医影在线

标题: ZX0784:求助:左顶叶风斑点状致密影~~~~~~ [打印本页]

作者: 珍惜    时间: 2008-10-19 18:54
标题: ZX0784:求助:左顶叶风斑点状致密影~~~~~~
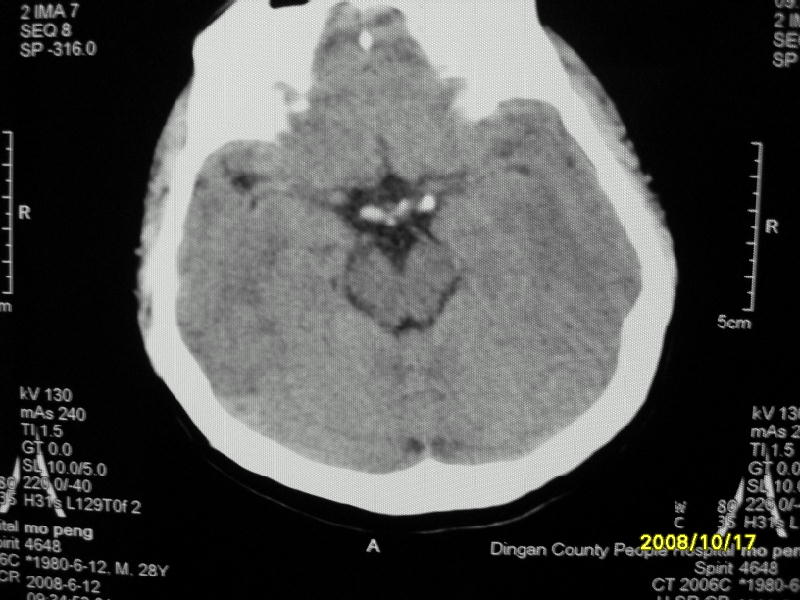
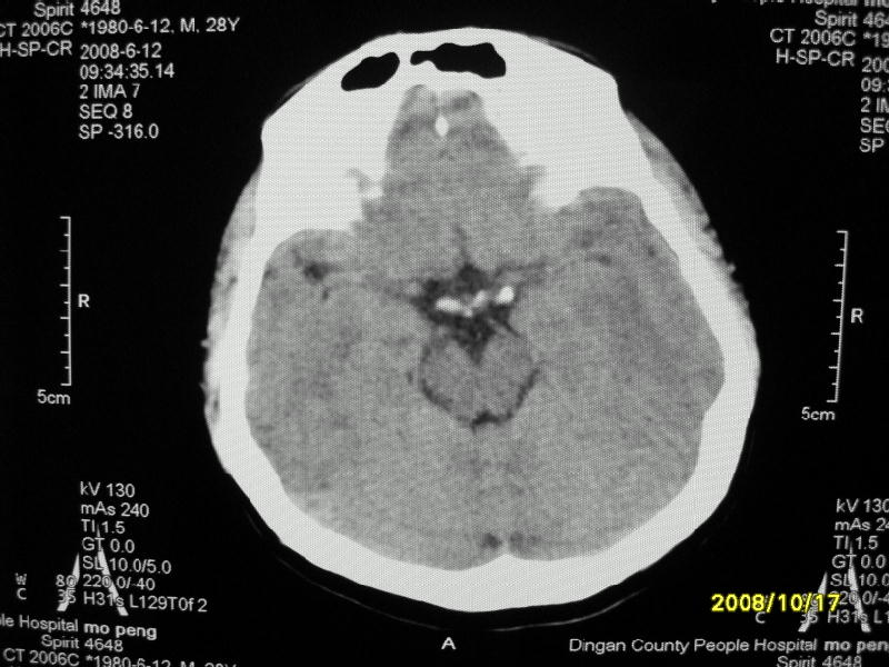
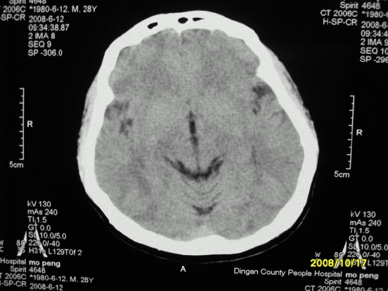
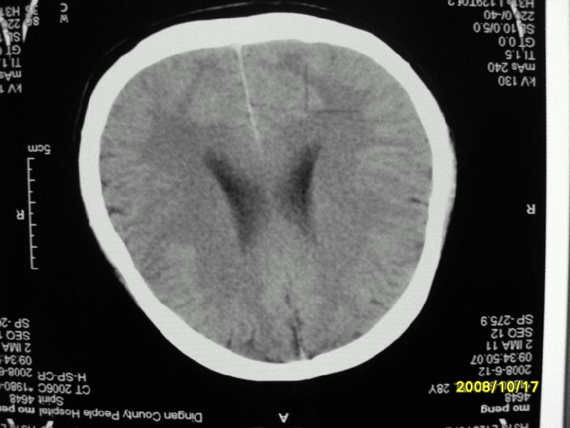
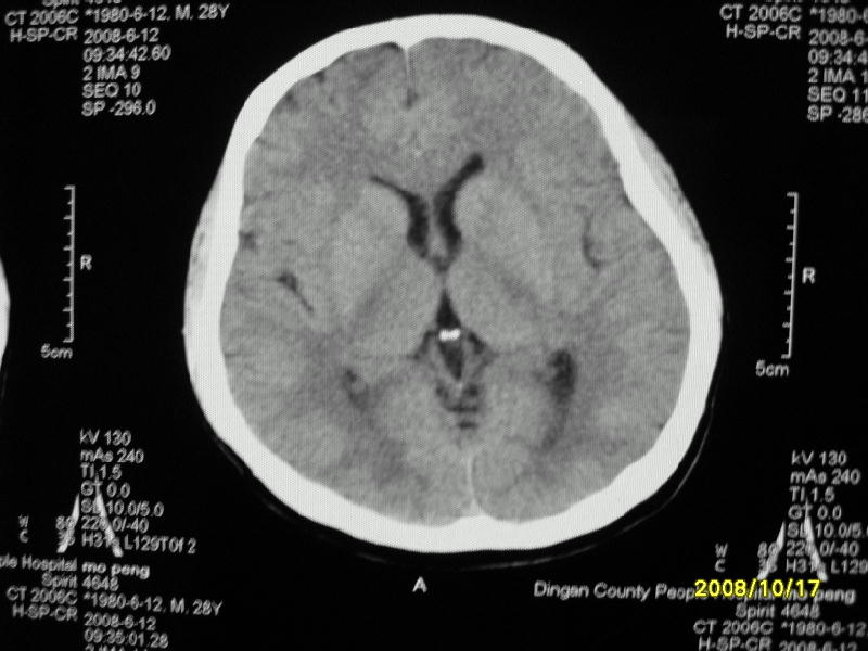
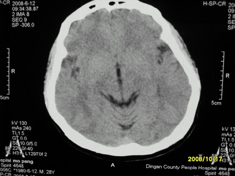
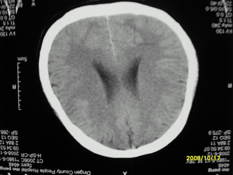
检查名称:     ct颅脑平扫           男     28岁
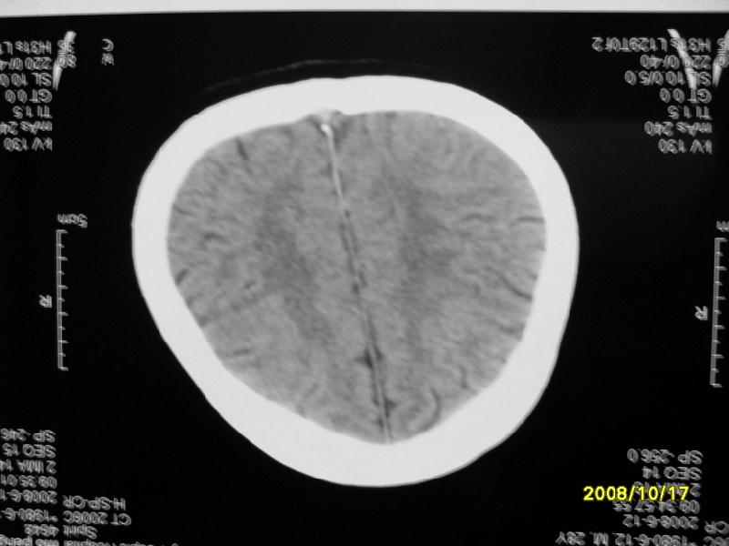
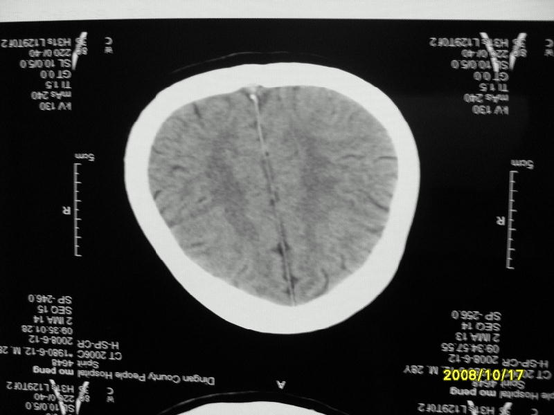
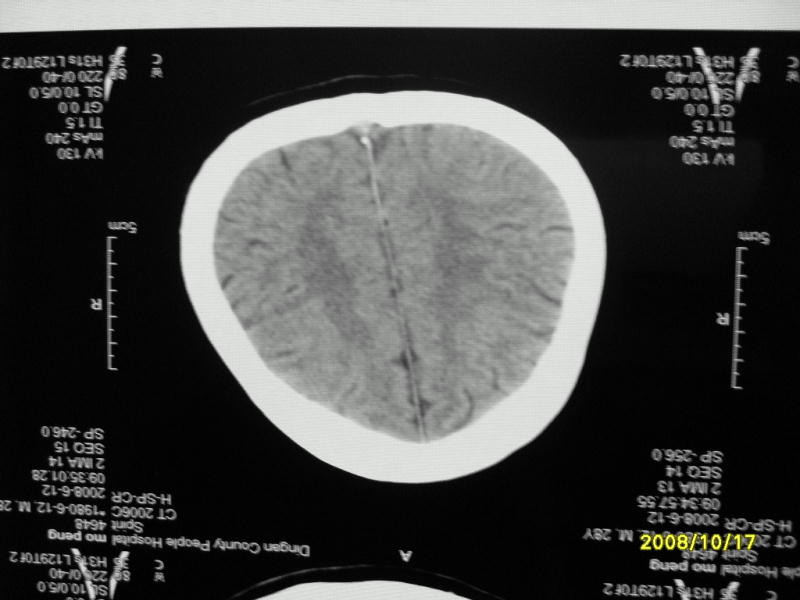
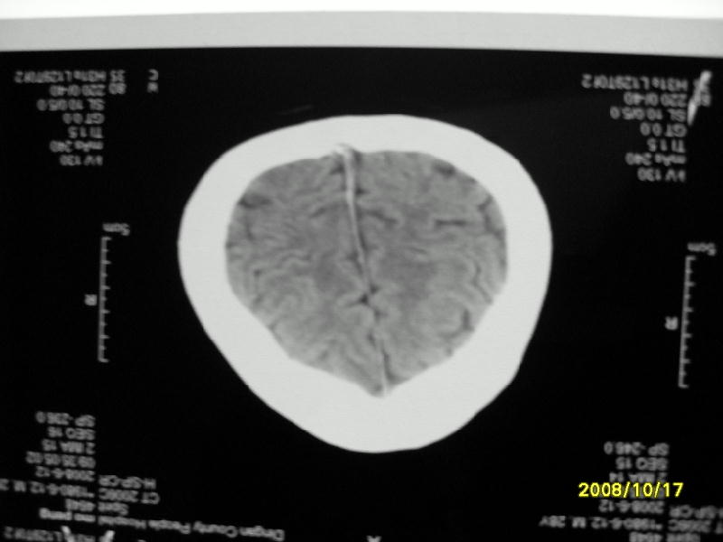
