医影在线
标题: V0504:胸部弥漫性病变病例2,请大家会诊(病人死亡) [打印本页]
作者: 老H 时间: 2008-10-19 06:29
标题: V0504:胸部弥漫性病变病例2,请大家会诊(病人死亡)
患者,男,60岁,病史如下:

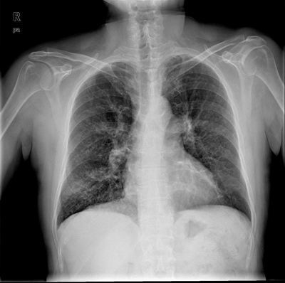
2008.5.16胸片

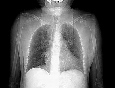
2008.8.11胸片

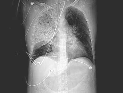
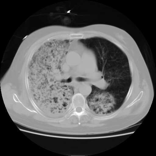
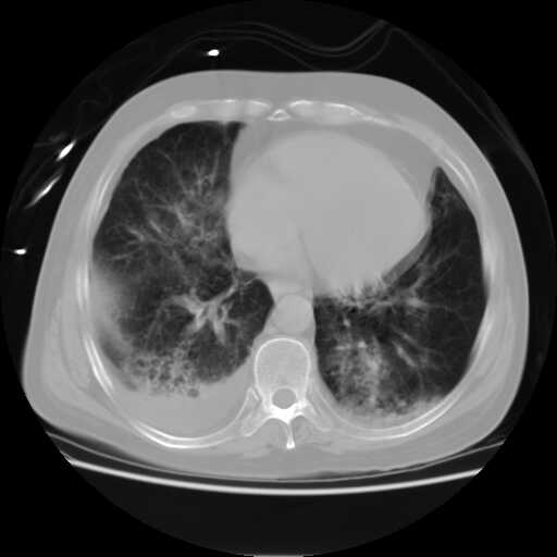
2008.8.17ct定位片

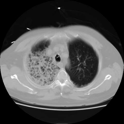
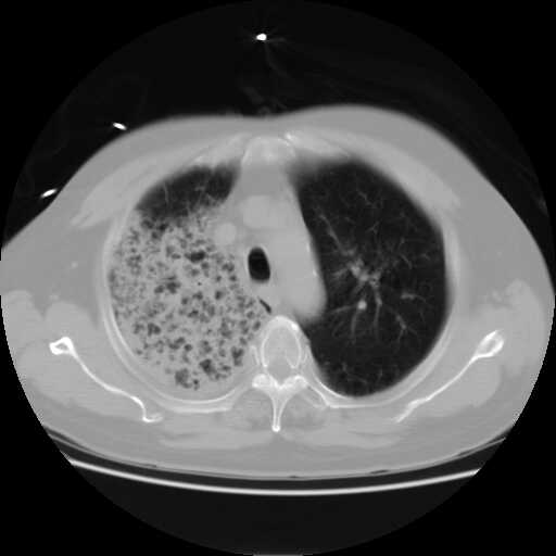
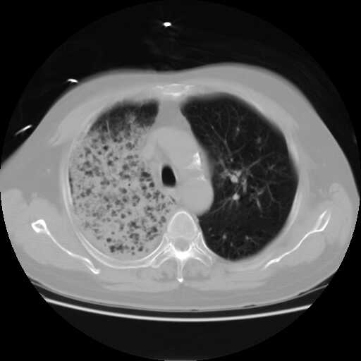
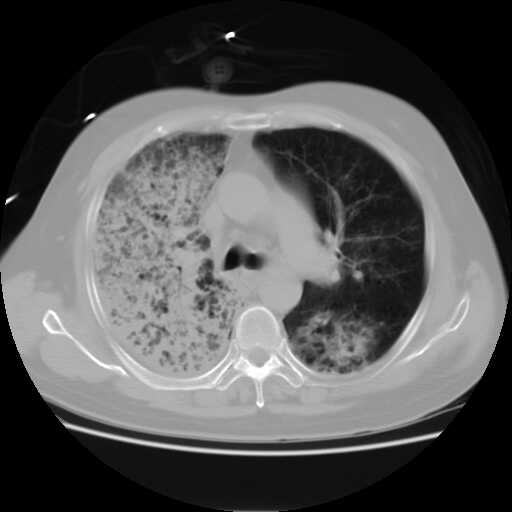
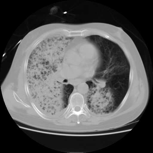
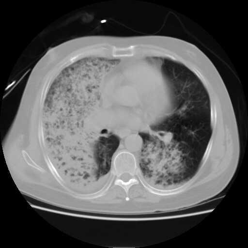
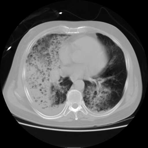
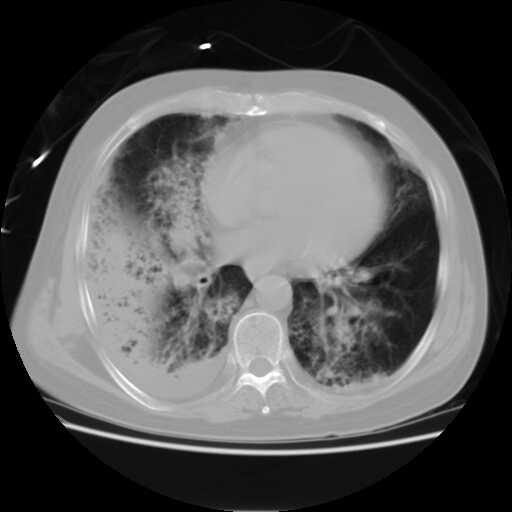
