医影在线
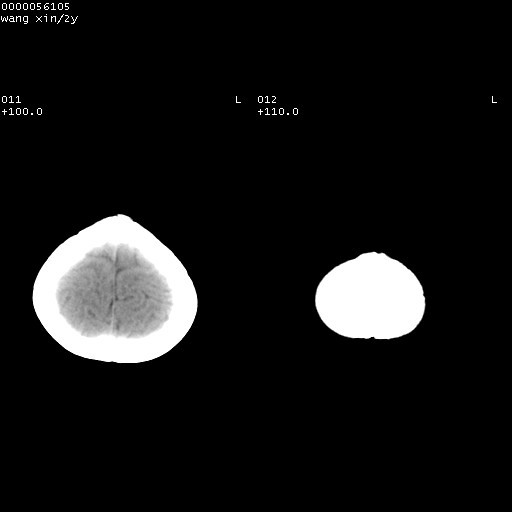
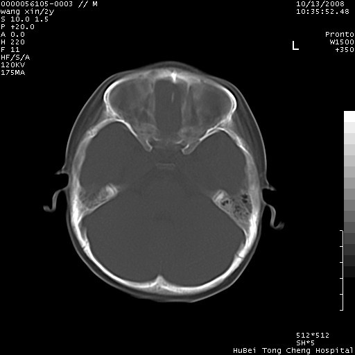
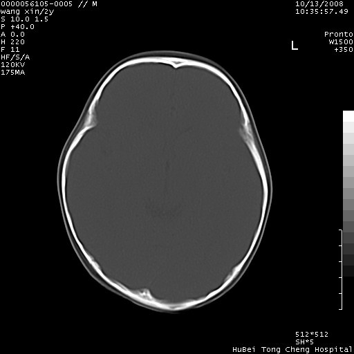
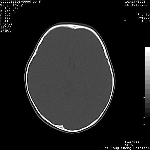
标题: PED1611:F,2Y。右侧额部小包块,光整,质硬,边界清楚,无 [打印本页]
作者: 光影相伴 时间: 2008-10-19 16:09
标题: PED1611:F,2Y。右侧额部小包块,光整,质硬,边界清楚,无















[本贴已被 光影相伴 于 2008-10-19 8:19:50 修改过]
[本贴已被 翁志蓬 于 2008-10-20 0:08:52 修改过]
作者: zsl6918 时间: 2008-10-19 16:12
标题: 修改
考虑骨瘤[emb7]
[本贴已被 zsl6918 于 2008-10-19 9:26:40 修改过]
作者: 深泽交通 时间: 2008-10-19 17:12
考虑非骨化纤维瘤
作者: 泪洒红尘 时间: 2008-10-19 17:20
考虑骨纤维异常增殖症
作者: zsl6918 时间: 2008-10-19 17:23
欧,这才对嘛,考虑额骨右侧骨瘤可能性大.
作者: 战辉 时间: 2008-10-19 17:26
标题: 回复:f,2y。右侧额部小包块,光整,质硬,边界清楚,
以下是引用zsl6918在2008-10-19 9:23:00的发言:[br]欧,这才对嘛,考虑额骨右侧骨瘤可能性大.
作者: 杀毒软件 时间: 2008-10-19 17:38
支持考虑-------额骨骨瘤可能性大
作者: huenhao 时间: 2008-10-19 18:16
额骨骨瘤可能性大
作者: 随光逐影 时间: 2008-10-19 18:22
考虑右侧额骨表皮样囊肿。
作者: zjzjr 时间: 2008-10-19 18:25
考虑右侧额骨表皮样囊肿。
作者: 迎客松ABC 时间: 2008-10-19 18:29
考虑骨纤维异常增殖症
作者: 358450m 时间: 2008-10-19 19:06
标题: 回复:f,2y。右侧额部小包块,光整,质硬,边界清楚,
以下是引用zsl6918在2008-10-19 8:12:00的发言:[br]考虑骨瘤[emb7][br][br][本贴已被 zsl6918 于 2008-10-19 9:26:40 修改过]
作者: qiushi 时间: 2008-10-19 19:07
考虑良性病变,建议活检.
