医影在线
标题: X4980:男,55岁,咳嗽半年余,30余年打石史,20年前发现钙化 [打印本页]
作者: 残梦    时间: 2008-10-27 20:43
标题: X4980:男,55岁,咳嗽半年余,30余年打石史,20年前发现钙化
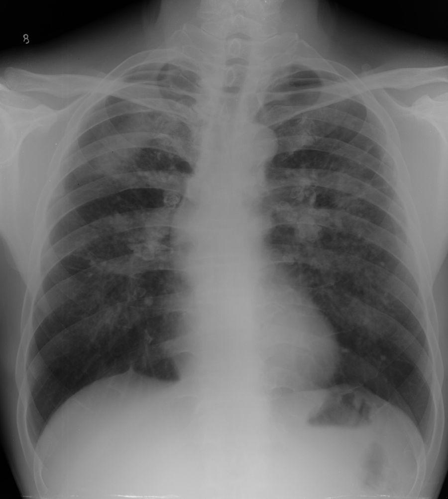
男,55岁,咳嗽半年余,30余年打石史,20年前发现钙化

[本贴已被 jiajie 于 2008-10-27 12:54:07 修改过]
[本贴已被 残梦 于 2008-10-27 12:54:59 修改过]
作者: ZHANGZHONGSHOU    时间: 2008-10-27 20:45
符合iii期矽肺。
作者: 余辉    时间: 2008-10-27 22:03
标题: 回复:x4980:男,55岁,咳嗽半年余,30余年打石史,20年前
以下是引用zhangzhongshou在2008-10-27 12:45:00的发言:[br]符合iii期矽肺。
支持
作者: 谨言慎行    时间: 2008-10-27 22:51
结合病史,考虑矽肺iii期
作者: LIAOQIANG    时间: 2008-10-27 22:54
矽肺。
作者: 黑白光影    时间: 2008-10-28 00:10
结合病史,支持尘肺改变。
作者: ydx_74    时间: 2008-10-28 00:20
标题: 111
支持
[本贴已被 ydx_74 于 2008-10-27 16:26:24 修改过]
作者: liu.bingso    时间: 2008-10-28 00:36
结合病史诊断矽肺没问题。
作者: yuhongjun    时间: 2008-10-28 00:54
结合病史,支持诊断iii期矽肺。
作者: 自由医者    时间: 2008-10-28 01:04
结合临床考虑矽肺
作者: 杀毒软件    时间: 2008-10-28 01:17
结合病史支持诊断
作者: 358450m    时间: 2008-10-28 01:39
标题: 回复:x4980:男,55岁,咳嗽半年余,30余年打石史,20年前
以下是引用谨言慎行在2008-10-27 14:51:00的发言:[br]结合病史,考虑矽肺iii期
作者: 一个孤独    时间: 2008-10-28 01:51
标题: 回复:x4980:男,55岁,咳嗽半年余,30余年打石史,20年前
以下是引用自由医者在2008-10-27 17:04:00的发言:[br]结合临床考虑矽肺
作者: 随光逐影    时间: 2008-10-28 02:59
符合矽肺表现。
作者: dr.yang    时间: 2008-10-28 03:07
iii期矽肺.
