医影在线
标题: CT15972:F,18Y。发热十余天,伴咳嗽。 [打印本页]
作者: 随光逐影 时间: 2008-10-3 19:10
标题: CT15972:F,18Y。发热十余天,伴咳嗽。
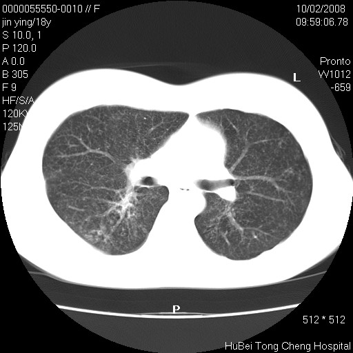
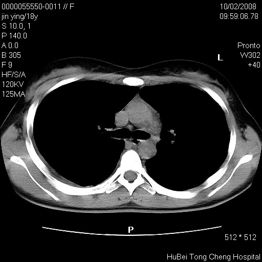
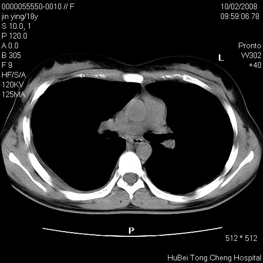
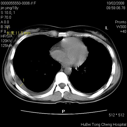
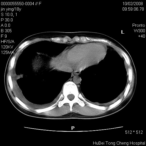
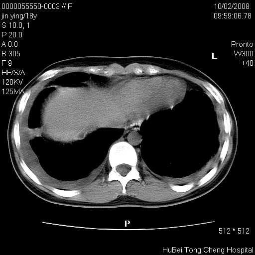
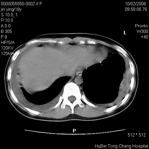
患者 女,18y。发热十余天,伴咳嗽。pe:t39⒈℃,bp 110/80mmhg,p 86次/min。神清,精神欠佳。双肺可闻及少许湿罗音。既往史不详。
临床诊断:肺部感染?
胸部ct轴位平扫(层厚10mm,螺距1.5,重建间隔10mm),图像如下:












































[本贴已被 随光逐影 于 2008-10-3 11:13:47 修改过]
[本贴已被 翁志蓬 于 2008-10-4 11:09:48 修改过]
作者: 杀毒软件 时间: 2008-10-3 19:18
考虑------双肺继发型肺结核----胸腔少量积液
作者: 358450m 时间: 2008-10-3 19:22
tb
作者: zhangyu_nancy 时间: 2008-10-3 19:28
考虑为上肺tb并下肺感染!
作者: zjzjr 时间: 2008-10-3 21:04
血行播散型肺结核伴双侧胸腔积液.胸膜肥厚\\粘连
作者: 卜一 时间: 2008-10-3 21:49
双肺继发型肺结核伴结核性胸膜炎!
作者: 黑白光影 时间: 2008-10-3 21:57
标题: 回复:f,18y。发热十余天,伴咳嗽。
以下是引用卜一在2008-10-3 13:49:00的发言:[br]双肺继发型肺结核伴结核性胸膜炎!
作者: 阿明 时间: 2008-10-3 22:40
双肺继发性肺结核并双侧胸腔少量积夜,心包少量积夜.
作者: xulianj 时间: 2008-10-3 23:18
双肺继发型肺结核伴结核性胸膜炎!
作者: zy_zj 时间: 2008-10-3 23:41
支持大家考虑,但病史太短了
作者: 深泽交通 时间: 2008-10-3 23:46
考虑血播性肺结核伴侵犯胸膜
作者: zrs 时间: 2008-10-4 00:25
考虑双肺粟粒型肺结核
作者: jsgdoctor 时间: 2008-10-4 00:26
亚急性血行播散型肺结核
作者: 宇宙CT 时间: 2008-10-4 00:57
双肺继发型肺结核伴结核性胸膜炎!
作者: panyishengct 时间: 2008-10-4 01:26
双肺继发型肺结核伴结核性胸膜炎!
作者: Yuejun2001 时间: 2008-10-4 01:32
标题: 回复:f,18y。发热十余天,伴咳嗽。
以下是引用卜一在2008-10-3 13:49:00的发言:[br]双肺继发型肺结核伴结核性胸膜炎!
作者: zsl6918 时间: 2008-10-4 01:39
肺结核并双肺支气管播散,结核性胸膜炎
作者: xiaofangsheyuan 时间: 2008-10-4 02:00
过敏性肺炎?清结合临床
作者: bmw011 时间: 2008-10-4 02:09
标题: 回复:f,18y。发热十余天,伴咳嗽。
以下是引用卜一在2008-10-3 13:49:00的发言:[br]双肺继发型肺结核伴结核性胸膜炎!
作者: dsl555 时间: 2008-10-4 02:13
考虑血播性肺结核伴侵犯胸膜
作者: 沉默是金 时间: 2008-10-4 02:57
标题: 回复:f,18y。发热十余天,伴咳嗽。
以下是引用杀毒软件在2008-10-3 11:18:00的发言:[br]考虑------双肺继发型肺结核----胸腔少量积液
作者: qyfsk 时间: 2008-10-4 03:57
考虑急性粟粒型肺结核,
作者: wawj 时间: 2008-10-4 04:45
考虑急性粟粒型肺结核,累及胸膜。
作者: huangyinshan 时间: 2008-10-4 04:47
考虑------双肺继发型肺结核----胸腔少量积液
作者: 光影★小胖 时间: 2008-10-4 05:29
亚急性血行播散型肺结核
作者: zhengfaming 时间: 2008-10-4 05:33
看影象支持结核并结核性胸膜炎,少量胸腔积液
但是她高烧?
作者: dyqct 时间: 2008-10-4 19:32
标题: 回复:ct15972:f,18y。发热十余天,伴咳嗽。
以下是引用杀毒软件在2008-10-3 11:18:00的发言:[br]考虑------双肺继发型肺结核----胸腔少量积液
支持!
作者: LIAOQIANG 时间: 2008-10-4 23:28
结节上多下少。考虑结核(亚急性粟粒型?)伴双侧胸水。
作者: arven 时间: 2008-10-5 00:39
标题: 回复:ct15972:f,18y。发热十余天,伴咳嗽。
以下是引用huangyinshan在2008-10-3 20:47:00的发言:[br]考虑------双肺继发型肺结核----胸腔少量积液
作者: 99999999 时间: 2008-10-21 23:48
血行播散型肺结核伴双侧胸腔积液.胸膜肥厚\\粘连
作者: dsl555 时间: 2008-10-22 01:09
双肺继发型肺结核伴结核性胸膜炎!
作者: dr.yang 时间: 2012-5-1 17:55
血行播散型肺结核伴双侧胸腔积液.胸膜肥厚、粘连 。临床可以高热。
| 欢迎光临 医影在线 (http://bbs.radida.com/bbs/) |
Powered by Discuz! X3.2 |