医影在线
标题: CT16199:肝脏及胆总管病变!!与大家分享及讨论!! [打印本页]
作者: wnlyq8688 时间: 2008-10-17 19:14
标题: CT16199:肝脏及胆总管病变!!与大家分享及讨论!!
(结果公布:http://www.radida.com/bbs/forum.php?mod=viewthread&tid=45492)
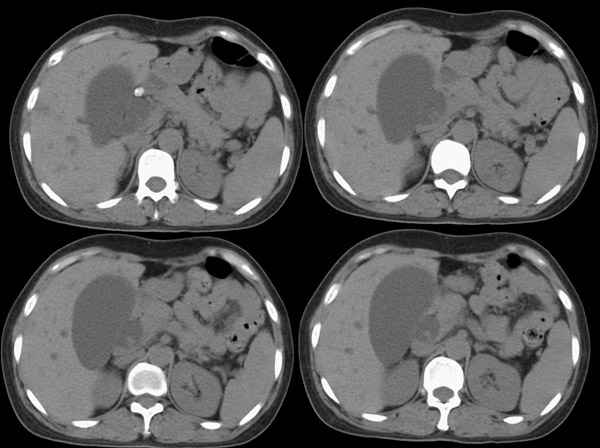
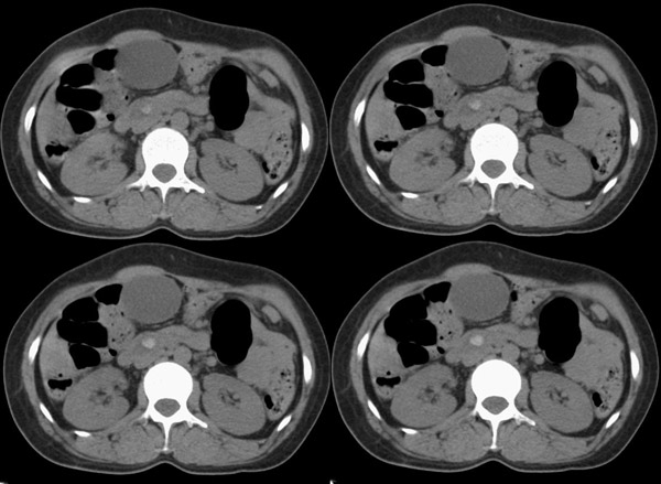
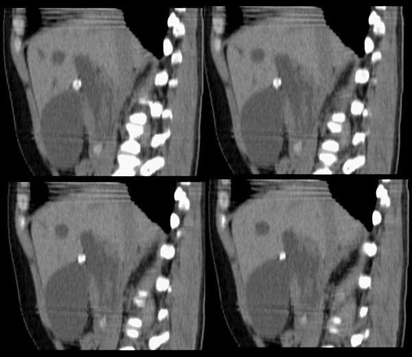
f42y近半月来无明显诱因出现右上腹疼痛之主诉就诊。疼痛多于饭后半小时发作,为持续性隐疼,呈阵发性、刀割样、钻顶样疼痛加剧,且向右肩背部放射,伴恶心、出汗、呕吐,呕吐内容物为胃内容物,无呕血,时有返酸、呃逆、烧心感,无腹胀、腹泻及黑便。时有发冷、发热(但体温不高);呕吐后腹疼稍有缓解,在当地诊所按“胃炎”对症治疗10天,效果不佳。血常规为:白细胞:9、8*109,中性64%,血红蛋白为151g/l,血小板为167*107。 既往有胆道蛔虫病史30余年,曾有呕虫史,否认肝炎及肺结核、溃疡病史。无外伤、手术及药物过敏史,陕西丹凤县四坪镇人,未去过疫区。
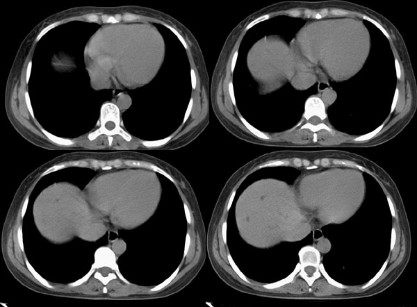
