医影在线
标题: X4929:F,73Y,住院体检 [打印本页]
作者: dr.yang 时间: 2008-10-15 03:24
标题: X4929:F,73Y,住院体检
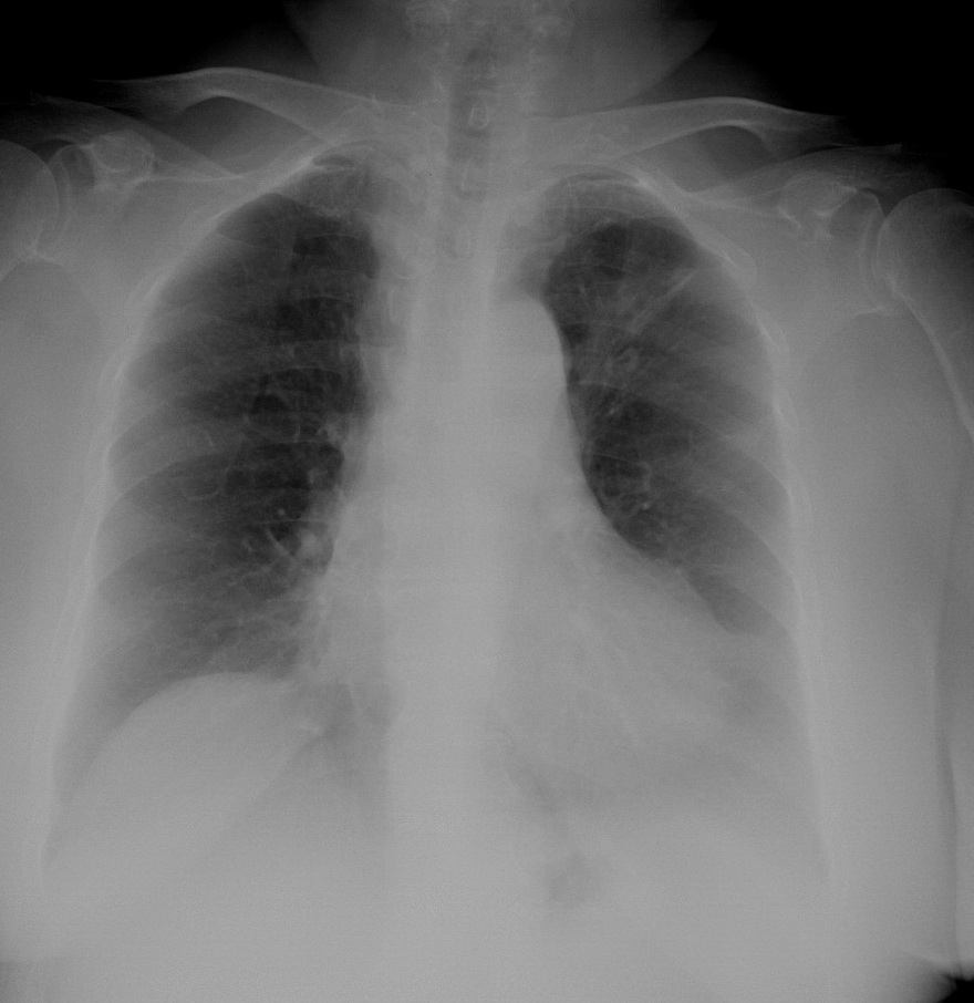
f,73y,住院体检,请问左肋膈角区透过度减低,左膈面显示不清能用心包脂肪垫解释吗?

[本贴已被 cefcmj 于 2008-10-14 20:04:25 修改过]
作者: 黑白光影 时间: 2008-10-15 03:37
透视下转转看更好。
作者: 余辉 时间: 2008-10-15 03:45
可以解释,但不能确定,支持楼上的方法
作者: 358450m 时间: 2008-10-15 03:51
不能用//透视下转转看更好
作者: lmldoc 时间: 2008-10-15 04:45
我觉得像是胸膜粘连的影子,左侧肋膈角已消失!考虑胸膜粘连
作者: lshx 时间: 2008-10-15 04:48
心影增大,胸腔积液待排
作者: ydx_74 时间: 2008-10-15 05:15
胖人,心脏左位,考虑心包脂肪垫
作者: PANPAN 时间: 2008-10-15 05:30
片子拍不好,还是补透视一下吧。
作者: liuyue 时间: 2008-10-15 07:06
应该没有问题。小心为好,还是结合胸部透视吧。
作者: YUTIRA 时间: 2008-10-15 15:48
胖人,心脏左位,考虑心包脂肪垫
ydx_74说
作者: jinguoji 时间: 2008-10-15 16:18
心影增大,左肋膈角区透亮度减低,感觉没问题,不过还是小心为好,结合胸部透视。
作者: 杀毒软件 时间: 2008-10-15 16:42
没看到----心包脂肪垫----胖人
作者: dyqct 时间: 2008-10-15 17:28
还是透视一下吧!
作者: LIAOQIANG 时间: 2008-10-15 18:03
左肋膈角区透亮度减低,考虑心包脂肪垫。不放心透视下。
作者: jiahui7z 时间: 2008-10-15 18:14
不放心透视看看就是了。
作者: weiyuefang 时间: 2008-10-15 19:33
心包脂肪垫很有可能,透视最好一起结合用。
作者: 伍星 时间: 2008-10-16 05:31
考虑心包脂肪垫。,
作者: 谨言慎行 时间: 2008-10-16 06:43
左侧肋膈角区可用透视看看。左上阴影更值的关注
作者: 光影相伴 时间: 2008-10-16 17:33
还是透视一下吧!
作者: zjzjr 时间: 2008-10-16 20:55
还是透视一下吧!
作者: wy232326 时间: 2008-10-16 22:25
透视下转转看更好
作者: yuhongjun 时间: 2008-10-16 23:25
左肋膈角区透亮度减低,考虑心包脂肪垫。不放心透视下。
作者: drzhang8888 时间: 2008-10-16 23:48
胖人,心脏左位,考虑心包脂肪垫 ,还有和乳房重叠,透视最好一起结合用
作者: 一个孤独 时间: 2008-10-17 01:45
标题: 回复:x4929:f,73y,住院体检
以下是引用黑白光影在2008-10-14 19:37:00的发言:[br]透视下转转看更好。
作者: 星期六 时间: 2008-10-17 02:25
标题: 回复:x4929:f,73y,住院体检
心包脂肪垫很有可能,最好透视一起结合用,再定。
作者: zhaz2 时间: 2008-10-17 03:20
看过了。
作者: 张XYZ 时间: 2008-10-17 04:17
1:左上肺结核并左侧胸膜炎(积液并粘连).2:右膈下病变,建议b超检查.
作者: PANPAN 时间: 2008-10-17 07:22
左上肺陈旧性病变,余未见明显异常
作者: 迎客松ABC 时间: 2008-10-17 17:24
单从本片来看,没有异常,左侧肋膈角只是模糊一点,但还是可见。此人可能较胖,左右乳房影有可能不对称。
作者: shibing 时间: 2014-3-22 08:16
左肋膈角区透亮度减低,考虑心包脂肪垫。不放心透视下。
作者: jw_830 时间: 2014-3-25 20:43
还是透视一下吧!
| 欢迎光临 医影在线 (http://bbs.radida.com/bbs/) |
Powered by Discuz! X3.2 |