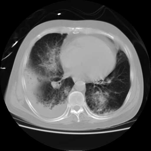
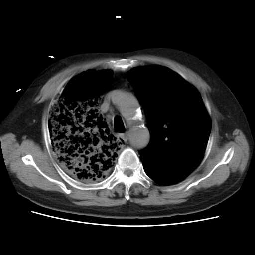
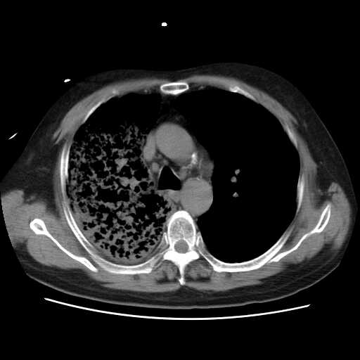
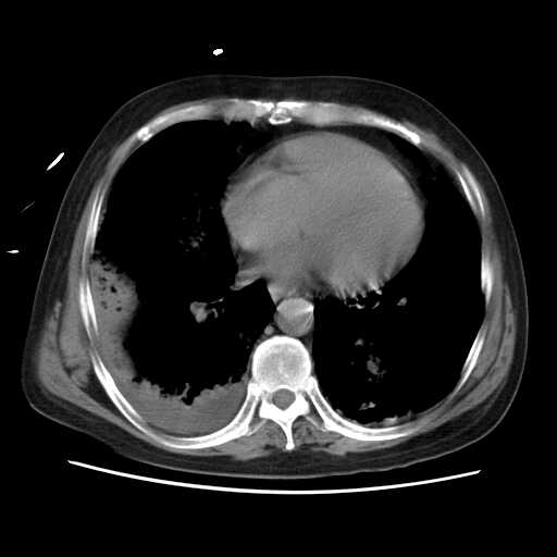
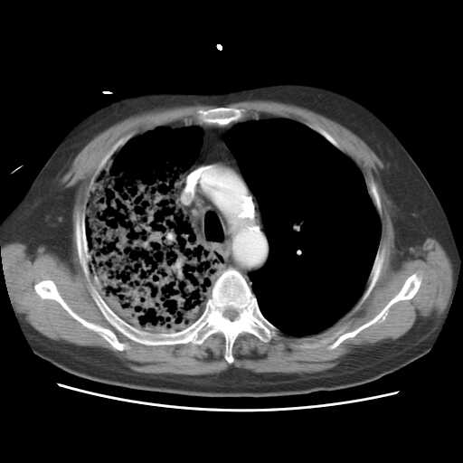
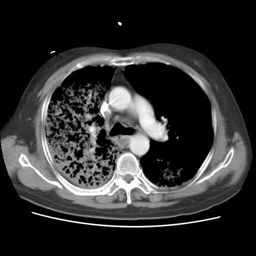
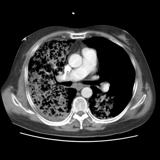
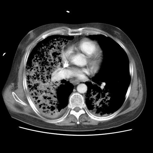
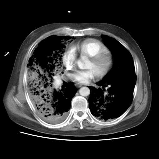
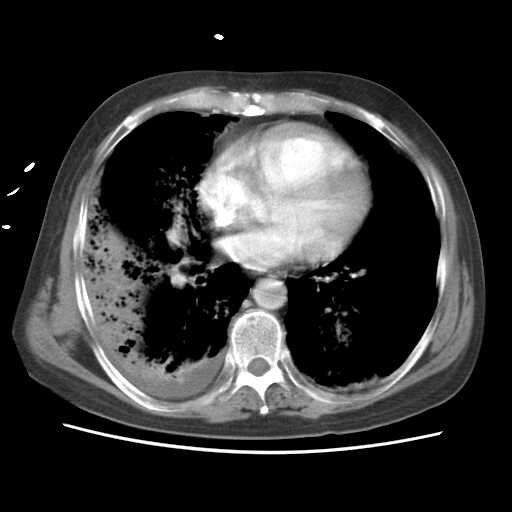
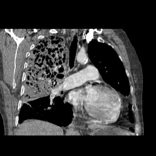
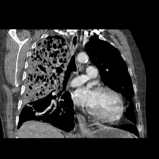
2008.8.17ct



























[本贴已被 老h 于 2008-10-18 22:35:21 修改过]
[本贴已被 翁志蓬 于 2008-10-19 2:14:23 修改过]
[本贴已被 老h 于 2008-10-19 18:27:38 修改过]
作者: zsl6918 时间: 2008-10-19 16:54
