医影在线

标题: 同一病人CT [打印本页]

作者: yuebin    时间: 2008-10-23 23:34
标题: 同一病人CT


作者: 光线    时间: 2008-10-23 23:47
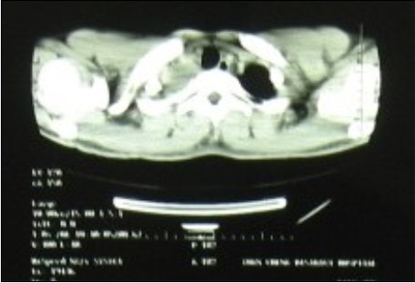
考虑右上肺良性占位,错构瘤?
作者: 余辉    时间: 2008-10-23 23:48
病灶边缘清楚,内部低密度,边缘有钙化,临近气管右侧,考虑气管囊肿可能
作者: 道哥    时间: 2008-10-23 23:54
考虑右上肺良性占位,错构瘤?
作者: 黑白光影    时间: 2008-10-23 23:57
标题: 回复:同一病人ct




边光整,与气管紧密,边缘可见少量钙化,考虑气管囊肿可能。
作者: 谨言慎行    时间: 2008-10-24 00:05
建议做个增强
作者: 358450m    时间: 2008-10-24 00:36
错构瘤
作者: 杀毒软件    时间: 2008-10-24 01:06
不知病人有何症状?

考虑------甲状腺囊肿------胸腺囊肿-----气管囊肿-----都有可能
作者: 随光逐影    时间: 2008-10-24 01:28
气管囊肿?
作者: zsl6918    时间: 2008-10-24 04:32
神经源性肿瘤,鞘瘤可能性大
作者: dr.yang    时间: 2008-10-24 05:12
标题: 回复:同一病人ct
以下是引用随光逐影在2008-10-23 17:28:00的发言:[br]气管囊肿?

作者: yangaidong    时间: 2008-10-24 15:27
病灶边缘清楚,内部低密度,边缘有钙化,临近气管右侧,考虑气管囊肿可能大.




欢迎光临 医影在线 (http://bbs.radida.com/bbs/) Powered by Discuz! X3.2