医影在线
标题: CT16291:F,67Y。反复右上腹痛。余无异常。少见病历 [打印本页]
作者: lyb999 时间: 2008-10-23 20:33
标题: CT16291:F,67Y。反复右上腹痛。余无异常。少见病历
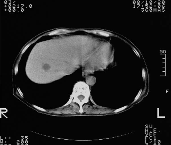
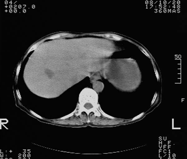
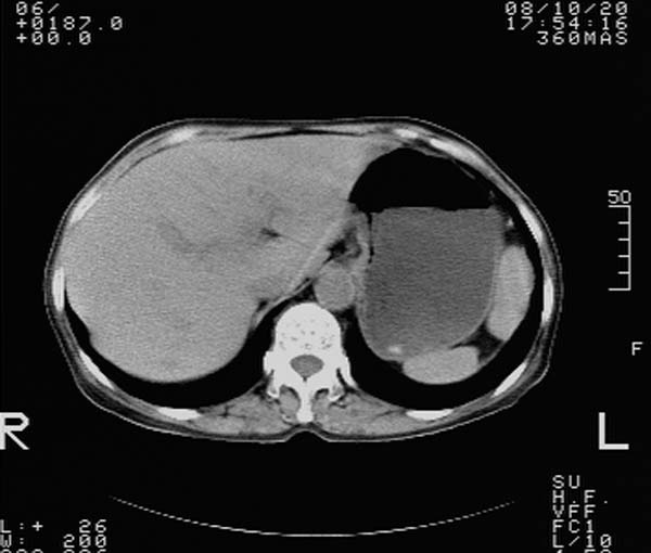
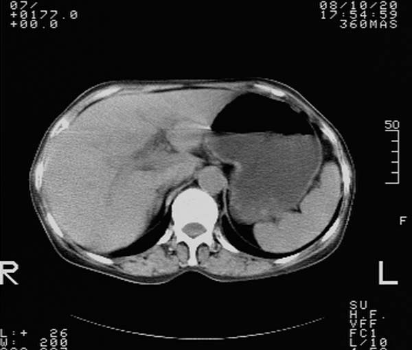
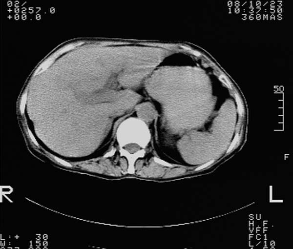
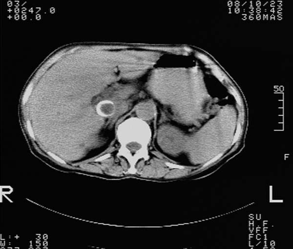
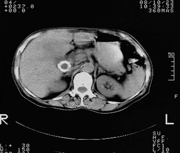
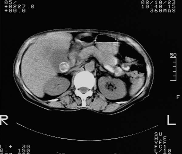
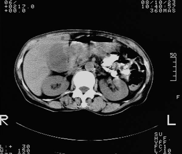
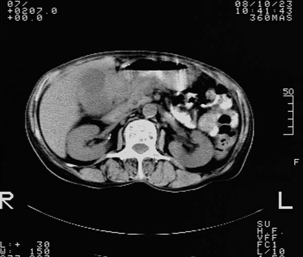
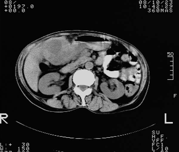
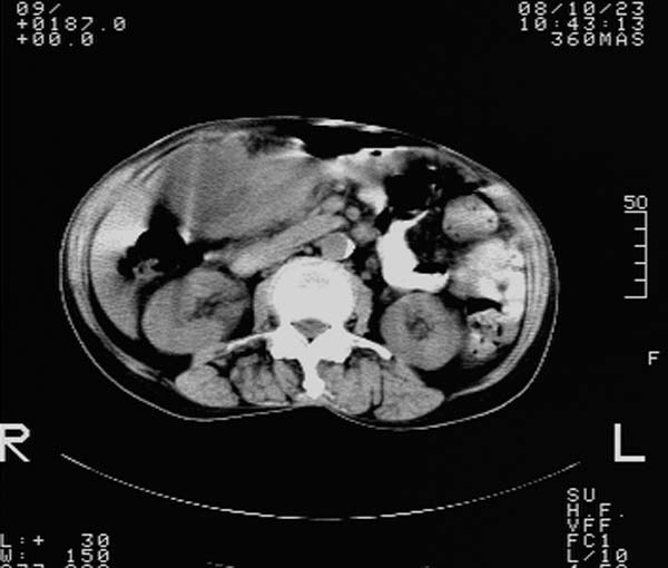
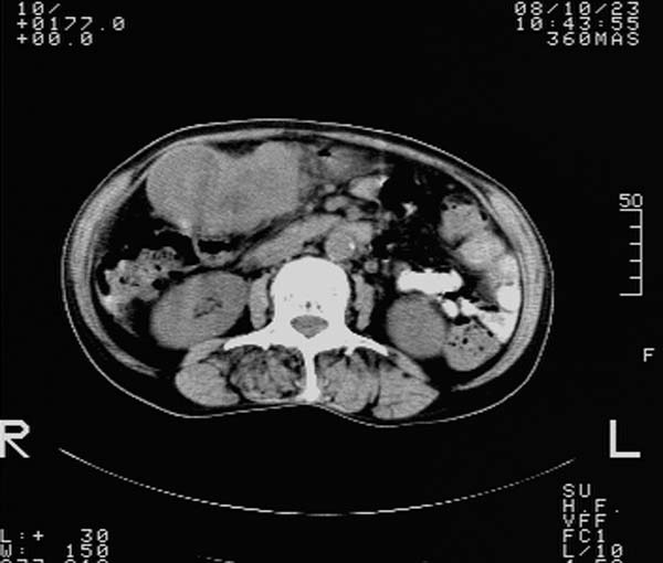
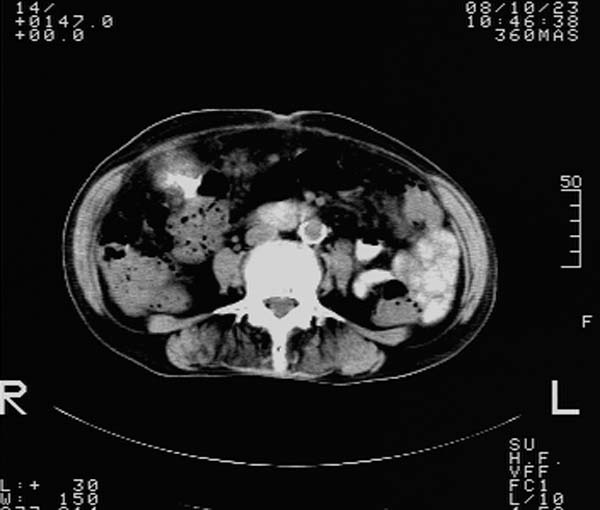
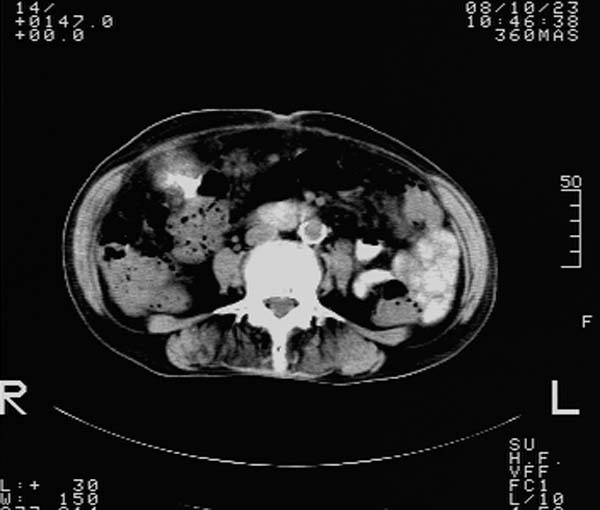
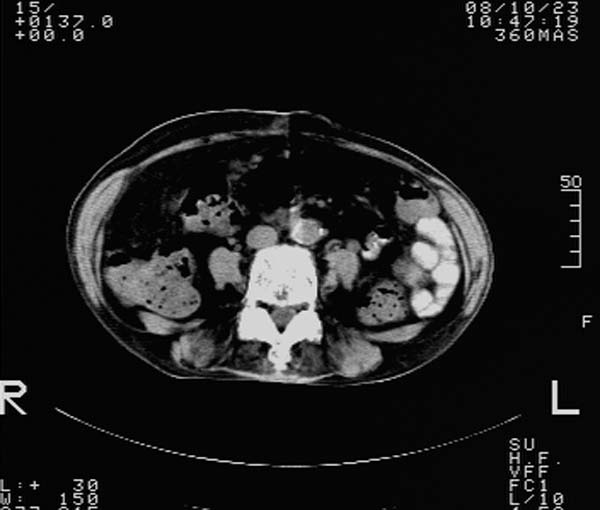
f,67y。反复右上腹痛。余无异常。



















