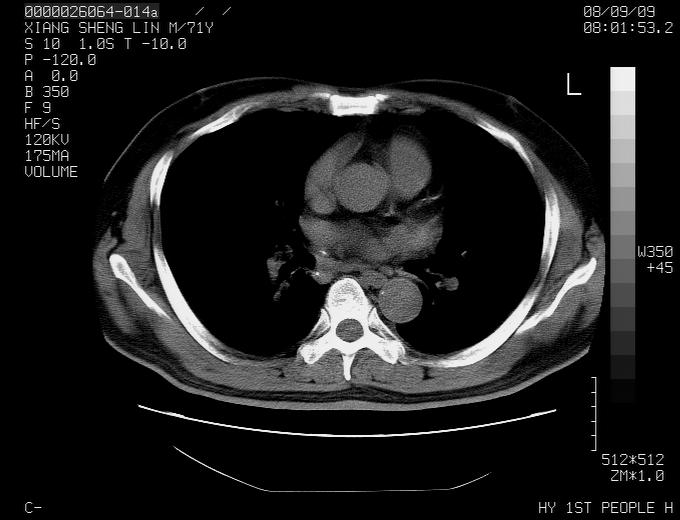
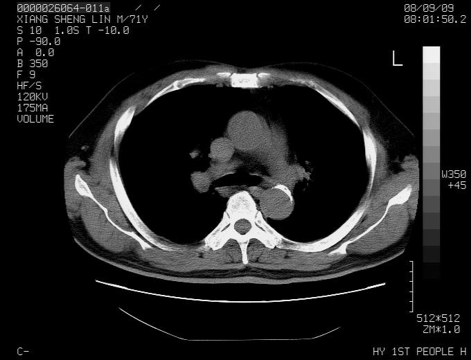
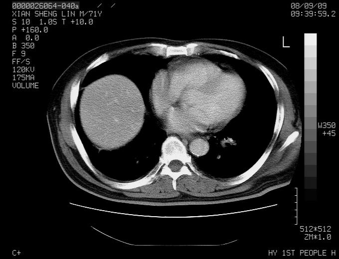
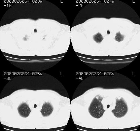
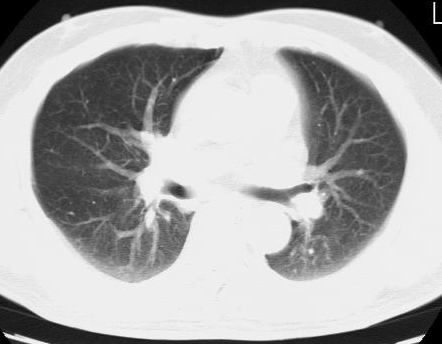
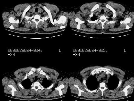
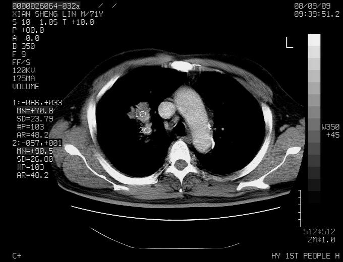
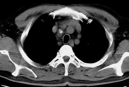
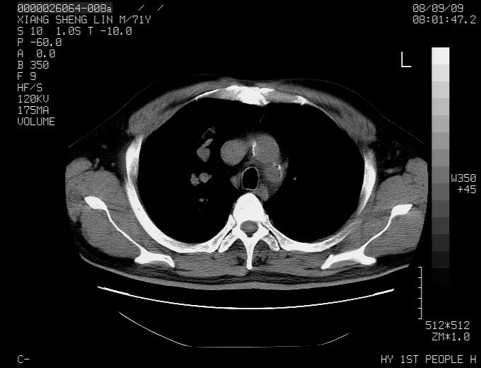
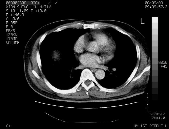
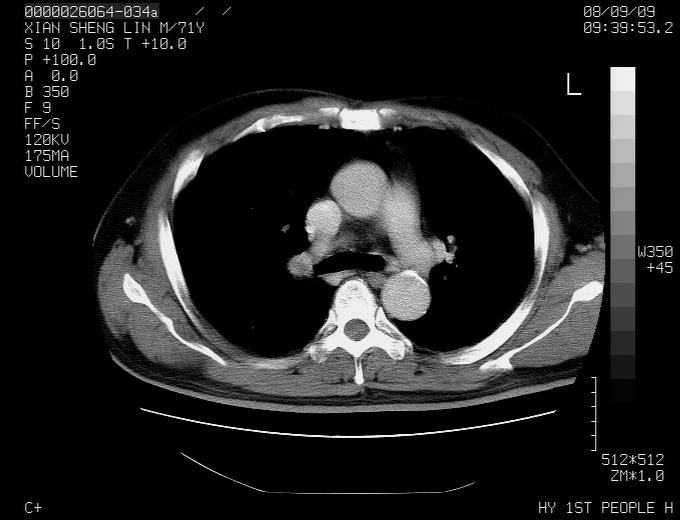
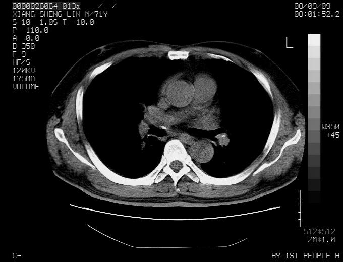
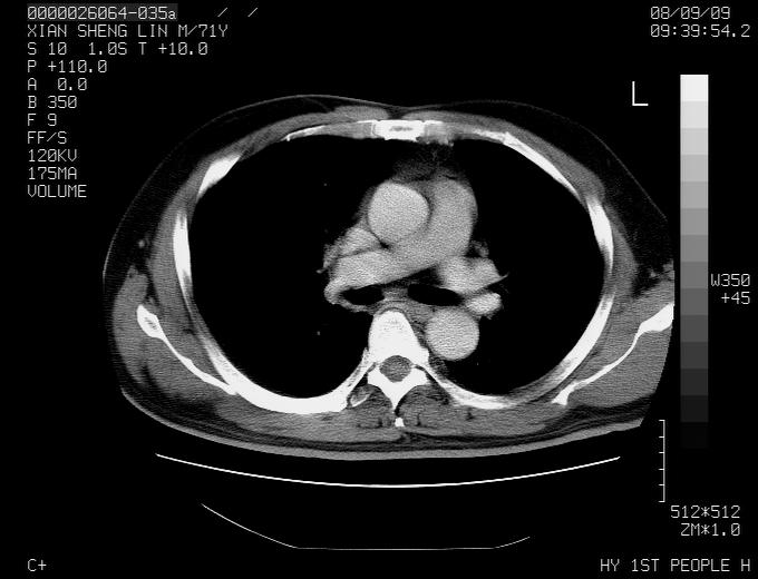