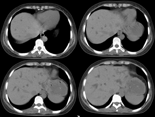
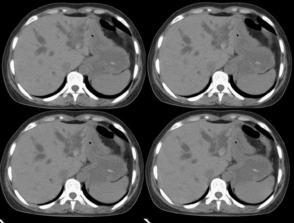
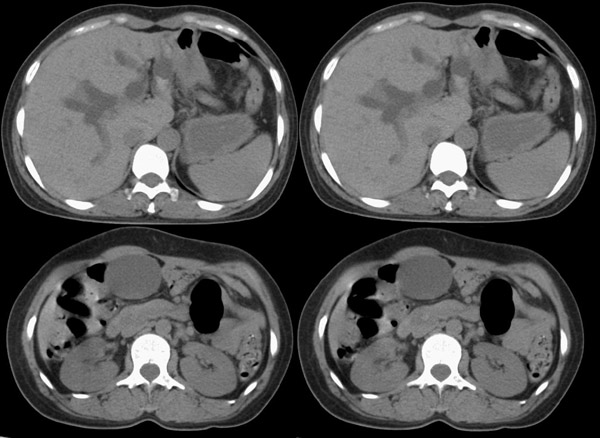
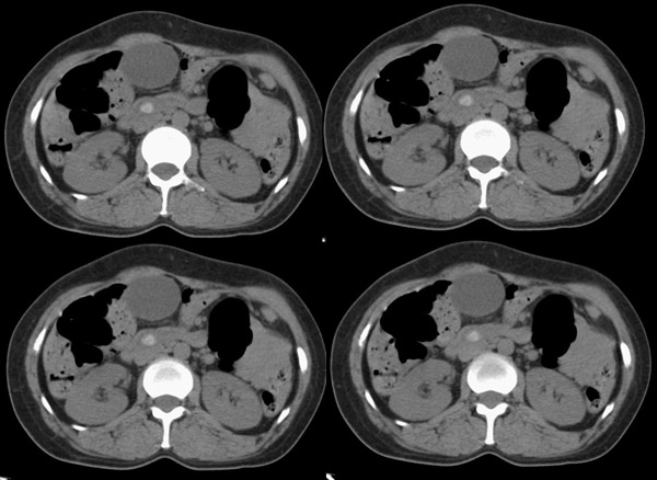
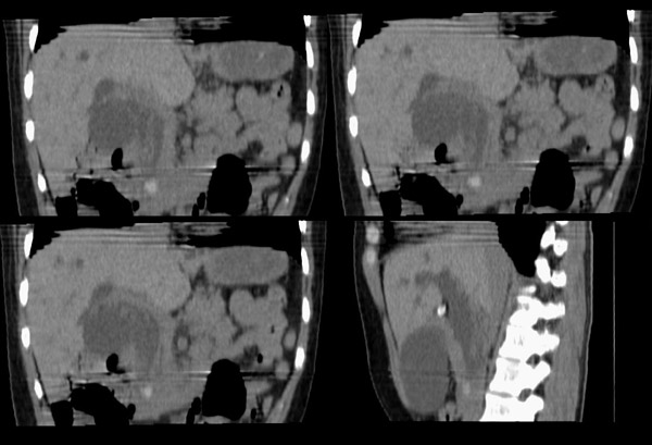
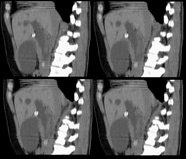
腹部ct平扫:(5mm层厚)










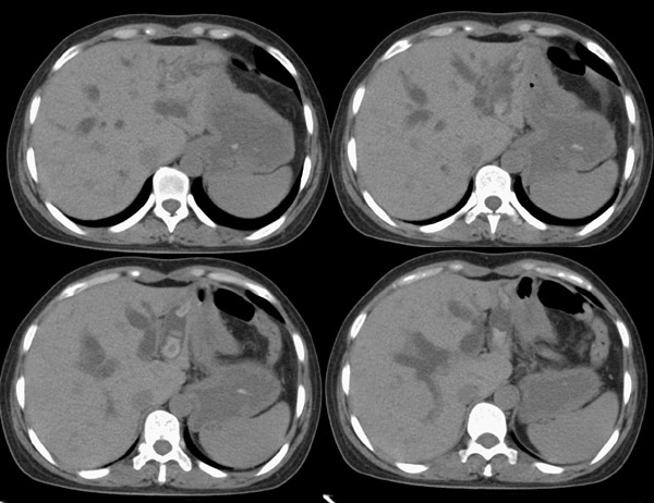
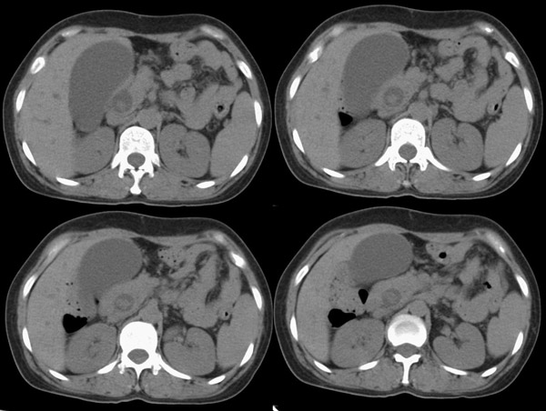
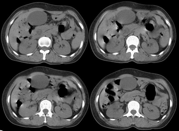
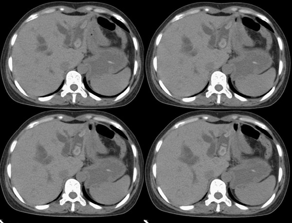
局部1mm薄层重建:







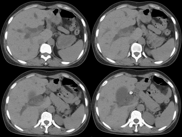
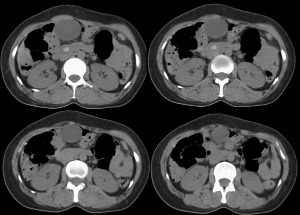
胆总管矢状及冠状重建:






[本贴已被 wnlyq8688 于 2008-10-17 11:22:31 修改过]
[本贴已被 翁志蓬 于 2008-10-17 16:08:55 修改过]
[本贴已被 翁志蓬 于 2008-10-20 0:19:32 修改过]