[本贴已被 jiajie 于 2008-10-23 12:45:22 修改过]
作者: lyb999 时间: 2008-10-23 20:38
前五幅未服造影剂。后面图像有上传重复的。请战友们发表意见。
作者: zjzjr 时间: 2008-10-23 20:52
胆囊结石、胆囊癌伴邻近脏器受侵,不除外黄色肉芽肿性胆囊炎,建议增强扫描。肝多发囊性占位性病变,囊肿或囊性转移。
作者: 358450m 时间: 2008-10-23 20:58
标题: 回复:ct16291:f,67y。反复右上腹痛。余无异常。少见病历
以下是引用zjzjr在2008-10-23 12:52:00的发言:[br]胆囊结石、胆囊癌伴邻近脏器受侵,不除外黄色肉芽肿性胆囊炎,建议增强扫描。肝多发囊性占位性病变,囊肿或囊性转移。
作者: sdzyy 时间: 2008-10-23 22:29
支持:胆囊结石、胆囊癌伴邻近脏器受侵,不除外黄色肉芽肿性胆囊炎,建议增强扫描。肝多发囊性占位性病变,囊肿或囊性转移。
作者: ydx_74 时间: 2008-10-23 23:11
胆囊结石、胆囊癌伴邻近脏器受侵,肝转移可能
作者: 余辉 时间: 2008-10-23 23:58
胆囊内结石,胆囊壁不规则增厚,胆囊胃窦区解剖结构欠清晰,楼主提示为少见病,考虑bouveret综合征?黄色肉芽肿性胆囊炎?肝内多发低密度占位,建议增强或b超
作者: huangyinshan 时间: 2008-10-24 00:00
支持:胆囊结石、胆囊癌伴邻近脏器受侵,不除外黄色肉芽肿性胆囊炎,建议增强扫描。
作者: 光线 时间: 2008-10-24 00:01
1、胆囊结石、胆囊癌伴邻近脏器受侵,不除外黄色肉芽肿性胆囊炎,建议增强扫描。
2、考虑肝多发囊肿。
作者: 黑白光影 时间: 2008-10-24 00:51
标题: 回复:ct16291:f,67y。反复右上腹痛。余无异常。少见病历