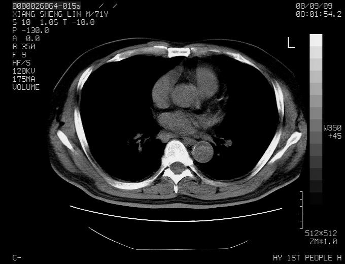
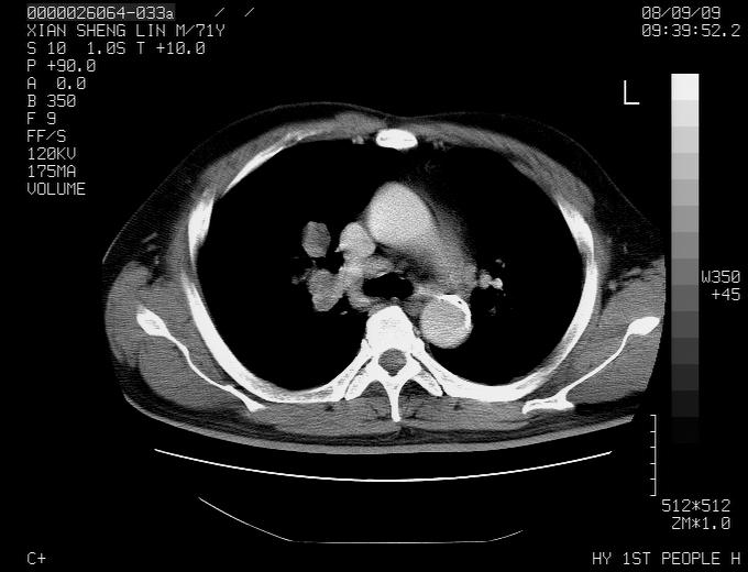
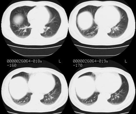
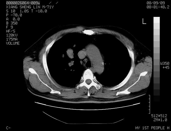
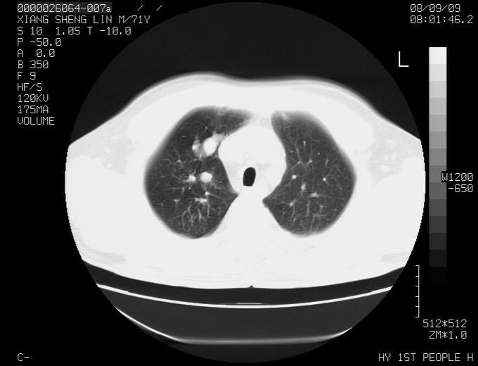
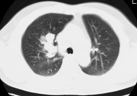
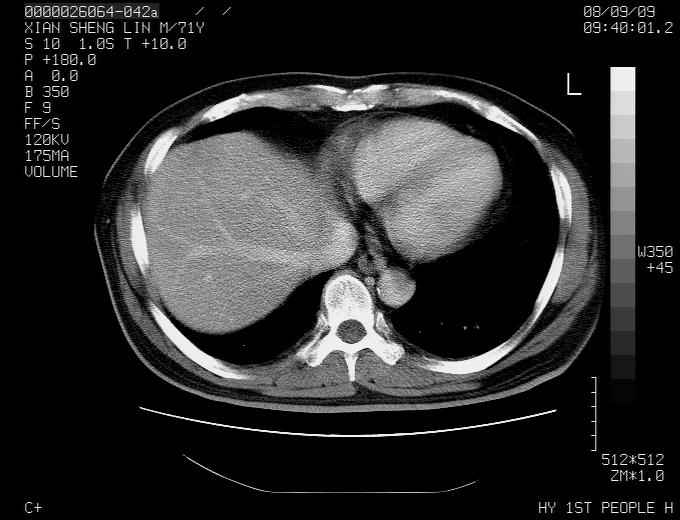
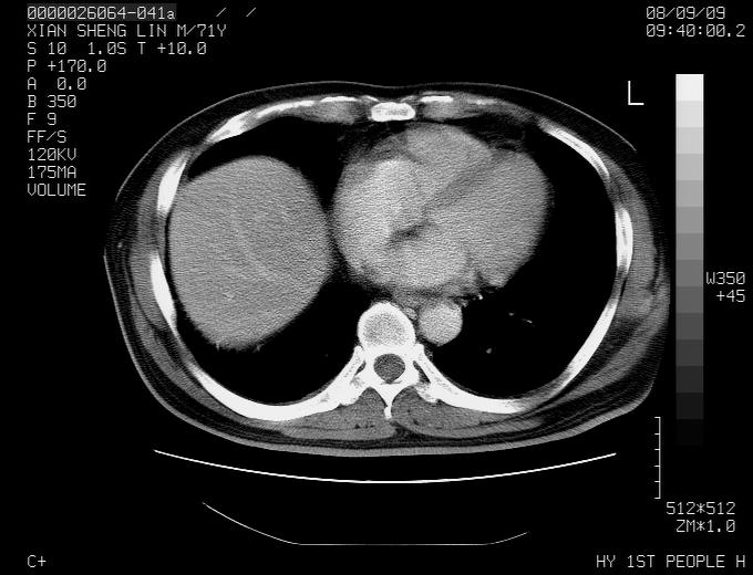
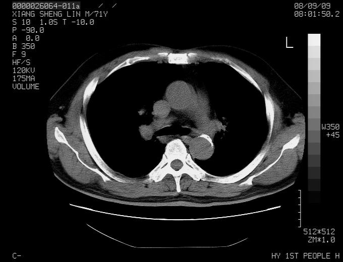
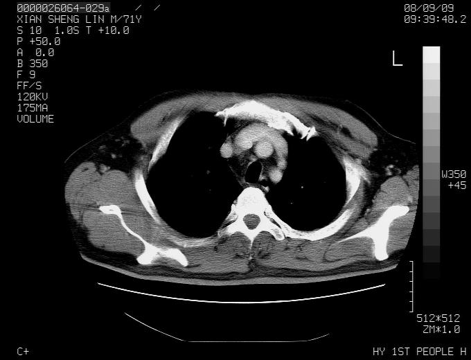
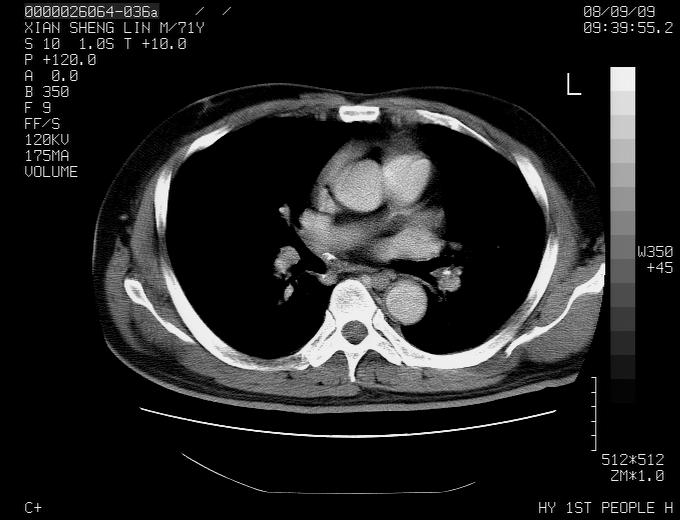
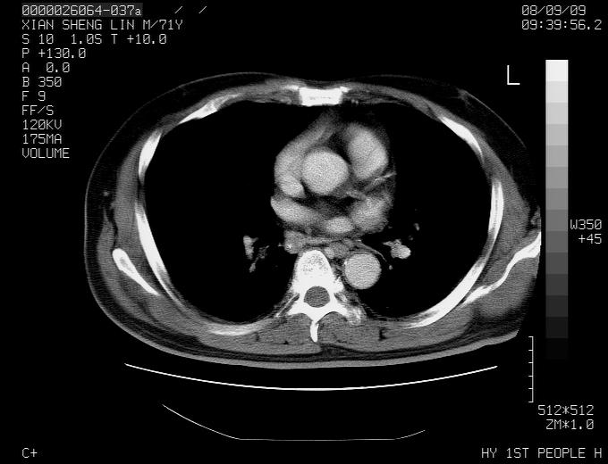
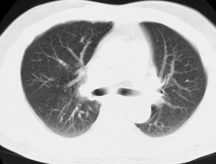
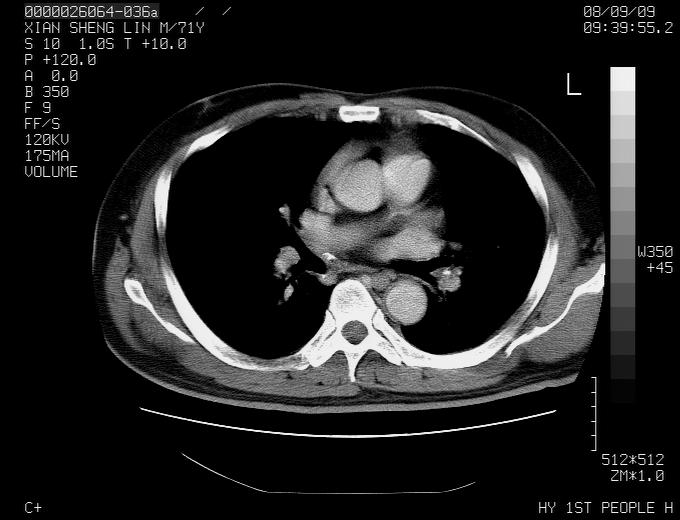