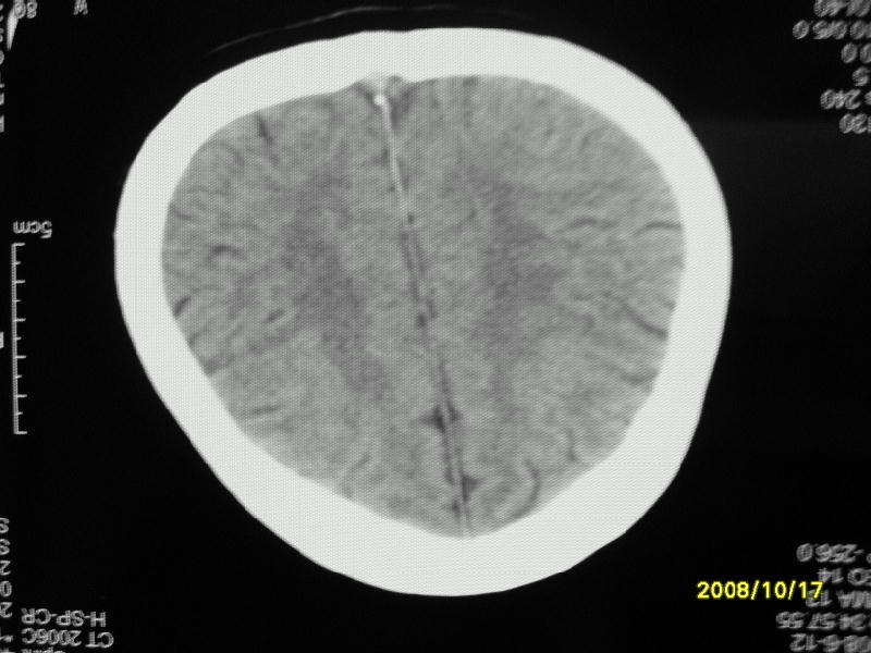
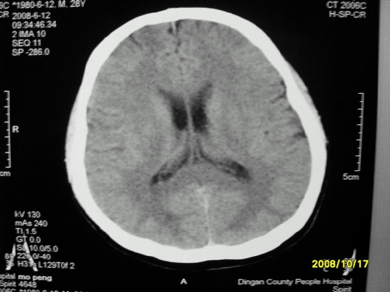
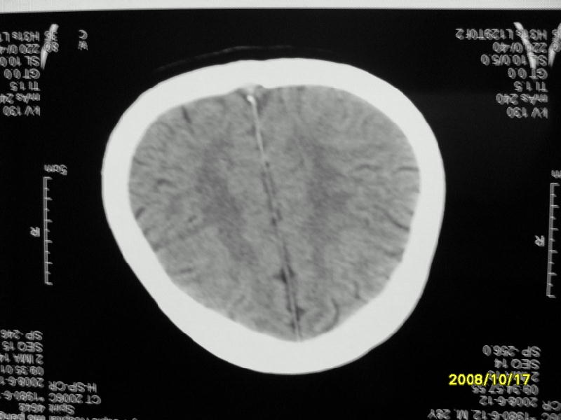
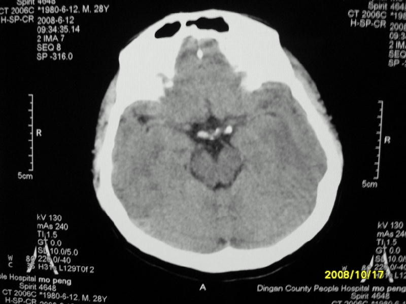
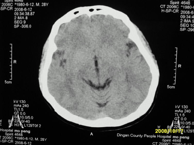
表现:左顶叶见斑点状致密影。边缘清,大小约0。3*1。0cm,余脑实质密度及灰白质结构示见异常。脑室系统大小,形态,密度未见异常。脑沟。脑裂。脑池未见异常密度影。中线结构无移位。
印象:左顶叶少许钙化灶
  重要的一点患者:    左眼视力:1.5      右眼视力:0.8



































[本贴已被 珍惜 于 2008-10-20 10:28:49 修改过]

作者: zjzjr    时间: 2008-10-19 19:11
支持局限性钙化灶,不一定有病理意义.
作者: zsl6918    时间: 2008-10-19 19:28
楼主报告写的不错,支持一下.
作者: 杀毒软件    时间: 2008-10-19 20:14
支持楼主
作者: zhangyuanmr    时间: 2008-10-19 20:26
