医影在线

标题: CT16289:F77Y,左上肺病变,请分析 [打印本页]

作者: xysheng    时间: 2008-10-23 17:45
标题: CT16289:F77Y,左上肺病变,请分析
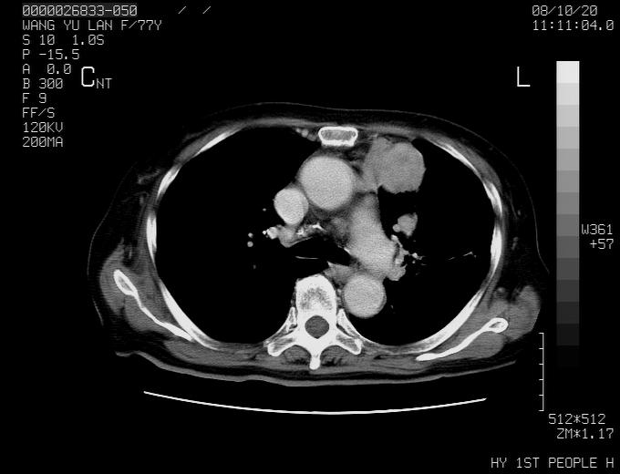
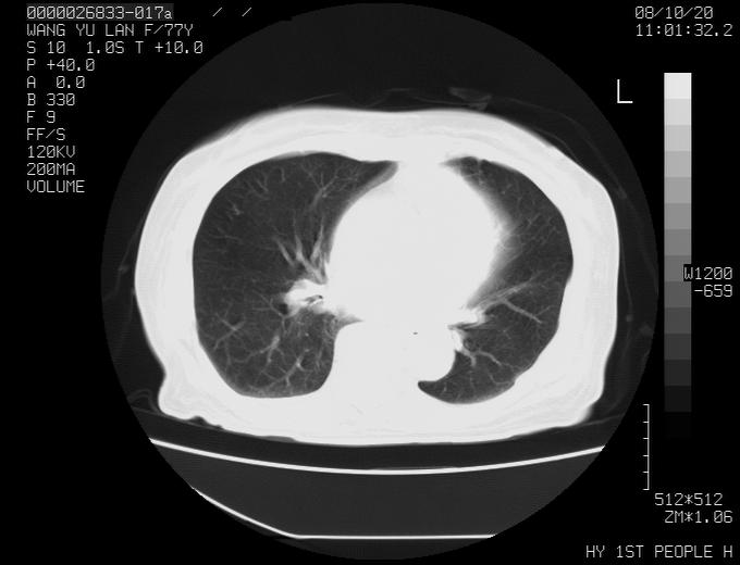
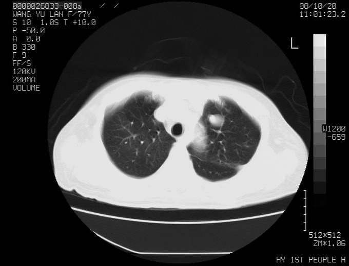
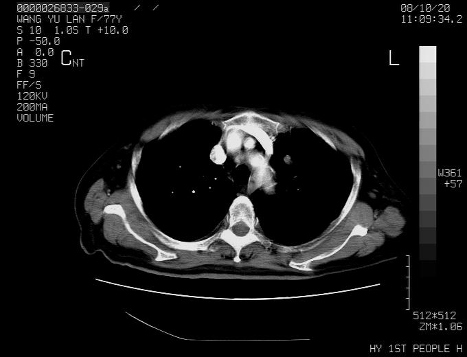
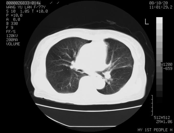
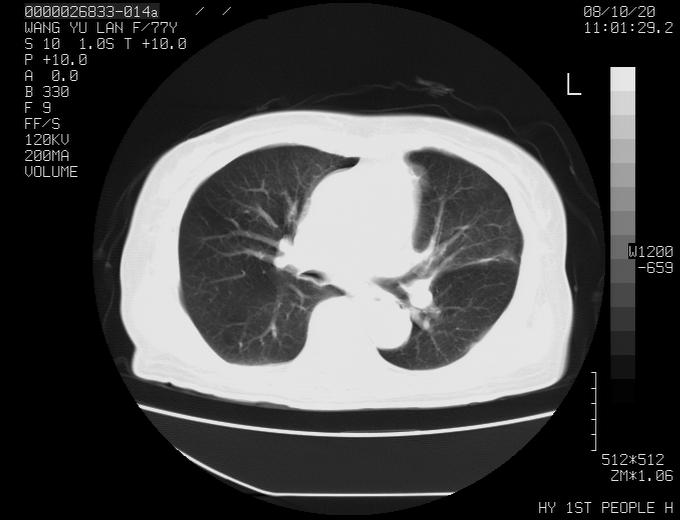
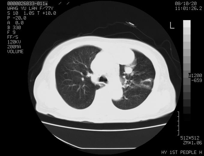
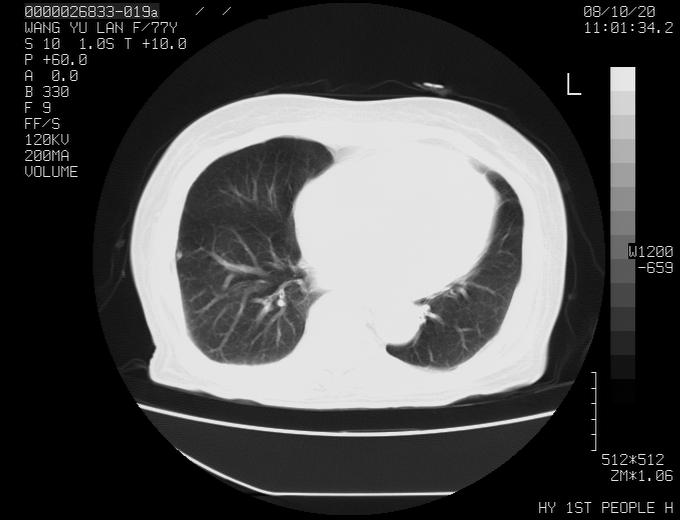
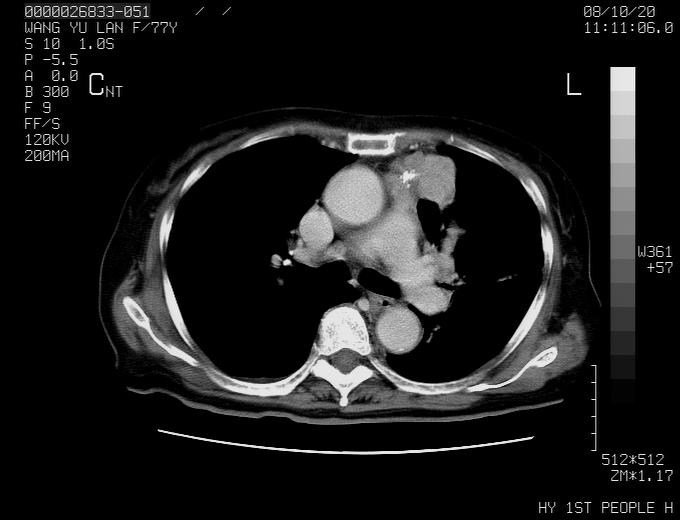
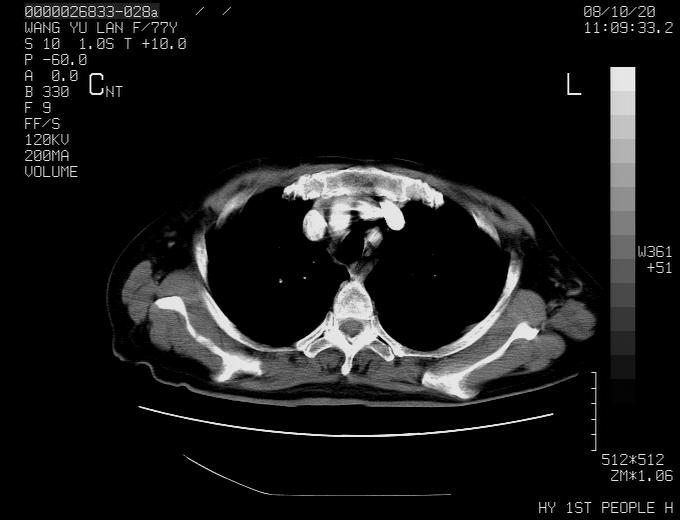
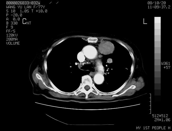
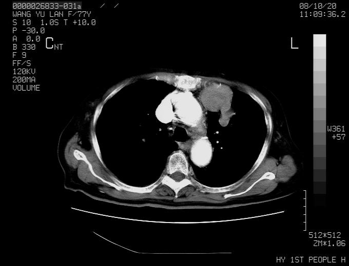
