






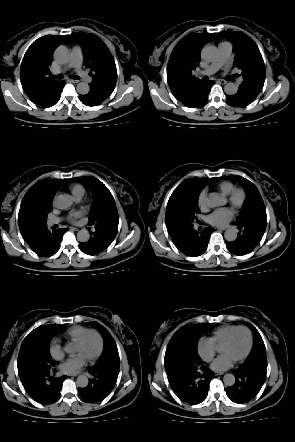
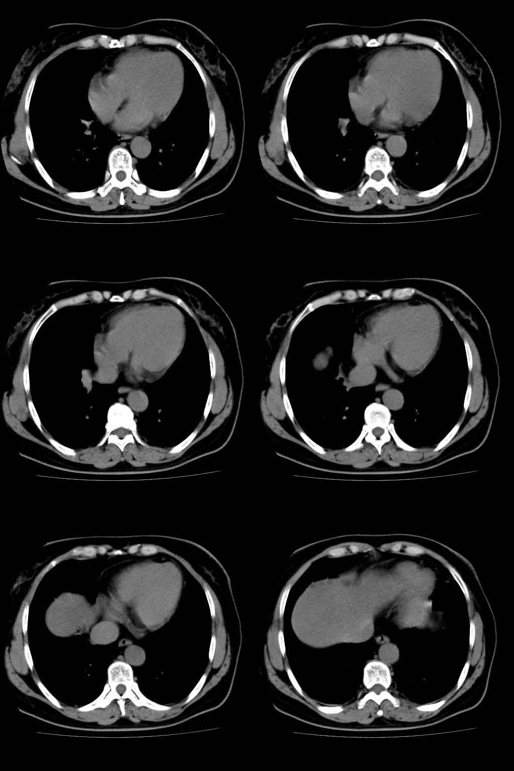
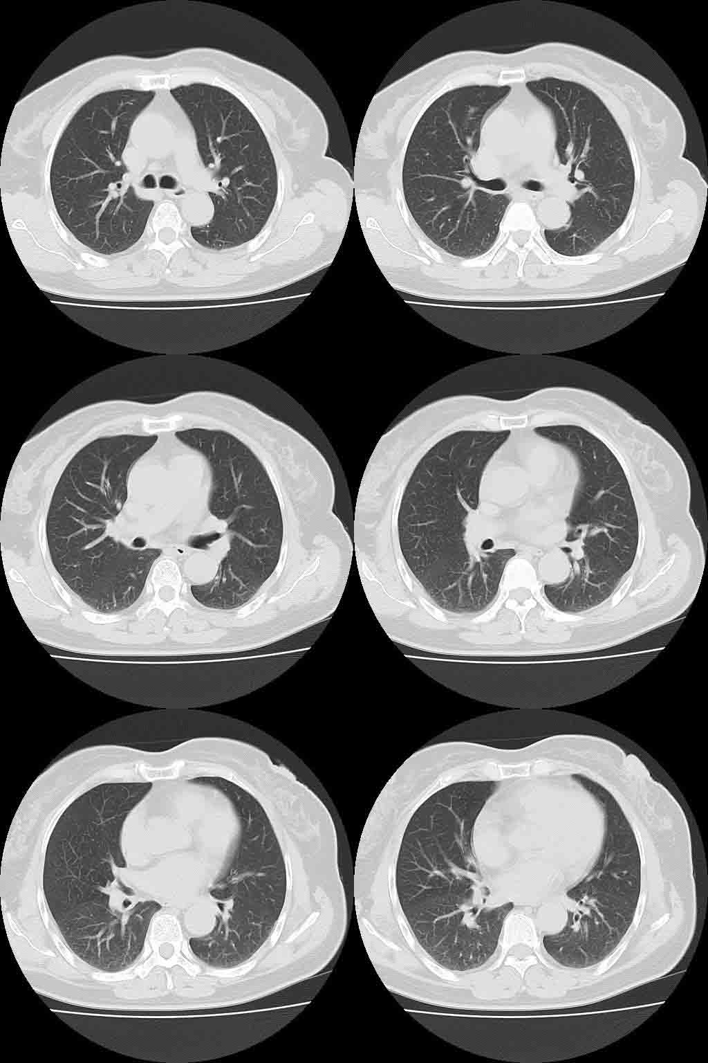
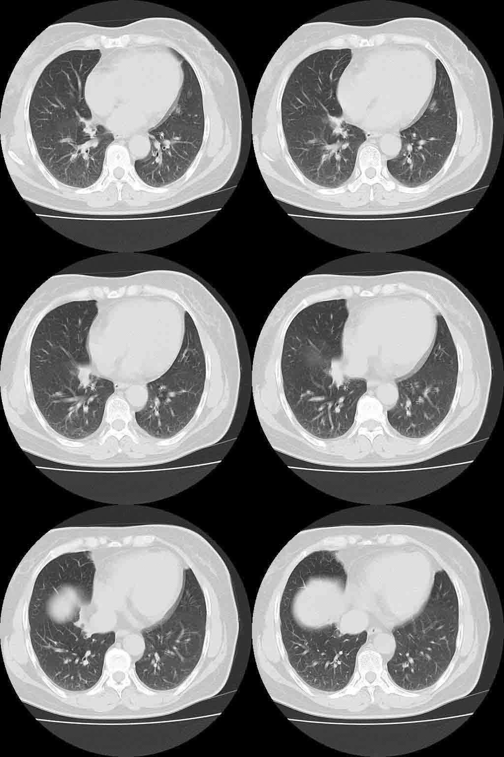
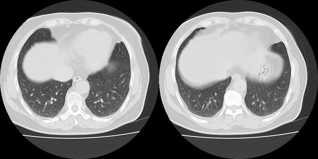
以下是引用lkc8963在2008-10-4 22:24:00的发言:[br]右下肺内基底段不规则软组织结块,肿瘤可能,建议增强鉴别于血管.
以下是引用lkc8963在2008-10-4 22:24:00的发言:[br]右下肺内基底段不规则软组织结块,肿瘤可能,建议增强鉴别于血管.
以下是引用zsl6918在2008-10-4 21:13:00的发言:[br]大致正常
以下是引用lkc8963在2008-10-4 22:24:00的发言:[br]右下肺内基底段不规则软组织结块,肿瘤可能,建议增强鉴别于血管.
| 欢迎光临 医影在线 (http://bbs.radida.com/bbs/) | Powered by Discuz! X3.2 |