
































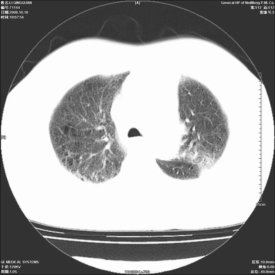
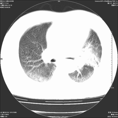
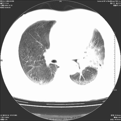
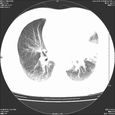
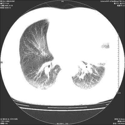
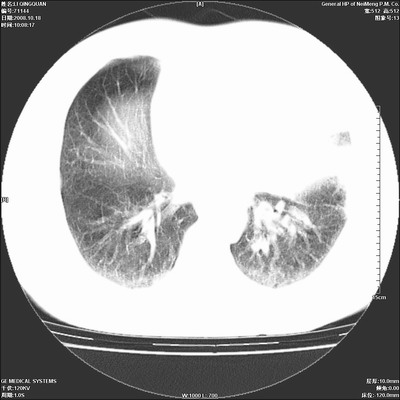
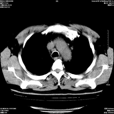
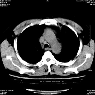
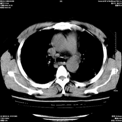
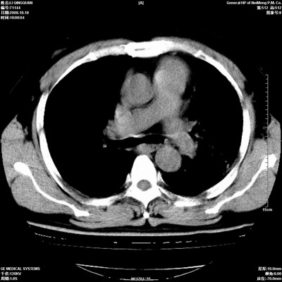
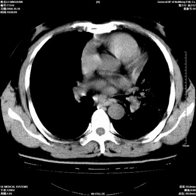
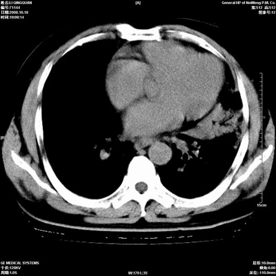
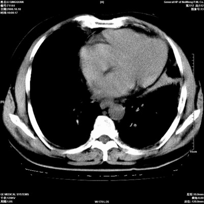
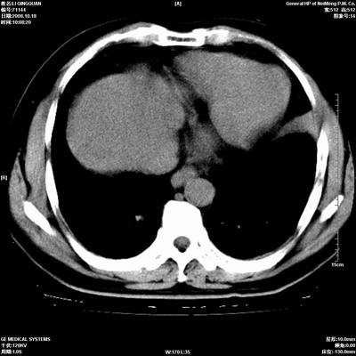
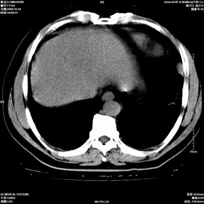
以下是引用duguo在2008-10-19 13:59:00的发言:[br]左肺上叶支气管狭窄,首先考虑中心型肺癌伴阻塞性肺炎\\肺不张.
以下是引用duguo在2008-10-19 13:59:00的发言:[br]左肺上叶支气管狭窄,首先考虑中心型肺癌伴阻塞性肺炎\\肺不张.
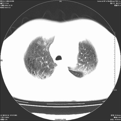
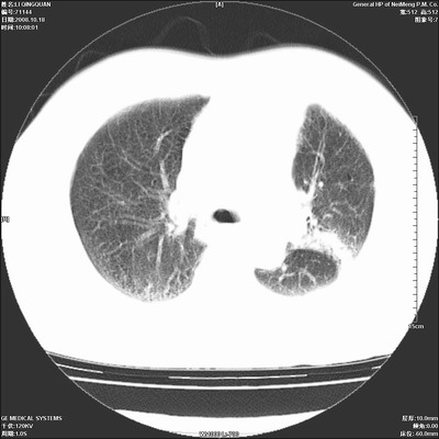
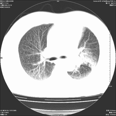
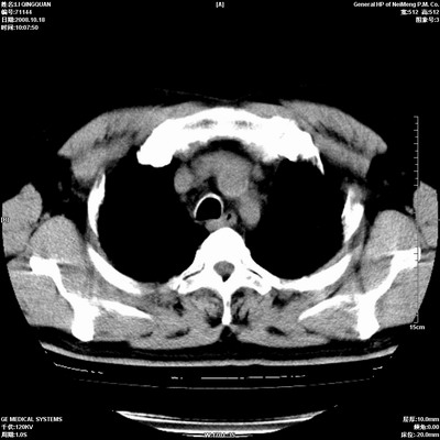
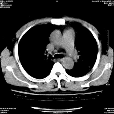
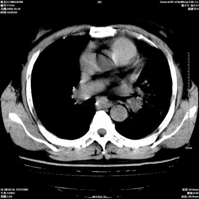
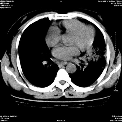
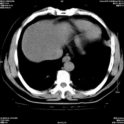
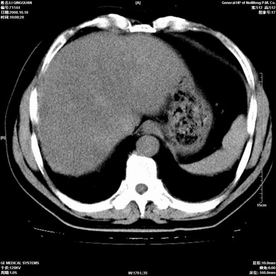
以下是引用ybing在2008-10-19 12:58:00的发言:[br]左肺上叶阻塞性炎症-建议支气管镜进一步检查除外中央型肺癌
以下是引用duguo在2008-10-19 13:59:00的发言:[br]左肺上叶支气管狭窄,首先考虑中心型肺癌伴阻塞性肺炎\\肺不张.
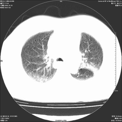
以下是引用随光逐影在2008-10-19 14:31:00的发言:[br]考虑左肺中央型肺癌并左肺上叶阻塞性肺炎,肺不张。
| 欢迎光临 医影在线 (http://bbs.radida.com/bbs/) | Powered by Discuz! X3.2 |