医影在线
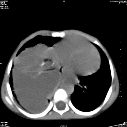
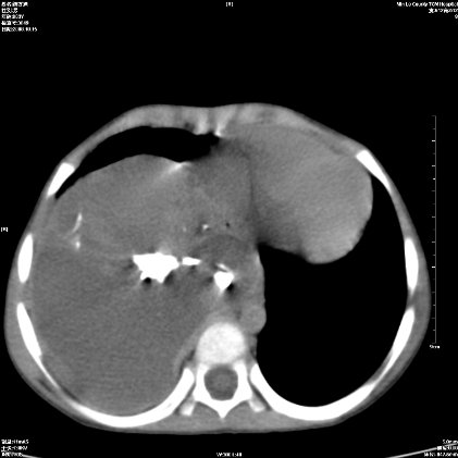
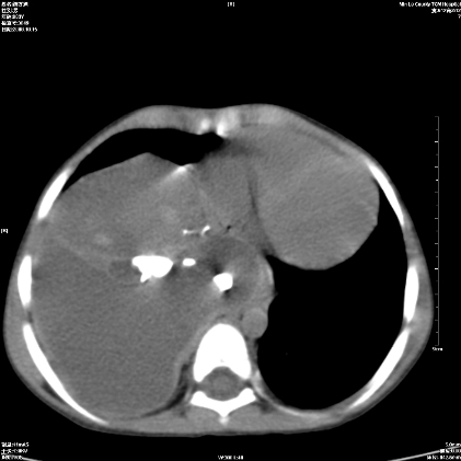
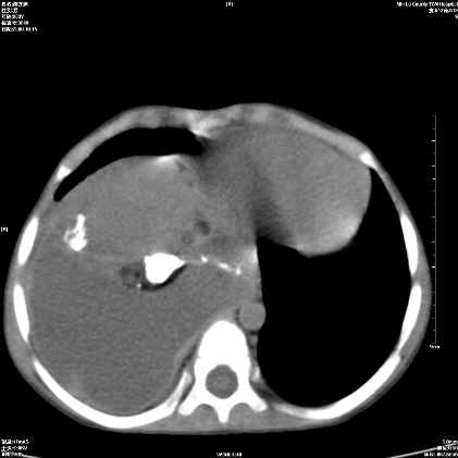
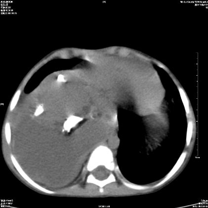
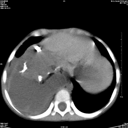
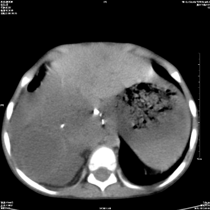
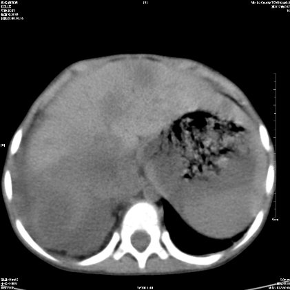
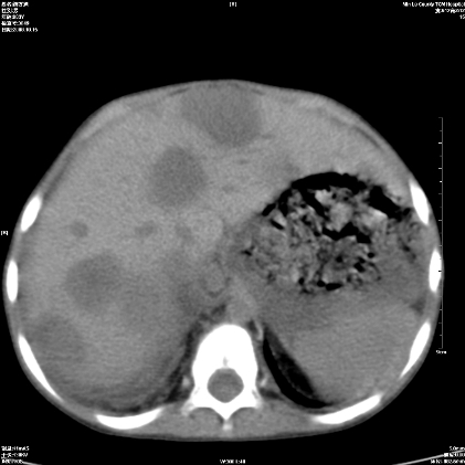
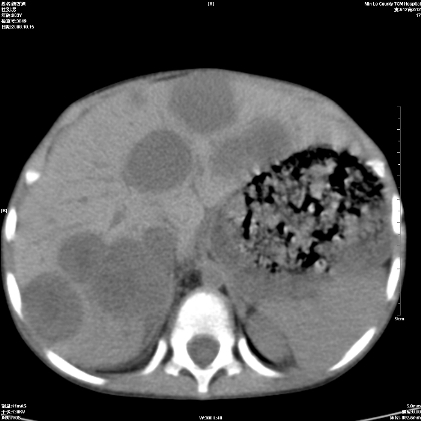
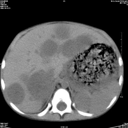
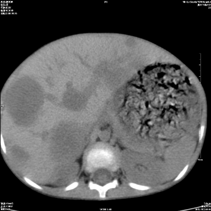
