医影在线

标题: CT15870:F50Y,纵膈占位,是不是胸腺瘤,请各位高手讨论。 [打印本页]

作者: lanhai    时间: 2008-9-25 20:26
标题: CT15870:F50Y,纵膈占位,是不是胸腺瘤,请各位高手讨论。
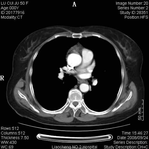
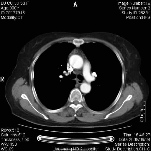
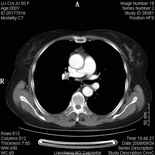
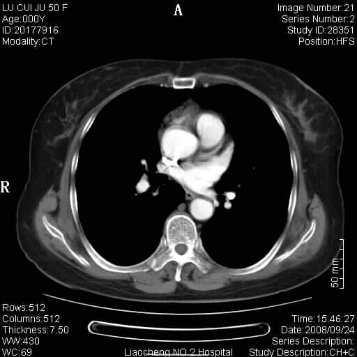
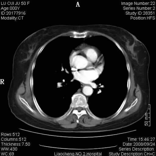
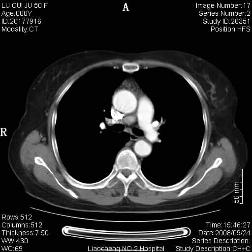
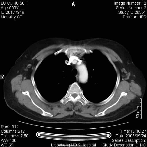
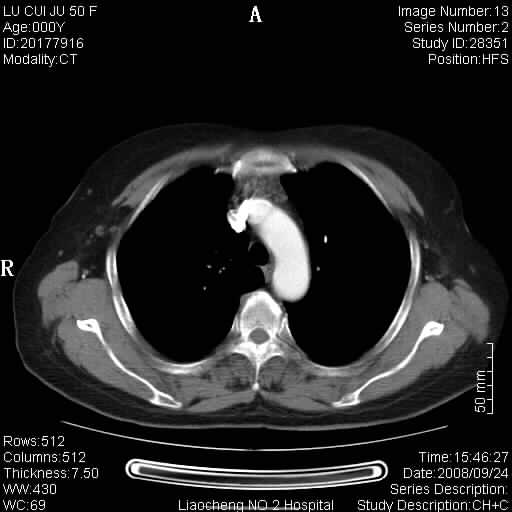
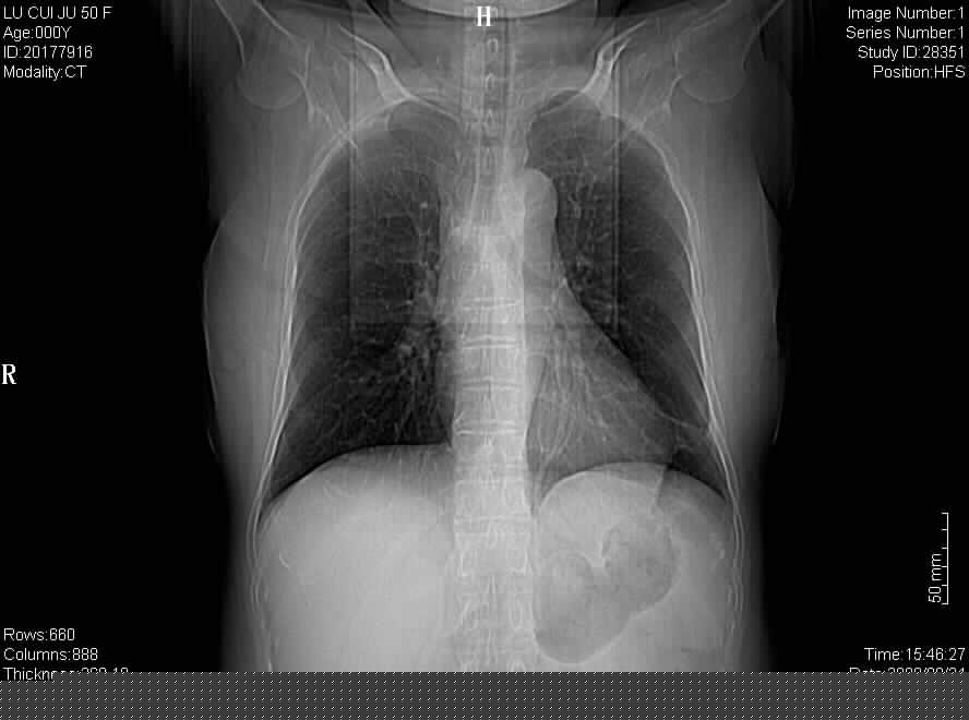
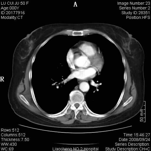
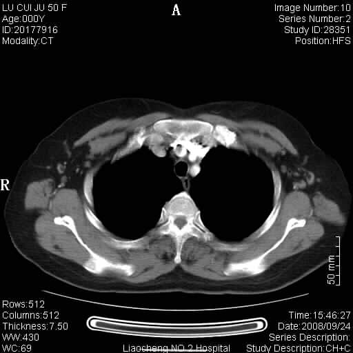
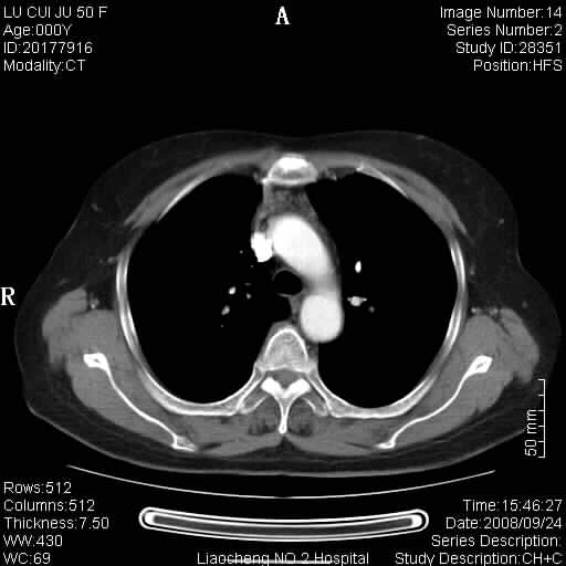
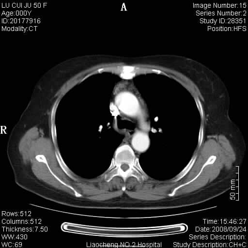
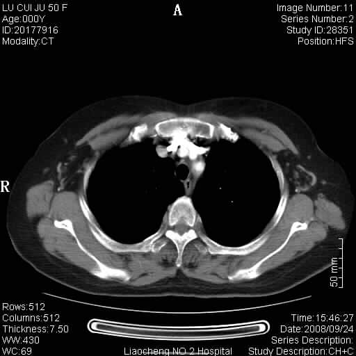
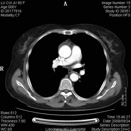
临床表现为重症肌无力;ct增强扫描可见前纵膈胸腺部位弥漫性簇状软组织节结灶,不知道是不是胸腺瘤,请各位高手讨论。


















