医影在线

标题: CT16292:男,53岁,上腹部不适2月,B超发现肝内占位病变。 [打印本页]

作者: jiajie    时间: 2008-10-23 21:17
标题: CT16292:男,53岁,上腹部不适2月,B超发现肝内占位病变。




















作者: 深泽交通    时间: 2008-10-23 22:11
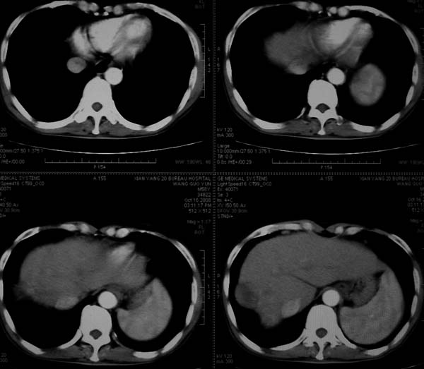
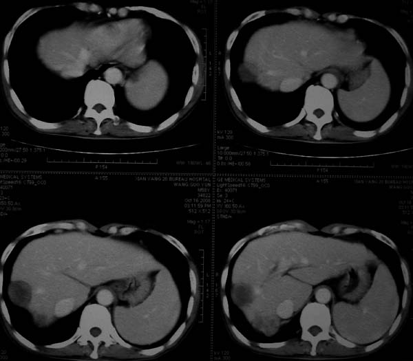
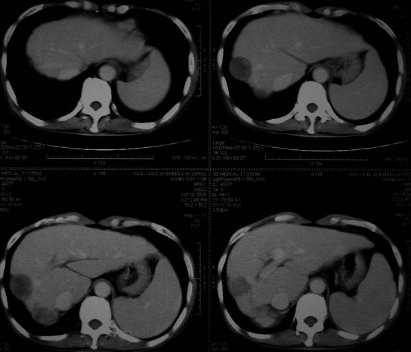
象肝囊肿,有点黑,看不太清
作者: sdzyy    时间: 2008-10-23 22:24
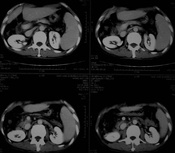
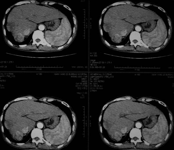
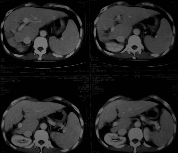
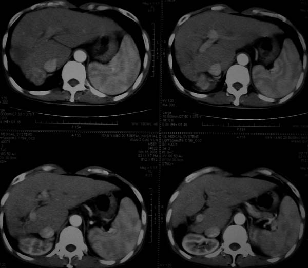
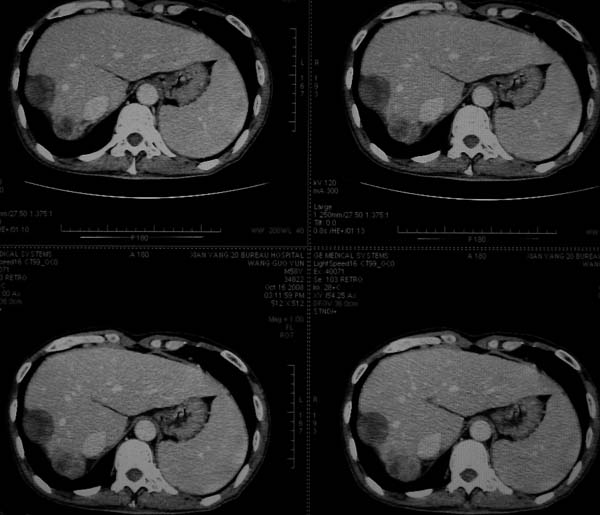
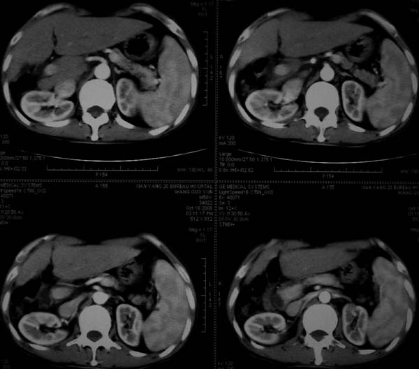
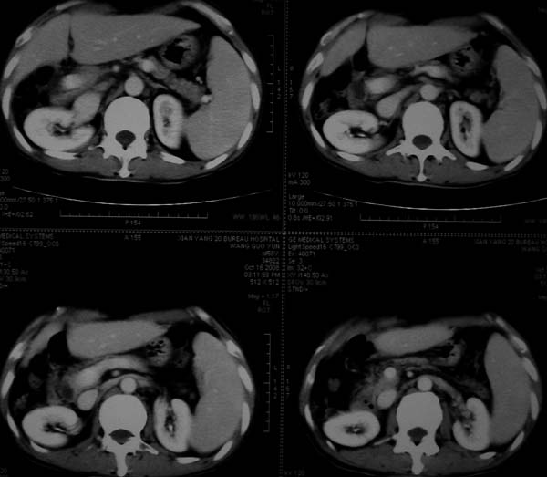
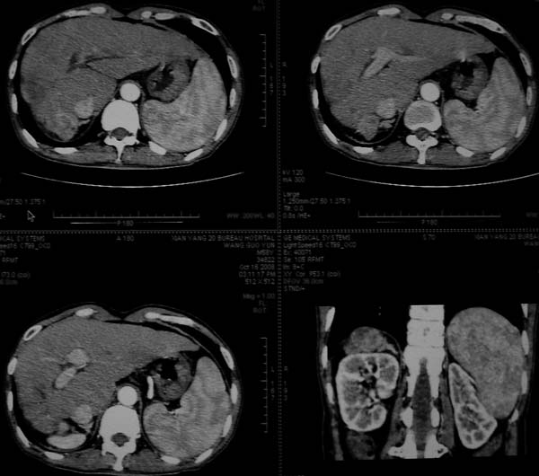
符合肝ca增强,\"快进快出\";肝叶比例失常,右叶萎缩,肝裂增宽,脾大,肝硬化可能.
作者: zjzjr    时间: 2008-10-23 22:51
支持结节型肝癌。肝硬化脾大,病人是不是做过手术。
作者: ydx_74    时间: 2008-10-23 23:16
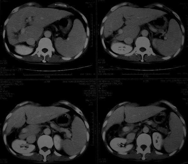
血管瘤,胆囊异位(图象很不清楚)。增强效果非常好,借鉴下!
作者: 余辉    时间: 2008-10-23 23:47
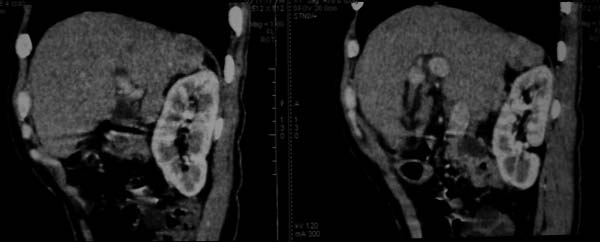
肝脏体积变小,肝裂增宽,分布异常,肝尾叶增大,脾肿大,考虑肝硬化可能性大,右肝病灶呈现早期充盈,延迟强化考虑肝内胆管细胞癌可能,不除外血管瘤
作者: 358450m    时间: 2008-10-24 00:40
标题: 回复:ct16292:男,53岁,上腹部不适2月,b超发现肝内占位病
以下是引用sdzyy在2008-10-23 14:24:00的发言:[br]符合肝ca增强,\"快进快出\";肝叶比例失常,右叶萎缩,肝裂增宽,脾大,肝硬化可能.