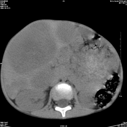
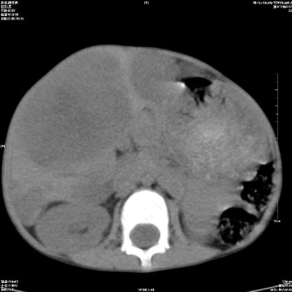
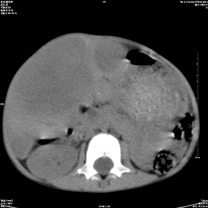
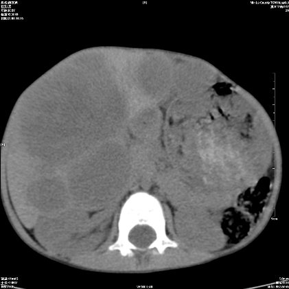
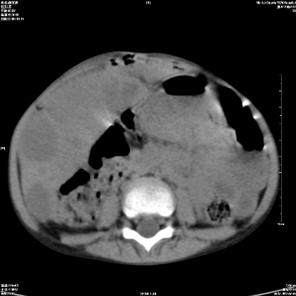
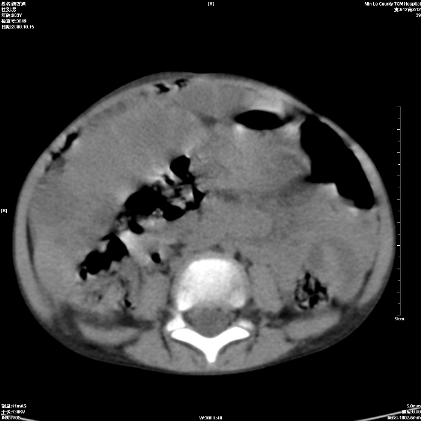
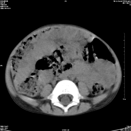
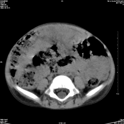
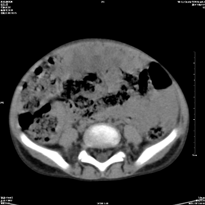
标题: PED1609:男性,3岁。彩超示肝Ca. [打印本页]
作者: lp7169 时间: 2008-10-18 20:21
标题: PED1609:男性,3岁。彩超示肝Ca.








































