医影在线
标题: CT16340:F50Y,体检发现肺部肿块,现无不适。五年前曾有过哮 [打印本页]
作者: haitian598 时间: 2008-10-27 04:32
标题: CT16340:F50Y,体检发现肺部肿块,现无不适。五年前曾有过哮
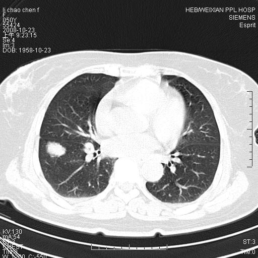
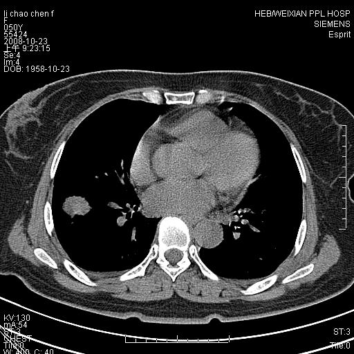
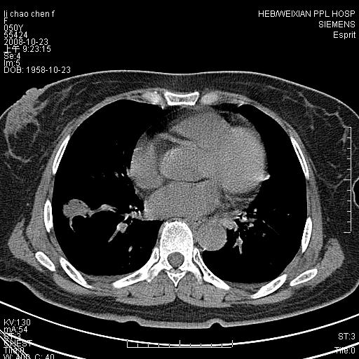
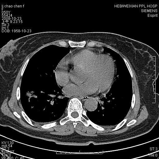
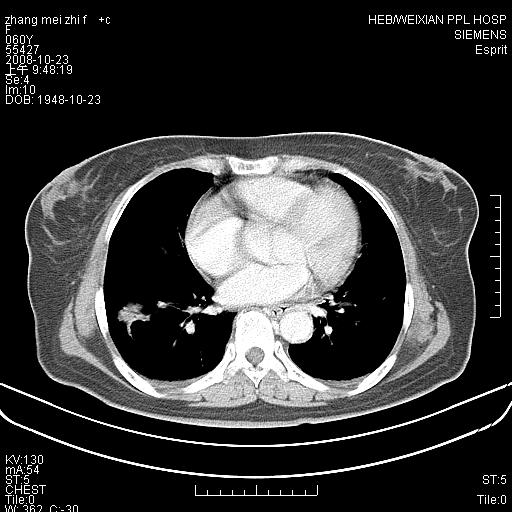
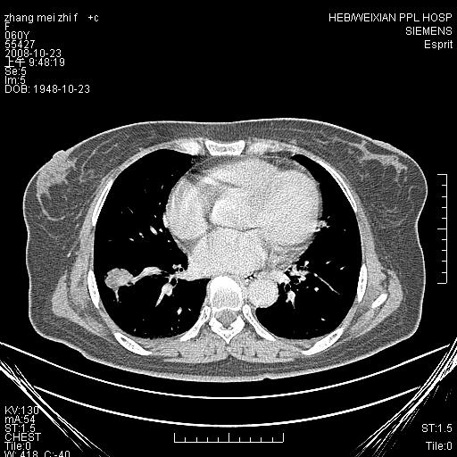
体检发现肺部肿块,现无不适。五年前曾有过哮喘病史。




[本贴已被 jiajie 于 2008-10-26 20:34:54 修改过]








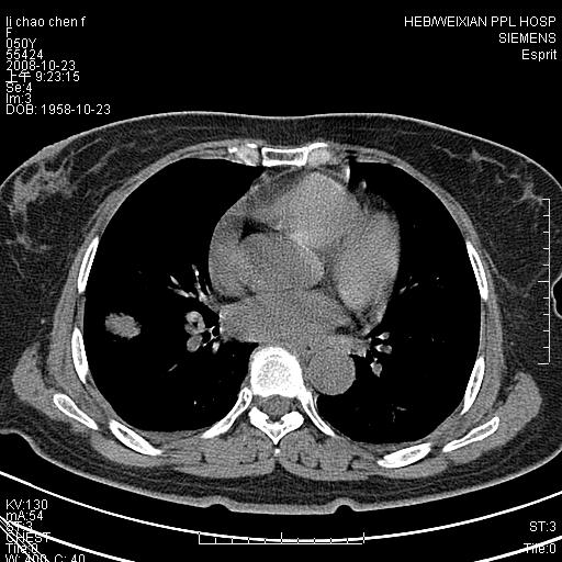
强化扫描后病灶几乎无增强,强化后的病灶看起来密度虽高,是我为了清晰改变了窗宽窗位。(有点弄巧呈拙)
[本贴已被 haitian598 于 2008-10-27 17:15:11 修改过]
作者: 精华回帖 时间: 2008-10-27 04:35
待添加
作者: zsl6918 时间: 2008-10-27 04:56
标题: 1
提几点建议:第一,资料并未上传完整.缺少纵隔窗观察.第二,病灶须薄层观察其细微的征象.此点很重要.第三.尽量强化检查,帮助明确.