以下是引用余辉在2008-10-23 15:58:00的发言:[br]胆囊内结石,胆囊壁不规则增厚,胆囊胃窦区解剖结构欠清晰,楼主提示为少见病,考虑bouveret综合征?黄色肉芽肿性胆囊炎?肝内多发低密度占位,建议增强或b超
支持。
bouveret综合征(胆石性十二指肠幽门梗阻)应重点考虑。期待结果!
作者: 随光逐影 时间: 2008-10-24 01:14
标题: 回复:ct16291:f,67y。反复右上腹痛。余无异常。少见病历
支持 胆囊结石、胆囊癌伴邻近脏器受侵,不除外黄色肉芽肿性胆囊炎,建议增强扫描。肝多发囊性占位性病变,囊肿或囊性转移。
作者: 杀毒软件 时间: 2008-10-24 01:22
标题: 回复:ct16291:f,67y。反复右上腹痛。余无异常。少见病历
以下是引用余辉在2008-10-23 15:58:00的发言:[br]胆囊内结石,胆囊壁不规则增厚,胆囊胃窦区解剖结构欠清晰,楼主提示为少见病,考虑bouveret综合征?黄色肉芽肿性胆囊炎?肝内多发低密度占位,建议增强或b超
支持
作者: zsl6918 时间: 2008-10-24 03:55
建议强化观察
作者: bmw011 时间: 2008-10-24 04:16
标题: 回复:ct16291:f,67y。反复右上腹痛。余无异常。少见病历
以下是引用光线在2008-10-23 16:01:00的发言:[br]1、胆囊结石、胆囊癌伴邻近脏器受侵,不除外黄色肉芽肿性胆囊炎,建议增强扫描。[br]2、考虑肝多发囊肿。
作者: xulianj 时间: 2008-10-25 03:12
考虑bouveret综合征?黄色肉芽肿性胆囊炎?肝内多发低密度占位,囊肿?建议增强!
| 欢迎光临 医影在线 (http://bbs.radida.com/bbs/) |
Powered by Discuz! X3.2 |