[本贴已被 翁志蓬 于 2008-10-19 2:44:56 修改过]
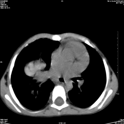
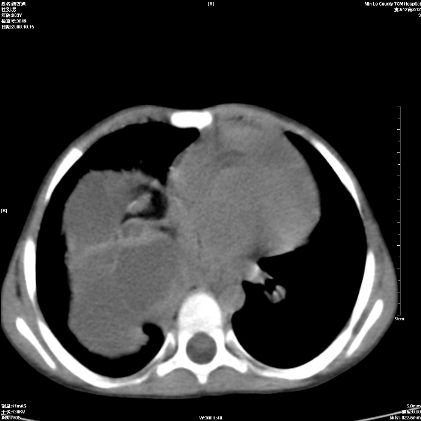
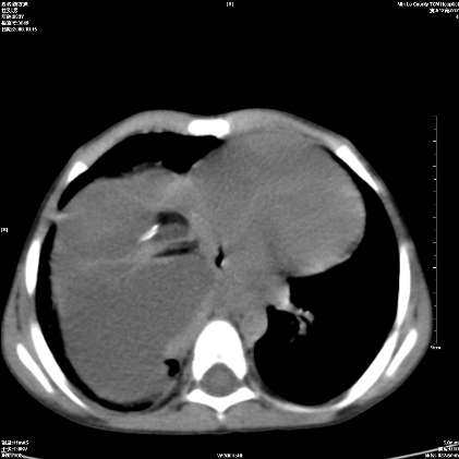
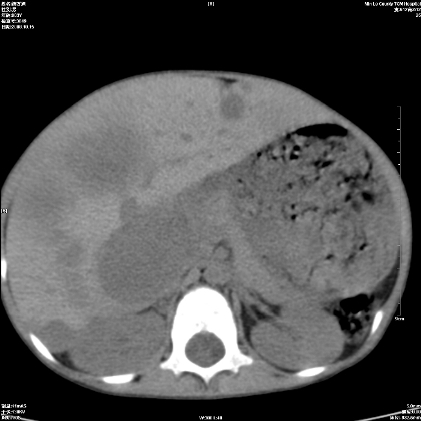
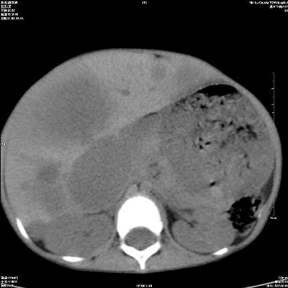
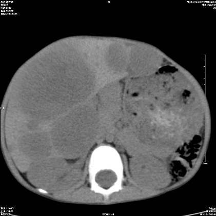
附病人胸部正位片
[本贴已被 lp7169 于 2008-10-19 12:21:16 修改过]
作者: zjzjr 时间: 2008-10-18 20:39
考虑后纵隔恶性畸胎瘤伴肝内多发转移可能性大,右侧肾上腺转移不除外.
作者: 358450m 时间: 2008-10-18 21:45
标题: 回复:男性,3岁。彩超示肝ca.
以下是引用zjzjr在2008-10-18 12:39:00的发言:[br]考虑后纵隔恶性畸胎瘤伴肝内多发转移可能性大,右侧肾上腺转移不除外.
作者: 杀毒软件 时间: 2008-10-18 21:53
支持楼上
作者: 黑白光影 时间: 2008-10-18 22:04
标题: 回复:男性,3岁。彩超示肝ca.
以下是引用zjzjr在2008-10-18 12:39:00的发言:[br]考虑后纵隔恶性畸胎瘤伴肝内多发转移可能性大,右侧肾上腺转移不除外.
支持
作者: xinliheng001 时间: 2008-10-18 22:36
有个胸片吗看看呗......
作者: 余辉 时间: 2008-10-18 22:36
标题: 回复:男性,3岁。彩超示肝ca.
以下是引用zjzjr在2008-10-18 12:39:00的发言:[br]考虑后纵隔恶性畸胎瘤伴肝内多发转移可能性大,右侧肾上腺转移不除外.
支持
作者: xulianj 时间: 2008-10-18 23:04
支持
作者: 吴承学 时间: 2008-10-18 23:50
标题: 回复:男性,3岁。彩超示肝ca.
考虑后纵隔恶性畸胎瘤伴肝内多发转移可能性大,右侧肾上腺转移不除外.