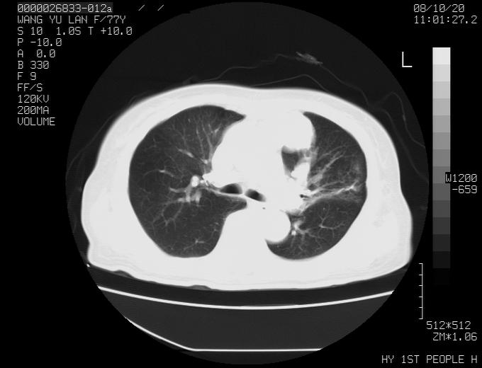
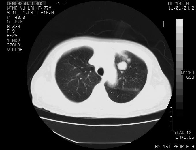
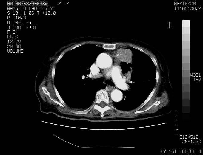
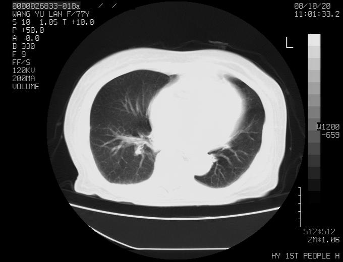
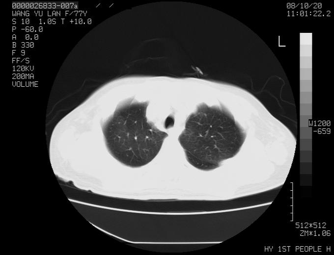
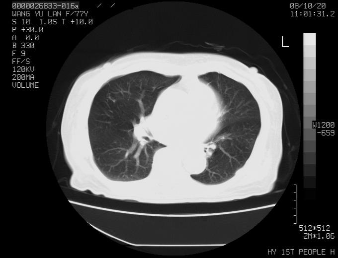
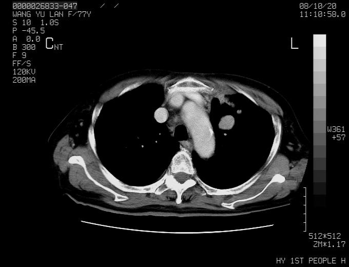
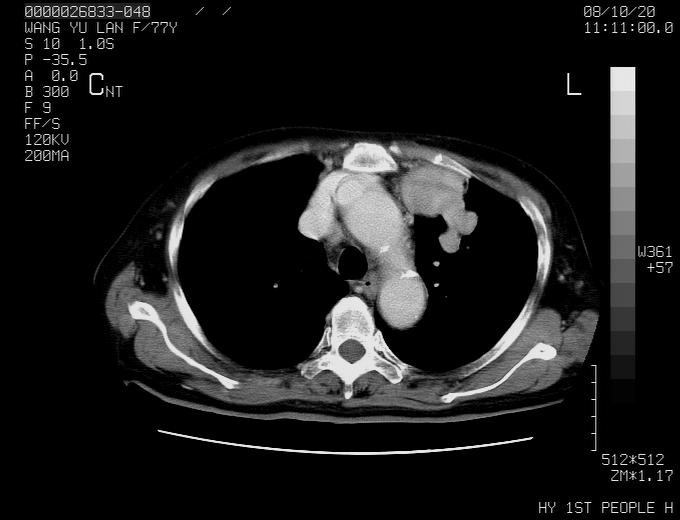
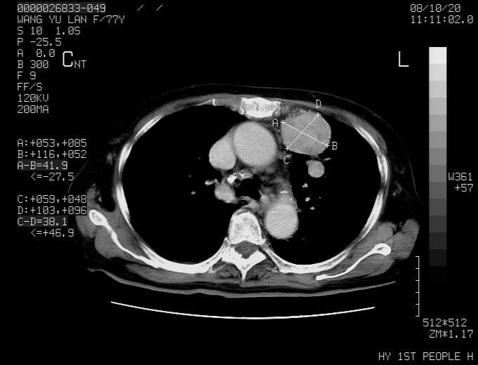
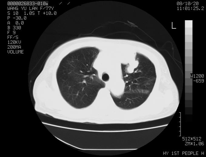
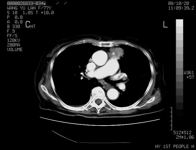
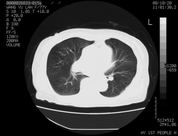
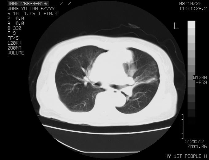
女性,77岁,胸部疼痛半月。左上肺团块影,本人考虑血管畸形,请分析

































