医影在线
标题: X4932:女,22岁.体检发现.请各位分析可能是什么. [打印本页]
作者: YRJ0513 时间: 2008-10-15 23:08
标题: X4932:女,22岁.体检发现.请各位分析可能是什么.


[本贴已被 cefcmj 于 2008-10-15 16:53:22 修改过]
作者: dyqct 时间: 2008-10-15 23:14
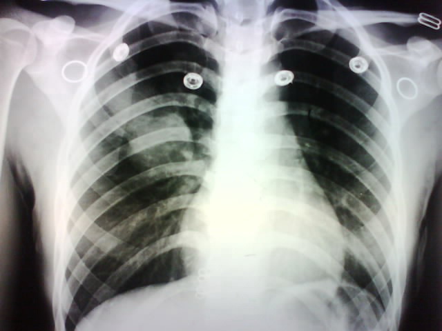
右肺上叶前段病变,临床资料太少,不好定。建议查血象、ct进一步检查。
作者: 黑白光影 时间: 2008-10-15 23:38
是常规健康体检还是有不适才体检,是不是平时无症状?
同意楼上处现意见。
作者: 杀毒软件 时间: 2008-10-16 00:39
同意
作者: 江广1996 时间: 2008-10-16 00:49
肺内的病变这样大,平时就没有症状吗?做个ct再结合临床考虑.
作者: 358450m 时间: 2008-10-16 00:55
标题: 回复:x4932:女,22岁.体检发现.请各位分析可能是什么.
以下是引用dyqct在2008-10-15 15:14:00的发言:[br]右肺上叶前段病变,临床资料太少,不好定。建议查血象、ct进一步检查。
作者: 24329476 时间: 2008-10-16 01:26
临床资料少,ct检查
作者: bmw011 时间: 2008-10-16 02:11
标题: 回复:x4932:女,22岁.体检发现.请各位分析可能是什么.
以下是引用dyqct在2008-10-15 15:14:00的发言:[br]右肺上叶前段病变,临床资料太少,不好定。建议查血象、ct进一步检查。
作者: qsbaomingcheng 时间: 2008-10-16 04:11
以下是引用dyqct在2008-10-15 15:14:00的发言:
右肺上叶前段病变,临床资料太少,不好定。建议查血象、ct进一步检查。
作者: dr.yang 时间: 2008-10-16 04:33
右肺上叶前段病变,因是体检发现,估计没有临床症状,考虑良性占位,不除外结核。
作者: xiazhuzhu 时间: 2008-10-16 04:47
标题: 回复:x4932:女,22岁.体检发现.请各位分析可能是什么.
以下是引用358450m在2008-10-15 16:55:00的发言:[br][quote]以下是引用dyqct在2008-10-15 15:14:00的发言:[br]右肺上叶前段病变,临床资料太少,不好定。建议查血象、ct进一步检查。
[br][/quote]
作者: 钟庸 时间: 2008-10-16 05:19
年轻女性,没症状,结核的可能性较大。
作者: 青石¥ 时间: 2008-10-16 06:17
右侧乳腺阴影较对侧淡,显示欠清。作ct或详细询问病史,排除乳腺术后改变。
作者: 谨言慎行 时间: 2008-10-16 06:33
有难度,多方面查查看吧
作者: 子期 时间: 2008-10-16 17:01
炎性假瘤或硬化性血管瘤。
作者: 光影相伴 时间: 2008-10-16 17:27
考虑:结核。建议:行ct扫描。
作者: zjzjr 时间: 2008-10-16 20:51
标题: 回复:x4932:女,22岁.体检发现.请各位分析可能是什么.
以下是引用dyqct在2008-10-15 15:14:00的发言:[br]右肺上叶前段病变,临床资料太少,不好定。建议查血象、ct进一步检查。
作者: 随光逐影 时间: 2008-10-16 21:14
考虑右肺上叶良性肿块;建议行进一步检查。
作者: jinguoji 时间: 2008-10-16 21:51
标题: 回复:x4932:女,22岁.体检发现.请各位分析可能是什么.
以下是引用dyqct在2008-10-15 15:14:00的发言:[br]右肺上叶前段病变,临床资料太少,不好定。建议查血象、ct进一步检查。
作者: wy232326 时间: 2008-10-16 22:21
右肺上叶前段病变,临床资料太少,不好定。建议查血象、ct进一步检查。支持
作者: 三两木 时间: 2008-10-16 22:58
还是建议ct进一步检查比较妥当。
作者: yuhongjun 时间: 2008-10-16 23:20
考虑肺内占位性病变 畸态瘤可能
作者: drzhang8888 时间: 2008-10-17 00:02
结核?动静脉畸形??进一步检查吧
作者: 一个孤独 时间: 2008-10-17 01:33
临床资料太少,建议ct检查。
作者: 星期六 时间: 2008-10-17 02:09
标题: 回复:x4932:女,22岁.体检发现.请各位分析可能是什么.
考虑右肺上叶良性肿块;建议行进一步检查,比较可靠。
作者: zhaz2 时间: 2008-10-17 03:28
学习了
作者: QINGJING 时间: 2008-10-17 04:48
结核
作者: hexue 时间: 2008-10-17 07:06
左下也好像有问题呀 .考虑结核可能性大.建议进一步检查.
作者: PANPAN 时间: 2008-10-17 07:34
标题: 回复:x4932:女,22岁.体检发现.请各位分析可能是什么.
以下是引用dr.yang在2008-10-15 20:33:00的发言:[br]右肺上叶前段病变,因是体检发现,估计没有临床症状,考虑良性占位,不除外结核。
作者: zoufeixiang 时间: 2008-10-17 16:54
临床资料太少,建议ct检查
作者: 迎客松ABC 时间: 2008-10-17 17:11
病灶位于上叶前段,不是结核好发部位,不过患者较年轻,又是体检才发现的,考虑结核可能性大,但单就一平片,很难做出最后更有说服力的结论,所以还是建议ct
作者: ydx_74 时间: 2008-10-17 19:06
标题: 回复:x4932:女,22岁.体检发现.请各位分析可能是什么.
有难度?!明显的结核,不是我把医影黑掉!
作者: shibing 时间: 2014-3-22 08:14
建议查血象、ct进一步检查。
作者: jw_830 时间: 2014-3-25 20:45
右肺上叶前段病变,临床资料太少,不好定。建议查血象、ct进一步检查。
作者: wuzhili 时间: 2014-3-26 14:12
进一步检查
动静脉畸形 不排除
作者: jw_830 时间: 2014-3-27 06:39
CT检查
欢迎光临 医影在线 (http://bbs.radida.com/bbs/) |
Powered by Discuz! X3.2 |