支持临床诊断,现在关键的是要查明双肺感染的致病菌是啥,个人感觉不象是普通的细菌感染,到象是真菌感染.
作者: 杀毒软件 时间: 2008-10-19 17:32
建议-----痰培养------符合感染性病变------革兰氏阴性杆菌肺炎----真菌性肺炎-----都有可能
作者: ZHANGZHONGSHOU 时间: 2008-10-19 18:48
病变从8.11-8.17明显改变,增多,以蜂窝状改变为主,类蜂窝肺,似弥漫性肺泡癌,但是病变进展太快,不符合弥漫性细支气管肺泡癌。因此考虑为特殊微生物感染,多以霉菌类常见,建议细菌微生物学检查。
作者: qiushi 时间: 2008-10-19 19:23
建议痰培养,符合感染性病变.
作者: 老H 时间: 2008-10-20 01:03
追踪结果,该病人已于2008.8.18日经抢救无效死亡.死于呼吸衰竭.具体病因不明,未作死体解剖.
此病人病因将永远是个谜,对此病例,本院呼吸科主管医生及放射科同志有很多困惑,肯请感兴趣的影象科同仁一同分析讨论,如有类似病例上传图片,以后遇到类似病人,即使抢救不回来\\也好让其死个明白可解心头困惑.
疑点一:起病急,来势汹.
1.肺动脉梗塞,增强cta肺动脉各级分支未见充盈缺损征象.
2.dic肺出血:两肺弥漫性出血,肺泡实质实变,境界不清,不支持.
3.药物特异性过敏反应,临床医生说无特殊药物过敏,也很难解释部分肺段清晰,部分肺段有病变.
4.肺水肿/心力衰竭,影象学应表现为两肺门蝶翼状改变,肺泡渗出水肿,难以解释.
5.特发性间质性肺炎.没经验.