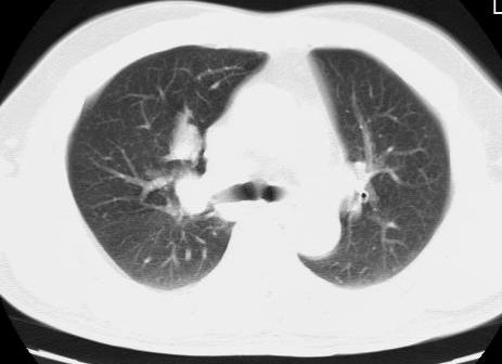
患者,男性,71岁,因咳嗽而就诊,

















































[本贴已被 jiajie 于 2008-9-25 12:44:28 修改过]

作者: 前行    时间: 2008-9-25 20:11
肺癌并淋巴结转移。
作者: 358450m    时间: 2008-9-25 20:38
标题: 回复:请讨论右上肺病变性质
以下是引用前行在2008-9-25 12:11:00的发言:[br]肺癌并淋巴结转移。

作者: 影象小辈    时间: 2008-9-25 20:57
右肺门淋巴结结核可能性大
作者: tao772    时间: 2008-9-25 22:05
考虑肺癌并淋巴结转移可能性大
作者: DXM    时间: 2008-9-25 22:22
右肺门淋巴结结核可能性大
作者: zsl6918    时间: 2008-9-25 22:50
典型的右肺中心性肺癌并纵隔淋巴结转移
作者: 卜一    时间: 2008-9-25 23:06
右肺中心性肺癌并纵隔淋巴结转移可能性大!