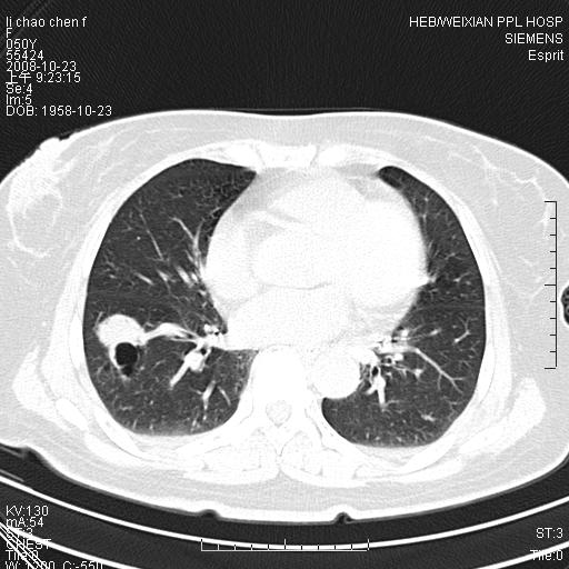
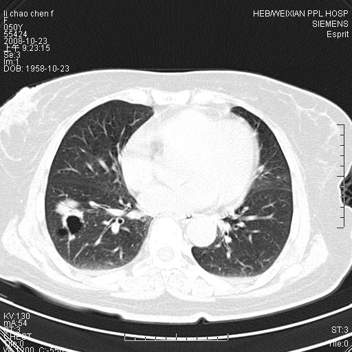
先对现有的图象资料谈几点看法:病变位于右肺下叶前基底段,上部呈类圆形改变,分叶及毛刺征象不明显,下部呈不规则气腔改变,近肺门侧可见与一粗大血管相连,考虑为引流静脉影.其他肺叶相对正常所见.分析:该病灶良恶性均有可能.(现有资料来说).强化及穿刺活检有助鉴别.
[本贴已被 jiajie 于 2008-10-27 6:29:37 修改过]
作者: 358450m 时间: 2008-10-27 05:30
标题: 回复:ct16340:f50y,体检发现肺部肿块,现无不适。五年前曾
提几点建议:第一,资料并未上传完整.缺少纵隔窗观察.第二,病灶须薄层观察其细微的征象.此点很重要.第三.尽量强化检查,帮助明确.
先对现有的图象资料谈几点看法:病变位于右肺下叶前基底段,上部呈类圆形改变,分叶及毛刺征象不明显,下部呈不规则气腔改变,近肺门侧可见与一粗大血管相连,考虑为引流静脉影.其他肺叶相对正常所见.分析:该病灶良恶性均有可能.(现有资料来说).强化及穿刺活检有助鉴别.
作者: 随光逐影 时间: 2008-10-27 05:38
考虑右肺下叶前基底段周围型肺癌可能性大。
作者: 黑白光影 时间: 2008-10-27 06:59
右肺下叶前基底段占位性病变,不排除周围型肺癌可能,尽快手术为妙。
作者: 吴承学 时间: 2008-10-27 14:33
标题: 回复:ct16340:f50y,体检发现肺部肿块,现无不适。五年前曾
[quote]以下是引用黑白光影在2008-10-26 22:59:00的发言:[br]右肺下叶前基底段占位性病变,不排除周围型肺癌可能,尽快手术为妙。
作者: haha215315 时间: 2008-10-27 17:08
右肺下叶前基底段周围型肺癌可能性大。
作者: 5lwf5 时间: 2008-10-27 17:11
右下肺前段占位性病变多考虑周围型ca建议穿刺活检确诊.
作者: 深泽交通 时间: 2008-10-27 17:56
标题: 回复:ct16340:f50y,体检发现肺部肿块,现无不适。五年前曾
以下是引用随光逐影在2008-10-26 21:38:00的发言:[br]考虑右肺下叶前基底段周围型肺癌可能性大。
作者: fshk1 时间: 2008-10-27 19:46
我认为必须有纵隔窗资料;且最好做增强ct检查。现在发言为时过早***
作者: zjzjr 时间: 2008-10-27 20:14
考虑右肺下叶前基底段周围型肺癌可能性大。
作者: huangyinshan 时间: 2008-10-27 21:13
考虑右肺下叶前基底段周围型肺癌可能性大
作者: xulianj 时间: 2008-10-28 03:10
右下肺前段占位性病变多考虑周围型ca建议穿刺活检确诊.
作者: huqi8888 时间: 2008-10-28 04:16
右肺下叶前基底段占位性病变,不排除周围型肺癌可能,尽快穿刺确诊---手术为妙
作者: 晓杰 时间: 2008-10-28 04:34
以下是引用随光逐影在2008-10-26 21:38:00的发言:
考虑右肺下叶前基底段周围型肺癌可能性大。
作者: haitian598 时间: 2008-11-10 21:23
术后冰冻切片怀疑是细支气管肺泡癌,等病理结果。
| 欢迎光临 医影在线 (http://bbs.radida.com/bbs/) |
Powered by Discuz! X3.2 |