作者: ydx_74 时间: 2008-10-17 19:26
标题: 或是
病史非常详细啊!向你学习!胆道多发结石(多为蛔虫钙化致),胆道梗阻,胆系感染。[emb6][emb20][emb28]
[本贴已被 ydx_74 于 2008-10-17 14:41:06 修改过]
作者: 影像孺子牛 时间: 2008-10-17 19:34
低位胆道梗阻,考虑结石。
作者: zjzjr 时间: 2008-10-17 19:36
胆总管结石\\肝左叶肝内胆管结石,胆道蛔虫钙化伴胆系梗阻\\胆囊积水.
作者: zsl6918 时间: 2008-10-17 19:50
整个胆道系统内可见多发蛔虫钙化改变,胆道扩张.
作者: sdzyy 时间: 2008-10-17 19:57
低位胆道梗阻,并肝内胆管及胆囊扩张,考虑蛔虫?/结石?。
作者: 深泽交通 时间: 2008-10-17 20:03
标题: 回复:肝脏及胆总管病变!!与大家分享及讨论!!
以下是引用zsl6918在2008-10-17 11:50:00的发言:[br]整个胆道系统内可见多发蛔虫钙化改变,胆道扩张.
作者: lirenxiong 时间: 2008-10-17 22:25
标题: 回复:肝脏及胆总管病变!!与大家分享及讨论!!
以下是引用zjzjr在2008-10-17 11:36:00的发言:[br]胆总管结石\\肝左叶肝内胆管结石,胆道蛔虫钙化伴胆系梗阻\\胆囊积水.
