























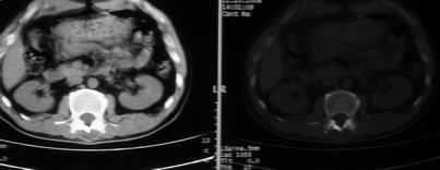
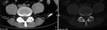
以下是引用余辉在2008-10-23 16:14:00的发言:[br]腰椎体棱角分明,小关节退变部分隔合,骶髂关节部分融合,考强脊炎
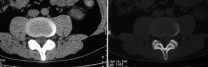
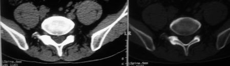
以下是引用余辉在2008-10-23 16:14:00的发言:[br]腰椎体棱角分明,小关节退变部分隔合,骶髂关节部分融合,考强脊炎
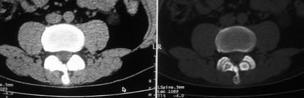
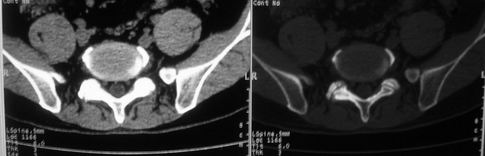
以下是引用余辉在2008-10-23 16:14:00的发言:[br]腰椎体棱角分明,小关节退变部分隔合,骶髂关节部分融合,考强脊炎
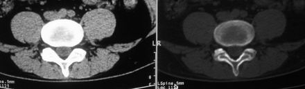
以下是引用余辉在2008-10-23 16:14:00的发言:[br]腰椎体棱角分明,小关节退变部分隔合,骶髂关节部分融合,考强脊炎
| 欢迎光临 医影在线 (http://bbs.radida.com/bbs/) | Powered by Discuz! X3.2 |