医影在线

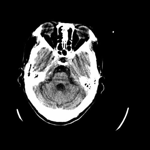
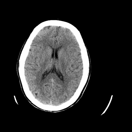
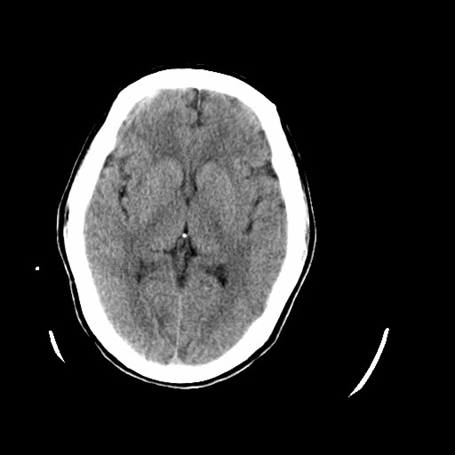
标题: CT16233:女,44岁,智障多年,现感头痛 [打印本页]

作者: lrj    时间: 2008-10-20 05:09
标题: CT16233:女,44岁,智障多年,现感头痛














[本贴已被 翁志蓬 于 2008-10-20 0:03:15 修改过]

作者: lrj    时间: 2008-10-20 05:10
小脑有啥病变?
作者: zsl6918    时间: 2008-10-20 05:27
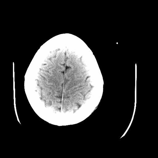
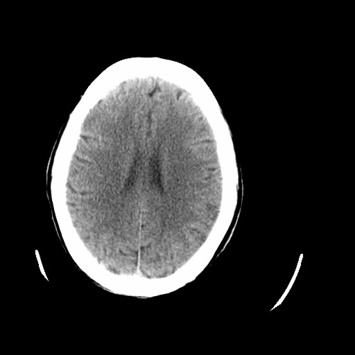
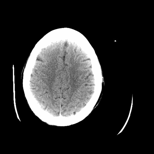
老年脑,萎缩表现
作者: 光线    时间: 2008-10-20 05:29
要个位置,等待高手。
小脑蚓部发育不良?
作者: 清风照影来    时间: 2008-10-20 05:30
脑萎缩
作者: lrj    时间: 2008-10-20 05:30
44岁  小脑表现为萎缩? 原因是什么呢?ct诊断上可报小脑萎缩吗?
作者: dr.yang    时间: 2008-10-20 05:58
脑萎缩
作者: panyishengct    时间: 2008-10-20 06:00
橄榄桥小脑萎缩.左侧小脑脚腔梗.
作者: zjzjr    时间: 2008-10-20 06:01
老年脑,萎缩表现
作者: 358450m    时间: 2008-10-20 06:11
标题: 回复:女,44岁,智障多年,现感头痛
以下是引用清风照影来在2008-10-19 21:30:00的发言:[br]脑萎缩

作者: gfw    时间: 2008-10-20 06:12
为什么不考虑发育畸形呢
作者: 黑白光影    时间: 2008-10-20 06:21
脑萎缩表现
作者: lvji    时间: 2008-10-20 06:23
脑萎缩
作者: 南乔峰    时间: 2008-10-20 06:36
建议mr
作者: 吴承学    时间: 2008-10-20 14:40
标题: 回复:ct16233:女,44岁,智障多年,现感头痛
以下是引用dr.yang在2008-10-19 21:58:00的发言:[br]脑萎缩

作者: 随光逐影    时间: 2008-10-20 16:35
1)小脑萎缩。2)小脑蚓部发育不良。
作者: 芊芊百合    时间: 2008-10-20 17:46
橄榄桥小脑萎缩可能,建议mri进一步检查以进一步排查。
作者: 深泽交通    时间: 2008-10-20 18:02
小脑萎缩征,原因待定.
作者: muzi888    时间: 2008-10-20 18:03
老年脑,萎缩表现
作者: scdlc2008    时间: 2008-10-20 18:34
脑萎缩
作者: jiangjing    时间: 2008-10-20 19:10
橄榄桥小脑萎缩
作者: 一个人    时间: 2008-10-20 23:00
脑萎缩




欢迎光临 医影在线 (http://bbs.radida.com/bbs/) Powered by Discuz! X3.2