[本贴已被 jiajie 于 2008-10-23 12:43:30 修改过]

作者: 深泽交通    时间: 2008-10-23 17:54
考虑肺癌
作者: hszhoupeng    时间: 2008-10-23 18:58
q我认为这么大的年齡,考虑周围型肺ca可能性大
作者: 北方的狼    时间: 2008-10-23 19:00
非常典型的avm(谢谢楼主,收藏了)
作者: hqr123    时间: 2008-10-23 19:08
左上叶前段多发结节肿块并前段支气管息肉样结节、上叶腋亚段阻塞性肺炎,以结核可能性大。
作者: jiangjing    时间: 2008-10-23 19:10
考虑周围型肺ca可能性大
作者: 随光逐影    时间: 2008-10-23 19:29
支持楼主意见。
作者: 影像之路    时间: 2008-10-23 20:00
支持楼主,    但是做个矢冠状面成像就完美了
作者: 前行    时间: 2008-10-23 20:08
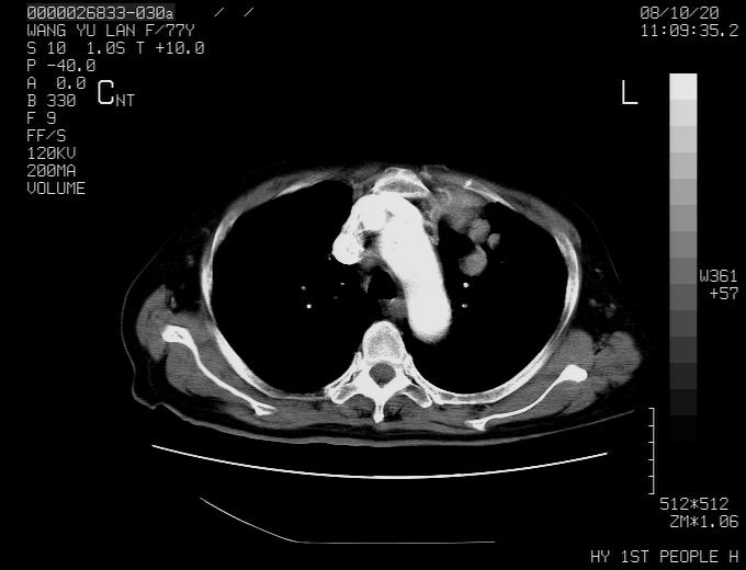
纵隔有多个淋巴结肿大,提示周围型肺癌并转移可能性大。
作者: zjzjr    时间: 2008-10-23 20:11
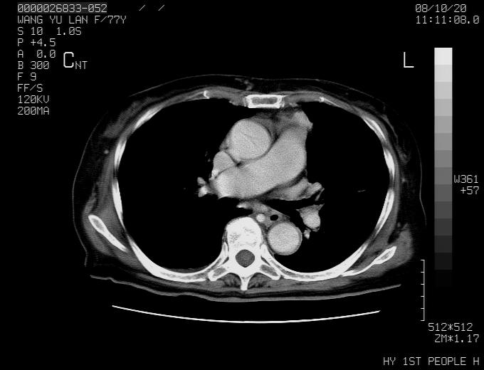