支持局线性钙化
作者: ybing    时间: 2008-10-19 21:10
支持局限性钙化灶,不一定有病理意义
作者: 黑白光影    时间: 2008-10-19 22:59
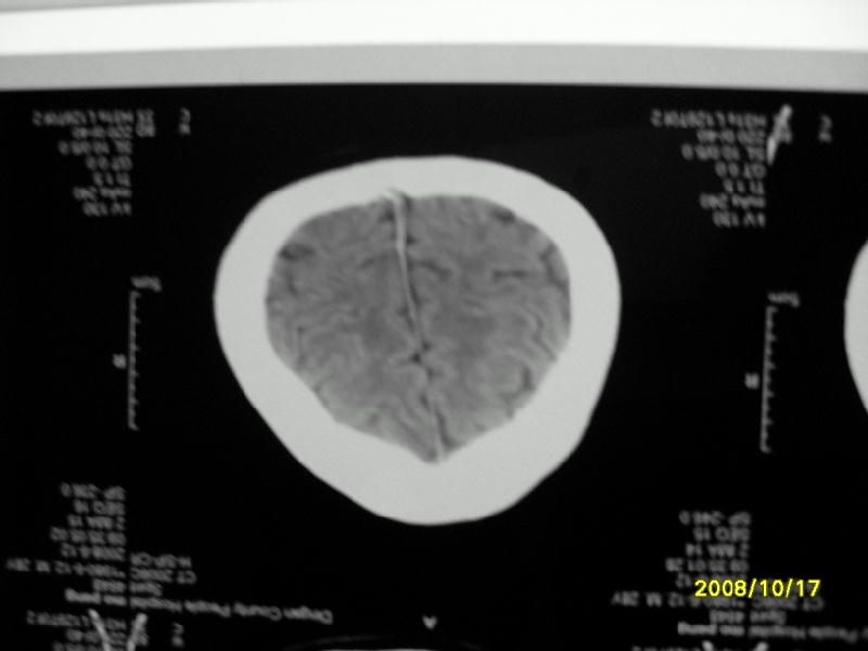
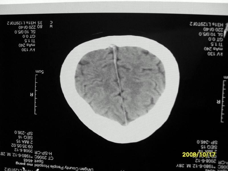
左顶叶见斑点状致密影。边缘清,大小约0。3*1。0cm,余脑实质密度及灰白质结构示见异常。脑室系统大小,形态,密度未见异常。脑沟。脑裂。脑池未见异常密度影。中线结构无移位。
印象:左顶叶少许钙化灶。
作者: 迎客松ABC    时间: 2008-10-19 23:27
支持局限性钙化灶,不一定有病理意义
作者: 王仕学    时间: 2008-10-19 23:35
支持局限性钙化灶
作者: ydx_74    时间: 2008-10-19 23:40
镰旁钙化
作者: 谨言慎行    时间: 2008-10-19 23:41
支持
作者: 深泽交通    时间: 2008-10-19 23:43
脑沟钙化,考虑陈旧性炎症后
作者: 不学无术    时间: 2008-10-19 23:45
支持楼主意见
作者: liuyue    时间: 2008-10-20 00:17
钙化灶。
作者: 宇宙CT    时间: 2008-10-20 00:44