作者: 黑白光影 时间: 2008-10-19 23:21
考虑右侧额骨表皮样囊肿。
作者: 余辉 时间: 2008-10-20 03:53
病灶临近颅缝,支持考虑表皮样囊肿可能,病灶区要薄扫就好了
作者: 影象小泰斗 时间: 2008-10-20 05:07
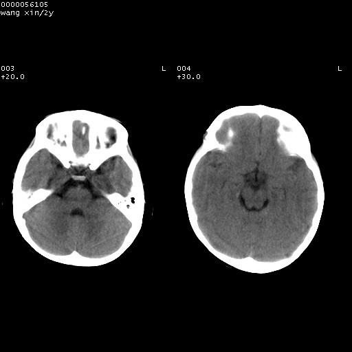
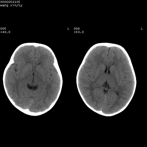
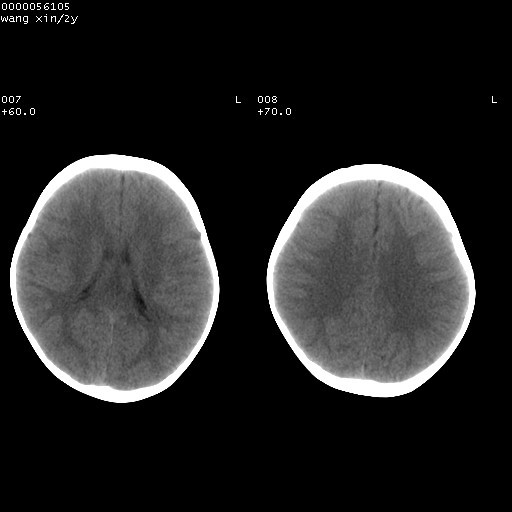
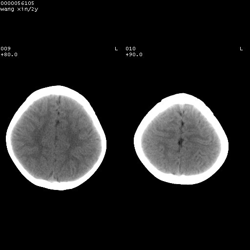
右额骨内板压迫性变薄,呈椭圆形膨胀性骨吸收和低密度区,其间可见小斑片状致密影,-支持表皮样囊肿
作者: jinguoji 时间: 2008-10-20 20:57
考虑右侧额骨表皮样囊肿。
作者: 流浪星 时间: 2008-10-21 03:08
额骨骨瘤可能性大。
作者: 同 时间: 2008-10-21 03:29
考虑额骨表皮样囊肿.
作者: qwerty111 时间: 2008-10-21 16:40
右侧额骨表皮样囊肿。
作者: jiangjing 时间: 2008-10-22 04:28
良性骨病-----骨纤或嗜酸性肉芽肿或表皮样囊肿
作者: 西北狼 时间: 2008-10-22 06:51
考虑右侧额骨表皮样囊肿
作者: 太空射线 时间: 2008-10-24 02:55
应该是松质型骨瘤
作者: bmw011 时间: 2008-10-24 05:05
标题: 回复:ped1611:f,2y。右侧额部小包块,光整,质硬,边界清
以下是引用深泽交通医院在2008-10-19 9:12:00的发言:[br]考虑非骨化纤维瘤
作者: scdlc2008 时间: 2008-10-24 05:40
右侧额骨表皮样囊肿
作者: 影像之路 时间: 2008-10-25 04:42
考虑骨瘤
作者: 王仕学 时间: 2008-10-26 03:56
考虑右侧额骨表皮样囊肿.双侧上颌窦\\筛窦炎.
作者: sunjh2266 时间: 2008-10-26 04:16
嗜酸性肉芽肿或表皮样囊肿可能大。
作者: hansufang 时间: 2008-10-27 18:53
期待病理结果。
| 欢迎光临 医影在线 (http://bbs.radida.com/bbs/) |
Powered by Discuz! X3.2 |