二、一期尘肺(代号i)
(一)i 有密集度i级,即有肯定的,直径在2cm范围内有10个上下的类圆形小阴影(<1cm),分布范围至少在两个肺区内(左右肺上中下共6个区)各有一处 ;或有密集度i级的不规则小阴影(一群粗细、长短、形态不一的致密阴影),其分布范围不少于两个肺区,肺纹理清晰可见。
(二)i+ 小阴影明显增多,但密集度与分布范围中有一项不够定为“ⅱ”者。
三、二期尘肺(代号ⅱ)
(一)ⅱ 有密集度2级,即多量的类圆形或不规则形小阴影,分布范围超过四个肺区,肺纹细尚可辨认或部分消失;或有密集度3级,即有很多类圆形或不规则阴影,分布范围达到4个肺区,肺纹理部分或全部消失。
(二)ⅱ+ 有密集度为3级的小阴影,其分布范围超过四个肺区;或有大阴影尚不够为“ⅲ”者。
四、三期矽肺(代号ⅲ)
(一)ⅲ 有大阴影出现,其长径不小于2cm,宽径不小于1cm。
(二)ⅲ+单个大阴影面积或多个大阴影面积的总和超过右上肺区面积者。
[鉴别诊断]
一、急性粟粒性肺结核
ⅱ期矽肺须与急性粟粒性肺结核相鉴别。后者无矽尘接触史,有明显的全身中毒症状,x线胸片显示两肺粟粒病灶阴影致密、大小一致,两上肺尖更为密集,无网状和肺纹理改变。经抗结核治疗粟粒病灶可以吸收。
二、细支气管肺泡癌
表现为两肺弥漫性结节阴影的肺泡癌,应与ⅱ、ⅲ期矽肺相鉴别。肺泡癌x表现为结节性或浸润性病变,分布不均,大小不等,不成团块或大片融合,很少有网织阴影和肺气肿,且病情和病变进展快,痰中可找到癌细胞。患者无矽尘接触史。
三、肺含铁血黄素沉着症
本症可见于二尖辨狭窄的风湿性心脏病,有反复发作心力衰竭的患者,无矽尘接触史。其x线表现为两肺弥散性小结节阴影,与ⅱ期矽肺相似,但本症近肺门处阴影较密,中外带变稀,心影示左心房扩大。
四、肺泡微结石症
为一种不明原因的少见病,往往有家族史。无粉尘接触史。x线胸片示两肺满布细砂粒状结节阴影,大小1mm左右,边缘清楚,以肺内侧多见,肺门影不大,无肺纹理改变。病程进展缓慢,可达数十年。
作者: PANPAN    时间: 2008-10-28 03:12
标题: 回复:x4980:男,55岁,咳嗽半年余,30余年打石史,20年前
以下是引用黑白光影在2008-10-27 16:10:00的发言:[br]结合病史,支持尘肺改变。
作者: ml2007    时间: 2008-10-28 03:53
矽肺
作者: cyr88888    时间: 2008-10-28 05:33
矽肺并结核
作者: hxm    时间: 2008-10-28 05:44
结合病史,考虑矽肺
作者: 流浪星    时间: 2008-10-28 05:57
结合病史,支持诊断iii期矽肺。
作者: guanaishengming    时间: 2008-10-28 06:25
符合iii期矽肺。
作者: 寻芳者    时间: 2008-10-28 06:25
典型矽肺-------------------------------
作者: 黑白    时间: 2008-10-28 06:40
路过,支持!
作者: jinguoji    时间: 2008-10-28 06:51
结合病史,支持诊断iii期矽肺。
作者: 一捅阴影    时间: 2008-10-28 07:14
矽结节和矽结节融合符合三期矽肺。
作者: bmw011    时间: 2008-10-28 07:35
标题: 回复:x4980:男,55岁,咳嗽半年余,30余年打石史,20年前
以下是引用liu.bingso在2008-10-27 16:36:00的发言:[br]结合病史诊断矽肺没问题。
作者: qc80012345    时间: 2008-10-28 07:52
支持;iii期矽肺诊断。
作者: zsl6918    时间: 2008-10-28 15:41
符合矽肺表现
作者: wy232326    时间: 2008-10-28 18:41
结合病史,考虑矽肺iii期
作者: baogan    时间: 2008-10-28 21:58
结合临床考虑矽肺
作者: dongqing0606    时间: 2008-10-29 00:36
结合临床,支持矽肺。
作者: zhanggenliang    时间: 2008-10-29 03:21
矽肺
作者: mwh9116    时间: 2008-10-29 03:53
比较典型矽肺
作者: arqwangshaojian    时间: 2008-10-29 04:36
结合临床考虑矽肺
作者: 完美组合    时间: 2008-10-29 06:32
矽肺
作者: 吴承学    时间: 2008-10-29 15:04
标题: 回复:x4980:男,55岁,咳嗽半年余,30余年打石史,20年前
[quote]以下是引用yuhongjun在2008-10-27 16:54:00的发言:[br]结合病史,支持诊断iii期矽肺。
作者: yangzhenghai    时间: 2008-10-29 17:07
支持。
作者: hexue    时间: 2008-10-30 19:55
结合病史,考虑矽肺iii期
作者: 王立前    时间: 2008-11-1 00:54
iii期矽肺。
作者: shibing    时间: 2014-4-6 09:57
ct
| 欢迎光临 医影在线 (http://bbs.radida.com/bbs/) | Powered by Discuz! X3.2 |