医影在线

标题: CT16298:胸部 [打印本页]

作者: yy杨洋    时间: 2008-10-24 01:43
标题: CT16298:胸部
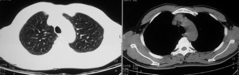
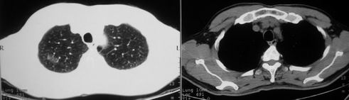
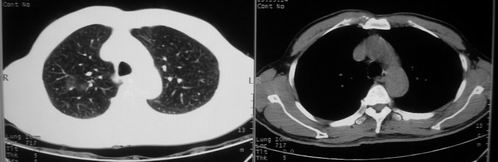
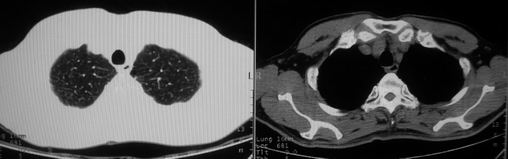
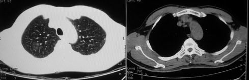
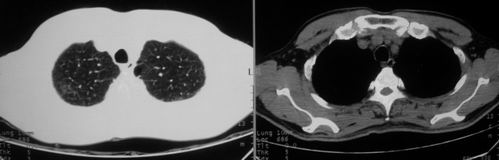
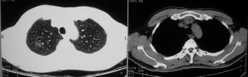
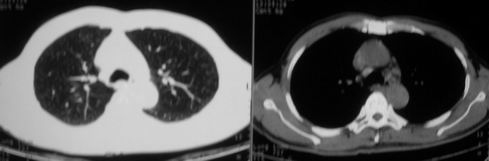
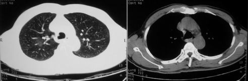
男,62岁,咳血两天。无其他不适。












[本贴已被 翁志蓬 于 2008-10-23 21:24:29 修改过]

作者: jiexupeng    时间: 2008-10-24 01:53
右肺上叶浅淡密度增高影,考虑炎性病变
作者: 影象小辈    时间: 2008-10-24 02:13
结核   待除外炎性肺癌
作者: lrj    时间: 2008-10-24 02:20
像多个结节聚集在一起的病变,且密度较淡  首先考虑为结核吧  建议密切复查
作者: zjb    时间: 2008-10-24 02:49
首先考虑为结核
作者: scdlc2008    时间: 2008-10-24 03:37
首先考虑为结核,待除外炎性肺癌.
作者: bmw011    时间: 2008-10-24 03:43
结核
作者: 宇宙CT    时间: 2008-10-24 04:14
结核
作者: 二月风云    时间: 2008-10-24 04:15
以炎性肺癌可能性大,建议hrct以删支扩。
作者: 余辉    时间: 2008-10-24 04:21
片状磨玻璃影,考虑肺泡出血可能性大,其他不排除,建议hrct
作者: zjzjr    时间: 2008-10-24 04:25
肺泡积血.
作者: zhangyuanmr    时间: 2008-10-24 04:25
自发性肺出血,建议治疗后复查
作者: 天下第三    时间: 2008-10-24 04:27
结核
作者: QINGJING    时间: 2008-10-24 04:37
右上磨玻璃样密度影,考虑就是个肺泡出血,别的没有
作者: guanaishengming    时间: 2008-10-24 04:49
结核.
作者: 宋定川    时间: 2008-10-24 05:06
首先考虑为结核,待除外炎性肺癌.
作者: 迎客松ABC    时间: 2008-10-24 05:21
考虑就是个肺泡出血
作者: HX3101    时间: 2008-10-24 05:36
标题: 回复:ct16298:胸部
以下是引用迎客松abc在2008-10-23 21:21:00的发言:[br]考虑就是个肺泡出血

作者: 黑白光影    时间: 2008-10-24 05:36
考虑肺出血可能性大,建议短期内复查。
作者: 黑白光影    时间: 2008-10-24 05:37
考虑肺出血可能性大,建议短期内复查。
作者: 流浪星    时间: 2008-10-24 06:13
片状磨玻璃影,考虑肺泡出血可能性大,不排除tb
作者: 吴承学    时间: 2008-10-24 14:10
标题: 回复:ct16298:胸部
以下是引用zjb在2008-10-23 18:49:00的发言:[br]首先考虑为结核

作者: 卜一    时间: 2008-10-24 14:18
病灶呈“磨玻璃影”,较薄,周围无卫星灶,很难一口说是肺结核,建议积极治疗后,短期复查!(支持考虑:肺泡出血!)
作者: zsl6918    时间: 2008-10-24 14:29
右肺上叶可见多发磨玻璃状影,符合肺泡内出血表现,严格意义上讲应该是肺泡内积血。引起出血的原因很多,不一定非得结核所致。
作者: SOS.LA    时间: 2008-10-24 15:10
肺泡出血.
作者: 随光逐影    时间: 2008-10-24 15:59
考虑肺泡出血。
作者: 358450m    时间: 2008-10-24 16:40
标题: 回复:ct16298:胸部
以下是引用jiexupeng在2008-10-23 17:53:00的发言:[br]右肺上叶浅淡密度增高影,考虑炎性病变

作者: xulianj    时间: 2008-10-25 03:31
考虑肺出血可能性大,建议短期内复查。
作者: 鲁巨CT    时间: 2008-10-25 04:45
肺泡出血




欢迎光临 医影在线 (http://bbs.radida.com/bbs/) Powered by Discuz! X3.2