












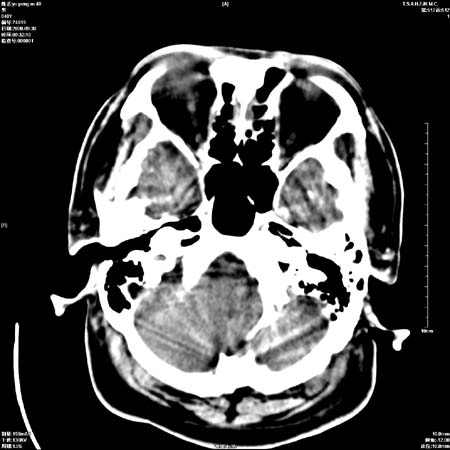
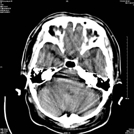
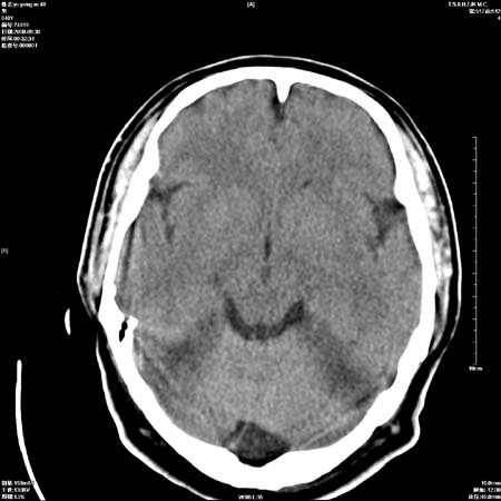
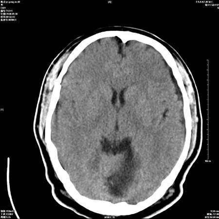
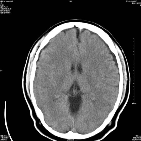
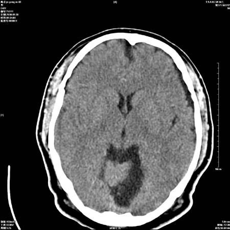
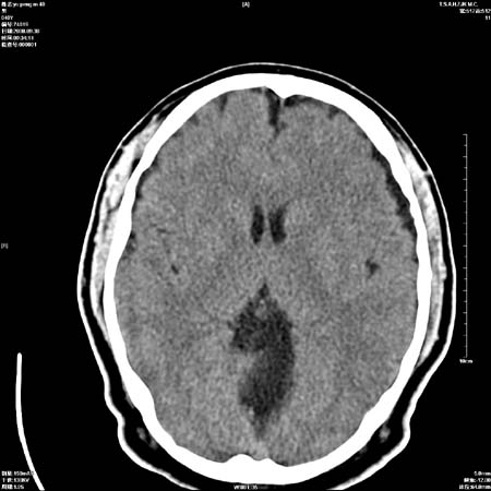
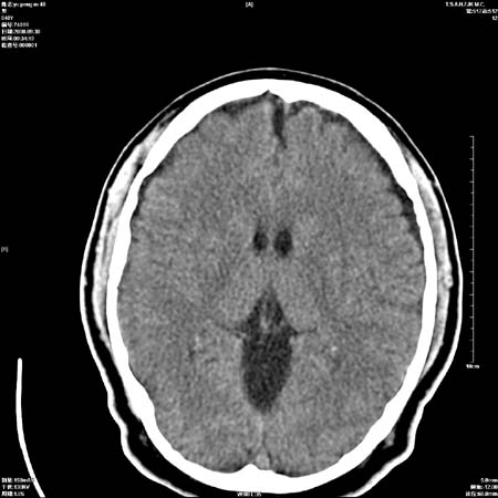
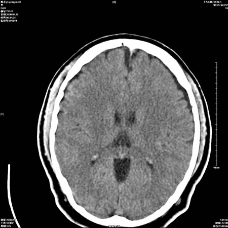
以下是引用zjzjr在2008-10-4 20:29:00的发言:[br]右颞叶皮质区密度略减低,脑沟较对侧变浅,考虑早期脑梗塞,建议mri.左侧小脑幕缘旁可见带状低密度影,轻度占位效应,支持蛛网膜囊肿,枕大池区亦考虑蛛网膜囊肿.
以下是引用zsl6918在2008-10-4 21:05:00的发言:[br]考虑蛛网膜囊肿
以下是引用一个人在2008-10-4 22:06:00的发言:[br]蛛网膜囊肿.
以下是引用杀毒软件在2008-10-4 21:51:00的发言:[br]支持考虑-----蛛网膜囊肿可能性大[br]
以下是引用zjzjr在2008-10-4 20:29:00的发言:[br]右颞叶皮质区密度略减低,脑沟较对侧变浅,考虑早期脑梗塞,建议mri.左侧小脑幕缘旁可见带状低密度影,轻度占位效应,支持蛛网膜囊肿,枕大池区亦考虑蛛网膜囊肿.
以下是引用流浪星在2008-10-4 20:06:00的发言:[br]大脑大静脉池增宽,脑萎缩引起,目前的ct表现不能解释临床症状,建议短期复查或做mr检查。
以下是引用流浪星在2008-10-4 20:06:00的发言:[br]大脑大静脉池增宽,脑萎缩引起,目前的ct表现不能解释临床症状,建议短期复查或做mr检查。
以下是引用流浪星在2008-10-4 20:06:00的发言:[br]大脑大静脉池增宽,脑萎缩引起,目前的ct表现不能解释临床症状,建议短期复查或做mr检查。
| 欢迎光临 医影在线 (http://bbs.radida.com/bbs/) | Powered by Discuz! X3.2 |