动脉期未见大血管同步强化,首先考虑周围型肺癌
作者: sdzyy    时间: 2008-10-23 22:40
考虑周围型肺ca可能性大
作者: ydx_74    时间: 2008-10-23 23:07
考虑周围型肺ca可能性大
作者: 余辉    时间: 2008-10-24 00:04
动脉期病灶近中线侧可见星芒状与大血管同等强化密度,支持考虑血管畸形伴血栓形成,动脉期不曲型,不除外周围型肺癌
作者: 黑白光影    时间: 2008-10-24 00:25
1、考虑avm可能性大。2、纵隔有肿大淋巴结,左肺上叶有炎性病变,不排除肺癌并转移可能。
作者: 谨言慎行    时间: 2008-10-24 00:56
标题: 回复:ct16289:f77y,左上肺病变,请分析
以下是引用余辉在2008-10-23 16:04:00的发言:[br]动脉期病灶近中线侧可见星芒状与大血管同等强化密度,支持考虑血管畸形伴血栓形成,动脉期不曲型,不除外周围型肺癌

作者: zsl6918    时间: 2008-10-24 04:11
左肺周围型肺癌并肺门淋巴结转移,很典型了!
作者: xulianj    时间: 2008-10-25 03:07
考虑周围型肺癌




欢迎光临 医影在线 (http://bbs.radida.com/bbs/) Powered by Discuz! X3.2