医影在线
标题: CT16197:新手求教,M,42y,外伤入院,略感气紧,余无不适 [打印本页]
作者: 553721962    时间: 2008-10-17 17:28
标题: CT16197:新手求教,M,42y,外伤入院,略感气紧,余无不适























[本贴已被 翁志蓬 于 2008-10-17 16:07:01 修改过]
作者: bmw011    时间: 2008-10-17 18:02
标题: 止
??、、、、、
[本贴已被 bmw011 于 2008-10-17 10:07:14 修改过]
作者: 孤家寡人    时间: 2008-10-17 18:02
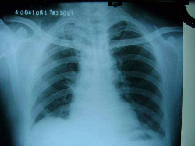
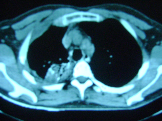
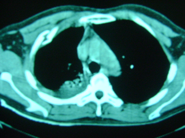
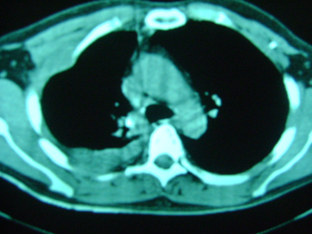
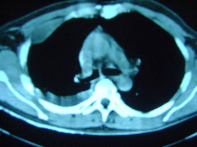
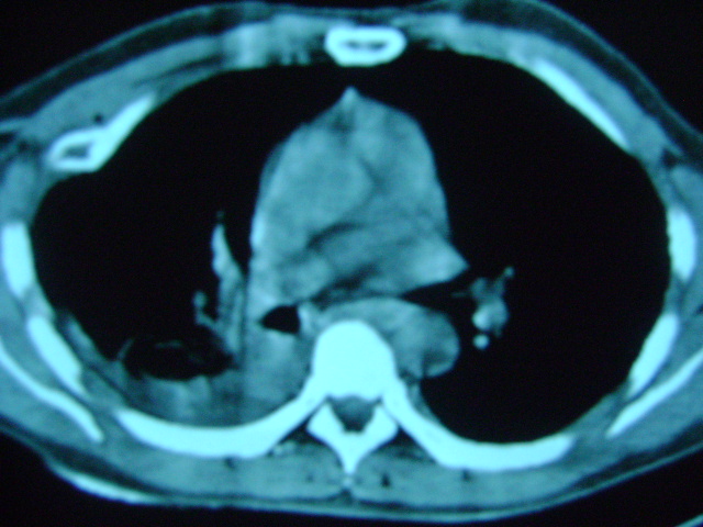
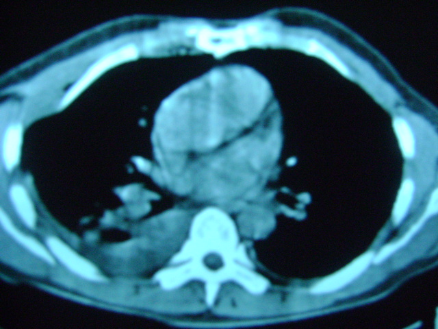
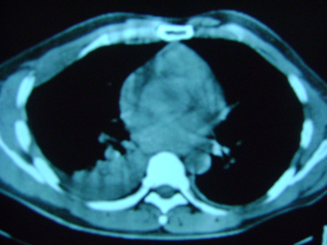
肋骨骨折,肺挫伤,胸腔积液,不张?
作者: ydx_74    时间: 2008-10-17 18:19
肋骨骨折,右肺挫裂伤,右侧胸腔积液,没有气胸很奇怪啊
作者: 深泽交通    时间: 2008-10-17 18:27
标题: 回复:新手求教,m,42y,外伤入院,略感气紧,余无不适
肋骨骨折,肺挫伤,胸腔积液,
作者: 影像孺子牛    时间: 2008-10-17 18:29
肋骨骨折,肺挫伤,胸腔积液。
作者: zjzjr    时间: 2008-10-17 18:34
肋骨骨折,肺挫伤,胸腔积液,
作者: sdzyy    时间: 2008-10-17 18:39
肋骨骨折,肺挫伤,胸腔积液,左肺代偿性气肿.
作者: yuhongjun    时间: 2008-10-17 18:44
肋骨骨折,肺挫伤,胸腔积液,
作者: zsl6918    时间: 2008-10-17 20:05
肋骨骨折,肺挫伤,胸腔积血.
作者: jiexupeng    时间: 2008-10-17 22:36
肋骨骨折,肺挫伤,胸腔积血
作者: 张XYZ    时间: 2008-10-17 23:45
肋骨骨折,胸腔积液并部分包裹,创伤性湿肺.
作者: 随光逐影    时间: 2008-10-18 02:52
右侧肋骨骨折,右肺挫伤,右侧胸腔积液(血)。
作者: 黑白光影    时间: 2008-10-18 04:53
支持肋骨骨折,肺挫伤,胸腔积血.
作者: zhangyang66    时间: 2008-10-18 05:14
肋骨骨折,肺挫伤,双侧胸腔积血.
作者: zhangjixiang    时间: 2008-10-18 05:39
有
右上肺后段片状实变影有点状钙化,左下肺亦可见结节影,应考虑结核
作者: xulianj    时间: 2008-10-18 05:47
肋骨骨折,肺挫伤,胸腔积液。
作者: huqi8888    时间: 2008-10-18 16:15
肋骨骨折,肺挫伤,胸腔积血.
| 欢迎光临 医影在线 (http://bbs.radida.com/bbs/) | 
Powered by Discuz! X3.2 |