







































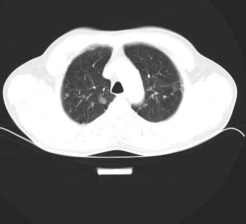
以下是引用余辉在2008-9-28 23:18:00的发言:[br]病灶多数周围性分布,肺尖分布,部分结节边缘光整,多数病灶边缘可见长棘棘影,可见多条纤维条索影,可见空洞影,右下叶背段空洞内尚可见固块内容,考虑多发结核球伴曲霉菌感染,不除外转移瘤
以下是引用duguo在2008-9-29 7:08:00的发言:[br]首先考虑转移瘤.
以下是引用358450m在2008-9-29 9:00:00的发言:[br][quote]以下是引用duguo在2008-9-29 7:08:00的发言:[br]首先考虑转移瘤.
以下是引用余辉在2008-9-28 23:18:00的发言:[br]病灶多数周围性分布,肺尖分布,部分结节边缘光整,多数病灶边缘可见长棘棘影,可见多条纤维条索影,可见空洞影,右下叶背段空洞内尚可见固块内容,考虑多发结核球伴曲霉菌感染,不除外转移瘤
以下是引用随光逐影在2008-9-29 7:47:00的发言:[br]考虑两肺继发性肺结核(部分结节病灶内空洞形成)。
以下是引用余辉在2008-9-28 23:18:00的发言:[br]病灶多数周围性分布,肺尖分布,部分结节边缘光整,多数病灶边缘可见长棘棘影,可见多条纤维条索影,可见空洞影,右下叶背段空洞内尚可见固块内容,考虑多发结核球伴曲霉菌感染,不除外转移瘤
以下是引用zjzjr在2008-9-29 10:18:00的发言:[br]考虑两肺继发性肺结核(部分结节病灶内空洞形成),不除外转移瘤
引用第3楼余辉于2008-09-29 07:18发表的 :
病灶多数周围性分布,肺尖分布,部分结节边缘光整,多数病灶边缘可见长棘棘影,可见多条纤维条索影,可见空洞影,右下叶背段空洞内尚可见固块内容,考虑多发结核球伴曲霉菌感染,不除外转移瘤
| 欢迎光临 医影在线 (http://bbs.radida.com/bbs/) | Powered by Discuz! X3.2 |