
























以下是引用zjzjr在2008-10-3 12:59:00的发言:[br]前列腺癌伴左髂骨\\腰椎转移可能性大.
以下是引用zjzjr在2008-10-3 12:59:00的发言:[br]前列腺癌伴左髂骨\\腰椎转移可能性大.
以下是引用卜一在2008-10-3 13:40:00的发言:[br]前列腺癌!左髂骨\\腰椎转移?建议行全身骨扫描!
以下是引用zjzjr在2008-10-3 12:59:00的发言:[br]前列腺癌伴左髂骨\\腰椎转移可能性大.
以下是引用卜一在2008-10-3 13:40:00的发言:[br]前列腺癌!左髂骨\\腰椎转移?建议行全身骨扫描!
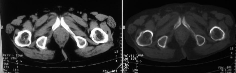
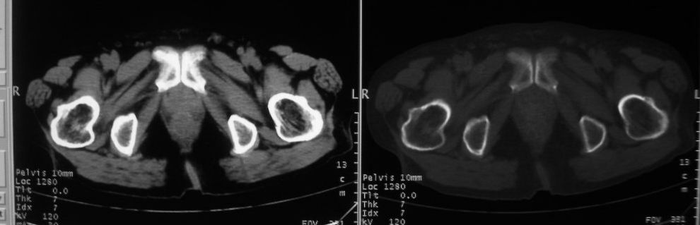
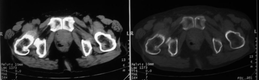
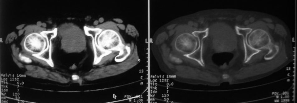
以下是引用深泽交通医院在2008-10-3 15:33:00的发言:[br]前列腺实性增大伴分叶状,与包膜间隙境界不清;椎体松质区间结节样密度影,考虑:前列腺癌,并椎体成骨性转移
以下是引用卜一在2008-10-3 13:40:00的发言:[br]前列腺癌!左髂骨\\腰椎转移?建议行全身骨扫描!
以下是引用zjzjr在2008-10-3 12:59:00的发言:[br]前列腺癌伴左髂骨\\腰椎转移可能性大.
以下是引用zjzjr在2008-10-3 12:59:00的发言:[br]前列腺癌伴左髂骨\\腰椎转移可能性大.
以下是引用zjzjr在2008-10-3 12:59:00的发言:[br]前列腺癌伴左髂骨\\腰椎转移可能性大.
| 欢迎光临 医影在线 (http://bbs.radida.com/bbs/) | Powered by Discuz! X3.2 |