作者: dyqct    时间: 2008-9-26 00:32
右肺中心性肺癌并纵隔淋巴结转移可能性大! 支持!
作者: zjzjr    时间: 2008-9-26 00:41
右肺中心性肺癌并纵隔淋巴结转移可能性大! 支持!
作者: lirenxiong    时间: 2008-9-26 00:56
右肺中心性肺癌并纵隔淋巴结转移可能性大! 支持!
作者: wopiaolema    时间: 2008-9-26 01:12
病灶中等程度强化 还是支持肺癌诊断
作者: 深泽交通    时间: 2008-9-26 03:36
1.右肺血管源性病变;
2.肺癌
作者: qiushi    时间: 2008-9-26 04:02
右肺中心性肺癌并纵隔淋巴结转移可能性大!
作者: 2016    时间: 2008-9-26 04:04
支持!右肺中心性肺癌并纵隔淋巴结转移可能性大!
作者: 光影相伴    时间: 2008-9-26 04:04
右肺中心性肺癌并纵隔淋巴结转移可能性大!
作者: 光影相伴    时间: 2008-9-26 04:07
右肺中心性肺癌并纵隔淋巴结转移可能性大!
作者: 随光逐影    时间: 2008-9-26 05:12
考虑右肺中心性肺癌并右肺门及纵隔淋巴结转移。
作者: xulianj    时间: 2008-9-26 05:39
考虑肺癌并淋巴结转移可能性大
作者: dsl555    时间: 2008-9-26 06:28
右肺中心性肺癌并纵隔淋巴结转移可能性大! 支持!
作者: jgyyfsk    时间: 2008-9-26 06:48
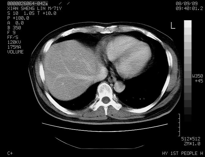
1,右肺中心型ca,气管隆突旁淋巴结转移。
2,右膈明显抬高,建议肝脏扫描排除转移或原发灶。
作者: dsl555    时间: 2008-9-26 06:55
右肺中心性肺癌并纵隔淋巴结转移可能性大! 支持!
作者: 谨言慎行    时间: 2008-9-26 07:02
标题: 回复:ct15869:男性,71岁,因咳嗽而就诊,请讨论右上肺病
以下是引用zsl6918在2008-9-25 14:50:00的发言:[br]典型的右肺中心性肺癌并纵隔淋巴结转移

作者: 黑白光影    时间: 2008-9-26 17:04
支持右肺中心性肺癌并右肺门及纵隔淋巴结转移。




欢迎光临 医影在线 (http://bbs.radida.com/bbs/) Powered by Discuz! X3.2