医影在线

标题: CT1552:[求助]黄疸病人 [打印本页]

作者: 花省伞    时间: 2005-7-10 06:34
标题: CT1552:[求助]黄疸病人
58岁男性患者,消瘦后体重锐减30斤,黄疸一周,谷胺酰胺转氨酶超过正常值20倍






[本贴已被 jiajie 于 2005-7-10 21:28:37 修改过]

作者: 花省伞    时间: 2005-7-10 07:16
标题: 回复:[求助]黄疸病人
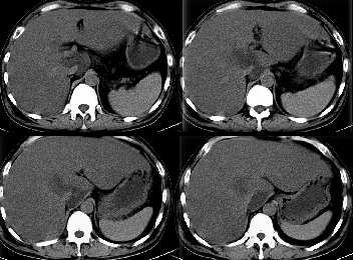
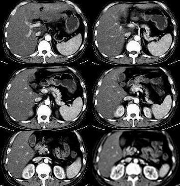
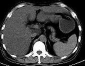
肝脏肿大,上下达24层;肝脏平扫ct值约32hu(尾叶附近低密度灶ct值为4~10hu,而静脉期和延迟期其值19~24hu)。
作者: guzhongliangddd    时间: 2005-7-10 07:43
1,肝左叶外恻段似见类圆形稍低均匀密度影,突于肝外,在平扫及动脉期上此可疑病灶更明显。肝内外胆系未见扩张,考虑是外生性肝ca?2,胆囊壁有环壮强化{考虑慢性胆囊炎。}[emb5]
作者: qinys    时间: 2005-7-10 08:29
脂肪肝,尾状叶脂肪浸润明显.其他好象没问题?
作者: 扬仪    时间: 2005-7-10 08:43
肝左叶外恻段似见类圆形稍低均匀密度影,突于肝外,在平扫及动脉期上此可疑病灶更明显。尾状叶处(膈面下开始出现)呈现更低密度影,边缘不清;ce俩病灶内血管影(门脉左支、下腔静脉)显示的似有受压变形。
考虑:肝左叶占位性病灶(肝ca可能性大),并膈下、肝门淋巴转移。
作者: jiangjing    时间: 2005-7-10 09:20
支持1脂肪肝。2胆囊炎。3黄疸、肝大、转氨酶升高为正常值之20倍。考虑重症肝炎可能。
作者: wskgmmyvtkd    时间: 2005-7-10 15:17
重度脂肪肝,胆囊炎。至于病毒性肝炎需实验室检查才能诊断。
作者: 爱睡觉的猫    时间: 2005-7-10 17:55
平扫:肝脏体积增大,密度明显低与脾脏,肝尾叶见一类圆形低密度病灶,并向肝外突出于,大小?边界较模糊,ct值4-10hu(花省伞朋友说的)。肝门增大,似有一肿块。肝内胆管未见扩张,脾不大,密度均匀。
增强:肝尾叶病灶轻度强化(花省伞朋友说的),界限较平扫时清晰,内可见有血管走形,周边血管可见推移,胆囊强化后可见壁较厚,肝门处的肿块似有强化。
意见:1  肝左叶占位,考虑恶性,并肝门部淋巴结肿大。建议mri检查!
      2  脂肪肝,慢性胆囊炎。
作者: 克山    时间: 2005-7-10 18:00
脂肪肝。
作者: duguo    时间: 2005-7-10 20:31
脂肪肝,重症性肝炎。
作者: 强哥    时间: 2005-7-10 23:41
重症性肝炎,肝密度普遍是肝细胞肿胀改变,不好确定脂肪肝。
作者: lushijun    时间: 2005-7-11 01:50
[emb6]10楼意见。
作者: dddxb    时间: 2005-7-11 05:47
脂肪肝,重症性肝炎,需了解病史,与药物有关否?
作者: fox胡柯思    时间: 2005-7-11 06:01
支持1脂肪肝。2胆囊炎。
作者: xhsmx    时间: 2005-7-11 06:07
1:肝左叶病灶比较明显,似有包膜,动脉期病灶内有不规则片样强化,支持肝癌诊断。2:肝脏增大,密度明显减低,且转氨酶明显升高,应考虑急性肝炎。本人认为:(1)急性肝炎,(2)肝左叶肝癌。
作者: jiajie    时间: 2005-7-12 05:13
支持脂肪肝,急性黄疸性肝炎(甲肝)。
作者: wanbo2004    时间: 2005-7-12 05:47
临床消瘦体重剧减,支持恶变质,失代偿表现。结合ct征象:肝体积明显增大,支持重症肝炎;左叶及尾叶低密度病灶,支持合并有恶性变可能,其它方面不太好解释低密度的由来
作者: 不解    时间: 2005-7-13 07:55
ct能下的诊断:脂肪肝,胆囊炎。[emb9]
作者: 悬壶济世    时间: 2005-7-14 20:44
1)肝左叶肝癌2)全肝癌?重症肝炎?本人曾经遇到一例全肝癌,如本病例图像表现。期待结果。
作者: shibing    时间: 2015-5-24 10:33
脂肪肝,重症性肝炎。




欢迎光临 医影在线 (http://bbs.radida.com/bbs/) Powered by Discuz! X3.2