医影在线
标题: X4981:应该如何诊断?正常? [打印本页]
作者: Software 时间: 2008-10-28 06:30
标题: X4981:应该如何诊断?正常?

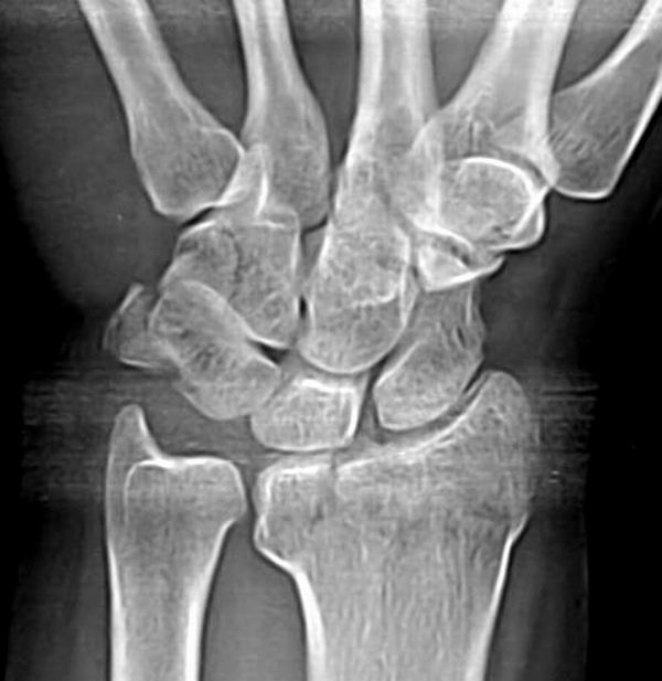
这个是溜冰跌倒手掌撑地造成的 患者5天前打篮球腕部曾受过伤,患者有过习惯性的脱位,余(—)。

这个和上面类似,但是手外科的病人,病人功能可 脱位不明显 余(—)。
想问一下各位老师 遇到这种病人症状并不明显 活动轻微受限(第一个手腕旋内稍困难),应该如何诊断?谢谢
[本贴已被 jiajie 于 2008-10-28 6:47:59 修改过]
作者: huangxun4321 时间: 2008-10-28 07:16
远侧桡尺关节半脱位
作者: bmw011 时间: 2008-10-28 07:29
照片体位正吗?个人认为正常。
作者: qc80012345 时间: 2008-10-28 08:02
腕关节侧位片是这样照的吗?
作者: 黑白光影 时间: 2008-10-28 09:06
本人认为所说第一例可考虑尺桡关节脱位,理由是侧位片还算标准,二至五掌骨垂直重叠,如果尺桡骨有内、外旋转,掌骨很难重叠的。
作者: yuhongjun 时间: 2008-10-28 14:12
感觉还是投照体位的差别,位置不标准。
作者: zsl6918 时间: 2008-10-28 15:27
第一例下尺桡关节间隙略宽,可考虑半脱位表现。第二例表现为退变及软组织骨化改变,考虑为陈旧性外伤所致
作者: 余辉 时间: 2008-10-28 16:29
一、此二例正侧位片投照均不标准,正确的投照体位是肘关节曲约90度,高度最好与肩平齐,前臂尺侧贴紧台面,这样投照出来的位置才是标准的,并且这样投照出来的影像基本不会出现向后半脱位的情况,因为本位置是后半脱位的复位体位。
二、下尺桡关节后半脱位个人认为是不能用x线和ct来诊断的,因为下尺桡关节是个活动度很大的关节,况且还有下尺桡关节不稳定的情况(活动更大,甚至正位间隙都可以超过3-4mm)随不同体位有不同的表现,此二例如果没有看错的话,投照时肘关节是可能是伸直的,而且肘部过于紧张,前臂尺侧没有贴紧台面。
三、这种影像是有特征的,1、尺骨远端向后翘出2、正位像尺骨茎突重叠于尺骨头中部(正常投照时重叠在外侧缘)3、侧位像尺骨茎突亦重叠于中部(正常投照时重叠于后缘)4、正位像下尺桡关节间隙重叠(正常是有完整间隙的)
四、个人认为下尺桡关节半脱位诊断靠临床表现,碰到这种情况又不能确定是否按正确体位投照时要亲自检查患者下尺桡关节,看患者是否有压痛,关节活动度是否大(可用力向前后按压尺骨头),活动时是否有弹响、痛疼,还要嘱患者双侧旋转对比,看患侧尺骨头是否有异常翘起
作者: 余辉 时间: 2008-10-28 16:44
标题: 正位片
经验表明很多患者因腕部疼痛而在照像时不旋动腕关节而是旋动肘部(这时肘部必然伸直且用较大力),而且腕部紧张,这样就变成楼主的图像了.投照时注意纠正

