



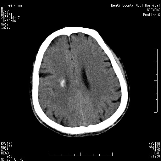
以下是引用zjzjr在2008-10-17 11:38:00的发言:[br]考虑钙化,建议增强除外血管畸形
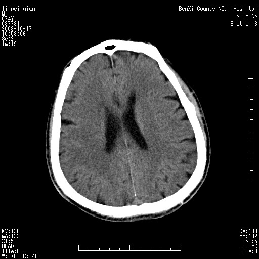
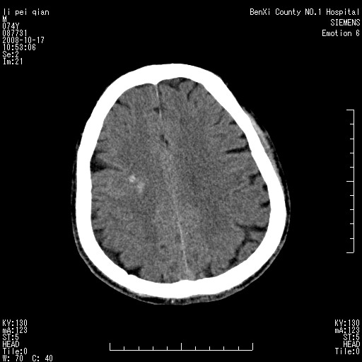
以下是引用影像孺子牛在2008-10-17 11:31:00的发言:[br]考虑:钙化。其一为病变密度特别高,其二如为出血其周围应有水肿带。
以下是引用zjzjr在2008-10-17 11:38:00的发言:[br]考虑钙化,建议增强除外血管畸形
以下是引用影像孺子牛在2008-10-17 11:31:00的发言:[br]考虑:钙化。其一为病变密度特别高,其二如为出血其周围应有水肿带。
以下是引用影像孺子牛在2008-10-17 11:31:00的发言:[br]考虑:钙化。其一为病变密度特别高,其二如为出血其周围应有水肿带。
| 欢迎光临 医影在线 (http://bbs.radida.com/bbs/) | Powered by Discuz! X3.2 |