作者: 黑白光影    时间: 2008-10-24 00:45
肝硬、脾大,右肾在稍息,考虑结节型肝癌可能,不排除血管瘤。
作者: 随光逐影    时间: 2008-10-24 01:08
支持 结节型肝癌;肝硬化、脾大。
作者: 杀毒软件    时间: 2008-10-24 01:20
标题: 回复:ct16292:男,53岁,上腹部不适2月,b超发现肝内占位病
以下是引用zjzjr在2008-10-23 14:51:00的发言:[br]支持结节型肝癌。肝硬化脾大,病人是不是做过手术。

支持
作者: zsl6918    时间: 2008-10-24 03:58
肝硬化,多结节肝癌。比较典型的表现了。
作者: 拾荒者    时间: 2008-10-24 04:38
肝叶比例失调,左叶增大,肝裂增宽,脾脏增大,门脉增宽,肝右叶包膜下多发结节样阴影,增强虽说强化幅度不大,但还是符合快进快出特点;考虑肝硬化、脾大、结节型肝癌。胆管细胞癌多有延时强化、肝包膜凹陷征、周围胆管扩张等特点,本例明显不符;故不考虑。
作者: DXM    时间: 2008-10-24 05:45
支持结节型肝癌 肝硬化 脾大
作者: DXM    时间: 2008-10-24 05:51
动脉期静脉有显影 是否静脉有受侵改变啊
作者: xulianj    时间: 2008-10-25 03:15
支持结节型肝癌。肝硬化脾大。




欢迎光临 医影在线 (http://bbs.radida.com/bbs/) Powered by Discuz! X3.2