[本贴已被 jiajie 于 2008-9-25 12:54:10 修改过]

作者: lxt1219    时间: 2008-9-25 22:22
应该不是的,有些人胸腺的退化并不是完全的!
作者: zsl6918    时间: 2008-9-25 22:51
考虑胸腺增生
作者: 卜一    时间: 2008-9-25 23:04
应该是正常!
作者: LIAOQIANG    时间: 2008-9-26 00:29
胸腺外缘稍向外突,未见确切占位改变。结合临床考虑胸腺增生可能性大。
作者: dyqct    时间: 2008-9-26 00:37
未见明显异常。
作者: zjzjr    时间: 2008-9-26 00:40
未见明显异常。
作者: wopiaolema    时间: 2008-9-26 01:07
不象有问题的样
作者: wangjj555    时间: 2008-9-26 01:25
未见明显异常
作者: 358450m    时间: 2008-9-26 01:47
标题: 回复:ct15870:f50y,纵膈占位,是不是胸腺瘤,请各位高手讨论
以下是引用zsl6918在2008-9-25 14:51:00的发言:[br]考虑胸腺增生

作者: 影象小泰斗    时间: 2008-9-26 02:54
考虑胸腺增生!!
作者: 奥雷良诺    时间: 2008-9-26 03:13
胸腺组织残留
作者: 深泽交通    时间: 2008-9-26 03:31
标题: 回复:ct15870:f50y,纵膈占位,是不是胸腺瘤,请各位高手讨论
以下是引用zsl6918在2008-9-25 14:51:00的发言:[br]考虑胸腺增生

作者: qiushi    时间: 2008-9-26 03:57
正常!
作者: xulianj    时间: 2008-9-26 05:08
未见明显异常
作者: 随光逐影    时间: 2008-9-26 05:43
未见明确异常。
作者: jsgdoctor    时间: 2008-9-26 06:16
未见明显异常
作者: dsl555    时间: 2008-9-26 06:42
未见明显异常。
作者: 谨言慎行    时间: 2008-9-26 06:56
未见异常
作者: 黑白光影    时间: 2008-9-26 17:06
未见明显异常。
作者: 叶子123    时间: 2008-9-26 19:05
为未退化胸腺
作者: arven    时间: 2008-9-27 04:17
标题: 回复:ct15870:f50y,纵膈占位,是不是胸腺瘤,请各位高手讨论
以下是引用叶子123在2008-9-26 11:05:00的发言:[br]为未退化胸腺





欢迎光临 医影在线 (http://bbs.radida.com/bbs/) Powered by Discuz! X3.2