支持局限性钙化灶
作者: QINGJING    时间: 2008-10-20 01:32
支持
作者: 358450m    时间: 2008-10-20 02:00
标题: 回复:zx0784:求助:左顶叶风斑点状致密影~~~~~~
以下是引用zjzjr在2008-10-19 11:11:00的发言:[br]支持局限性钙化灶,不一定有病理意义.

作者: 余辉    时间: 2008-10-20 04:47
考虑脑膜钙化或脑膜血管钙化
作者: bmw011    时间: 2008-10-20 08:38
标题: 回复:zx0784:求助:左顶叶风斑点状致密影~~~~~~
以下是引用zjzjr在2008-10-19 11:11:00的发言:[br]支持局限性钙化灶,不一定有病理意义.

作者: 随光逐影    时间: 2008-10-20 16:47
支持 考虑脑膜钙化或脑膜血管钙化。
作者: 芊芊百合    时间: 2008-10-20 17:58
镰旁钙化或顶骨内板骨嵴部分容积效应,建议mri矢状位扫描观察与顶骨的关系。排外后者。
作者: 一个人    时间: 2008-10-20 23:05
支持局限性钙化灶,不一定有病理意义
作者: 珍惜    时间: 2008-10-28 19:23
支持局限性钙化灶,不一定有病理意义
作者: 珍惜    时间: 2008-11-1 19:04
还有补充的吗?
作者: huangyinshan    时间: 2008-11-1 19:32
支持局限性钙化灶,不一定有病理意义
作者: arven    时间: 2008-11-1 21:04
标题: 回复:zx0784:求助:左顶叶风斑点状致密影~~~~~~
以下是引用王仕学在2008-10-19 15:35:00的发言:[br]支持局限性钙化灶

作者: wy232326    时间: 2008-11-1 22:31
支持 考虑脑膜钙化或脑膜血管钙化。
作者: 珍惜    时间: 2008-12-1 05:27
还有补充的吗?
作者: 一个人    时间: 2008-12-2 04:44
局限性钙化灶
作者: jiangdy    时间: 2009-3-6 05:56
支持楼主。
作者: sunny_fy    时间: 2009-3-7 17:10
支持
作者: 黄毛小子    时间: 2009-4-15 04:26
支持钙化灶
作者: 珍惜    时间: 2009-6-11 05:30
支持钙化灶
作者: 513ytb    时间: 2009-6-19 07:35
左顶叶见斑点状致密影




欢迎光临 医影在线 (http://bbs.radida.com/bbs/) Powered by Discuz! X3.2