作者: 深泽交通 时间: 2008-10-18 23:58
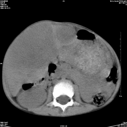
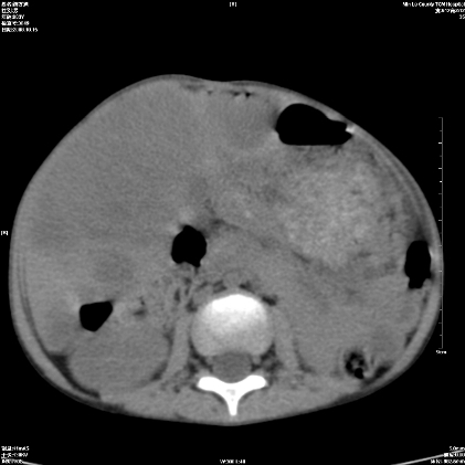
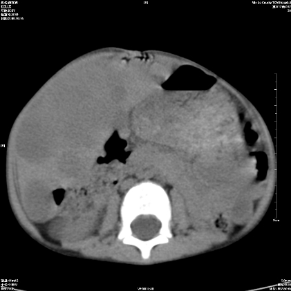
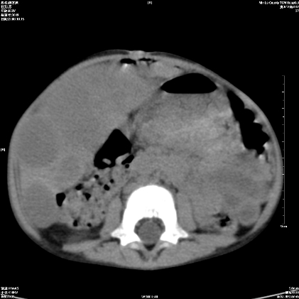
3岁;肝低密度灶;有钙化;有转移灶;考虑肝母细胞瘤;查afp
作者: sda147w 时间: 2008-10-19 01:26
支持肝母细胞瘤肝内转移
作者: gjj6818 时间: 2008-10-19 02:46
标题: 回复:男性,3岁。彩超示肝ca.
以下是引用zjzjr在2008-10-18 12:39:00的发言:[br]考虑后纵隔恶性畸胎瘤伴肝内多发转移可能性大,右侧肾上腺转移不除外.
作者: ydx_74 时间: 2008-10-19 03:54
支持肝母细胞瘤肝内转移
作者: 流浪星 时间: 2008-10-19 04:48
3岁;肝低密度灶;有钙化;有转移灶;考虑肝母细胞瘤;查afp
作者: huangyinshan 时间: 2008-10-19 07:37
支持肝母细胞瘤肝内转移
作者: 随光逐影 时间: 2008-10-19 18:02
标题: 回复:ped1609:男性,3岁。彩超示肝ca.
以下是引用zjzjr在2008-10-18 12:39:00的发言:[br]考虑后纵隔恶性畸胎瘤伴肝内多发转移可能性大,右侧肾上腺转移不除外.
作者: zsl6918 时间: 2008-10-19 18:15
考虑神经母细胞瘤并肝转移
作者: panyishengct 时间: 2008-10-20 07:39
考虑后纵隔恶性畸胎瘤伴肝内多发转移可能性大,右侧肾上腺转移不除外.
作者: hexue 时间: 2008-10-20 07:43
标题: 回复:ped1609:男性,3岁。彩超示肝ca.
以下是引用zjzjr在2008-10-18 12:39:00的发言:[br]考虑后纵隔恶性畸胎瘤伴肝内多发转移可能性大,右侧肾上腺转移不除外.
作者: hansufang 时间: 2008-10-20 18:19
考虑:1、右侧后下纵隔畸胎瘤。
2、肝脏多发血管内皮细胞瘤。
建议:增强确诊。
作者: guanaishengming 时间: 2008-10-21 01:48
考虑后纵隔恶性畸胎瘤伴肝内多发转移可能性大,右侧肾上腺转移不除外
作者: qwerty111 时间: 2008-10-21 16:45
3岁;肝低密度灶;有钙化;有转移灶;考虑肝母细胞瘤;查afp
作者: jiangjing 时间: 2008-10-22 04:38
3岁;肝低密度灶;有钙化;有转移灶;考虑肝母细胞瘤;查afp
作者: 西北狼 时间: 2008-10-22 06:48
考虑后纵隔恶性畸胎瘤伴肝内多发转移可能性大,右侧肾上腺转移.
作者: scdlc2008 时间: 2008-10-24 05:46
后纵隔恶性畸胎瘤,肝内多发转移可能性大,
| 欢迎光临 医影在线 (http://bbs.radida.com/bbs/) |
Powered by Discuz! X3.2 |