作者: liaizhi 时间: 2008-10-17 22:39
考虑胆总管下段梗阻,胆道回虫并钙化。
作者: czy 时间: 2008-10-17 22:48
支持胆道内蛔虫钙化并胆道扩张
作者: 晨雨 时间: 2008-10-17 23:02
钙化或结石并胆系扩张
作者: zhangzhiwu 时间: 2008-10-17 23:27
胆总管结石并肝内外胆管扩张、肝左叶肝内胆管结石、胆囊大。
作者: 王2008 时间: 2008-10-18 00:12
标题: 回复:ct16199:肝脏及胆总管病变!!与大家分享及讨论!!
以下是引用zjzjr在2008-10-17 11:36:00的发言:[br]胆总管结石\\肝左叶肝内胆管结石,胆道蛔虫钙化伴胆系梗阻\\胆囊积水.
作者: muzi888 时间: 2008-10-18 00:48
支持胆道内蛔虫钙化并胆道扩张
作者: bmw011 时间: 2008-10-18 01:15
经典病例
作者: 张XYZ 时间: 2008-10-18 01:32
支持胆道内蛔虫钙化及胆总管远端梗阻性病变多为结石并胆道扩张.
作者: 医中人 时间: 2008-10-18 01:33
胆总管结石(蛔虫钙化)并低位胆系梗阻
作者: 杀毒软件 时间: 2008-10-18 01:34
支持胆道内蛔虫钙化并胆道扩张
作者: qyfsk 时间: 2008-10-18 02:45
整个胆道系统内可见多发蛔虫钙化改变,胆道扩张.
作者: 随光逐影 时间: 2008-10-18 02:46
支持 胆总管结石\\肝左叶肝内胆管结石,胆道蛔虫钙化伴胆系梗阻\\胆囊积水。
作者: 358450m 时间: 2008-10-18 03:21
标题: 回复:ct16199:肝脏及胆总管病变!!与大家分享及讨论!!
以下是引用sdzyy在2008-10-17 11:57:00的发言:[br]低位胆道梗阻,并肝内胆管及胆囊扩张,考虑蛔虫?/结石?。
作者: 黑白光影 时间: 2008-10-18 05:03
支持胆道内蛔虫钙化及胆总管远端梗阻性病变多为结石并胆道扩张
作者: xulianj 时间: 2008-10-18 05:36
支持 胆总管结石\\肝左叶肝内胆管结石,胆道蛔虫钙化伴胆系梗阻\\胆囊积水。
作者: huqi8888 时间: 2008-10-18 16:12
支持 胆总管结石\\肝左叶肝内胆管结石,胆道蛔虫钙化伴胆系梗阻\\胆囊积水。
作者: 拾荒者 时间: 2008-10-20 02:48
行胆囊切除术及胆总管探查术:探查见肝脏大小正常,肝缘稍钝,肝表面光整,胆囊大小12*3*3cm3,壁水肿增厚约0。5cm,张力稍高,胆囊与大网膜呈纤维粘连;胆总管宽约2cm,壁明显增厚,触摸胆总管,隐约可触及一条状物,于胆总管做一长约1、5cm的纵行切口,用取石钳在胆总管内取出一条长约16cm长黑色的长条状物,较脆易折断,宽约0、6cm,证实为蛔虫尸体。用探子往下探,未发现下端结石最后诊断:胆道蛔虫症继发胆系梗阻性扩张。
疑惑:1、ct表现胆总管下端有结石影,但手术中未发现???
2、胆总管下端若是阳性结石,那么这条16*0、6cm2的大蛔虫是如何进入胆总管的?!
结合胆道蛔虫病史,蛔虫性胆系结石并胆系梗阻能明确诊断。至于说没有发现胆总管下端阳性结石,因为已经取出来了。
作者: lxc2325 时间: 2008-10-22 22:22
低位胆道梗阻,并肝内胆管及胆囊扩张,考虑蛔虫?/结石?。
作者: 一个人 时间: 2008-10-22 23:50
低位胆道梗阻,考虑结石。
作者: dr.yang 时间: 2012-5-1 18:05
学习了。好病历
| 欢迎光临 医影在线 (http://bbs.radida.com/bbs/) |
Powered by Discuz! X3.2 |