6.特殊病毒或细菌感染,类似\"非典型性肺炎\"等病?
疑点二:影象表现怪异,大片阴影内见多发筛孔征,如何解释.
间质为主,血管炎性水肿?
如能结合病史和影象学表现,作出合理解释者,请畅谈阔论.谢谢!
作者: 杀毒软件 时间: 2008-10-20 04:10
我曾看过一例类似病例-----痰培养-----克雷白杆菌肺炎-----大片阴影内见多发筛孔征
作者: zjzjr 时间: 2008-10-20 06:22
不知临床有无大量使用激素史,可诱发某此潜在的致病菌迅速发展(如结核).
作者: jiangjing 时间: 2008-10-20 17:32
结合临床慢支炎肺气肿,肺心病病史,三次胸片观察可见病情发展变化迅速,病情凶险,考虑多重感染伴ards.
作者: 卜一 时间: 2008-10-21 22:36
考虑:军团菌肺炎(legionaires disease)
军团菌肺炎(legionaires disease)是指由军团杆菌(legionella pneumophila)引起的细菌性肺炎。现国内发现的病例日渐增多,已受到普遍关注。军团菌肺炎在非典型肺炎中是病情最重的一种,未经有效治疗者的病死率高达45%。感染是通过吸入到达肺部,进入肺泡的细菌被肺泡巨噬细胞吞噬后,可以在其中增殖,破出后再感染其它巨噬细胞。夏末秋初是好发季节,男性发病多于女性,孕妇、老年、免疫功能低下者为多发人群。军团菌为水源中常见的微生物,暴发流行多见于医院、旅馆、建筑工地等公共场所。
军团菌感染系全身性疾病,临床表现多样,轻者仅有流感样症状,重者则表现为以肺部感染为主的全身多脏器损害。军团菌肺炎的潜伏期为2—10天,有前驱症状,如乏力、嗜睡、发热,1~2天后症状加重,出现高热、寒战、头痛、胸痛、干咳,可伴少量血性痰,重者可有呼吸困难。明显的肺外症状是本病的特征性表现,如早期出现恶心、呕吐、腹痛、腹泻,头痛、意识障碍、嗜睡等,肌痛及关节痛等。军团菌病是由革兰染色阴性的嗜肺军团杆菌引起的一种以肺炎为主的全身性疾病。
军团杆菌肺炎ct表现无特意性,主要—两肺浸润性 弥漫性病变,并少量胸腔积液。
作者: 358450m 时间: 2008-10-22 01:28
标题: 回复:v0504:胸部弥漫性病变病例2,请大家会诊(病人死亡)
以下是引用zhangzhongshou在2008-10-19 10:48:00的发言:[br]病变从8.11-8.17明显改变,增多,以蜂窝状改变为主,类蜂窝肺,似弥漫性肺泡癌,但是病变进展太快,不符合弥漫性细支气管肺泡癌。因此考虑为特殊微生物感染,多以霉菌类常见,建议细菌微生物学检查。
作者: ydx_74 时间: 2008-10-23 00:37
病变从8.11-8.17明显改变,增多,以蜂窝状改变为主,类蜂窝肺,似弥漫性肺泡癌,但是病变进展太快,不符合弥漫性细支气管肺泡癌。因此考虑为特殊微生物感染,多以霉菌类常见,建议细菌微生物学检查。
作者: qc80012345 时间: 2008-10-23 06:27
值得研究,总结。
作者: 蓝色忍狐 时间: 2008-10-24 23:39
真菌感染.
作者: yangwq 时间: 2008-11-4 05:53
血管源性病变不支持 恶性病变亦不支持 病变进展太快低毒力及急性感染不象 病变肺有萎缩并筛孔征符合tb表现,病史不符,心肺衰竭免疫力减弱,可能促使tb 或霉菌迅速发展,常见的考虑tb 自身免疫性疾病病不除外
作者: shibing 时间: 2012-7-31 08:50
建议痰培养
| 欢迎光临 医影在线 (http://bbs.radida.com/bbs/) |
Powered by Discuz! X3.2 |