医影在线
标题: X4890:M68Y,请看腹部!! [打印本页]
作者: wangjie 时间: 2008-10-5 00:58
标题: X4890:M68Y,请看腹部!!
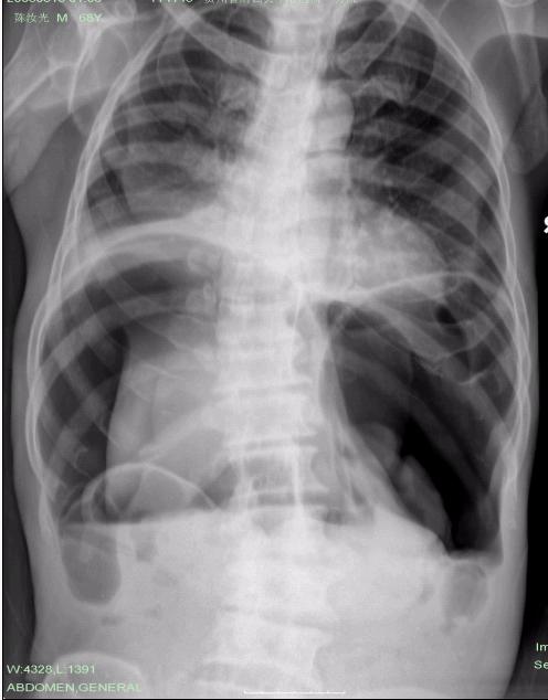
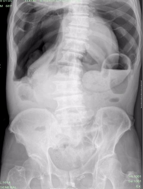
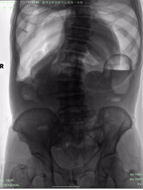
男,68岁,腹痛20多天。
真不知道这病人是怎么忍受的啊?



[本贴已被 cefcmj 于 2008-10-5 14:28:14 修改过]
作者: wangjie 时间: 2008-10-5 01:08
补充:第一张(胸片)的左右搞错了。真对不起!
作者: 杀毒软件 时间: 2008-10-5 01:11
病人可真能挺,没中毒性休克呀?
作者: qsbaomingcheng 时间: 2008-10-5 01:24
太能忍了,第一次看见这么重的
作者: dr.yang 时间: 2008-10-5 01:50
是结肠积气吧
作者: 黑白光影 时间: 2008-10-5 04:13
标题: 。
气腹成这样能忍受,不是痛阙高就是反射弧有问题,([悄悄话]要不就是cp?)
本站儿科病例中有一例新生儿气腹:
http://www.radida.com/radinet/read.php?tid=44457
[本贴已被 黑白光影 于 2008-10-4 20:49:52 修改过]
作者: mzh123 时间: 2008-10-5 04:20
应该是很典型了
作者: 一捅阴影 时间: 2008-10-5 05:21
气腹,好病例。
作者: 龚文峰 时间: 2008-10-5 05:46
气腹?..........我还以为肠梗阻呢?张力那么高!!!不要搞错了浪费病人的病情就行~~~~~
老师指点,不知道是不是继发的,原因是什么?手术?
作者: ZHANGZHONGSHOU 时间: 2008-10-5 05:55
气腹,多以胃肠道穿孔多见。
作者: 伍星 时间: 2008-10-5 05:58
气腹,见宽大气液平, 太恐怖啦吧。
作者: 寻芳者 时间: 2008-10-5 06:21
自发性?人工气腹????--------------------------
作者: zy_zj 时间: 2008-10-5 06:29
刚一看,合计间位结肠呢,怎么重的气腹没看到过,也不敢想象
作者: 谨言慎行 时间: 2008-10-5 17:13
气腹
作者: zwz 时间: 2008-10-5 17:15
气腹,除了胃肠道穿孔外,还应考虑:肠壁气囊肿症
机械性梗阻和营养失调同时存在时易产生肠气囊肿症。常见于溃疡病。在正常情况下,淋巴液内碱性碳酸盐与胃肠道内发酵的酸性产物接触即分解出二氧化碳,二氧化碳又被血中氮气所代替,而使气体进入淋巴管中。在溃疡病合并幽门梗阻病人,因产生的二氧化碳较多,胃内压力增高,蠕动亢进,易将淋巴管内的气体压至粘膜下或浆膜层而形成气肿。表现为链条状、串珠状透亮影,当肠壁气囊肿破裂时,气腹气量多少不等,可中量到大量。临床上病人感到腹胀不适而来院诊治,但常误诊为急腹症而收治入院-------摘自《急腹症影像学》
本例的临床症状是腹痛20天,应考虑肠壁气囊肿症的可能,建议检查消化道,有无溃疡病
作者: 吴承学 时间: 2008-10-5 17:24
标题: 回复:x4890m68y,请看腹部!!
[quote]以下是引用zhangzhongshou在2008-10-4 21:55:00的发言:[br]气腹,多以胃肠道穿孔多见。
作者: dr.yang 时间: 2008-10-5 17:29
学习
作者: yangzhenghai 时间: 2008-10-5 17:32
领教了.
作者: dyqct 时间: 2008-10-5 17:44
典型的大量气腹----消化道穿孔。
作者: 余辉 时间: 2008-10-5 17:59
学习了,天下之大无奇不有,在下还见过直肠癌总个结肠被粪石完全充填的,你造了影一样,据说病人六个月没有正常进食及排便了,每次排便都是水
作者: 海螺 时间: 2008-10-5 18:52
气腹
作者: 358450m 时间: 2008-10-5 19:28
标题: 回复:x4890m68y,请看腹部!!
以下是引用一捅阴影在2008-10-4 21:21:00的发言:[br]气腹,好病例。
作者: LIAOQIANG 时间: 2008-10-5 22:10
大量气腹。考虑胃肠穿孔可能。
作者: 随光逐影 时间: 2008-10-6 01:00
大量气腹;多为腹部空腔脏器穿孔所致。
作者: 王2008 时间: 2008-10-6 02:29
谢谢楼主,学习了。
作者: yangyudong333 时间: 2008-10-6 03:59
谢谢楼主,学习了。
作者: jinguoji 时间: 2008-10-6 04:35
气腹,以胃肠道穿孔多见。
作者: QINGJING 时间: 2008-10-6 05:56
没见过怎么重度,赶紧的别误诊了
作者: 王仕学 时间: 2008-10-6 16:46
气腹,好病例。多以胃肠道穿孔多见。
作者: shibing 时间: 2014-3-19 15:08
气腹,多以胃肠道穿孔多见。
| 欢迎光临 医影在线 (http://bbs.radida.com/bbs/) |
Powered by Discuz! X3.2 |