此为腕关节标准正位片,图片来自\"眼睛\",各位可以对比一下与楼主图片有何不同
[本贴已被 余辉 于 2008-10-28 20:37:00 修改过]
作者: 随光逐影 时间: 2008-10-28 17:33
支持5楼意见。
作者: wy232326 时间: 2008-10-28 18:40
考虑体位问题
作者: dr.yang 时间: 2008-10-28 21:02
未见明确骨折征象,远端尺挠关节半脱位不除外。
作者: 358450m 时间: 2008-10-28 21:08
标题: 回复:x4981:应该如何诊断?正常?
以下是引用yuhongjun在2008-10-28 6:12:00的发言:[br]感觉还是投照体位的差别,位置不标准。
作者: baogan 时间: 2008-10-28 21:53
支持
作者: ydx_74 时间: 2008-10-29 00:21
感觉还是投照体位的差别,位置不标准。
作者: dongqing0606 时间: 2008-10-29 00:32
支持 “余辉”,分析的较透彻
作者: 杀毒软件 时间: 2008-10-29 02:15
标题: 回复:x4981:应该如何诊断?正常?
以下是引用余辉在2008-10-28 8:44:00的发言:[br]经验表明很多患者因腕部疼痛而在照像时不旋动腕关节而是旋动肘部(这时肘部必然伸直且用较大力),而且腕部紧张,这样就变成楼主的图像了.投照时注意纠正
支持
作者: zhanggenliang 时间: 2008-10-29 02:53
谢谢余辉老师的精彩讲解,我也是搞放射的,但是半路出家。这种情况真的不知道
作者: 杏林古木 时间: 2008-10-29 03:19
远侧桡尺关节半脱位。
作者: mwh9116 时间: 2008-10-29 03:51
体位还算标准,考虑半脱位。
作者: 一捅阴影 时间: 2008-10-29 04:53
体位不正。
作者: PANPAN 时间: 2008-10-29 06:28
标题: 回复:x4981:应该如何诊断?正常?
以下是引用yuhongjun在2008-10-28 6:12:00的发言:[br]感觉还是投照体位的差别,位置不标准。
作者: 吴承学 时间: 2008-10-29 15:06
标题: 回复:x4981:应该如何诊断?正常?
以下是引用随光逐影在2008-10-28 9:33:00的发言:[br]支持5楼意见。
作者: yangzhenghai 时间: 2008-10-29 16:58
支持8楼
作者: 影像之路 时间: 2008-10-29 18:34
体位不正
作者: shiqingfa 时间: 2008-10-30 04:41
支持8楼
作者: chunliang533 时间: 2008-10-30 05:13
考虑下尺桡关节分离
作者: hexue 时间: 2008-10-30 19:54
感觉还是投照体位的差别,位置不标准。
作者: zhangkening 时间: 2008-11-4 06:37
这个尺桡关节能说是脱位吗?我觉得不是.
作者: shibing 时间: 2014-4-8 08:02
ct
| 欢迎光临 医影在线 (http://bbs.radida.com/bbs/) |
Powered by Discuz! X3.2 |